
患者女性,72岁,因“左侧肢体乏力15小时。”于2023-10-25 15:11入院。
主诉:左侧肢体乏力15小时。
现病史:患者15小时前无明显诱因出现左侧肢体乏力,无言语不清,无口角歪斜,无饮水呛咳,遂来我院急诊就诊,行头颅MRI提示右侧放射冠、基底节区散在多发高密度影,考虑急性脑梗死。为进一步治疗,由急诊以“急性脑梗死”为诊断收住我科。
个人史及既往史:既往有高血压病史10余年,最高达160/100mmHg,规律服药,平素口服奥美沙坦酯片20mg/日,血压控制尚可;否认“糖尿病”、“冠心病”、“脑梗塞”、“肾病”等病史。
专科查体:意识清楚,言语清晰,视野无缺损,双眼球各方向运动自如,双侧瞳孔等大等圆,直径约2.5mm,直接对光反射存在,间接对光反射存在;双侧额纹对称,双侧闭目正常,双侧鼻唇沟对称,鼓气良好,无眼球震颤,无饮水呛咳,无吞咽困难,伸舌居中。运动系统:四肢肌肉形态无异常,四肢无不自主运动。双侧轮替动作灵敏,双侧指鼻试验稳准,左侧跟膝胫试验欠稳准。生理反射存在,病理反射未引出。左上肢肌力5-级,左下肢肌力4级,右侧肢体肌力正常,肌张力正常。NIHSS评分1分(左下肢1)。
危险因素:高血压病;高脂血症(总胆固醇7.19mmol/L;低密度脂蛋白5.39mmol/L,同型半胱氨酸15.1umol/L)。
2023-10-26 主刀医师术前查房:
患者左侧肢体乏力较昨日加重,无言语不利,无口角歪斜,无饮水呛咳,无恶心呕吐,饮食睡眠尚可,大小便正常。查体:BP:136/70mmHg。神志清,言语清晰,对答切题,理解能力、定向力正常,计算能力及记忆力正常。双侧瞳孔等圆等大,大小约2.5mm,对光反射灵敏。双眼各向运动充分,未见复视及眼颤。伸舌居中。双侧鼻唇沟对称。颈无抵抗。左侧肢体肌力4-级,右侧肢体肌力正常,肌张力正常。NIHSS评分4分(左上肢2左下肢2)。
2023-10-25 DWI右侧放射冠、基底节区散在多发高信号。

2023-10-26 术前症状加重复查MR:DWI右侧放射冠、基底节区高信号较前增多。

2023-10-25 我院急诊头颅CTA。

2023-10-25 我院急诊头颅CTP:右侧大脑中动脉供血区MTT、Tmax均延长,呈低灌注表现。




右侧大脑中动脉M1末段中度狭窄合并原位血栓形成?右侧大脑中动脉及以远血流早、中、晚期血流速减慢。








诊断:
右侧放射冠多发急性腔隙性脑梗塞
右侧大脑半球多发低灌注区
右侧M1末段中度狭窄合并血栓形成?
左侧大脑后动脉P2段局部重度狭窄
左侧大脑前动脉A1段起始部中度狭窄
颅内动脉多发动脉粥样硬化
双侧胚胎型大脑后动脉
高血压病2级(极高危)
手术指征:
1、右侧大脑中动脉供血区呈低灌注表现,右侧大脑中动脉M1末段以远动脉血流早、中、晚期血流速减慢;
2、患者临床表现为进展性卒中、CTP和DSA影像提示有机械取栓的可能性,经与家属沟通可以考虑机械取栓一次,必要时球囊扩张血管成形术,家属比较理解及积极同意我们目前的方案。
SWIM技术抽拉一次去除微量血栓,造影提示左侧大脑中动脉及以远动脉早、中、晚期血流速明显恢复正常。








术前
术后
术前
术后
术后3D造影右侧大脑中动脉M1段末段未见明显狭窄,考虑为血栓事件。
治疗:
术中动脉内推注替罗非班6ml(1ml/分推注),后静脉内以3ml/h维持泵注24小时,提前4小时双抗血小板聚集覆盖;予浓盐、甲泼尼龙80mg、甘露醇、白蛋白等预防脑水肿。
预后:
2023.10.27 左侧上肢5-级,左侧下肢肌力4-级,右侧肢体肌力正常。NIHSS评分1分(左下肢1)。
2023.10.28-2023.10.30 左侧肢体5-级,右侧肢体肌力正常。NIHSS评分0分。
2023.11.01 四肢肌力、肌张力正常。NIHSS评分0分。

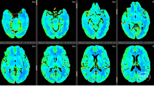
2023-10-25 术前CBF示右侧大脑中动脉供血区血流量减少。

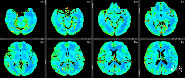
2023-10-30 术后CBF示右侧大脑中动脉供血区血流量恢复正常。

2023-10-25 术前MTT右侧大脑中动脉供血区平均通过时间延长。

2023-10-30 术后MTT右侧大脑中动脉供血区平均通过时间恢复正常。

2023-10-25 术前TMax右侧大脑中动脉供血区达峰时间延长。

2023-10-30 术后TMax右侧大脑中动脉供血区达峰时间恢复正常。
术后情况:
现患者无头晕、头痛,神志清,言语清晰,肌力、肌张力正常,GCS评分15分,NHISS评分0分,MRS评分1分。
2015年多项试验(MR CLEAN、ESCAPE、SWIFT PRIME、REVASCAT和 EXTEND IA)证实了血管内机械取栓术在治疗前循环大血管闭塞卒中方面优于药物治疗,2017年,DAWN和DEFUSE-3试验成功地将患者的时间窗延长至24小时[1]。患者为发病15小时入院,已超溶栓时间窗,通过CTP可见右侧大脑半球CBF、MTT、TMax延长,CTA未见明显狭窄,故考虑行脑动脉造影术明确责任血管,脑动脉造影术中发现右侧大脑中动脉M1末段以远动脉早期、中期、晚期血流速减慢,与家属沟通后,尝试SWIM技术抽拉一次,可见微量血栓,后造影提示右侧大脑中动脉及以远动脉早期、中期、晚期血流速明显恢复正常;3D造影未见明显狭窄,考虑为血栓事件。
对于轻度卒中伴近端闭塞的相关研究,EVT可能不是所有大血管闭塞(LVO)和轻度卒中患者的最佳选择。而对于有近端(LVO)但只有轻度(NIHSS 0-5)神经功能缺损的病例[2],尽管就诊时有轻度神经功能缺损,但那些近端、血栓较大且不适合IVT的患者仍能从EVT中获益。本病例中,患者临床症状表现为进展性卒中、CTP和DSA影像提示有机械取栓的可能性,SWIM技术抽拉一次去除微量血栓,并从中获益。
[1]Jadhav AP, Desai SM, Jovin TG. Indications for Mechanical Thrombectomy for Acute Ischemic Stroke: Current Guidelines and Beyond. Neurology. 2021;97(20 Suppl 2):S126-S136.
[2]Widimsky P, Snyder K, Sulzenko J, Hopkins LN, Stetkarova I. Acute ischaemic stroke: recent advances in reperfusion treatment. Eur Heart J. 2023;44(14):1205-1215.
1.2023急性缺血性卒中血管内治疗中国指南:在多项血管内治疗研究中,经动脉溶栓治疗的获益有限,常作为挽救性治疗,而不是主要治疗。但本病例中,行脑动脉造影术中考虑为微量血栓,是否可直接行动脉溶栓治疗?
2.取栓后3D造影右侧大脑中动脉未见明显狭窄,考虑为血栓事件,血栓为不稳定斑块?原位血栓?
巨清
广州市番禺区第二人民医院 神经医学科
中华医学会神经外科分会会员;中国急诊医学神经急诊分会委员;世界华人医师协会、世界华人神经外科协会颅脑创伤专业委员会委员;广东省基层医药学会神经外科专业委员会委员;广东省医学会神经介入学分会委员;广东省医师协会神经介入医师分会委员;广东省中西医结合学会卒中专业委员会委员;广东省基层医药脑血管病介入专委会委员;广东省基层药学会脑出血专委会委员;广东省医疗行业协会脑血管病管理分会委员;广东省血管神经外科分会委员;南方颅脑创伤神经重症联盟委员;广州市医院协会卒中管理分会常务;广州市医师协会神经外科医师分会第一届委员会委员;广州市番禺区脑卒中治疗质量控制中心专家委员会副主任委员;广州市番禺区医学会卒中分会副主任委员;
从事神经外科工作二十余年,每年完成神经系统各类疾病手术数百例次;2006年始开展脑动脉瘤开颅夹闭术,每年近百例次夹闭经验,同一切口下行颅内多发或双侧动脉瘤(前循环)夹闭积累了丰富的临床经验;在Tubridge血流导向密网支架规范操作与临床应用作出杰出贡献,特被聘请为“Tubridge技术专家”;常规开展神经系统肿瘤、脊髓肿瘤显微切除术、经鼻蝶入路神经内镜下垂体瘤切除术;三叉神经痛、面肌痉挛、舌咽神经痛行微血管减压术;各类各型高血压脑出血:小骨窗清除血肿术、经侧裂岛叶清除血肿术、软通道穿刺抽吸引流血肿术、神经内镜下清除血肿术等;救治各类颅脑损伤、重型颅脑损伤手术数百例次;近年来开展大量缺血性脑血管病:颈动脉狭窄支架植入术、颈动脉内膜剥脱术、颅内动脉狭窄球囊扩张支架植入血管成形术、颅内动脉狭窄药物洗脱支架植入术、椎动脉药物涂层支架植入术、静脉溶栓、动脉取栓、静脉窦取栓等手术。熟练掌握神经介入、神经显微镜、神经内镜等技术。发表数十篇核心期刊文章,参与编写国家继续医学教育项目教材:《高血压脑出血微创救治新技术与临床应用暨“定向软通道”微创救治高血压脑出血新技术》。
“

”
点击上方二维码进入
巨清 主任学术主页
查看更多精彩内容
点击上方二维码
查看更多“介入”内容
声明:脑医汇旗下神外资讯、神介资讯、脑医咨询、Ai Brain 所发表内容之知识产权为脑医汇及主办方、原作者等相关权利人所有。
投稿邮箱:NAOYIHUI@163.com
未经许可,禁止进行转载、摘编、复制、裁切、录制等。经许可授权使用,亦须注明来源。欢迎转发、分享。
投稿/会议发布,请联系400-888-2526转3。











