
病例信息
患者:男性,52岁。
主诉:突发右侧肢体无力伴进展性意识障碍约3天。
现病史:患者3天前无明显诱因出现右侧肢体无力,呼之可简单应答,并有头痛、 头晕不适,急诊至当地医院后出现呼之不应,行头部CT提示:左侧额叶、顶叶散在出血灶。住院行输液治疗,住院期间患者多次癫痫发作,予以抗癫痫治疗,疗效果不佳。为求进一步诊治转至我院,急诊以“急性脑血管病”收住我科。发病以来,患者神志模糊,精神差,进食一般,小便通畅,大便未解。
既往史:于2022-3、2022-8患脑梗(无后遗症),否认高血压、糖尿病等基础疾病。
个人史:吸烟史25年,15支/天;饮酒史20年,200ml/次。
查体:构音障碍,伸舌右偏,左侧肢体肌力4级。
入院影像检查


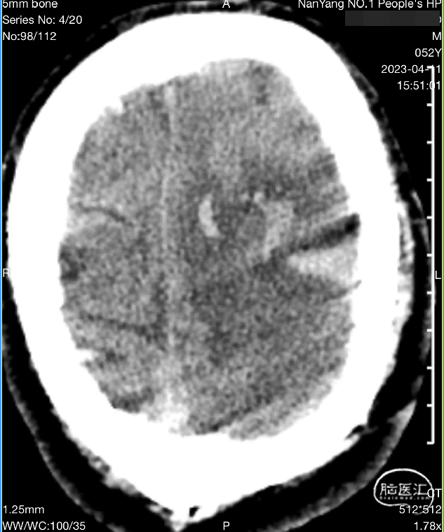
CT显示左侧顶叶低密度水肿影,内见高密度血肿影;上矢状窦高密度,考虑上矢状窦血栓可能大。


MRV可见上矢状窦及右侧横窦充盈缺损。

术前讨论
静脉窦血栓形成;梗死性脑出血。
静脉窦取栓。
手术使用耗材
8F股动脉鞘
8F导引导管
6F抽吸导管
200cm 北斗SS™神经血管导丝
静脉取栓装置
治疗过程


术前DSA静脉期可见上矢状窦及右侧横乙窦充盈缺损。

6F抽吸导管反复抽吸,可见大量暗红色血栓吸出。

北斗SS™神经血管导丝导引下,顺利将取栓装置引入至上矢状窦内。

北斗SS™神经血管导丝辅助下,将取栓装置进一步引入至上矢状窦前1/3处。

取出大量静脉窦内血栓。
术后影像

术后造影显示上矢状窦较前明显改善。

术前上矢状窦闭塞

术后上矢状窦再通
病例信息
患者:男性,44岁。
主诉:口角歪斜伴左侧肢体无力1月余。
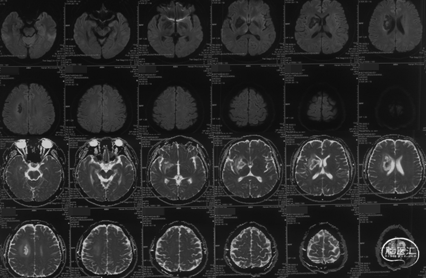
现病史:1月余前患者干农活过程中出现全身乏力,无言语不清,无头痛、头晕、恶心、呕吐等症状,次日家属发现其口角歪斜,于当地医院就诊。头部MRI+MRA可见“右侧基底节区、侧脑室旁、右侧额顶叶多发急性脑梗塞,大脑中动脉M1段局限性中度狭窄”,予以双抗血小板及其他改善循环药物治疗,期间患者出现左侧肢体活动不灵,后转入我院进一步治疗,病程中患者神志清晰,精神可,饮食正常,二便正常,夜眠可,体重无明显减轻。
既往史:于2022-3、2022-8患脑梗(无后遗症),否认高血压、糖尿病等基础疾病。
个人史:吸烟史25年,15支/天;饮酒史20年,200ml/次。
查体:构音障碍,伸舌右偏,左侧肢体肌力4级。
入院影像检查

MRI提示右侧基底节区亚急性脑梗死 。

MRA提示右侧大脑中动脉M1段局限性重度狭窄。

CTA提示右侧大脑中动脉局部充盈缺损。


入院后DSA提示右侧大脑中动脉充盈缺损,考虑夹层可能大。
术前讨论
1、右侧大脑中动脉狭窄。
2、脑梗死。
右侧大脑中动脉支架成形术。
手术使用耗材
6F股动脉鞘
6F导引导管
0.021 支架微导管
200cm 北斗SS™神经血管导丝
3.5*15mm 颅内支架
治疗过程

置入3.5*15mm 颅内支架,造影显示支架完全打开,贴壁良好。


术后即刻造影显示狭窄明显缓解。
北斗SS™神经血管导丝作为一款国产微导丝,操控性和超选性能表现优异,远端涂层结构优秀表面光滑,术中表现出优良的携带微导管及支架能力,是一款值得信任的国产神经血管微导丝。
白卫星
河南省人民医院
颅内血管畸形专科主任,自2004年起专门从事神经介入专业,曾于2005年赴韩国首尔AMC医疗中心研修神经介入一年
在脑和脊髓血管疾病的诊断和治疗上积累了丰富经验。在出血性脑血管病,例如脑和脊髓血管畸形、脑膜动静脉瘘以及脑静脉性疾病,尤其治愈性介入栓塞治疗脑动静脉畸形方面,实施国内报道的第一例经静脉入路治愈性栓塞复杂破裂脑动静脉畸形,以及乙醇消融治疗动静脉畸形手术,在国内外享有颇高声誉,在此专业领域已经发表论文50余篇,其中SCI收录10余篇
许斌
河南省人民医院
神经外科副主任医师
专注从事神经介入工作十余年,擅长脑动脉瘤介入治疗术、脑动静脉畸形介入栓塞、颅内外血管狭窄的介入治疗、脑静脉窦狭窄及血栓的介入治疗等,中华期刊发表论文十余篇
刘耀
河南省人民医院
医学博士,主治医师
主要从事神经血管疾病的临床和科研工作,擅长脑和脊髓血管病的诊断及治疗,在脑动脉瘤、脑动静脉畸形、硬脑膜动静脉瘘及脑静脉系统疾病方面积累了一定经验

本内容仅供医学专业人士作线上专业交流 本内容不向非医学专业人士开放,敬请理解 讲课内容仅代表专家个人观点,非通桥医疗推广产品
点击上方二维码
查看更多“介入”内容
声明:脑医汇旗下神外资讯、神介资讯、脑医咨询、Ai Brain 所发表内容之知识产权为脑医汇及主办方、原作者等相关权利人所有。
投稿邮箱:NAOYIHUI@163.com
未经许可,禁止进行转载、摘编、复制、裁切、录制等。经许可授权使用,亦须注明来源。欢迎转发、分享。
投稿/会议发布,请联系400-888-2526转3。











