
前 言
近日我中心完成一例经远桡入路行颈动脉支架术的病例,现汇报如下。
病例展播
患者:男性,68岁。
主诉:言语不利3天。
现病史:患者于入院前3天无明显诱因出现言语不利,表现为社体笨拙,吐字不清晰,症状呈持续性,无头晕、视物旋转,无耳鸣、听力减退,无头痛、发热、恶心、呕吐,无视物不清、视物成双,无饮水呛咳、吞咽困难,无肢体活动障碍,无肢体抽搐、口吐白沫,无意识障碍及大小便失禁,就诊于我院门诊,查头CT示脑内散在缺血灶,完善颈部血管超声示双侧颈动脉内中膜增厚伴多发斑块形成,右侧颈内动脉狭窄(70-99%),右侧锁骨下动脉起始处斑块形成。TCD提示右侧大脑半球低搏动改变——考虑右侧颈内动脉颅外段病变,右侧颈内-外侧支开放,右侧大脑后动脉流速代偿性增快,左侧椎动脉狭窄(轻度)。为进一步诊治收住入院。
既往史:高血压病、动脉粥样硬化、高脂血症。
个人史:吸烟史40余年,1包/日,饮酒史40余年,1两/日。
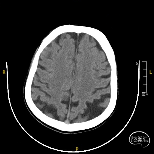
➢ 门诊头CT检查




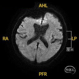
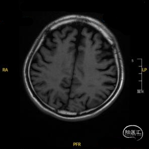
➢ 入院后头核磁检查








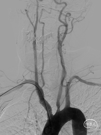
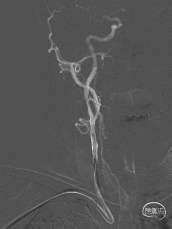
➢ 脑血管造影检查









脑梗死
高血压病2级(极高危)
右侧颈内动脉重度狭窄
多发脑血管狭窄
动脉粥样硬化
高脂血症
患者主因言语不利3天入院,头核磁提示右侧额、顶叶多发低灌注梗塞,脑血管造影提示右侧颈内动脉开口重度狭窄,为责任血管,另外患者前交通动脉、右侧后交通动脉开放不良,并且狭窄严重,考虑到高灌注风险,决定分期处理,一期小球囊扩张改善供血,二期支架成型。
6F桡动脉鞘
6F导引导管
5F长SIM Ⅱ(125cm)
5mm保护伞
2.5*20mm 通桥白驹®球囊
➢ 一期单纯球囊扩张成形术


长SIM与6F导引导管同轴,泥鳅导丝引导下将6F导引导管送至颈总动脉远端。


保护伞到位后释放(左图箭头),2.5*20mm通桥白驹®球囊以6atm扩张(右图箭头)。


扩张完毕后多角度造影显示狭窄较前明显改善(箭头处)。

撤出保护伞观察10分钟复查造影,无弹性回缩,狭窄明显好转,血流明显改善(箭头处),结束手术。
➢ 二期支架置入术
手术器械:
6F桡动脉鞘
6F导引导管
5F 125cm SIM Ⅱ
4.0*30mm 通桥白驹®球囊
保护伞
7*40mm 颈动脉支架

治疗术前完善桡动脉彩超,评估桡动脉路径情况。


长SIM与6F导引导管同轴,泥鳅导丝引导下将6F导引导管送至颈总动脉远端(左图),保护伞到位(右图)。



4.0*30mm通桥白驹®球囊以6atm扩张(左图箭头),扩张完毕后多角度造影显示狭窄交前明显改善(中图箭头处),扩张完毕后支架置入(右图箭头处)。




术后常规复查头CT未见明显出血。


穿刺置鞘图片和术后包扎图片。
病例小结
颈动脉粥样硬化性狭窄是脑梗死的常见病因,有文献报道狭窄程度与脑卒中的发病率呈正相关,对于轻度狭窄的血管,积极药物预防,可能会获得预期效果。但对于颈动脉狭窄程度>70%以上的患者,仅仅药物治疗临床效果较差,仍然会存在许多潜在的并发症风险,甚至可能引起严重的后果,应引起度高度重视。
颈动脉支架术主要有以下几点风险:①脑缺血,主要与手术进行中的颈内动脉中硬化斑块的脱落以及球囊扩张过程中血流阻断等因素相关,术中使用脑保护装置可防止大的栓子脱落,但是对于微栓子脱落导致微梗死的预防作用可能欠佳。②术后高灌注综合征,常在术后数小时发生,亦可持续至数日,术后控制血压很关键,在术后血压管理中避免使用血管扩张降压药,建议选择乌拉地尔降压。③颈动脉支架术中,颈动脉窦综合征的发生率较高,表现为血压下降和心率减慢,最常发生在球囊扩张时,扩张前静脉给予阿托品可有效提高心率。对于心动过缓并有严重的低血压病人,建议先安装临时起搏器后再行手术。④术后炎症反应与颈动脉粥样硬化狭窄以及斑块稳定性等方面密切相关,易导致血栓形成从而造成术后急性脑梗死。
今日汇报病例,颈内动脉狭窄严重,且前后交通开放不良,综合考虑一次成型高灌注风险大,分期处理是最佳选择,另外经远端桡动脉入路行支架置入术止血时间短,术后2小时拆除包扎,并发症发生率低,患者舒适性高,具有广阔的临床应用前景。但由于桡动脉远端直径小,血管曲折,并且部分患者在鼻烟窝部位无法触及桡动脉搏动或者搏动微弱,因此穿刺难度较大且易发生血管痉挛,术者们应不断加强技术培训,掌握穿刺及手术技巧,从而有力地推动脑血管病介入诊疗舒适化、精准化的发展。
术者简介
王铁军
大兴区人民医院
神经内科二病区主任,副主任医师,毕业于山东大学医学院
中国老年保健医学研究会慢性病分会委员
北京神经内科学会神经介入分会委员
北京神经内科学会青年委员会委员
北京神经科学学会血管神经病学专业委员会委员
北京医师协会神经介入专科医师分会理事
擅长脑血管病的神经介入诊断和治疗,自2015年起较早开展了经桡动脉入路全脑血管造影术及各种介入治疗手术。目前已开展各类手术4000余例,积累了丰富的经验,2019年被评为大兴区优秀医师
曾参与INTERACT2、CHANCE等国际和国家级协作课题,先后独立发表介入相关论文及个案报道数篇
任伟超
大兴区人民医院
大兴区人民医院神经内科,主治医师
北京神经内科学会青年委员会委员
曾参与多项学术活动,并多次在脑血管疾病相关论坛上做汇报,第二届中国神经介入手术大赛全国十佳医师,北京医学会举办的疑难病例讨论赛二等奖
主要从事脑血管疾病相关诊疗工作,擅长领域:脑血管造影、颅内外血管狭窄支架置入术及急性脑梗死的介入取栓治疗,年手术量800余台,主持院级课题一项,新技术两项,国内核心期刊发表论文11篇

本内容仅供医学专业人士作线上专业交流 本内容不向非医学专业人士开放,敬请理解 讲课内容仅代表专家个人观点,非通桥医疗推广产品
点击上方二维码
查看更多“介入”内容
声明:脑医汇旗下神外资讯、神介资讯、脑医咨询、Ai Brain 所发表内容之知识产权为脑医汇及主办方、原作者等相关权利人所有。
投稿邮箱:NAOYIHUI@163.com
未经许可,禁止进行转载、摘编、复制、裁切、录制等。经许可授权使用,亦须注明来源。欢迎转发、分享。
投稿/会议发布,请联系400-888-2526转3。









