
术者寄语
该例患者DSA提示眼动脉分支之筛前动脉、大脑前动脉及额极动脉多支血管供血,汇集区相对分散,最终经迂曲扩张之皮层静脉汇入矢状窦。
介入治疗优选静脉入路,但是因为瘘口位于矢状窦起始端,近瘘口处静脉迂曲明显。手术成功的关键点:
1、需要可靠的入路支撑导管及导向性、输送性和顺应性良好的微导丝,同时要结合患者身高选择合适长度的相应导管。
2、引流静脉汇入矢状窦前的扩张静脉球近心端存在一支正常回流静脉,栓塞中需要弹簧圈致密栓塞静脉球以确保Onyx充分弥散瘘口,同时又能很好控制Onyx的返流,保护正常引流静脉。


病史简介
患者:女性,62岁。
主诉:因“头痛一个月”,门诊收入院。
简要病史:患者一月前无明显诱因出现头痛,主要位于额顶部,疼痛性质为闷痛,休息后可缓解。既往体健,无高血压、糖尿病病史。
入院查体:一般状况尚可,神志清,颅神经(-),四肢肌力V级。
术前影像
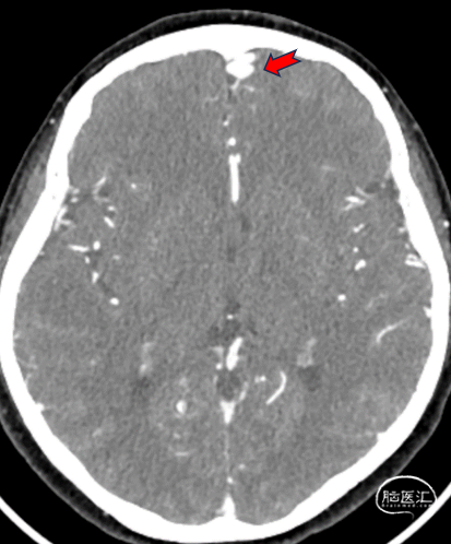
术前头颅CTA:红色箭头可见粗大引流静脉,前颅底DAVF可能。


MRA:红色箭头所指异常血管影,DAVF可能。

➢术前影像学检查:CTA及MRA提示左侧前颅底硬脑膜动静脉瘘(DAVF)。
➢初步诊断:左侧前颅底DAVF。
治疗策略
术前根据头颅CTA及MRA检查,考虑前颅底硬脑膜动静脉瘘,经DSA进一步确诊。
治疗方案包括:1、开颅手术;2、血管内介入治疗;3、伽玛刀放射治疗;4、保守治疗。考虑前颅底DAVF出血发生率较高,与患者及家属沟通后,优先考虑介入手术。
1、需要可靠的入路支撑导管及导向性、输送性和顺应性良好的微导丝,同时要结合患者身高选择合适长度的相应导管。
2、引流静脉汇入矢状窦前的扩张静脉球近心端存在一支正常回流静脉,栓塞中需要弹簧圈致密栓塞静脉球以确保Onyx充分弥散瘘口,同时又能很好控制Onyx的返流,保护正常引流静脉。
术中涉及介入器械选择
8F动脉短鞘(10cm)
0.035inch泥鳅导丝(150cm)
8F长鞘(90cm)
Tethys®中间导引导管( 6F-125cm)
Echelon-10微导管(150cm)
马拉松微导管(165cm)
DCwire™微导丝(215cm-0.014inch-Standard)
Onyx18液体栓塞系统
弹簧圈若干
手术过程
造影提示左侧前颅底眼动脉末端分支供血的DAVF经矢状窦起始段回流,回流静脉迂曲,局部可见粗大的静脉球。

侧位造影

斜位病灶局部造影
局部造影显示瘘口三要素:供血动脉(红色箭头),瘘口及引流静脉(静脉球),其中蓝色箭头所示静脉期正常回流静脉。



125cm Tethys®中间导引导管利用其远端柔软性,经长鞘高到位后,稳定支撑通路系统。
Echelon微导管经DCwire™微导丝,经过近端扭控,远端克服刁钻“回转弯”后引导微导管顺利进入近端静脉球。后马拉松微导管到达近动脉瘘口。

DCwire™微导丝配合Echelon微导管、通过优秀的扭控到位性及输送性,为微导管顺利到位提供保障。通过Echelon微导管首先稳定栓塞近端静脉球。


近端静脉球弹簧圈致密栓塞后,经马拉松微导管注入Onyx18。


顺利“安全”地注入Onyx18,瘘口完全栓塞,造影提示一期治愈,正常皮层引流静脉得以保留。



术后情况
术后即刻造影见DAVF完全栓塞。


术后定期随访情况:出院一月余,持续随访中。三、对当前形
病例总结
硬脑膜动静脉瘘是一种发生在硬脑膜窦及其附近的动脉和静脉异常交通的脑血管病。动脉与静脉的直接沟通可造成血管结构和局部血流的变化,动脉血流对静脉血管的冲击可导致静脉进行性扩张,进而引起相关症状,包括搏动性耳鸣、颅内血管杂音、突眼、球结膜充血,严重者可发生神经功能障碍和颅内出血。随着疾病进展,症状可逐渐加重,甚至危及生命。
目前治疗上主要包括手术治疗、介入治疗、伽玛刀放射治疗和保守治疗。介入治疗以微创,无感治疗,通常可以完美解决了这个复杂的疾病。
对于前颅底DAVF的治疗,以往以手术为主。但近些年,由于介入治疗技术和材料的进步,介入治疗已经成为首选。考虑到经动脉途径可能造成视网膜中央动脉栓塞,在静脉途径可及的情况下优先考虑经静脉入路治疗。
但是静脉入路通常较长、迂曲复杂,需要我们对通路系统的长度、可靠性及性能充分了解。对中间导管的要求是:高到位性、近端支撑性。对微导丝的要求是:扭控性、过程中的头端形状保持能力、以及配合微导管,帮助微导管更好的支撑到位。术中应用Tethys®中间导引导管,利用远端柔软输送高到位,稳定支撑通路系统。DCwire™微导丝配合Echelon微导管,微导丝远端经过近端扭控,远端克服刁钻“回转弯”后引导微导管顺利进入近端静脉球,展示了优秀的扭控性。
对于不同部位的DAVF需要个性化处理。该病例存在重要的引流静脉开口于近心端静脉球,治疗上需要充分考虑该静脉的完整保留,进行近心端静脉球弹簧圈致密栓塞是非常关键的一步,为确保Onyx的充分弥散,同时又能很好地控制其返流奠定了坚实基础。
术者简介
张桂运
上海市第一人民医院
上海市第一人民医院(上海交通大学医学院附属第一人民医院)神经疾病临床医学中心,脑神经血管介入科副主任,副主任医师,神经外科学博士,师从凌锋教授。
首届及第二届中国研究型医院学会脑血管病学专业委员会青年委员。
中国医师协会显微外科医师分会第二届委员会显微神经外科疾病学组委员。
第一届上海市医师协会神经介入专科委员会委员。
上海市医学会脑卒中专科分会第三、四届青年委员。
上海市医学会神经外科专科分会第九届委员会脑血管病学组成员。
上海市医学会神经外科专科分会第十届委员会介入学组成员。
首届上海市中西医结合学会眩晕病专委会脑血管学组成员。
从事脑脊髓血管病介入工作20年,在脑血管病介入治疗领域积累了丰富的临床经验。
时飞
上海市第一人民医院
主治医师,医学博士,毕业于首都医科大学。
中国卒中学会青年理事。
世界卒中组织会员。
中国研究型医院脊柱脊髓专委会青年委。
专注于神经血管介入方向,掌握自身的专业操作技能,对颅内动脉瘤、血管狭窄认识深刻,擅长脑血管病的介入微创治疗。
主持上海交通大学医工交叉基金项目一项,近5年以第一作者或通讯发表的SCI论文6篇,中文核心期刊3篇。
李司司
上海市第一人民医院
医学博士,主治医师。
获得国家奖学金,上海市优秀住院医师,上海市优秀毕业生。
参加全国神经外科学术年会发言;参加中国卒中学会学术年会“天海论坛”辩论赛并获奖。发表SCI及核心期刊10余篇,参与编译专著3部,获国家专利19项。
闵伟杰
上海市第一人民医院
主治医师,医学硕士。
中国抗癌协会会员。
中医临床药学分会理事。
长期从事脑血管病、神经肿瘤、创伤等各类手术及神经重症管理等工作。
参与国家及上海市基金各1项。发表论文17篇,SCI 15篇,以第一(通讯)作者发表SCI累计影响因子42.039分,参与及主编书籍教材2部,专利5项。
点击上方二维码
查看更多“介入”内容
声明:脑医汇旗下神外资讯、神介资讯、脑医咨询、Ai Brain 所发表内容之知识产权为脑医汇及主办方、原作者等相关权利人所有。
投稿邮箱:NAOYIHUI@163.com
未经许可,禁止进行转载、摘编、复制、裁切、录制等。经许可授权使用,亦须注明来源。欢迎转发、分享。
投稿/会议发布,请联系400-888-2526转3。














