病房里各种罕见病、疑难杂症病人不少,来组里轮转的小朋友们都说简直是行走的病例库,收住入院的每一个病例都值得被好好研究、仔细分析、认真总结,能写的不少。
近期有一个涉及多科协作、以肿瘤为开刀来诊,最终经过我们MDT协作,修正诊断,通过微创方法治疗痊愈的病例,我们华山脑胶质瘤MDT讨论后好几个老师都说,这个病例真的是太好了,真的是“刀下留人”。所以在此把这个病例总结一下分享给大家,感谢大家一直以来的关注、支持和鼓励。
患者,男性,45岁,以“阵发性头痛、头晕不适5个月,晕厥1次 ”入院。
现病史:
患者于2023年4月出现头痛、头晕,可自行缓解,未予诊治。1个月前无明显诱因突发晕厥一次,数分钟后转醒,发作当时无四肢抽搐及二便失禁,醒后感头痛、头晕,呕吐一次余无特殊不适。外院查颅脑CT提示左侧颞叶低密度影。行颅脑MRI平扫+增强提示左侧颞叶、左侧小脑半球异常信号,病灶有强化。当地医院考虑胶质瘤,为行手术治疗转至我院并收住神经外科。发病来精神好,胃纳可,睡眠好,大、小便正常,无体重明显下降。
神经外科入院查体:
神清语利,颅神经大致可。四肢肌力5级。KPS100分,GCS15分。
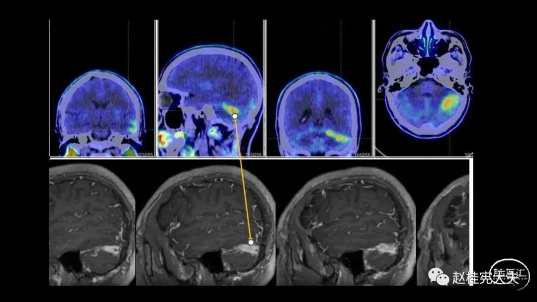
神经外科入院后完善FET PET-CT提示左侧小脑占位,考虑颅内转移癌可能性大,向患者家属交代病情,拟行手术治疗。吴劲松教授查房后叫停手术,建议MDT。
术前例行提交脑胶质瘤MDT讨论本病例,本例患者影像资料如下:
经复旦大学附属华山医院脑胶质瘤MDT讨论后,综合考虑该患者仍需排查血管性、炎性病变,因此转至华山医院北院神经内科医疗小组进一步诊治。
转入神经内科后进一步完善血生化及风湿免疫指标,腰穿等均未见异常。
重点分析患者影像资料:
进一步完善头颅CTA、颅脑磁共振SWI及颅脑MRV,见以下图片:
综合患者相关化验检查结果,和华山医院PET中心左传涛教授,反复讨论沟通,最后达成一致,目前需要行全脑DSA进一步确认。
故请神经外科脑血管组徐立权教授团队行颅脑DSA(脑血管造影),造影结果显示:左侧横窦区硬脑膜动静脉瘘,左侧颈外动脉主要供血,左脑膜垂体干少量供血。左侧横窦乙状窦闭塞。图片如下:
至此,患者诊断明确,可以合理解释症状和CT、磁共振及PET的影像表现,为进一步治疗,行AVF封堵手术。术后复查DSA效果满意。如下图:
术后复查颅脑磁共振可见患者左侧颞叶异常信号明显消退,左侧小脑半球异常信号消失。如下图:
关于为什么会出现这种影响表现,待我们总结成完整病例后再分享给大家。
本病例刚开始诊断为脑肿瘤,如果真是肿瘤,尤其是恶性肿瘤,患者即使治疗好转,将来可能还需要再面临复发、再次手术及日常生活护理事项等更多问题。
在经过脑胶质瘤MDT讨论后转至神经内科进一步诊治,我们再经过进一步的化验检查,并积极和PET中心,神经外科脑血管组的反复沟通及处理,修正诊断,最终确诊疾病,得到完美治疗后顺利出院。患者从不好治的病变成能治、且能治好的病,患者将来也可以重回正常人生。
两周后我们MDT回顾讨论了本病例。大家为患者感到高兴,这也是我们医生们的最美好的愿望,希望自己诊治的患者疾病康复,重新回归家庭,回归社会,拥有一个健康、幸福的人生。
同时,我们也从本病例中学习到了很多东西,客观、严谨、认真、仔细……,这都是MDT中每一位医生重要的品质,尤其在诊治疑难杂症的过程中,还要相互尊重、虚心求教、团结合作,在这个病例的诊治过程中,真正体现了MDT的价值和意义。
临床医学博士,复旦大学附属华山医院神经内科副主任医师
国家神经疾病医学中心脑胶质瘤MDT专科联盟第一届理事会理事
《中国临床案例成果数据库》学术委员会罕见病专业组委员
中国医药教育协会神经疑难病多学科诊疗工作委员会
Brain杂志中文版神经感染和免疫专刊青年委员
主持完成多发性硬化国家自然基金、复旦大学青年骨干基金等共3项基金。曾以第一骨干参与1项中国-加拿大多发性硬化合作课题,并曾参与完成研究生导师的国家自然基金和省级自然基金多项。共发表论文近40篇,第一作者/通讯作者10余篇。
2000年本科毕业于西安交通大学临床医学院,2008年博士毕业于福建医科大学,2008年至今在复旦大学附属华山医院神经内科工作,长期工作于临床一线。
擅长“中枢神经系统多发病变的诊断和鉴别诊断”,专长多发性硬化、视神经脊髓炎、中枢神经系统脱髓鞘病变等中枢神经系统免疫性疾病,同时进行多发性硬化(MS)的临床及科学研究,对周围神经病和神经遗传变性病也有一些自己的体会。
时间:周六下午(需提前预约,预约电话:15618299395)上海脑医汇门诊部将继续发挥高端门诊服务平台作用,拓展服务功能,提升服务质量,推进健康卫生高质量发展,为大众提供更加优质、便捷、高效、安心的健康服务。
脑医汇门诊部位于上海市新虹桥国际医学中心一楼西侧1025室,比邻复旦大学附属华山医院(虹桥院区),设有全科医疗科/内科:神经内科专业;内分泌专业/外科/耳鼻咽喉科/肿瘤科/医学检验科(协议至2027年11月30日);临床体液、血液专业;临床微生物学专业;临床化学检验专业;临床免疫、血清学专业;临床细胞分子遗传学专业/病理科(协议至2027年11月30日)/医学影像科(协议至2023年12月17日);X线诊断专业;CT诊断专业;磁共振成像诊断专业;核医学专业;超声诊断专业;心电诊断专业;脑电及脑血流图诊断专业。
地址:上海市闵行区闵北路675号1025室
咨询电话:021-64200685/18516212922
更多神经内科内容,请添加小助手详细咨询

往期推荐