![]()
背景:
发笑发作癫痫在临床上比较少见,报道较多的是下丘脑错构瘤继发发作性痴笑形式,而对于非下丘脑性发笑性癫痫发作,其发病机理一直没能有较好的解释,根据目前报道,考虑多与额叶及颞叶关系密切。首都医科大学三博脑科医院功能神经外科近期收治了一名非下丘脑性发笑性癫痫发作患者,通过立体脑电图(SEEG,stereoelectroencephalographic)明确致痫灶部位,通过SEEG引导下的射频热凝毁损(RF-TC,radiofrequency thermocoagulation),术后达到无癫痫发作。
![]()
病例分享
![]()
一、一般情况
主诉:6岁男童,发作性发笑一年余。
现病史:患者5岁时无诱因出现发作,初起癫痫症状:1、发笑发作,持续数秒后缓解,发病2个月后再次出现发作,发作逐渐增多,每日均有2-3次。2、发病3个月后出现第二种发作形式,表现为:突然坐起,发笑,双眼凝视、呼之不应,持续十余分钟,每月1-2次,多为睡眠中发作。
目前用药:奥卡西平5ml bid、吡仑帕奈4mg qn。
入院查体:生命体征平稳,一般情况可,神清,语利,精神可,双瞳等大等圆,D=3mm,眼动充分,对光反射灵敏,面纹对称,伸舌居中,吞咽可,四肢肌力及肌张力正常,病理征阴性。
既往史:无特殊异常。
二、术前评估
1.视频脑电图:间歇期:癫痫样放电,脑区性、左侧颞、额区著(图1);发作期:临床:发笑,双侧非对称性强直(右著)→自主神经症;EEG:发作型,脑区性、左侧颞、额区著(图2)。

图1:间歇期:癫痫样放电,脑区性、左侧颞、额区著;

图2:发作期:临床:发笑,双侧非对称性强直(右著)→自主神经症;EEG:发作型,脑区性、左侧颞、额区著;
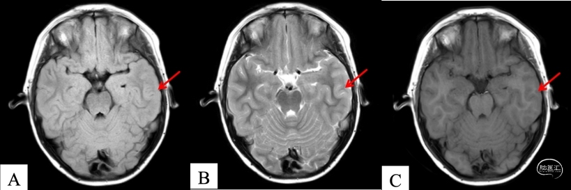
2.头部MR:左颞叶皮层灰白质交界不清,局灶性皮层发育不良可能性大(图3)

图3:头部MR可见左颞皮层灰白质交界不清(红色箭头指示)。
3.PET-CT:左颞前叶明显低代谢,且左侧颞上回低代谢区向颞后部延伸(图4)。

图4:PET-CT可见左颞前叶明显低代谢,且左侧颞上回低代谢区向颞后部延伸。
三、诊疗过程
(一)癫痫中心讨论:
1、症状学:发笑发作(定位下丘脑、前额、扣带回、岛叶前部、前颞叶等可能性大)。
2、脑电图:间期与发作期定位左颞、额区域。
3、磁共振:左前颞叶局灶性皮质发育不良。
4、PET:左前颞叶低代谢,左前扣带回及额极局部稍低代谢(阅图)。
综合考虑患者癫痫灶定侧:左侧;定位:左前颞、前额。
(二)考虑患者左颞皮层灰白质交界不清,局灶性皮层发育不良可能性大,边界不清,且PET-CT低代谢范围较大,于2023-09-08行机器人引导下左侧颅内深部电极植入术(9根电极覆盖左侧额极,前岛叶,前颞叶等,图5)。

图5:颅内电极植入示意图及电极植入路径
1、术后行视频脑电监测,捕捉到8次发作,两种发作形式(见图6、7、8):

图6:间歇期:癫痫样放电,F3-6,B9-12,P7-9,J1-3;B1-3,C1-3,D1-3。

图7:发作期:临床:右上肢不动→左侧肢体复杂运动。EEG:发作型,F3-5,J1-3,B9-12,P7-9→F8-10→D12-15。

图8:临床:发笑发作。EEG:发作型,J1-3→F2-5,B9-12,P6-9
2.患者两种发作形式,发作起始点位于左颞前叶(F3-5,B9-12,P7-9)及左前环岛沟(J1-3),起始波形不典型,为进一步明确是否为前额底及扣带回起源,再次于额叶补植入4根电极(图9)。

图9:第二次颅内电极植入示意图及电极植入路径
3、植入电极后再次行视频脑电监测,监测结果如下图(图10):

图10:间歇期:癫痫样放电,F3-6,B9-12,P7-9,J1-3,L4-7。发作期:临床:微笑表情-右上肢活动减少-复杂运动。EEG:发作型,J1-3--F3-5,L4-7--B9-12,P7-9,F8-9,O10-14。
4、根据SEEG结果定位考虑癫痫灶定位于左侧岛叶前环岛沟J1-3,但是左前颞叶是核心病理灶所在部位,所以考虑二者均有可能是癫痫起始区可能,为进一步鉴别,先毁损前岛叶J1-3,毁损后患者仍旧有癫痫发作。考虑是否致痫灶位于左侧颞叶?进一步毁损左侧前颞叶电极位点(F3-6、B9-13、P7-10)后,癫痫发作消失,考虑癫痫灶位于左侧前颞叶,前岛叶仍为快速传导所致。
四、讨论
1、发笑型癫痫发作:是一种罕见的癫痫发作类型,发作特点为无诱因的刻板发笑,并且不受控制。这种发作仅占癫痫发作的1%以下。以往的文献认为,发笑性癫痫一般起源于下丘脑,但是也有文献报告了额叶或颞叶皮层起源的痴笑发作。79%的发笑型癫痫伴有下丘脑错构瘤,错构瘤是一种非进展性的组织结构发育异常,而不是真正的肿瘤,常引起小儿痴笑发作,合并性早熟、智力落后及行为障碍。下丘脑错构瘤合并的痴笑发作起病较早,其引起的痴笑发作一般在5岁前起病,且抗癫痫药难以控制。而皮层性痴笑发作一般在4岁后发作。丘脑和皮层性引起发笑类型不同,而且额颞叶的痴笑发作也有不同模式,皮层性引起的发笑癫痫多伴有颞叶或额叶结构性或功能性损伤,痴笑发作中常合并有其他颞叶或额叶发作的特征。发笑过程可伴随情感或者某些特异感觉出现,如内心的欣快感、咽喉的甜蜜感、抑或是内心的痛苦感受等等,伴随上述感觉的传导通路现多认为有颞叶、杏仁核、梭状回、海马旁回、丘脑、下丘脑、丘脑底核、脑干背盖部的参与,相反,不伴随上述情感和感觉出现的发笑样癫痫发作主要有扣带回前部、运动前区、额叶岛盖部等,这些部位将冲动经中央运动区传导至脑干的腹侧区,以达到面部表情的快速对称出现。发笑性癫痫发作的临床表现形式可为笑、哭等表情,但是应当为对称性表情改变。一般认为额、颞叶起源的发笑发作比下丘脑起源者预后好。发笑性癫痫往往是药物难治性癫痫,外科治疗有效。
2、立体定向脑电图(SEEG):是一种用于识别癫痫发作脑区的微创手术。最早在20世纪60年代由法国的Bancaud和Talairach两位教授提出,2009年,Gonzalez-Martinez博士将这项技术引入美国Cleveland癫痫中心,将其简化为仅两个小时的手术程序。通过SEEG可以识别大脑深处、常规头皮脑电无法检测到的癫痫发作部位,精确定位癫痫发作的起源。并利用SEEG植入的电极对致痫病灶进行射频热凝治疗,实现癫痫的微创外科治疗。研究提示使用SEEG进行术前评估可以使癫痫术后复发的比例减少一半。尤其是影像学正常的难治性癫痫患者,通常而言手术效果不佳,处于“药吃不好、刀开不了”的尴尬局面。影像学阴性的颞外癫痫更是手术预后不佳的重要原因之一,而在SEEG辅助下可使近2/3的患者获得良好的结局。
3、SEEG其具有以下优势:
(1)微创:对于海马硬化、下丘脑错构瘤、皮质发育不良、结节性硬化等以往需要开颅外科手术、多灶需要多次手术或无法耐受手术的患者,提供了一种微创的手术方法,减少了并发症,出血量少,减少对脑组织的损害。
(2)精确发现致痫颅内埋藏电极较头皮电极精确定位脑深部致痫灶,指导医生进行针对性治疗,提高治愈率。
(3)植入准确、个体化:机器人辅助下的SEEG植入使得手术过程更为精确,因人制宜,每个患者都有个体化的植入方案。
(4)可监测范围广,可同时对多脑叶及双侧半球进行监测。
(5)减少功能区损伤:SEEG辅助下能提示运动、语言、认知等功能区位置,指导外科医师治疗病灶的同时对功能区进行保护。
(6)病人痛苦小,适用年龄范围大,低龄儿童也可适用。
4、SEEG的局限性:结合本病例及既往经验,SEEG所探测的是临床电发作起始。因为癫痫发作及电传导和脑网络的复查性,因些SEEG的结果仍需要结合病理灶、临床症状及头皮脑电才能获得最终正确的结果,并不能仅仅依据SEEG的结果进行最后的癫痫灶定位诊断及制定手术计划。
![]()
展望
![]()
首都医科大学三博脑科医院是国内也是亚洲第一家引入使用神经外科机器人的医院,至今为止,在华科机器人和ROSA 机器人引导下植入颅内深部电极手术900余台。如本例中所见,发笑发作,致痫灶范围不明确,额叶或者颞叶受累需要鉴别明确,是行机器人引导下SEEG手术适应症之一,对于病灶较小,如下丘脑错构瘤、灰质异位、局灶性皮层发育不良IIb型SEEG手术后行RF-TC,通过微创手术即可使癫痫发作得到很好的控制。也希望更多的药物难治性癫痫患者能够通过此项技术受益。
![]()
专家简介
![]()
关宇光 主任医师
首都医科大学三博脑科医院
医学博士、主任医师、教授、博士研究生导师
首都医科大学三博脑科医院 神经外科中心副主任
功能神经外科主任
帕金森病诊疗中心副主任
癫痫中心外科主任
主要兼职:
中国医师协会神经调控专委会常务委员、秘书长
中国医师协会神经调控专委会青委会副主任委员
北京医学会 帕金森与运动障碍分会 委员
中国医师协会 功能神经外科专业委员会 委员
中国抗癫痫协会理事
中国抗癫痫协会谭基金外科技术组副组长等
荣誉及奖励:获2010年美国神经外科医师协会(AANS)奖学金;2014入选北京市科技新星;2022 获王忠诚中国神经外科医师青年奖
主持国家与省部级课题8项,以第一/通讯作者在Brain、Journal of Neuroscience、Journal of Neurosurgery 等杂志发表学术论文35篇
专业特长:帕金森与肌张力障碍、癫痫(儿童癫痫)、面肌痉挛、三叉神经痛、植物人促醒、特发性震颤、梅杰综合征、痉挛性斜颈、舞蹈症、抽动秽语综合征、顽固性疼痛等疾病的评估诊断外科治。
马凯强 主治医师
首都医科大学三博脑科医院
主治医师、医学博士
首都医科大学三博脑科医院功能神经外科
北京神经科学学会脑功能疾病与认知发育专业委员会委员
主要进行癫痫病、意识障碍病的基础临床研究,对于难治性癫痫立体定向脑电图定位、意识障碍的评估及DBS/VNS/SCS不同术式对于意识障碍的治疗具有丰富的临床经验。
专业特长:癫痫、意识障碍促醒、面肌痉挛、三叉神经痛、帕金森等功能神经外科疾病的治疗,对癫痫及意识障碍的术前评估及术后程控随访具有独到见解。
栾国明 主任医师
首都医科大学三博脑科医院
主任医师 教授 博士研究生导师
首都医科大学第十一临床医学院院长
首都医科大学三博脑科医院神经外科(国家重点专科)学术带头人
功能及癫痫中心主任
北京脑重大疾病研究院癫痫所所长
癫痫病临床医学研究北京市重点实验室主任
世界神经调控学会亚洲及澳新大区主席、中国分会主席
国际抗癫痫联盟外科治疗委员会常务委员
国际癫痫外科学会创会常务委员
亚洲癫痫外科学会创会秘书长
中国抗癫痫协会第1-3届副会长、现任常务理事
中国医师协会神经调控专业委员会主任委员
中国抗癫痫协会神经调控专业委员会主任委员
在三十余年的神经外科生涯中,成功实施了1万余例神经外科手术,其中仅癫痫手术就达6500余例。以第一作者或责任作者发表SCI论文100余篇,主编及参编著作20余部,先后培养了博士、硕士研究生50余名,并于2017年5月获得世界神经调控重要贡献奖。













