今天为大家分享的是,由上海冬雷脑科医院神经外科张学军、刘旻谛、郑佳佳、霍峻峰主任带来的:基于“幕下小脑上全内镜”技术的蝶岩斜脑膜瘤切除一例,欢迎阅读、分享!
01
一般资料
![]()
02
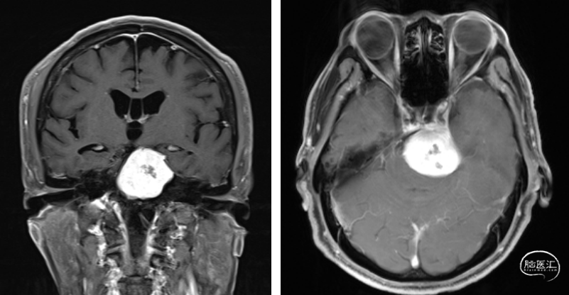
术前检查
![]()


03
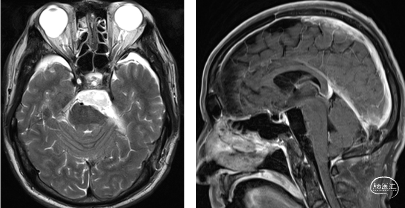
术前诊断
![]()
04
手术策略
![]()

熟悉图中解剖层次,理解肿瘤在松果体区/幕缘孔/鞍背的比邻结构,保护相关血管与神经(图片摘自:Sanai N, Mirzadeh Z, Lawton MT. Supracerebellar-supratrochlear and infratentorial-infratrochlear approaches: gravity-dependent variations of the lateral approach over the cerebellum. Neurosurgery. 2010;66(6 Suppl Operative):264-274. doi:10.1227/01.NEU.0000369653.12185.FD)
05
术中图片
![]()






06
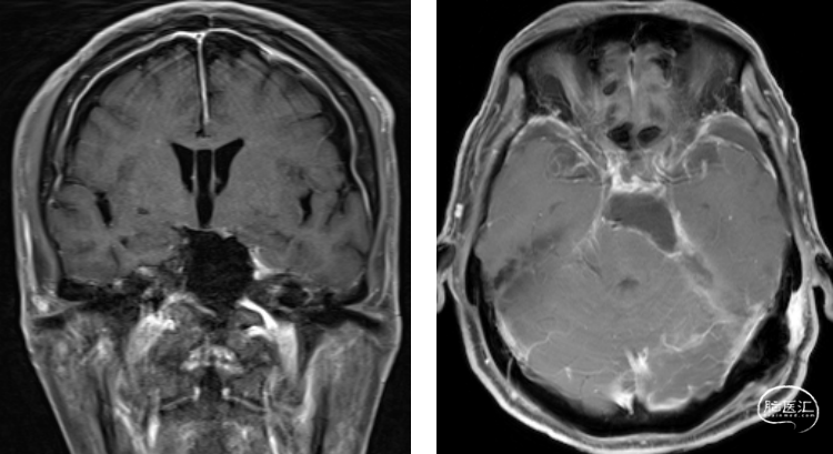
术后影像
![]()



07
结果
![]()
08
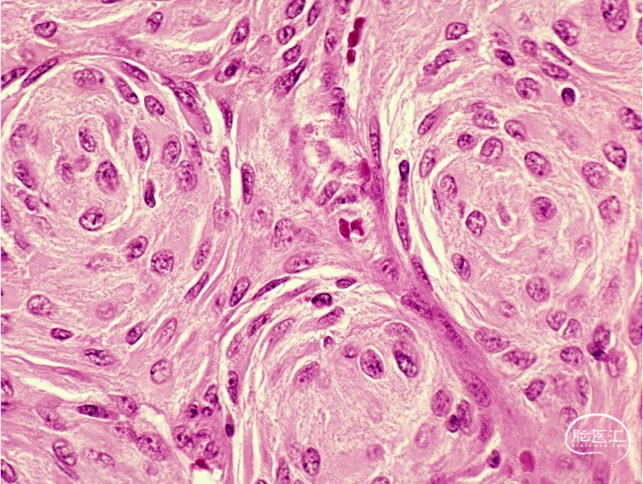
术后病理
![]()

09
总结
![]()
针对本病例,幕下小脑上入路有以下优势:
1. 是一种简单、安全、有效的手术方法,可以充分暴露蝶岩斜区的肿瘤和重要结构,如脑干、小脑、颅神经、基底动脉等;
2. 可以避免或减少对颞叶、颞下回、颞极、颞下静脉和颞下动脉的牵拉和损伤,从而降低术后的神经功能障碍和并发症;
3. 可以在不切开小脑幕的情况下,通过小脑幕切迹和小脑桥脑前外侧间隙,直接到达肿瘤的上限和内侧界,从而提高肿瘤的切除率和根治率;
4. 可以结合内镜技术,利用内镜的放大、照明和视角优势,进一步扩大手术视野,提高肿瘤的显露和切除,同时减少对周围正常组织的损伤。
当然该技术的劣势也是显而易见的:该入路的手术视野较深,对于侵犯海绵窦、颞下静脉或与脑干粘连紧密的肿瘤,切除可能不彻底或存在较高的风险。另外在处理肿瘤基底方面,一旦肿瘤侵犯了硬脑膜甚至骨质,那么在该入路下对于肿瘤基底的清理力度是不如传统的侧方开颅。

![]()
专家简介
![]()
霍峻峰 副主任医师
上海冬雷脑科医院
声明:脑医汇旗下神外资讯、神介资讯、神内资讯、脑医咨询、AiBrain 所发表内容之知识产权为脑医汇及主办方、原作者等相关权利人所有。








