病例信息
患者女性,9岁。
主诉:突发头痛伴左侧肢体活动不灵2日。
查体:神清语明,右侧中枢性面舌瘫(右侧鼻唇沟浅,伸舌左偏),左侧肢体肌力Ⅰ级,左侧肢体轻瘫试验阳性。左侧病理征阳性。
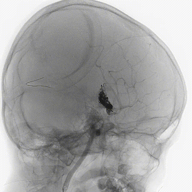
入院检查:头部CT示脑出血。

术前影像资料
入院CT:
头CTA:
造影显示右侧豆纹动脉外侧组和内侧都有供血,经增粗引流静脉向直窦引流。

手术策略
手术策略:
穿刺颈静脉入路栓塞,动脉端球囊封堵保护。
手术材料:
中间导管
Echelon-10
Apollo微导管
Scepter C封堵球囊
静脉入路 ,一浅一深微导管,浅部微导管为Echelon-10供填塞弹簧圈做静脉端“塞子”,深部微导管为用来打Onyx-18胶的Apollo微导管。大脑中动脉及颈内动脉留置Scepter C球囊,进行动脉端球囊封堵。

手术过程
颈静脉入路-中间导管到位。
Echelon-10微导管到位。
Apollo微导管到位。
“前封”:动脉端球囊阻断。
“后堵”:静脉端高压锅。

术后
术后治疗:
转入ICU,麻醉未醒,气管插管呼吸机辅助呼吸。
严格控制血压90mmHg以下。
镇静、补液、对症。
术后第一天:
术后第二天:
32h后转回病房。
患者一般状态良好,神清语明,双侧瞳孔等大,左比右约2mm:2mm。
左侧肢体肌力二级,右侧肢体活动正常。
出院CT:
四月随访:
住院10天出院,状态同前,出院后行康复治疗。
术后四月入院复查造影。
神清语明,双侧瞳孔等大同圆,光反射灵敏。
四肢肌力及肌张力正常,左手精细动作差。
术后四月随访造影:
术后四月随访:
术后19月随访造影:
静脉途径栓塞动静脉畸形:
严格的手术指征:
病变位置深,不易手术切除
供血动脉细小,不适宜动脉途径栓塞
出血病变
畸形病灶小于3cm
单支静脉引流且能够经静脉途径到达病变

总结
颈静脉入路-中间导管可以高到位增加支撑力;如果返胶需留置微导管,则留置长度较短。
采用微导丝“弓背”前行操作技术,避免进入引流静脉穿支。
应用静脉端的压力锅技术、动脉端的球囊保护,可以将畸形巢内压力降到最低,更利于胶的弥散。
注胶时宁过勿欠,将供血动脉完全栓塞,是避免术后再出血的关键;由于引流静脉已经堵塞,一旦有遗漏,供血动脉内压力增加术后出血风险大大增加。

术者简介
徐超
哈尔滨医科大学附属第一医院
神经外科
医学博士,主治医师
黑龙江省老年医学会神经介入专业委员会委员
研究方向为脑血管病的外科及血管内治疗。目前完成各类脑血管病的介入治疗1000余例
第一作者发表神经介入相关SCI文章3篇,中文核心期刊2篇
获黑龙江省卫生计生委医疗卫生新技术应用二等奖1项

点击上方二维码
查看更多“介入”内容
声明:脑医汇旗下神外资讯、神介资讯、脑医咨询、Ai Brain 所发表内容之知识产权为脑医汇及主办方、原作者等相关权利人所有。
投稿邮箱:NAOYIHUI@163.com
未经许可,禁止进行转载、摘编、复制、裁切、录制等。经许可授权使用,亦须注明来源。欢迎转发、分享。
投稿/会议发布,请联系400-888-2526转3。