“SAH最有可能发生在动脉瘤扩张累及海绵窦硬膜”。
本期为大家特别分享:哈尔滨医科大学附属第一医院徐善才教授的精彩会议内容《银蛇吐信,软亦能稳——银蛇释放覆膜支架治疗SAH》,欢迎大家阅读和分享!
*本文为方便读者阅读,仅做简要整理
文末附会议链接,完整学习请以视频为主


病例概况
●女,52岁,因“头痛4日,右侧眼脸下垂1日” 入院
●现病史:
入院前4日无诱因出现后枕部头痛,呈针刺样持续性疼痛,入院前1日,出现右眼睑下垂伴眼球胀痛
●既往史:
甲状腺结节切除术后10年
●入院查体:
神清语明,右眼球固定,双侧瞳孔
左:右=2.5mm:5mm,右眼光反射消失,颈强阳性。
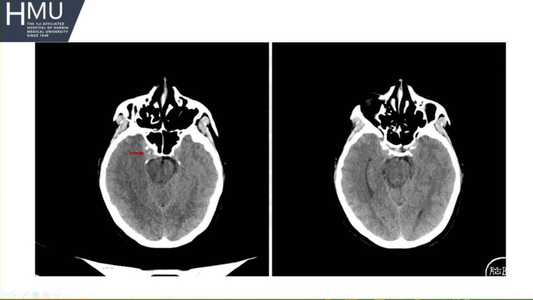
23日06:00
患者答非所问,查体不配合
急行头部CT
23日14:00患者刺痛不睁眼,不发声,
右上肢刺痛定位,左侧瞳孔光反射消失。
急行头部CT
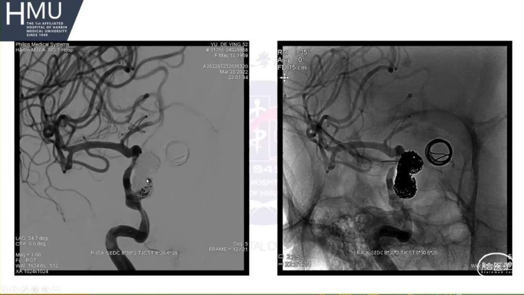
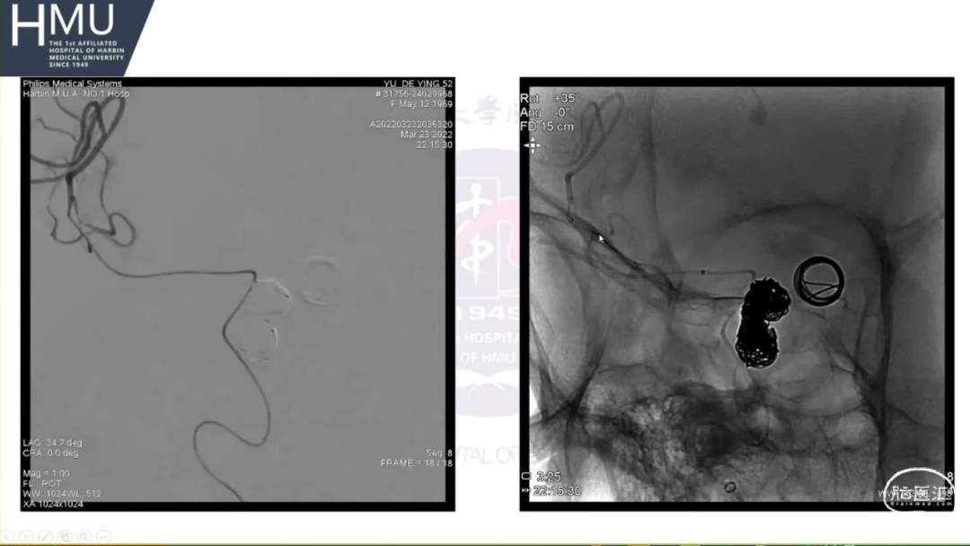
16:00急诊行钻孔引流术
21:00覆膜支架置入术
海绵窦段动脉瘤如何导致蛛网膜下腔出血?
破裂致下腔出血可能因素
●大动脉瘤累及突破海绵窦硬膜
●颅底内外环发育不全或松动
●海绵窦外侧壁先天薄弱区域
●大泌乳素瘤破坏海绵窦硬膜及骨质
●外伤所致假性动脉瘤合并骨折
海绵窦段动脉瘤如何处理 ?
●动脉瘤在随访期间进行性增大
●动脉瘤体大于20mm
●合并颅神经功能障碍
●合并巨大泌乳素瘤,应优先处理颅内动脉瘤



点击上方二维码
查看更多“介入”内容
声明:脑医汇旗下神外资讯、神介资讯、脑医咨询、Ai Brain 所发表内容之知识产权为脑医汇及主办方、原作者等相关权利人所有。
投稿邮箱:NAOYIHUI@163.com
未经许可,禁止进行转载、摘编、复制、裁切、录制等。经许可授权使用,亦须注明来源。欢迎转发、分享。
投稿/会议发布,请联系400-888-2526转3。