
病例简介
患者基本信息:男,77 岁,因“发现言语不能、右侧肢体瘫痪 3 小时”于 2023.10.22 我院急诊就诊。
现病史:患者 3 小时前睡醒后(距最后正常时间为 7 小时)被家属发现不能言语,右侧肢体无自主活动,无意识障碍、肢体抽搐、大小便失禁等症状,急诊评估 NIHSS 评分 17 分,行头部 CT 排除出血(图 1),绿道 DWI+MRA 示左侧大脑半球多发急性梗死灶,左侧大脑中动脉 M1 分叉前闭塞,远端显影较淡(图 2)。向家属告知病情及静脉溶栓、急诊取栓风险、获益,家属表示知情理解,同意直接取栓治疗。
既往史:2023.10.21 有我院门诊就诊史(主诉是头晕就诊,无阳性体征),完善有 MRI+MRA示多发腔隙性脑梗死,右侧大脑中动脉 M1 分叉后段管腔重度狭窄,前交通开放,双侧大脑前动脉由左侧颈内动脉供血(图 3);有高血压病、心房颤动病史,未规范服药治疗。
个人史:烟酒史不详。
入院查体: Bp112/77mmHg,嗜睡,完全混合性失语,双眼向左凝视,右上肢肌力 0 级,右下肢肌力 0 级,左侧肢体肌力 5 级,感觉共济不合作,右下肢病理征(+)。NIHSS 评分 17 分。
影像资料:

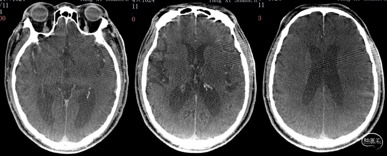
图 1: 2023.10.22 CT 平扫:脑内多发腔隙性脑梗死。ASPECT:10 分

图 2: 2023.10.22 DWI+MRA 示左侧大脑半球多发急性脑梗死病灶;左侧大脑中动脉 M1 分叉前闭塞,远端显影较淡;前交通开放,双侧大脑前动脉由左侧颈内动脉供血。

图 3:2023.10.21MRI+MRA 示多发腔隙性脑梗死;右侧大脑中动脉 M1 分叉后段管腔重度狭窄;前交通开放,双侧大脑前动脉由左侧颈内动脉供血。
初步诊断
1. 心源性脑栓塞
2. 左侧大脑中动脉 M1 闭塞
3. 心房颤动
4. 高血压病 3 级 很高危
术前讨论
病例特点及治疗策略:患者被发现言语不能、右侧肢体无力 3 小时;根据连续两天 MRA 结果,左侧大脑中动脉M1 闭塞推断为栓塞所致;DWI 见高信号区约为 1/3 大脑中动脉供血区;神经功能缺损严重(完全性失语,右侧肢体全瘫),需要积极干预治疗,避免不良预后。患者为醒后卒中,大血管栓塞,梗死面积约为 1/3 大脑中动脉供血区,静脉溶栓再通率低,出血转化风险高,拟直接急诊取栓治疗。
手术器械:
·6F Neuron MAX 长鞘
·6F 125cm 银蛇颅内支持导管
·Synchro 微导丝 0.014in*200cm
·Prowler select plus 微导管
·EmboTrap 支架 5mm*33mm
治疗过程
术前造影:

图 4:主动脉弓造影:II 型弓,左侧大脑中动脉 M1 分叉前闭
手术过程:
全麻、导尿,消毒铺巾,右侧股动脉穿刺,8F 动脉鞘置鞘。6F 长鞘(NeuroMAX)内衬 6F 中间导管(银蛇颅内支持导管)置于左侧颈内动脉海绵窦段。经上述通路,由微导丝(Synchro 0.014in*200cm)带领微导管(Prowler select plus)到达左侧大脑中动脉 M2 段下干,撤出微导丝,微导管冒烟证实在真腔。沿微导管输送取栓支架(EmboTrap)至支架近端标记与血栓起始部重合,固定支架,采用锚定技术,推送中间导管跟进至支架近端不透射线线圈处(动图)(中间导管不接触血栓,避免回撤过程中切割血栓,产生血栓碎片),中间导管及长鞘均开启负压抽吸,缓慢匀速持续回撤支架(约 5mm/S),直至有阻力,锁紧中间导管 Y 阀,将血栓与抽吸导管作为整体回撤。长鞘复查造影,见左侧大脑中动脉再通,mTICI分级 3 级,无残余狭窄,远端未见栓塞征象。DynaCT 未见颅内出血(图 6),观察 10 分钟后复查造影同前,结束手术。

动图:银蛇颅内支持导管丝滑跟进至支架近段不透射线线圈处


图 5: 取栓过程【注:A 为长鞘到位后造影,证实左侧大脑中动脉 M1 闭塞,血栓位于 M1 折角转弯处;B 为微导管到位后推送支架至支架近端标记与血栓起始部重合(红色箭头为支架近端标记及血栓起始部);C 为支架释放后,其内通道的设计,可见前向血流;D 为长鞘复查造影,血流恢复 mTICI 分级 3 级。】

图 6: DYNA-CT:未见高信号及明显低密度改。
术后处理及预后转归
因患者发病前有进食,术后带气管插管转入 NCU。术后第二天神志转清,自主呼吸可,拔出气管插管后查体:神志清楚,完全混合性失语,双侧眼球左视居多,右上肢体肌力 0级,右下肢肌力 2 级,左侧肢体肌力 5 级,感觉、共济不合作,右下肢病理征(+)。NIHSS评分:14 分。2023.10.23 复查头部 CT 示左侧额颞顶叶及岛叶局部密度较前减低;头颈 CTA:右侧大脑中动脉 M1-2 段中重度狭窄;左侧大脑中动脉 M2 段中度狭窄(图 7)。

图 7: 2023.10.23 头部 CT 示左侧额颞顶叶及岛叶局部密度较前减低;头颈 CTA:右侧大脑中动脉 M1-2 段中重度狭窄;左侧大脑中动脉 M2 段中度狭窄。
操作体会
通桥颅内支持导管跟进性能优异,6F 125cm 的银蛇可以轻松高到位左侧大脑中动脉M1,当然跟这例患者整体路径良好及支架锚定有一定关系。
EmboTrap 取栓支架拥有独特的双层网篮和 3D 闭合末端设计,不同于传统取栓支架仅依靠径向支撑力与血栓“静态嵌取”,可利用“动态捕获”的取栓原理实现对不同类型血栓的高效抓捕,结合大口径中间导管及长鞘的双负压抽吸,采用 EPIC 技术能充分发挥高效抓捕及高抽吸力度的特点,可以极大的提高一把再通率。
该例患者,针对直接取栓 OR 桥接取栓以及是采用直接抽吸 OR 抽拉结合,卒中团队做了快速而高效的讨论。
首先是否静脉溶栓,急诊接诊医师与卒中绿道医师发生了热烈的讨论。急诊接诊医师认为患者为醒后卒中,梗死面积较大,静脉溶栓出血转化风险高,再通率低,且增加治疗费用,跳过溶栓,直接取栓可以更快实现闭塞血管的再通,这对改善侧枝代偿极差的栓塞患者预后非常重要。绿道医师的观点是根据最新发布的《中国脑血管病临床管理指南(第 2 版)》第 4 章 缺血性脑血管病临床管理推荐意见:1、对于发病>4.5h 但 DWI 病变<1/3 大脑中动脉供血区或 FLAIR 阴性的 AIS 患者,接受静脉注射阿替普酶治疗是获益的(IIa 类推荐,B 级证据);2、对于醒后卒中患者,如果 DWI-FLAIR 不匹配,若患者不计划或不推荐机械取栓治疗,则推荐阿替普酶静脉溶栓治疗(IIa 类推荐,B 级证据)。该例患者发病时间在 4.5~9 h,属于醒后卒中,应该立即加做 FLAIR 检查(我院常规多模影像评估为一站式 CTA/CTP,或DWI+MRA),评估 FLAIR 是否阴性或 DWI-FLAIR 不匹配来决定是否静脉溶栓。最终决策大家都知道,是采取了直接取栓方案。原因是加做 FLAIR 检查需要较长时间,同时患者 DWI显示梗死面积较大,临床症状重,家属积极,决定直接取栓获益可能更大。
患者发病前一天 MRA 检查见左侧大脑中动脉 M1 通畅,结合有心房颤动病史,突发起病,出现完全性失语,右侧肢体全瘫,行 MRA 检查发现左侧大脑中动脉 M1 闭塞,确切是栓塞所致。不同地区在进行这种病变处理时可能有不同的倾向性:欧洲更常选择支架取栓或联合支架取栓+抽吸作为一线方法,直接抽吸是美国和加拿大更常见的首选一线方法,而在广州取栓俱乐部的内部调查中,联合治疗的比重更大。结合本例患者左侧大脑中动脉 M1 分叉前存在迂曲成角,由于抽吸导管于血栓接触角度原因,迂曲成角病变单纯抽吸开通率低,栓子逃逸风险高,故本例采用的是抽拉结合的方法。
大血管闭塞性脑梗死尤其是心源性栓塞,由于没有慢性缺血预适应,侧支循环建立不充分,往往再灌注时间窗更短,所以对这类病人的救治更应争分夺秒。为实现最短时间内的一把再通,使用长鞘+中间导管+支架的抽拉结合技术,来提高一把再通率,并且最终获得了理想的结果。
术者简介
刘感哲
武汉市中心医院
神经内科副主任医师;
湖北省脑血管病防治学会神经介入专委会委员;
中国老年医学学会眩晕/前庭医学分会委员;
武汉医学会神经病学分会眩晕学组委员;
2012年毕业于中南大学湘雅医学院。2023年3月-2023年9月在北京天坛医院进修神经介入;
专业方向为头晕眩晕及神经介入。以第一作者或者通讯作者发表SCI2篇和中文核心数篇,主持武汉市卫健委课题一项。
经屏
武汉市中心医院
神经内科主任,主任医师,硕士生导师;
中国卒中学会头痛分会委员;
国家卫健委脑防委血管性认知障碍专委会委员;
湖北省神经科学学会理事;
湖北省卒中学会常务理事;
武汉医学会神经内科分会副主任委员;
武汉医学会神经血管介入分会副主任委员;
武汉医师协会神经内科医师分会副主任委员;
武汉医学会神经内科分会神经重症学组副组长;
湖北省脑血管病防治学会神经介入专委会副主任委员;
湖北省病理生理学会心身医学专委会常委;
《中华行为医学与脑科学杂志》特邀编委。
![]()

点击或扫描上方二维码
查看更多“介入”内容
声明:脑医汇旗下神外资讯、神介资讯、脑医咨询、Ai Brain 所发表内容之知识产权为脑医汇及主办方、原作者等相关权利人所有。
投稿邮箱:NAOYIHUI@163.com
未经许可,禁止进行转载、摘编、复制、裁切、录制等。经许可授权使用,亦须注明来源。欢迎转发、分享。
投稿/会议发布,请联系400-888-2526转3。







