病例简介
患者基本信息:患者王某某,女,71岁。主因: “言语不清9天。
现病史:于9天前无明显诱因出现言语不清,伴饮水呛咳,口角流涎,无意识丧失,无恶心、呕吐,无大小便失禁,无四肢抽搐。症状逐渐加重,至当地医院住院治疗,行头MRI检查提示: 1.右侧题叶、右侧基底节区及右侧半卵圆中心急性期脑梗塞; 2.副鼻窦炎。给予抗血小板聚集、调脂稳斑、调整血压等药物治疗,症状有所减轻。因全脑血管造影DSA提示: 右侧颈内动脉起始部重度狭窄,患者家属要求转院,进一步介入治疗,遂门诊以“1.脑梗死;2.高血压;3.高脂血症;4.鼻窦炎”收入我科。
基本情况:肾功、电解质、凝血功能、传染病未见明显异常。

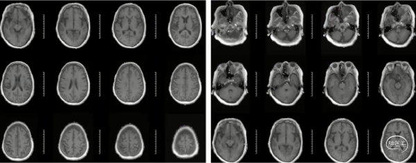
MRI(2023.06.14/外院)

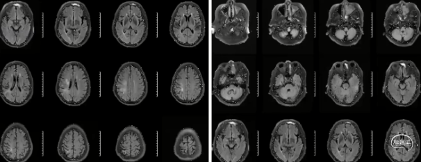
MRI (2023.06.25/本院)

右侧大脑半球梗死灶较前增加
MRI(2023.06.25/本院)

右侧大脑半球梗死灶较前增加
脑血管造影(主动脉弓及左侧颈内动脉2023-06-19):l型弓,左侧颈内动脉未见异常,前交通开放,右侧大脑前通过软脑膜支部分代偿

脑血管造影(双侧椎动脉正侧位):右侧大脑后通过软脑膜支部分代偿

脑血管造影 (右侧颈内动脉正侧位)

HR-MRI:右侧颈内动脉起始处偏心斑块,管腔重度狭窄,增强可见明显强化

HR-MRI:

3D-SPACE示,①右侧颈内动脉、右侧大脑前动脉A1段、右侧大脑中动脉管壁增厚,考虑动脉粥样硬化并不稳定斑块形成可能,②左侧颈内动脉交通段、左侧大脑中动脉、双侧大脑后动脉、双侧椎动脉V4段动脉粥样硬化改变,以上,请结合临床及其他检查协诊
CTP(2023.06.26/本院):右侧额顶叶、半卵圆中心见片状灌注延迟区,TTP、MTT延长,CBF减低

术前讨论
手术指征:
1.患者老年女性,合并高血压、冠心病等脑血管病危险因素,血管狭窄加重风险较高;
2.患者主要表现为言语不清,内科药物治疗效果欠佳,脑梗死病灶不断增加;
3.当地脑MRI回示右侧大脑半球多发梗死灶,脑血管造影回示责任血管右侧颈内动脉起始处段、颅内段和右侧大脑中动脉起始段重度狭窄,入院后高分辨提示动脉粥样硬化改变,脑CTP回示右侧大脑半球低灌注,ASITN分级:2级,需行手术治疗改善狭窄,从而预防脑卒中、认知障碍等,手术指征明确;
4.惠者目前mRS:1分,预防治疗价值较大。
手术预案:
颈动脉血管成型.腔内支架植入术并必要时颅内动脉狭窄支架置入术
器械准备:
·右侧股动脉入路,8F动脉短鞘
·GMAX、125cm多功能导管、0.035泥稣导丝
·Filterwire保护伞、Synchro14 200cm微导丝、Transend300cm微导丝、Echelon10微导管
·5.0mm*30mm-雅培球囊、2.0mm*15mm-Gateway球囊
·右: Wallstent颈动脉支架 (根据术中测量)、Wingspan支架

全方位学习术中操作技巧
身临其境每一程
点击下图跳转手术复盘
查看教授讲解、指导手术视频



点击或扫描上方二维码
查看更多“介入”内容
声明:脑医汇旗下神外资讯、神介资讯、脑医咨询、Ai Brain 所发表内容之知识产权为脑医汇及主办方、原作者等相关权利人所有。
投稿邮箱:NAOYIHUI@163.com
未经许可,禁止进行转载、摘编、复制、裁切、录制等。经许可授权使用,亦须注明来源。欢迎转发、分享。
投稿/会议发布,请联系400-888-2526转3。