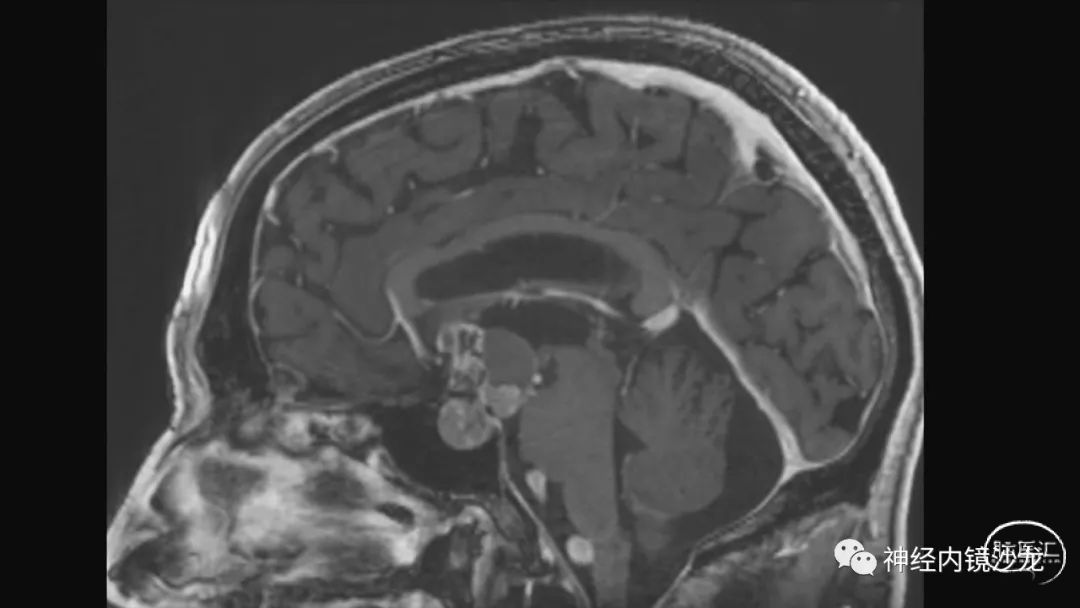
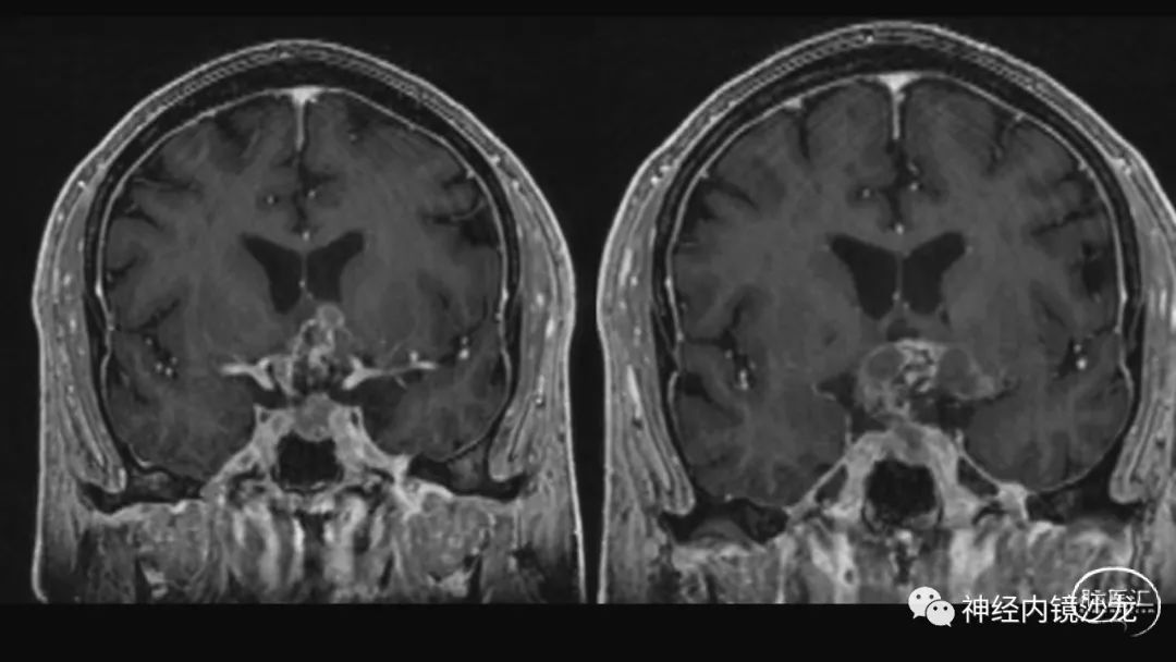
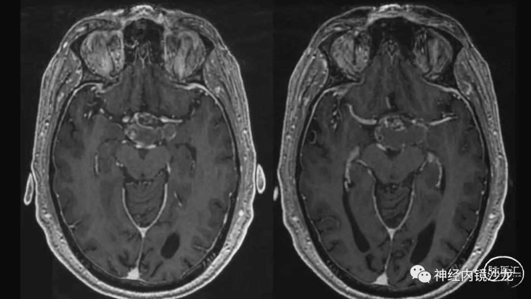
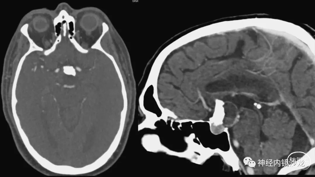
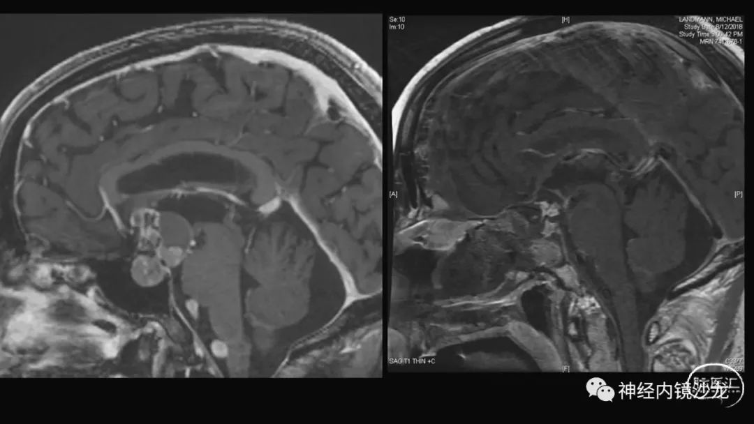
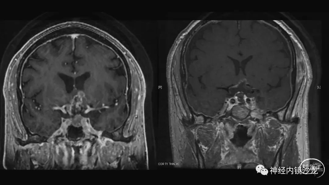
精彩图表

















手术视频
点击上方二维码观看手术视频
专家简介
于洪伟 副主任医师
哈尔滨医科大学附属第一医院神经外科副主任医师,博士
毕业于哈尔滨医科大学本硕博连读临床八年制专业
从事神经外科十余年,擅长神经外科肿瘤诊治,尤其是神经内镜微创手术治疗垂体瘤、颅咽管瘤、脑膜瘤等颅底肿瘤
现为中华医学会黑龙江省神经外科专委会内镜学组副组长
参与973研究前项等多项国家级课题研究,发表研究论文数篇;2021年获黑龙江医疗新技术一等奖
声明:脑医汇旗下神外资讯、神介资讯、神内资讯、脑医咨询、AiBrain 所发表内容之知识产权为脑医汇及主办方、原作者等相关权利人所有。






