

前言
后循环动脉闭塞引起的脑卒中约占所有缺血性脑卒中1/5。相比较于前循环大血管闭塞,急性基底动脉闭塞单纯药物治疗的死亡率和致残率更高,BAOCHE研究结果显示,对于发病在6-24小时之间的急性基底动脉闭塞患者,取栓组的患者90天时达到良好功能预后(定义为mRS 0-3分)的比例高于标准药物治疗(对照组),取栓治疗能显著改善患者临床结局。
针对药物治疗无效或者反复发作的椎动脉狭窄患者,血管内介入治疗已然成为目前非常普遍的治疗方式。而药物洗脱支架治疗椎动脉狭窄可以有效降低支架内再狭窄发生率,为椎动脉狭窄患者的治疗提供了一个更为安全有效的治疗方法。
NeuroHawk取栓支架可全身显影,全系兼容0.021in微导管,复合网孔设计可适应嵌合各种血栓,在迂曲的血管中展现良好的贴壁性和优秀的径向支撑力。
本期“术”说卒中由宜春市人民医院的吴刚主任带来NeuroHawk取栓支架联合Bridge椎动脉雷帕霉素靶向洗脱支架治疗后循环串联病变一例。


01
01
患者男性,70岁。
主诉:发作性意识障碍84分钟。
现病史:患者1小时前无明显诱因突发意识不清,面色苍白,120送入,转运时苏醒,数分钟后再次出现意识丧失,就诊于我院卒中中心CT排除脑出血后考虑为急性脑梗塞,予以静脉溶栓(阿替普酶)后症状又好转,症状反复。
既往史:5月份曾发作类似症状,当时予以“点滴治疗”。否认高血压、糖尿病等病史。
02
查体:
发作时神志嗜睡,双侧瞳孔等大等圆,直径3mm,可见旋转眼震,四肢肌力3级,NIHSS评分15分(意识水平提问1分,意识水平指令1分,运动8分,语言2分,共济失调2分
症状反复
02
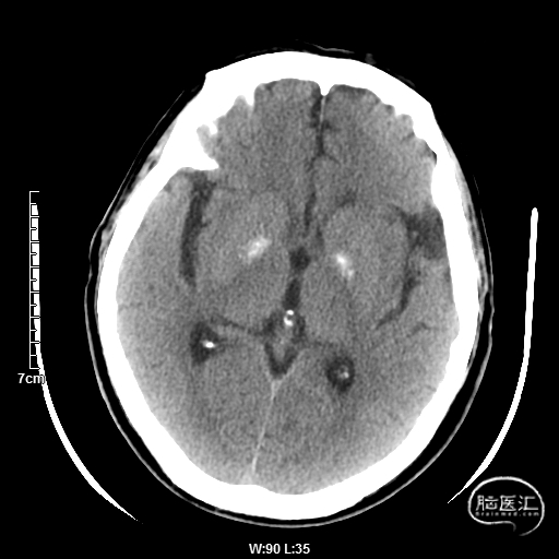
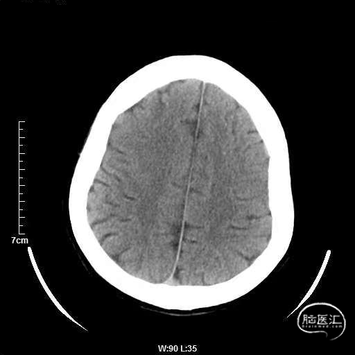
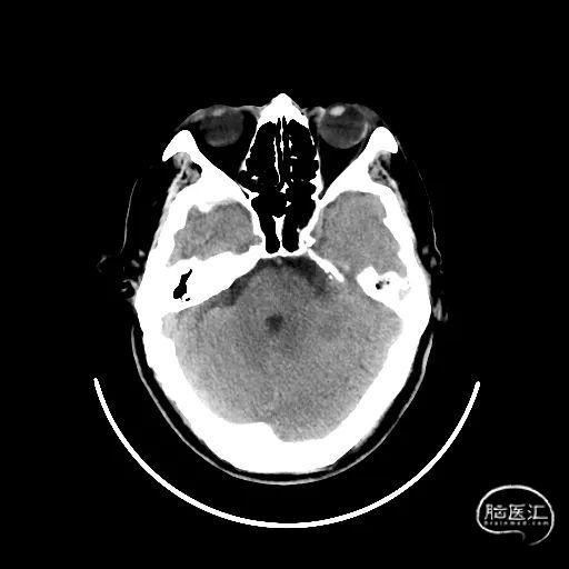
术前辅助检查
颅脑CT:未见明显缺血/出血病灶。










患者溶栓后神智恢复,配合查体,四肢肌力逐步恢复4+5-级。
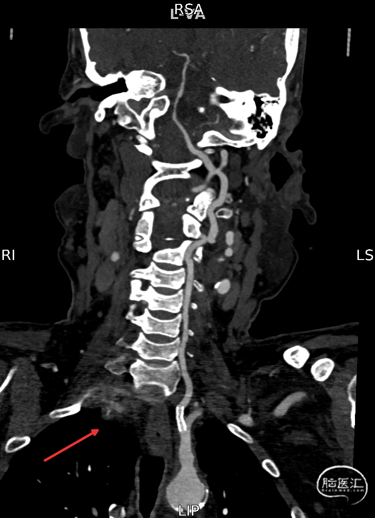
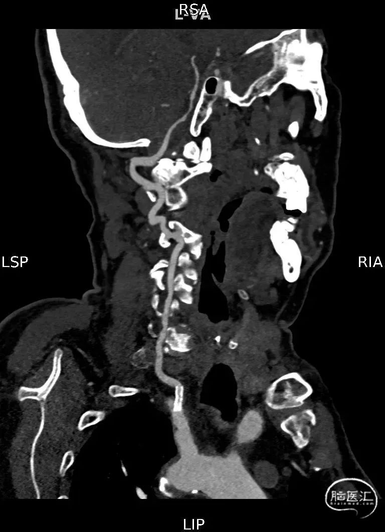
CTA提示:右侧椎动脉纤细,左侧椎动脉V1、V4段纤细。





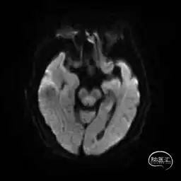
MRI提示小脑缺血性改变。








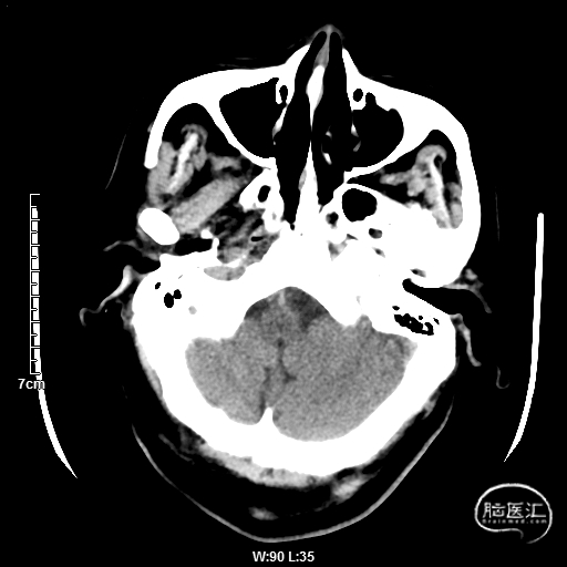
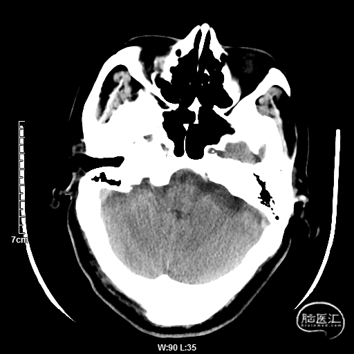
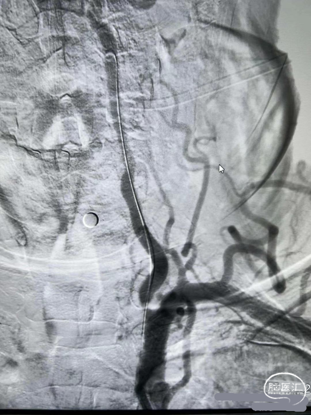
术前DSA影像
右侧颈内动脉起始部中度狭窄,未见血流向后循环代偿。


左侧颈内动脉造影提示后交通开放,代偿供应后循环。


左侧椎动脉开口重度狭窄,前向血流缓慢,V4闭塞。


03
初步诊断:
左侧椎动脉V4段闭塞、左侧椎动脉起始部重度狭窄、左侧小脑急性脑梗塞、右侧颈内动脉起始部狭窄。
手术方案:
患者急性缺血性脑卒中诊断明确,发病到入院时间在6小时内,无静脉溶栓禁忌症,予阿替普酶静脉溶栓。后予桥接行脑血管造影+血管内治疗。
手术难度与风险评估:
左侧椎动脉急性闭塞,椎动脉起始部重度狭窄影响通路建立,后循环缺血再灌注损伤。

术中涉及器械
导引导管:8F Guiding 90cm
中间导管:6F 中间导管
微导管:0.021inch 微导管
微导丝:0.014inch*200cm、300cm 微导丝
取栓支架:4mm*25mm Neurohawk取栓支架
椎动脉支架:4mm*15mm Bridge椎动脉雷帕霉素靶向洗脱支架
04
1
建立通路:
8F Guiding置于左侧锁骨下动脉,泥鳅导丝带中间导管无法成功超选,更换微导丝+球囊。
使用球囊接力技术将Guiding送入左侧椎动脉:
1、越过狭窄部位
2、阻断血流



2
微导管到位及微导管造影:
微导管造影,确认在真腔。
操作要点:
判断闭塞位置及长度,选择合适规格支架。


3
支架释放:
释放4mm*25mm Neurohawk取栓支架,可见支架显影良好,支撑性好,远端打开良好。中间导管跟上抽吸-SWIM技术。
操作要点:
固定支架推送杆,缓慢回撤支架微导管。

4
支架回撤:
借助支架锚定,跟进中间导管至接触血栓,SWIM技术取栓一次,恢复血流。
操作要点:
撤出微导管,采用裸导丝技术增加抽吸空间。


5
保留微导丝、Guiding回撤到锁骨下,观察椎动脉开口:椎动脉开口无法维持。拟行椎动脉开口支架成形术,选用4mm*15mm Bridge椎动脉雷帕霉素靶向洗脱支架。





操作要点:
释放后注意严格控制血压,球囊不急于撤出,可逐步泄压。


6
术后造影:
血管再通,前向血流3级。左侧为胚胎型大脑后。


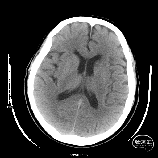
术后用药:替罗非班24小时复查CT后桥接双抗。
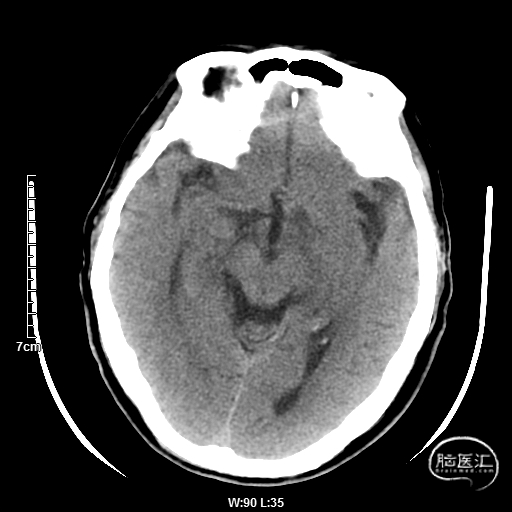
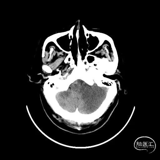
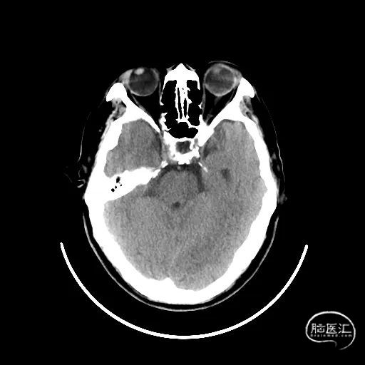
术后CT:未见明显脑出血,双侧小脑低密度影。








术后CTA:Bridge药物支架形态良好,前向血流良好。




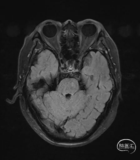
术后9天MRI:








随访结果:
术后第一天:神志清楚,言语正常,头晕,共济失调,双侧瞳孔等大正圆,直径3mm,对光反射灵敏,四肢肌力5级,NIHSS评分1分。
术后第九天:恢复出院。
术后半年CTA:Bridge支架形态及贴壁良好,前向血流正常。


治疗体会
该患者起病1小时余到诊我院,查体NIHSS评分15分,神经功能缺失明显,症状反复,结合CT及CTA考虑为后循环缺血所致,虽然右侧椎动脉可见供血,但从病史分析及MRI分析考虑左侧椎动脉为急性闭塞,为急性血管内再通提供手术依据。
取栓技术个体化:术中造影证实为左侧椎动脉闭塞,左侧椎动脉为后循环优势动脉,术后出血风险较高,合并椎动脉起始部重度狭窄可能需要治疗,因此选择NeuroHawk取栓支架,该支架显影性良好、费用较低、效果佳,血栓一次性完整取出,SWIM技术取栓一次后前向血流恢复,椎动脉开口单纯球扩后不能维持,考虑远期疗效,选用了Bridge椎动脉雷帕霉素靶向洗脱支架。
术者简介
吴刚
宜春市人民医院
神经外科副主任医师
江西省卒中学会神经介入专业委员会常委
从事脑血管病的临床诊治和相关研究工作10余年
2017年至2018年在北京天坛医院进修学习一年
擅长颅内血管性疾病(脑梗塞、脑出血、颅内动脉瘤)的手术及介入治疗。作为术者累计完成出血及缺血诊断治疗1000余例次
-END-
点击上方二维码
查看更多“介入”内容
声明:脑医汇旗下神外资讯、神介资讯、脑医咨询、Ai Brain 所发表内容之知识产权为脑医汇及主办方、原作者等相关权利人所有。
投稿邮箱:NAOYIHUI@163.com
未经许可,禁止进行转载、摘编、复制、裁切、录制等。经许可授权使用,亦须注明来源。欢迎转发、分享。
投稿/会议发布,请联系400-888-2526转3。







