机械取栓(MT)是大血管闭塞性卒中的主要治疗手段。而恶性脑水肿(malignant brain edema,MBE)是导致患者术后预后不良的重要原因,其在一定程度上限制了急诊取栓手术的运用和推广。因此,快速准确地识别潜在的MBE患者,在MBE发生前及时干预和转诊到有能力行外科手术的诊疗中心,从而对其行早期去骨瓣减压术和神经重症监护可显著降低致残率和死亡率。本研究目的是开发和优化一种网页版动态列线图,用于个体化地预测急性前循环缺血性卒中患者MT术后发生MBE的风险。
本研究回顾性纳入我院接受机械取栓的急性前循环缺血性卒中患者,收集一般人口统计学基线资料、是否伴恶心呕吐、意识水平、入院和术后NIHSS评分、术前ASPECTS评分、术前头颅CT上的脑萎缩评分、手术方式、ASITN/SIR分级、术后即刻头颅CT上的高密度、术后24小时头颅CT上的基底池消失、术后24小时头颅CT上的低密度区域面积等49个潜在MBE预测指标。根据MT术后5天内的随访头颅CT成像,MBE定义为透明隔或松果体层面中线移位>5mm。LASSO(Least AbsoluteShrinkage and Selection Operator)回归和多因素logistic回归用于构建该列线图。使用受试者操作特征曲线下面积(AUC)以及决策曲线分析(DCA)将本研究构建的列线图与之前预测机械取栓后脑水肿的两个风险模型进行比较。
结果发现:1、与未发生MBE的患者相比,有MBE的患者更可能伴有高血压病、心房颤动和恶心呕吐,有更高的基线NIHSS评分、术后NIHSS评分、血糖水平,更可能有术后24小时头颅CT上基底池消失、更大的术后24小时头颅CT低密度区域面积。
2、LASSO回归从49个候选特征中筛选出以下13个非零系数特征:高血压病、既往卒中史、入院时意识状态、血清钙、术前随机血糖、是否静脉溶栓、术后NIHSS评分、是否支架植入、术前头颅CT上的脑萎缩、术前头颅CT大脑中动脉高密度征、术后24小时头颅CT基底池消失、术后24小时头颅CT低密度区面积、术后意识状态。同时考虑到LASSO回归、多因素logistic回归结果和临床意义,该动态列线图基于以下五个特征构建:术后24小时头颅CT上的基底池消失、术后NIHSS评分、术前头颅CT上的脑萎缩评分、术后24小时头颅CT上的低密度区面积和卒中病因。它显示出良好的区分度和良好的校准度。
3、将本研究构建的列线图与之前预测MT后脑水肿的两个风险模型进行比较:本研究中列线图的AUC优于其他两个模型。DCA结果表明,本预测模型比其他列线图净效益高。

图注:nomogram模型判别能力较好,c指数(Harrell’sconcorindex)为0.925(95%置信区间=0.890-0.961),校正能力较好(Hosmer-Lemeshow检验,p=0.386)。我们的nomogram AUC(0.925)优于其他研究,如Chen等人的AUC(0.843)和Du等人的AUC(0.728)。

图注:网址:https://successful.shinyapps.io/DynNomapp/ 依据基底池消失、NIHSS评分、脑萎缩评分、低密度区域和卒中病因构建的网页动态nomogram能够便捷、精准与可靠地预测急性缺血性卒中患者接受机械取栓术后发生取栓后恶性脑水肿的概率。
患者:李某,女,74岁。
主诉:因“突发左肢乏力5小时余”(急诊)入院。
既往史:“房颤、高血压”,服药情况不详,控制情况不详。无吸烟、饮酒史。
患者昨日晚上8时左右准备入睡时突发左肢乏力,有口齿不清,无意识不清,无肢体抽搐。送至当地医院就诊,头颅CTA时右侧大脑中动脉闭塞,完善检查过程中出现意识障碍,症状进行性加重,遂送至我院急诊(01时25分)。急诊查体示神志嗜睡,左侧肢体肌力0级,左侧鼻唇沟浅,患者有急诊血管内治疗指征,向患者家属充分沟通血管内治疗获益及风险后,同意行动脉取栓术。
入院诊断:1、大脑动脉栓塞引起的脑梗死;2、右侧大脑中动脉闭塞;3、阵发性心房纤颤;4、高血压;5、肺部感染;6、低钾血症;

(1时50分)股动脉穿刺,造影提示右侧颈内动脉末端闭塞。
取栓过程:置入Trevo 4*20mm取栓支架,停留5分钟,前推中间导管半回收支架,采用SWIMb技术双重固定钳夹并联合抽吸撤出中间导管和取栓支架。
取栓一次后复查造影(2时20分)提示3级再通。

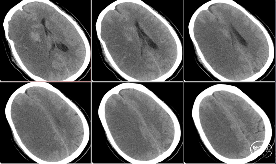
术后即刻CT提示可见造影剂外渗,未见明显脑水肿。

术后24小时复查CT提示脑水肿明显。查体神志中昏迷,双侧瞳孔不等大,右侧4mm,左侧2mm,光反应迟钝。无肢体抽搐,无恶心呕吐。

进入我们的网址,将患者的基线因素纳入分析患者发生恶性脑水肿的风险为95.4%;和该患者的病程演变相符。该患者拒绝去骨瓣减压术。最终三个月随访mRS评分6分。
总之,本研究收集了临床、实验室和影像学参数构建了一个基于网页的动态列线图。网址:https://successful.shinyapps.io/DynNomapp/。本模型能个体化预测急性前循环缺血性卒中MT术后发生MBE的风险,其有待在多中心验证。
此外,我们神经介入团队开发基于机器学习的智能评估系统,通过分析多个因素,包括临床、影像学和生理特征,能够精确地预测患者可能在治疗后表现出无效再通、出血转化、恶性脑水肿、卒中相关性肺炎、不良预后、死亡等复合终点。为了更好的对该AI评估系统进行开发与验证,团队医工结合;期望通过我们的系列研究,有助于医生制定个性化的治疗计划,避免不必要的医疗资源浪费,改善患者的生活质量,并推动卒中治疗领域的进一步研究和创新。
郭志良
苏州大学附属第二医院
神经内科,主治医师,医学博士。
苏州市医学会神经内科分会青年委员。
临床工作中主要从事神经介入方面工作,熟练掌控颅内外支架植入、急诊栓等治疗;并参与多地急诊手术会诊工作。
目前在脑血管病方向以第一作者/通讯作者发表SCI论文13篇(1区2篇,2区4篇),中文核心5篇:主持国自然青年基金等项目共6项,并获得江苏省优秀学位论文。
肖国栋
苏州大学附属第二医院
主任医师、博士生导师。
苏大附二院神经科副主任兼卒中病房主任。
苏州医学会神经病学介入学组组长;江苏省卒中学会神介专委会副主委;中国卒中学会青理会常务理事;中国研究型医院协会介入神经病学专委会委员;中国医师协会神经病学分会神经介入学组委员;中国卒中学会神经介入青委会委员;SVN杂志编审委;长三角脑血管病专科联盟委员等学术任职。

本中心科室是国家临床重点专科建设单位,国家级高级卒中中心,国家卫健委脑卒中动脉取栓技术培训基地;神经介入亚专科负责人肖国栋主任医师、博导,带领团队针对苏南人口众多、交通发达和区县级医院硬件强的特点,成立了以本院为中心的1小时急诊都市圈和移动取栓小组(Trip and Treat模式),带动区县级医院神经介入发展。
点击上方二维码
查看更多“介入”内容
声明:脑医汇旗下神外资讯、神介资讯、脑医咨询、Ai Brain 所发表内容之知识产权为脑医汇及主办方、原作者等相关权利人所有。
投稿邮箱:NAOYIHUI@163.com
未经许可,禁止进行转载、摘编、复制、裁切、录制等。经许可授权使用,亦须注明来源。欢迎转发、分享。
投稿/会议发布,请联系400-888-2526转3。









