
前 言
病例展播
患者:男性,70岁,2023-09-20 09:50入院。
主诉:左侧肢体无力1小时20分钟。
现病史:患者1小时前(8:30)活动过程中突然出现左侧肢体无力,左上肢不能抬举,左手不能持物,左下肢不能抬举,无恶心、呕吐,无头晕、头痛,无饮水呛咳、意识障碍、二便失禁,遂被家人送至我院急诊科(9:10),考虑急性脑卒中,立即开启卒中绿色通道,给予急查血常规、血糖、凝血六项、心肌酶谱、肾功、电解质、心电图,给予急查头颅CT排除脑出血及占位病变,并请我科医师会诊后,急诊科给予静脉溶栓。后以“脑梗死”收住入院。
既往史:有“脑梗死”病史1年余,经治疗后(具体不详)未遗留明显后遗症。
个人史:无特殊。
家族史:无特殊。
➢ 体格检查
➢ 神经系统查体
神志清楚,语言流利。双侧鼻唇沟对称,示齿不偏,四肢肌容积、肌张力正常,右上肢肌力5级,右下肢肌力5级,左上肢肌力0级,左下肢肌力1级,无不自主运动。左侧躯体深浅感觉较右侧减退。双侧Babinski征(-)、Oppenheim征(-)、Gordon征(-),颈软,Kerning征(-),Brudzinski征(-)。NIHSS评分:8分(左上肢4分、左下肢3分、感觉1分),入院前mRS评分:0分。
➢ 辅助检查
血常规:正常。
肝功、肾功、电解质、心肌酶谱、血脂、血糖、传染病四项:未见明显异常。
凝血六项:D-二聚体0.80mg/L,血浆纤维蛋白(原)降解产物5.96ng/L。
心电图:窦性心律(心电图大致正常)。
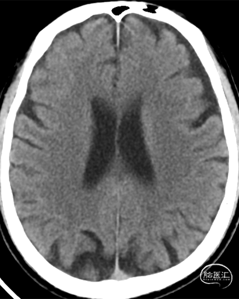
09:36
➢ 颅脑CT(平扫)





1.左侧顶叶、右侧丘脑、双侧基底节区及侧脑室旁多发腔梗灶,脑萎缩。
2.双侧上颌窦炎。
11:50
➢ 头颅MRI+DWI






1.DWI:右侧额顶叶、基底节区及侧脑室旁梗塞灶(急性期-亚急性期)。
2.左侧额叶陈旧性病灶并周围胶质增生;双侧半卵圆中心缺血腔梗灶。
➢ 头颅MRA


左侧大脑前动脉A1段未见明确显示;左侧颈内动脉C4段、右侧颈内动脉C5段、右侧大脑中动脉M2段、左侧大脑后动脉P2段局部管腔狭窄。
定性诊断:缺血性。
定位诊断:右侧大脑半球。
入院诊断:1.急性脑梗死(TOAST分型:大动脉粥样硬化型);2.左侧大脑中动脉狭窄。

患者发病时间:08:30
患者到院时间:09:10
发病到到院时间:40分钟
静脉溶栓时间:09:35
体重:60Kg
rt-PA:0.9mg/kg;54mg

2.溶栓后NIHSS评分:2分(左上肢1分、感觉1分)。
➢ 手术预案
全脑血管造影术+右侧大脑中动脉血管内治疗。
➢ 术前评估
老年男性,吸烟病史,临床表现为前循环卒中,NIHSS评分:8分。
头颅MRI+DWI+MRA:头颅MRI+DWI:1.DWI:右侧额顶叶、基底节区及侧脑室旁梗塞灶(急性期-亚急性期)。2.左侧额叶陈旧性病灶并周围胶质增生;双侧半卵圆中心缺血腔梗灶。3.左侧大脑前动脉A1段未见明确显示;左侧颈内动脉C4段、右侧颈内动脉C5段、右侧大脑中动脉M2段、左侧大脑后动脉P2段局部管腔狭窄。
患者发病在24小时内,ASPECT评分:8分(豆状核1分,M5 1分),不排除症状加重。
告知病情后,家属同意全脑血管造影术+血管内治疗(备)。
➢ 术中风险及意外
导丝通过闭塞段困难。
右侧大脑中动脉夹层。
出血。
急性血栓形成。
急性闭塞。
➢ DSA评估





造影显示左侧锁骨下动脉、右侧颈内动脉C5段、右侧大脑中动脉狭窄。左侧大脑前动脉A1段未见明确显示,左侧大脑后动脉局部管腔狭窄。







同轴下泥鳅导丝指引MPA多功能导管及长鞘至颈内动脉C1段,5F 通桥银蛇®颅内支持导管置于岩骨段,微导丝 300cm引导通桥白驹®颅内球囊扩张导管通过右侧大脑中动脉狭窄段。



通桥白驹®颅内球囊扩张,第1次球扩8 AMT(2.0*10mm)。

观察5分钟。

观察10分钟,第2次球扩(10 AMT),替罗非班5ml静推。

观察10分钟。

释放球扩支架(2.5*10mm)。

球扩支架后,造影显示仍有部分血管弹性回缩。

再次球囊扩张。

球扩后造影。
➢ 术后影像
术后造影。


术后即刻CT:头颅CT。





1.右侧大脑中动脉支架术后改变,右侧额叶高密度影,右侧额颞枕部局部脑沟裂及大脑镰、小脑幕密度增高,考虑造影剂残留,出血不除外,较前新发,建议随访复查。
2.左侧顶叶、右侧丘脑、双侧基底节区及侧脑室旁多发腔梗灶,脑萎缩。
术后24小时CT:头颅CT。





1.右侧大脑中动脉支架术后改变,大脑镰、小脑幕密度增高,考虑造影剂残留,较前减少,建议随访复查。
2.左侧顶叶、右侧丘脑、双侧基底节区及侧脑室旁多发腔梗灶,脑萎缩。
术后1周CTA。


➢ 出院情况
患者左侧肢体无力明显好转,左上肢抬举可,持物可,左下肢可自行下床行走,无恶心、呕吐,无头晕、头痛,无饮水呛咳、意识障碍、二便失禁。
神经系统查体:神志清楚,语言流利。双侧鼻唇沟对称,示齿不偏,四肢肌容积、肌张力正常,四肢肌力5级。左侧躯体深浅感觉较右侧减退。双侧Babinski征(-)、Oppenheim征(-)、Gordon征(-),颈软,Kerning征(-),Brudzinski征(-)。NIHSS评分:1分(感觉1分),mRS评分:0分。
术者体会
1、患者为左侧大脑中动脉狭窄,给予球囊扩张+支架辅助。
2、术中可能存在导丝通过狭窄困难、出现夹层、急性血栓形成和急性闭塞。
3、通桥银蛇®颅内支持导管优异的通过性及白驹®颅内球囊扩张导管涵盖各种不同型号,这些特点减少了术中的风险,让患者更安全的进行治疗。
术者简介
黄存生
北京中医药大学孙思邈医院
中西医结合内科副主任医师,大学本科学历,毕业于陕西中医药大学,脑病科脑血管病介入组负责人。
从事临床工作16年余,曾在西北大学附属医院•西安市第三医院神经内科进修学习。
陕西省保健协会神经内科委员会委员。
陕西省卒中学会会员。
陕西省中医药学会第一届神志病专业委员会委员。
陕西省中西医结合学会脑心同治专业委员会委员。
陕西省中西医结合学会卒中专业委员会委员。
发表学术论文数篇。
擅长:运用中西医结合的方法治疗脑梗死、脑出血、高血压、眩晕、头痛等常见病、多发病及急危重症患者的救治。熟练掌握急性脑卒中绿色通道流程,尤其在急性脑梗死影像学评估、静脉溶栓、动脉溶栓及脑血管病介入治疗方面有丰富的临床经验。
刘昺雍
北京中医药大学孙思邈医院
住院医师,医学学士,毕业于滨州医学院中医学专业,曾就职于甘肃省康复中心医院,主要从事于神经康复与骨关节康复专业。
现就职于北京中医药大学孙思邈医院脑病科,擅长脑梗死、癫痫、各类眩晕及常见神经内科系统疾病的诊治。
血管介入组成员。
熟练掌握急诊溶栓及桥接取栓等血管介入治疗。
往期精彩回顾

点击二维码
查看往期精彩回顾

本内容仅供医学专业人士作线上专业交流
本内容不向非医学专业人士开放,敬请理解
讲课内容仅代表专家个人观点,非通桥医疗推广产品
点击上方二维码
查看更多“介入”内容
声明:脑医汇旗下神外资讯、神介资讯、脑医咨询、Ai Brain 所发表内容之知识产权为脑医汇及主办方、原作者等相关权利人所有。
投稿邮箱:NAOYIHUI@163.com
未经许可,禁止进行转载、摘编、复制、裁切、录制等。经许可授权使用,亦须注明来源。欢迎转发、分享。
投稿/会议发布,请联系400-888-2526转3。









