
病例展播
病例信息
患者:男性,66岁。
主诉:双眼视物不清,眩晕反复发作1个月。
现病史:患者近1个月出现双眼视物不清,眩晕反复发作,就诊住院后经MRA及头颈CTA回报确诊为:双侧椎动脉V4段重度狭窄。
既往史:高血压病病史1年,最高达185/100mmHg,口服硝苯地平片降压药治疗,血压控制不稳。
神经查体:神清语利,双侧瞳孔等大等圆,对光反射灵敏,水平眼震(-),伸舌居中,左侧上肢肌力5级,左侧下肢肌力5级,右侧上肢肌力5级,右侧下肢肌力5级,双侧上下肢肌张力正常,指鼻试验稳准。跟-膝-胫试验稳准,Romberg氏征:(-),双侧巴氏征阴性。
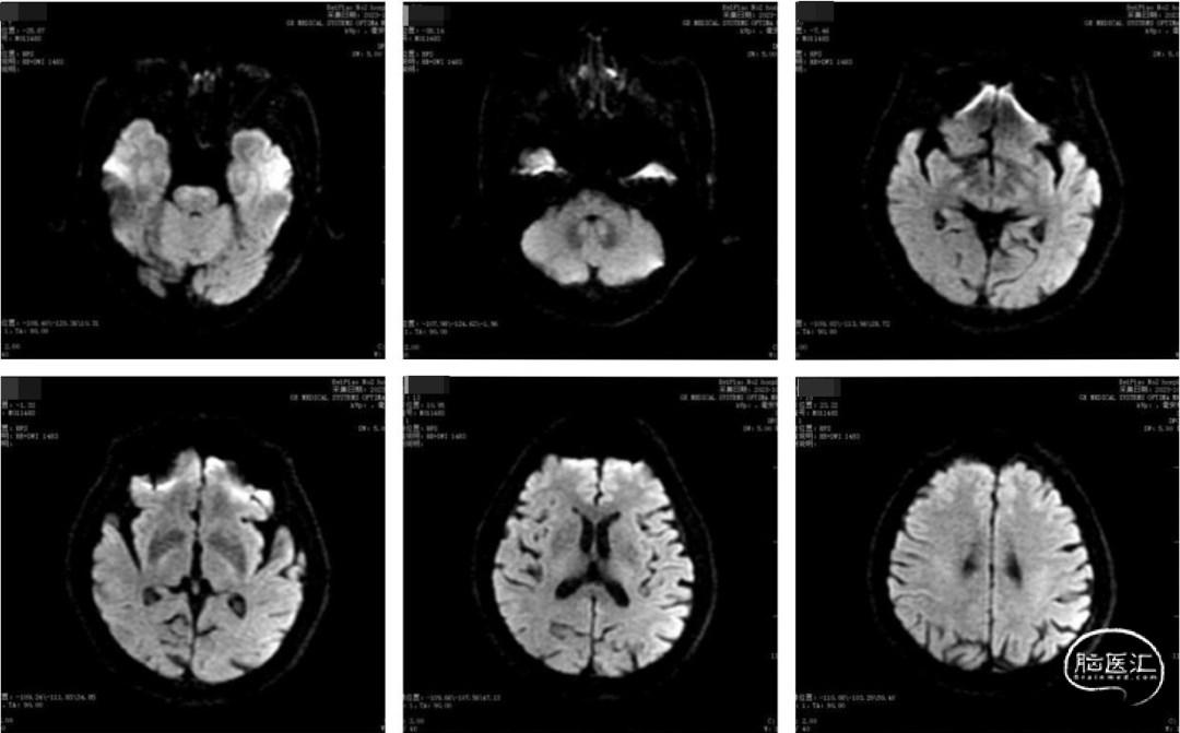
术前影像


术前头部DWI、MRA提示:未见新发脑梗死病灶,右侧椎动脉纤细,左侧椎动脉优势,双侧椎动脉V4段重度狭窄。


术前造影示:右侧椎动脉纤细,左侧椎动脉优势,起始部走形迂曲。
术前诊断
1、后循环缺血。
2、椎动脉V4段重度狭窄。
3、高血压病3级。
术中器械
8F短鞘
XT-27微导管
0.014" 300cm 微导丝
3.5*20mm 颅内支架
125cm多功能造影管
2.0*15mm 颅内扩张球囊
6F 115cm 通桥银蛇®TGC 颅内支撑导管
治疗过程


5F 125cm多功能造影管、6F 115cm 通桥银蛇®颅内支撑导管同轴顺利通过左侧椎动脉起始部走形迂曲血管,到达椎动脉V4段,微导管造影确定真腔内。

球囊准确对位后扩张狭窄处。

支架释放后,工作位造影血流通畅。
术后情况
术后恢复:患者术后恢复良好,症状缓解。
病例小结
椎基底动脉重度狭窄的治疗,血管走形迂曲,导致治疗困难,稳定的通路建立对于手术的成功至关重要。术中使用通桥银蛇®TGC 颅内支持导管,建立稳定可靠的通路。
对于血管走形迂曲,展示出优异的通过性,高到位接近病变位置。
优秀的支撑力为手术提供稳定、可靠的通路,为手术成功提供保障。
术者简介
朱大猛
北票市中医院
脑病二科主任,副主任医师
从事神经内科工作20年,擅长脑血管疾病内科治疗及介入手术治疗。如急性脑梗死静脉溶栓治疗、急性脑梗死动脉溶栓及取栓介入手术治疗、脑血管造影术、颈动脉狭窄支架置入术、椎动脉狭窄支架置入术、锁骨下动脉狭窄支架植入术、颅内动脉狭窄支架置入术等。在缺血性脑血管病介入手术治疗方面具有丰富经验

本内容仅供医学专业人士作线上专业交流 本内容不向非医学专业人士开放,敬请理解 讲课内容仅代表专家个人观点,非通桥医疗推广产品
点击上方二维码
查看更多“介入”内容
声明:脑医汇旗下神外资讯、神介资讯、脑医咨询、Ai Brain 所发表内容之知识产权为脑医汇及主办方、原作者等相关权利人所有。
投稿邮箱:NAOYIHUI@163.com
未经许可,禁止进行转载、摘编、复制、裁切、录制等。经许可授权使用,亦须注明来源。欢迎转发、分享。
投稿/会议发布,请联系400-888-2526转3。







