患者:
吴某,男,67岁
主诉:
左侧肢体无力5天
查体:
左侧上肢肌力4级、左侧下肢肌力3级,左下肢病理征阳性
实验室检查:
既往史:高血压病5年,口服硝苯地平缓释片5mg QD PO,血压控制可

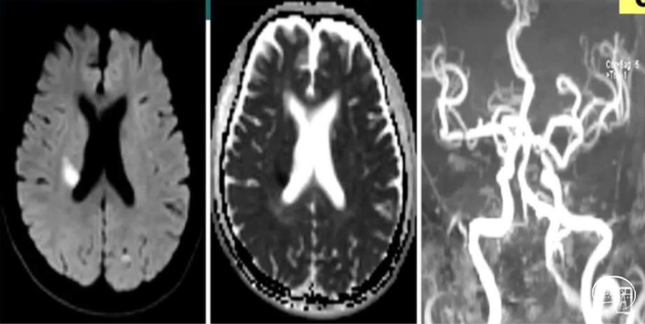
头颅MRI示:右侧脑室旁、基底节区急性脑梗死,
MRA示:右侧大脑中M1段局限性狭窄;

术前脑血管造影及3D重建

高分辨磁共振

治疗目的
1.治疗动脉瘤,预防出血
2.改善狭窄,预防狭窄进一步加重,预防脑梗死
治疗难点
1.动脉瘤形态不规则合并子囊,绝对宽径,需支架辅助
2.载瘤动脉近端狭窄
3.同侧A1发育不良
术前准备
口服双抗波立维75mg 阿司匹林100mg
同期治疗的关键问题在于技术可行性和安全性评估
1.载瘤动脉近端重度狭窄,动脉瘤合并子囊,绝对宽径,
同侧A1发育不良,球囊预扩张,保障同侧血流;
2.动脉瘤绝对宽径,需要支架辅助,同时能适应近端狭窄,可选择编织支架,后扩张安全
3.支架大小和长度选择合适
4.成筐圈选择合理
5.后扩张球囊选择
6.术后药物治疗
手术中麻醉要求高、速战速决、血压不低
(四步法,3米导丝,交换多次)
长鞘 7F-90
中间导管 6F-115cm
微导丝 0.014--3m
Gateway球囊 2.0mm*15mm (预扩张)
-21支架微导管
0.014-微导管
支架 3.5mm*20mm
弹簧圈:
Scepter-C球囊 (后扩张)
同期治疗最大的优点是在最短的时间内化解狭窄和动脉瘤治疗中关于血流动力学改变而存在的潜在矛盾与风险。当然,对于该类病变是否应该进行同期处理,仍存在争议。相对于分期治疗,一次性治疗可能会发生更多出血、缺血并发症的几率。



术后复查头颅MRI

点击上方二维码
查看更多“介入”内容
声明:脑医汇旗下神外资讯、神介资讯、脑医咨询、Ai Brain 所发表内容之知识产权为脑医汇及主办方、原作者等相关权利人所有。
投稿邮箱:NAOYIHUI@163.com
未经许可,禁止进行转载、摘编、复制、裁切、录制等。经许可授权使用,亦须注明来源。欢迎转发、分享。
投稿/会议发布,请联系400-888-2526转3。






