

患者术前左眼球突出明显,左眼肿胀,视野检查左眼视野有缺损,眼球活动检查显示左眼活动障碍。


头颅CT:前颅底、眼眶、筛窦、骨质广泛受破坏,眼球挤压变形,鼻中隔明显偏向右侧。
目前针对着广泛侵犯的鼻、眶、颅,沟通性肿瘤,经典入路包括以下三种。
1. 经颅面联合入路:经冠状瓣开颅,联合鼻翼外侧沟切开面部,暂时缝合眼睑,再分别切除颅内和鼻腔肿瘤。
2. Derome前方颅底入路:即扩大额下硬膜外入路,进入前颅底,从颅内方向向鼻腔方向切除肿瘤,显露范围大,可切除侵犯筛骨、蝶骨和斜坡的肿瘤。
3. Sekhar的扩大经额入路:在Derome前方颅底入路的基础上,加做眶额骨切开,进一步改善显露,切除肿瘤。
这三种入路都从颅内向鼻腔方向清除,全切肿瘤有难度,我们选择从鼻腔进入切除鼻腔内、蝶窦和筛窦的肿瘤,从泪前隐窝入路切除进入上颌窦的肿瘤,再在眉间内眦做一小切口切除颅内和眼眶部分肿瘤。
手术方案选择:我们拟采用内镜经鼻➕额窦开窗联合微创治疗


























术中所见
主刀:楼美清
助手:毕云科 山乔
术中发现肿瘤从前颅底、眼眶方向向下生长,进入鼻腔,破坏上鼻甲、中鼻甲、筛泡、筛窦、蝶窦,进入上颌窦腔。没有破坏鼻中隔黏膜和右侧鼻腔,该部分肿瘤相对质地中等偏软,血供丰富,位于上颌窦内及连接处的肿瘤,通过泪前隐窝入路切除。
筛窦、筛板均被肿瘤破坏,视神经前方、眼眶、眼球后方的肿瘤质地较韧,眶周膜被破坏,肿瘤与眼眶内侧壁神经关系非常密切,神经异常粗大,疑似肿瘤起源。
肿瘤与颅底硬膜粘连较紧,质地较韧,部分肿瘤侵入硬膜下,均将其切除后,缺损硬膜在内镜下缝合,内衬人工硬膜,外覆阔筋膜及黏膜瓣,病人术后无脑脊液漏发生。


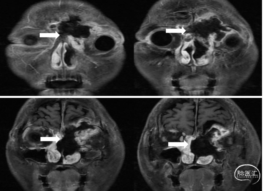
术后MRI检查结果:显示颅内、额窦、筛窦、眼眶、鼻腔、蝶窦及上颌窦内肿瘤均已切除,MRI显示高信号为脂肪组织。
患者术后眼球突出明显好转,可以平卧睡眠,无新增神经功能障碍,眼球活动同术前。

![]()
专家简介
楼美清教授
Professor Meiqing Lou,M.D.
上海市第一人民医院神经外科主任,医学博士,教授,主任医师,博士生导师
世界神经外科联合会(WFNS)颅底外科组委员,中华医学会上海市神经外科专委会常委,中国医师协会神经内镜专业委员会委员,中国医师协会微侵袭神经外科专委会委员,世界华人神经外科协会脊柱脊髓专家委员会副主委,中华医学会神经外科分会神经肿瘤专业组委员, 中国医师协会脑血管病专业委员会委员,上海市抗癌协会神经肿瘤专业委员会副主委,中华医学会神经脊柱专业委员会委员,中国垂体瘤协作组委员
从事神经外科工作27年,有高度娴熟扎实的显微镜和内镜神经外科技术操作功底, 在颅内肿瘤、脑血管病、脊椎等神经系统疾病手术中积累了约6000余例的丰富临床经验。擅长治疗垂体瘤、听神经瘤、脑干等颅底疾病
声明:脑医汇旗下神外资讯、神介资讯、神内资讯、脑医咨询、AiBrain 所发表内容之知识产权为脑医汇及主办方、原作者等相关权利人所有。










