病例展播
病例信息
患者:男性,64岁。
主诉:反复头晕,左侧肢体乏力4天。
现病史:患者约4天前无明显诱因出现反复头晕,伴左侧肢体乏力,头晕随头部位置改变加重,伴视物旋转,遂到当地医院就诊。行CT提示双侧基底区多发腔梗,MRI检查提示双侧基底节区、放射冠区,双侧额顶叶多发腔梗灶或缺血灶,MRA提示右侧椎动脉V4段动脉瘤,予药物治疗,患者头晕症状有所好转,但仍与位置有关,左侧肢体仍麻木,今为求进一步治疗来我院就诊。患者发病来神志清,精神可,饮食及睡眠可,大小便无异常。
既往史:有高血压病史,具体不详,无糖尿病病史,无手术外伤史。
入院查体:神清语利,遵嘱运动,肌力5级,生理反射存在,病理反射未引出。
影像资料
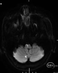
DWI示:延髓右侧、右侧小脑半球散在亚急性期梗死灶。
ASL示:双侧小脑半球、脑干低灌注改变。




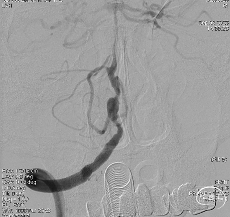
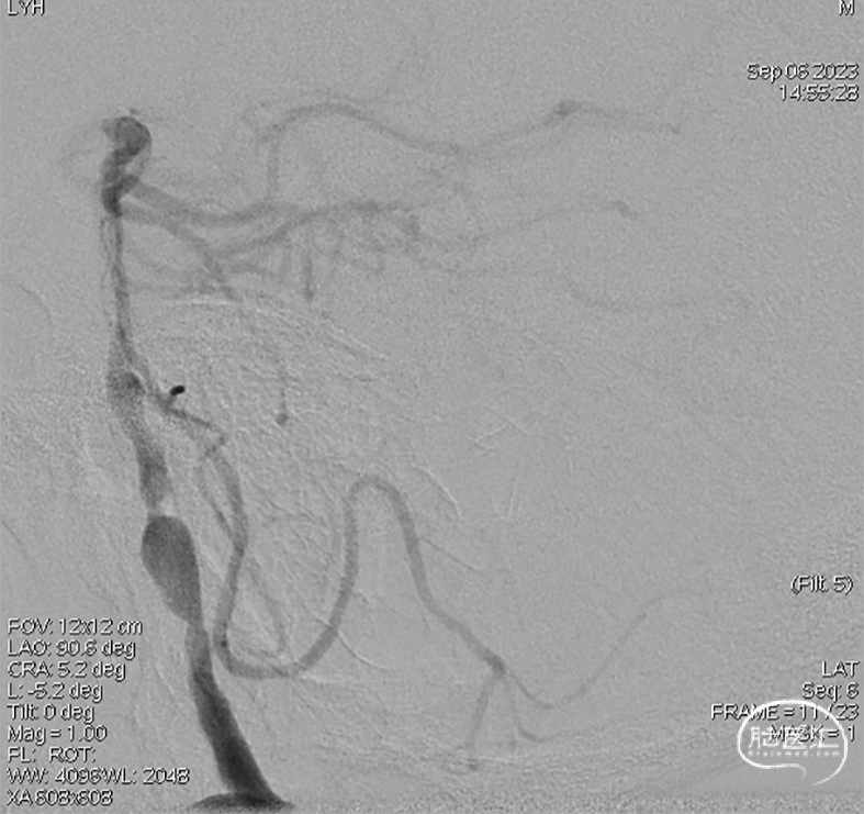
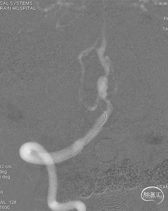
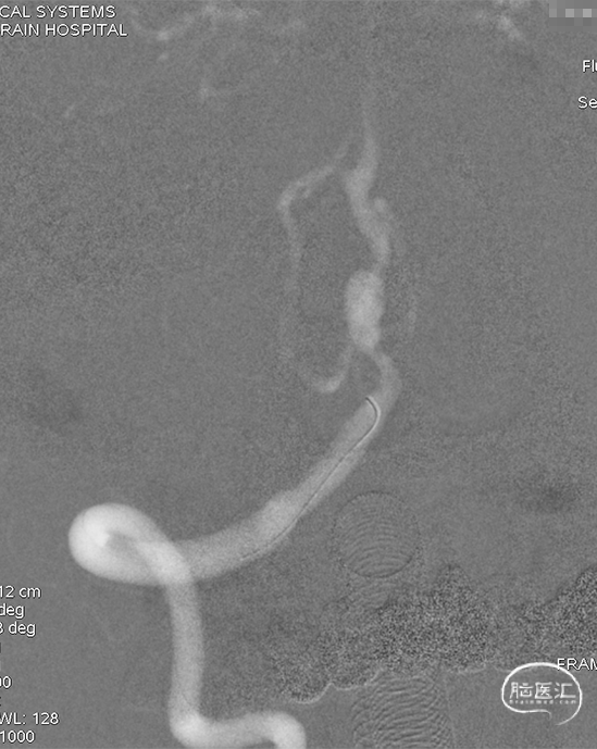
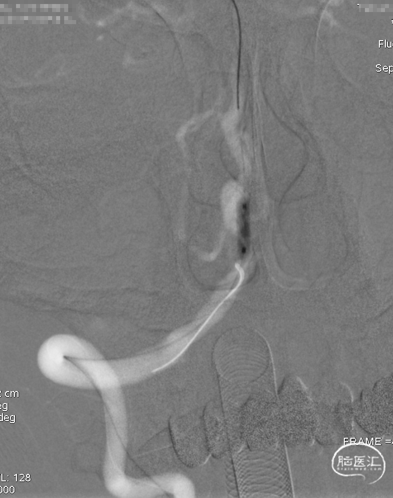
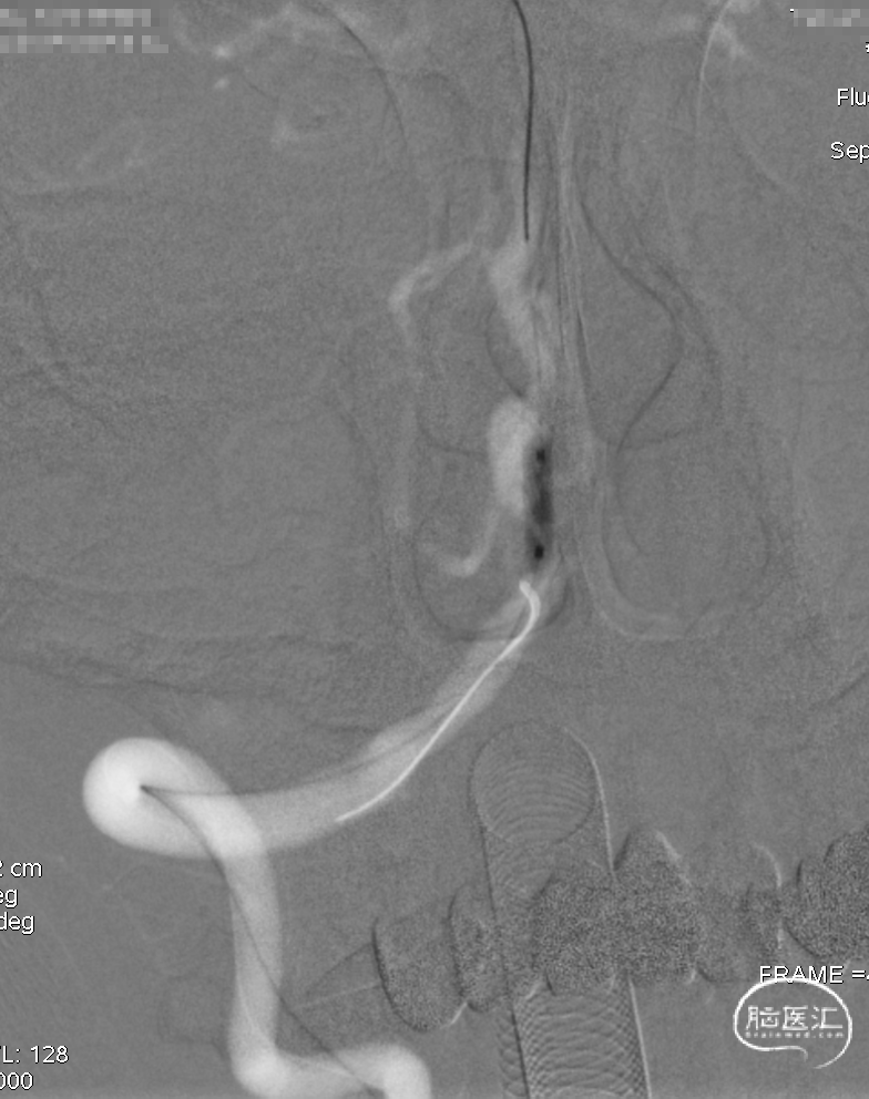
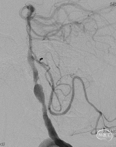
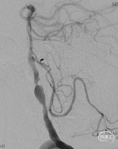
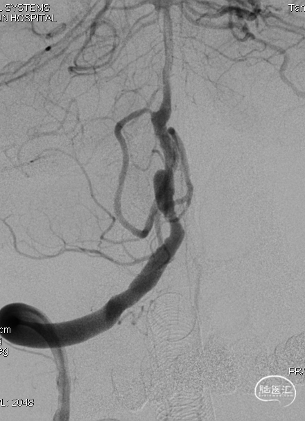
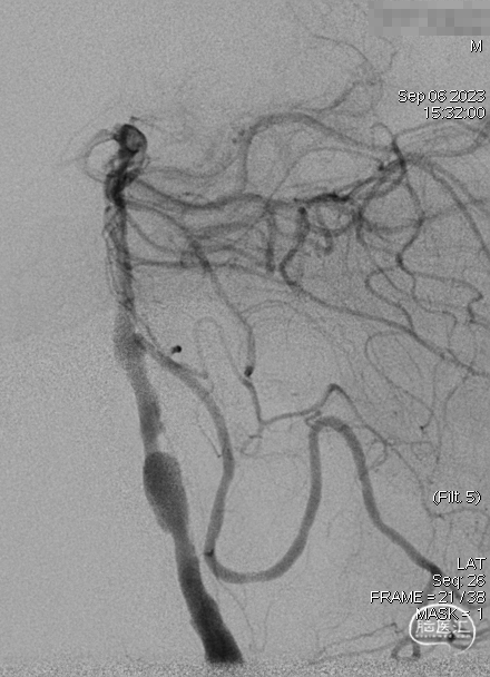
DSA示双侧椎动脉V4段狭窄,右侧为著且合并梭形动脉瘤。



术前DSA。
术前准备
右侧椎动脉V4段狭窄合并梭形动脉瘤、左侧V4段狭窄。
后循环低灌注,右侧明显,合并动脉瘤存在破裂出血风险。
①右椎球扩+FD
②右椎球扩+激光雕刻或编织支架辅助栓塞
③闭塞右椎
患者及家属经反复考虑,最终选择方案①。
右侧桡动脉入路。
器械材料准备
6F 桡动脉鞘 6F 105cm 通桥银蛇®DA远端通路导引导管 通桥白驹®颅内球囊扩张导管 2.50*10mm 200cm微导丝 Marksman微导管 支架:Pipeline™Flex 3.00*30mm
治疗过程



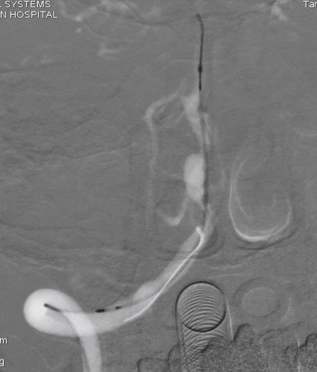
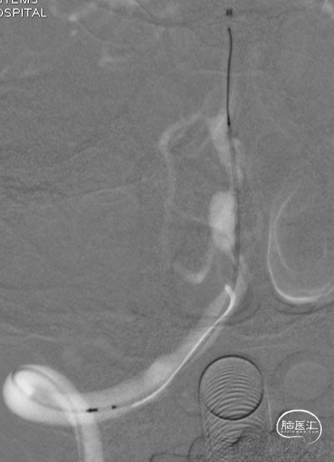
银蛇DA到位
Roadmap




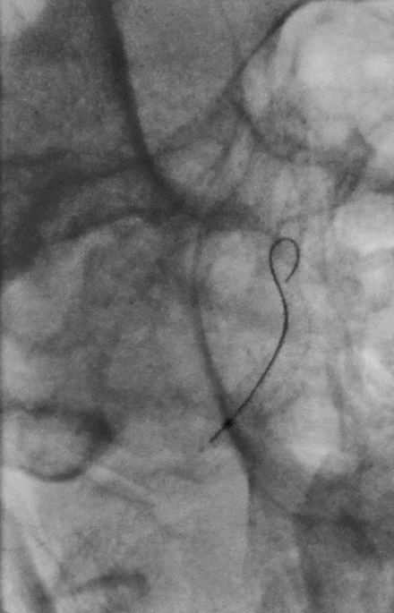
通桥白驹®球囊(2.5*10),先远后近扩张。


球扩后,狭窄改善。
Marksman到位。


逐步释放Pipeline(3.00*30)。


支架完全释放,微导丝“按摩”支架。
术后情况


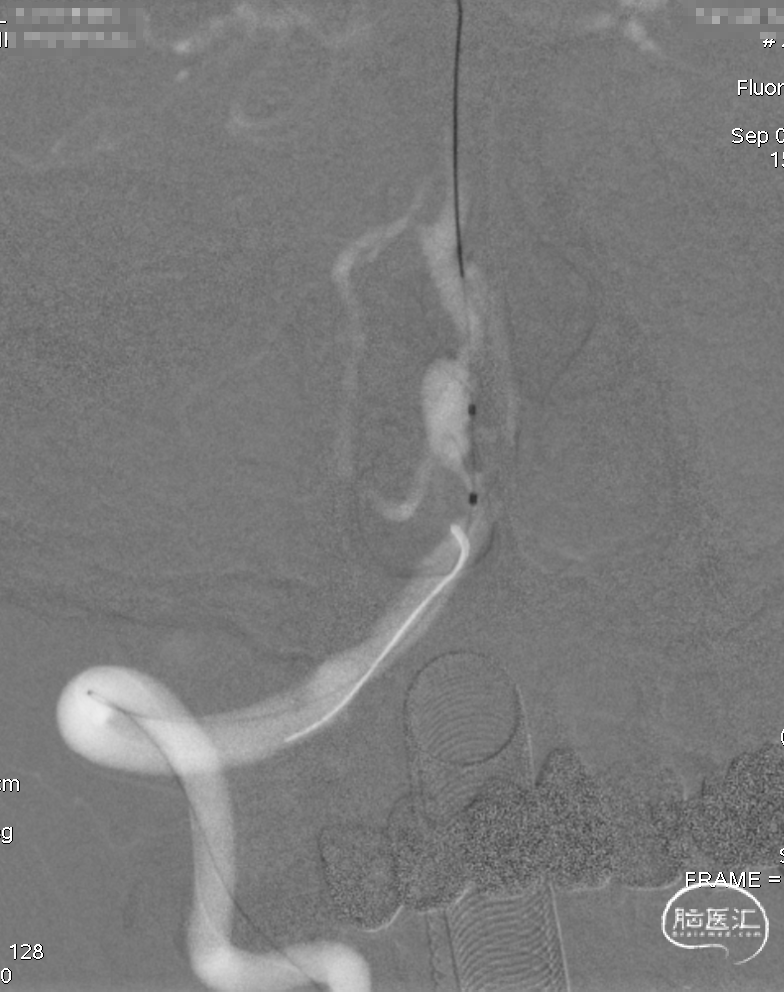
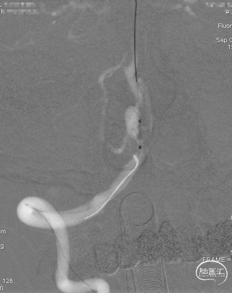
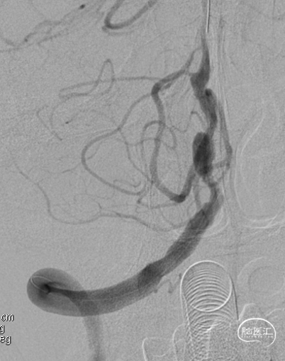
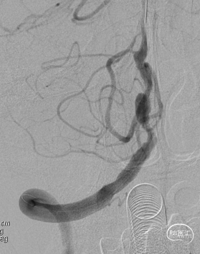
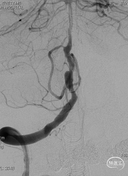
术后即刻DSA。



术后即刻稀释造影:“拉直”可见支架贴壁良好。
病例小结
狭窄合并动脉瘤处理起来较为棘手,安全有效的扩张是手术成功必要的一环。
普通支架辅助栓塞梭形动脉瘤效果不佳,FD疗法能更好修复管腔,期待随访结果。
后循环病变经桡入路治疗能给患者带来更舒适的术后体验。
通桥银蛇®DA远端通路导引导管支撑力较好、到位较高、头端较柔软,能满足FD置入的通路条件。
术者简介
王培明
广东三九脑科医院
神经外科副主任医师,广东三九脑科医院介入科主任
广东省医师协会神经介入分会常委
广东省临床医学学会介入神经病学专业委员会委员
中国研究型医院学会委员
主要从事神经血管的血管内治疗,累计完成手术千余例,包括出血性疾病如动脉瘤、脑动静脉畸形、动静脉瘘等及缺血性疾病如颅内血管狭窄成形、支架植入、急性血管再通等
凌宇辉
广东三九脑科医院
神经外科主治医师
广东省医疗行业协会脑血管病管理分会委员
广东省中医药学会卒中专业委员会青年委员
主要从事脑血管病的血管内诊治工作,擅长颅内动脉瘤、脑动静脉畸形、硬脑膜动静脉瘘、颈动脉海绵窦瘘、颅内外动脉狭窄或闭塞、急性缺血性脑卒中等脑血管病的血管内治疗
本内容仅供医学专业人士作线上专业交流
本内容不向非医学专业人士开放,敬请理解
讲课内容仅代表专家个人观点,非通桥医疗推广产品

点击上方二维码
查看更多“介入”内容
声明:脑医汇旗下神外资讯、神介资讯、脑医咨询、Ai Brain 所发表内容之知识产权为脑医汇及主办方、原作者等相关权利人所有。
投稿邮箱:NAOYIHUI@163.com
未经许可,禁止进行转载、摘编、复制、裁切、录制等。经许可授权使用,亦须注明来源。欢迎转发、分享。
投稿/会议发布,请联系400-888-2526转3。