今天为大家分享的是,由山东省肿瘤医院李峰教授、曹景蔚医师、郭威才医师带来的:双直切口右额、顶开颅一期切除右额、顶多发脑膜瘤,欢迎阅读、分享!
患者情况
女,49岁。
主诉:间断性头痛3年,左侧肢体乏力2周。
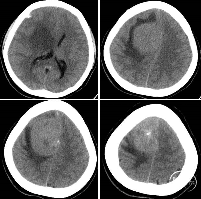
现病史:患者2020年无明显诱因出现头痛,患者未予以重视及相关诊疗。2周前患者出现左侧肢体活动障碍,伴肢体麻木,遂于2023年9月19日就诊于当地医院,行颅脑CT检查示:“右侧顶部大脑廉旁见混杂密度影,边界清,大小约6.0cm×4.4cm,周围见低密度水肿,脑中线左移,脑沟及脑室系统未见特殊,提示:右顶部占位,脑膜瘤可能性大,建议进一步检查”。现为求手术治疗,转至我院。
既往史:无特殊病史。
查体:左上肢肌力Ⅳ级,左侧肢体浅感觉减退,左下肢肌力Ⅳ+级。
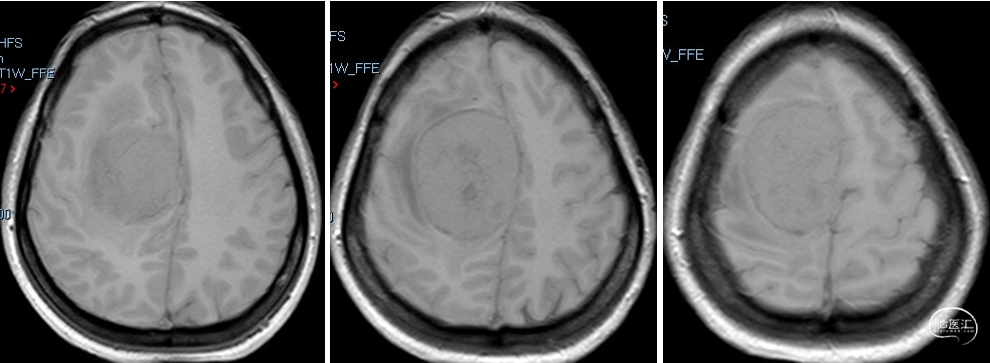
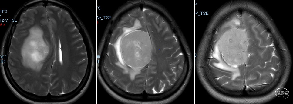
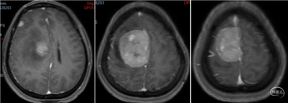
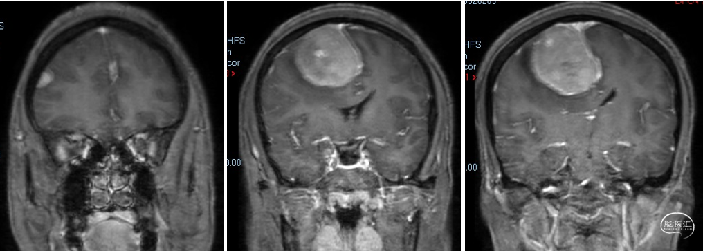
术前检查

术前CT





诊断及手术方式
术前诊断:颅内多发脑膜瘤(右额顶部窦旁及右额部)。
手术方式:右侧额部及窦旁脑膜瘤切除术。

手术视频
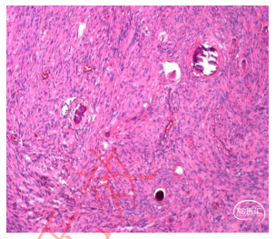
肿瘤病理


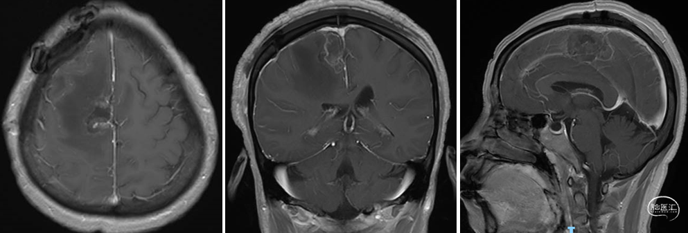
术后影像

专家简介
李峰 教授
山东第一医科大学附属肿瘤医院
山东第一医科大学附属肿瘤医院(山东省肿瘤医院)神经外科主任,大外科副主任。主任医师,硕士研究生导师
2015年评聘为山东大学齐鲁医院第三届十大杰出青年人才,2016年评聘为山东大学齐鲁医学院齐鲁名医体系杰出青年医师。2021年人才引进至山东省肿瘤医院,2022年评聘为山东省肿瘤医院十大知名专家
学术兼职:山东省临床肿瘤学会神经肿瘤专家委员会主任委员,山东省疼痛医学会副会长、神经外科青年专业委员会主任委员,山东省医学会神经外科学分会委员,中国抗癌协会神经肿瘤专委会委员,中国医师协会小儿脑胶质瘤专业委员会委员,山东省胶质瘤协作组委员,山东省脑血管病防治协会微创诊疗专业委员会委员,山东省神经肿瘤质控学组组长,山东省突发事件卫生应急专家咨询委员会委员
课题研究主要进行脑肿瘤的发生、发展机制以及精准诊疗的基础与临床研究,脑组织再生与修复的基础与临床研究。主持研究课题包括:山东省重点研发计划二项,国家自然科学基金、山东省自然科学基金、中国博士后科学基金特别资助项目、中国博士后科学基金面上项目一等资助、以及山东大学自主创新基金各一项。研究成果获山东省科技进步二等奖,山东省心功能研究会科技创新二等奖。发表SCI收录英文论文29篇,中文论文19篇。编著著作《临床神经外科学》、《颅脑巨微解剖学》等
擅长对高难度、高风险疑难复杂颅底、松果体区以及脑干肿瘤的显微及内镜微创手术治疗,垂体腺瘤、颅咽管瘤、脊索瘤、脑膜瘤、神经鞘瘤等中央及侧颅底肿瘤的内镜经鼻腔微创手术治疗,脑胶质瘤、转移瘤、淋巴瘤、黑色素瘤、儿童胚胎性肿瘤等恶性肿瘤的手术、放化疗、靶向和免疫治疗的综合多学科、序贯一站式、个体化精准诊疗,以及面肌痉挛、三叉神经痛、舌咽神经痛等的内镜微创手术治疗
曹景蔚 主治医师
山东省肿瘤防治研究院
主治医师
擅长对脑肿瘤、脑膜转移、脊髓肿瘤、脑外伤、脑积水、三叉神经痛及面肌痉挛等神经外科常见疾病的诊治
社会兼职:山东省临床肿瘤学会神经肿瘤专家委员会委员兼秘书,山东省疼痛医学会神经外科青年委员会委员
声明:脑医汇旗下神外资讯、神介资讯、神内资讯、脑医咨询、AiBrain 所发表内容之知识产权为脑医汇及主办方、原作者等相关权利人所有。








