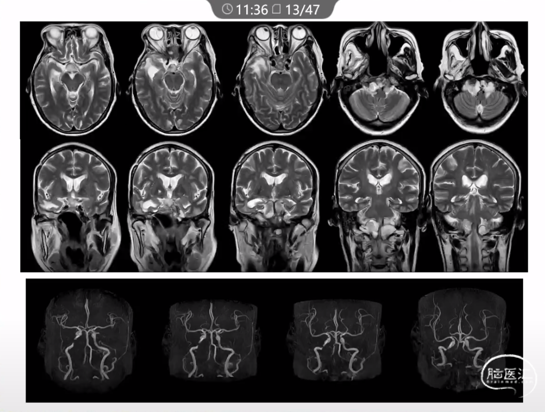
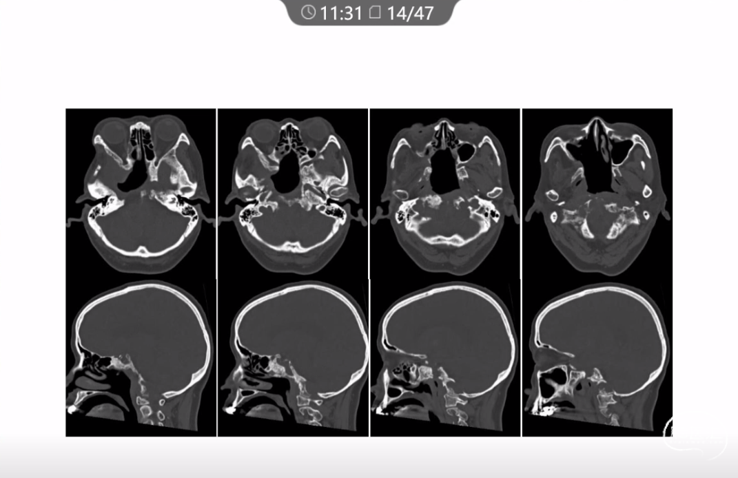
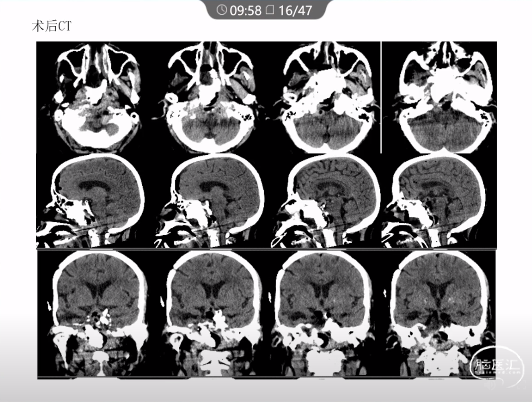
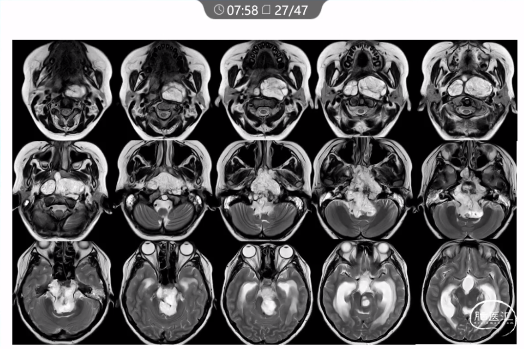
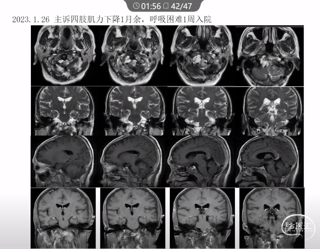
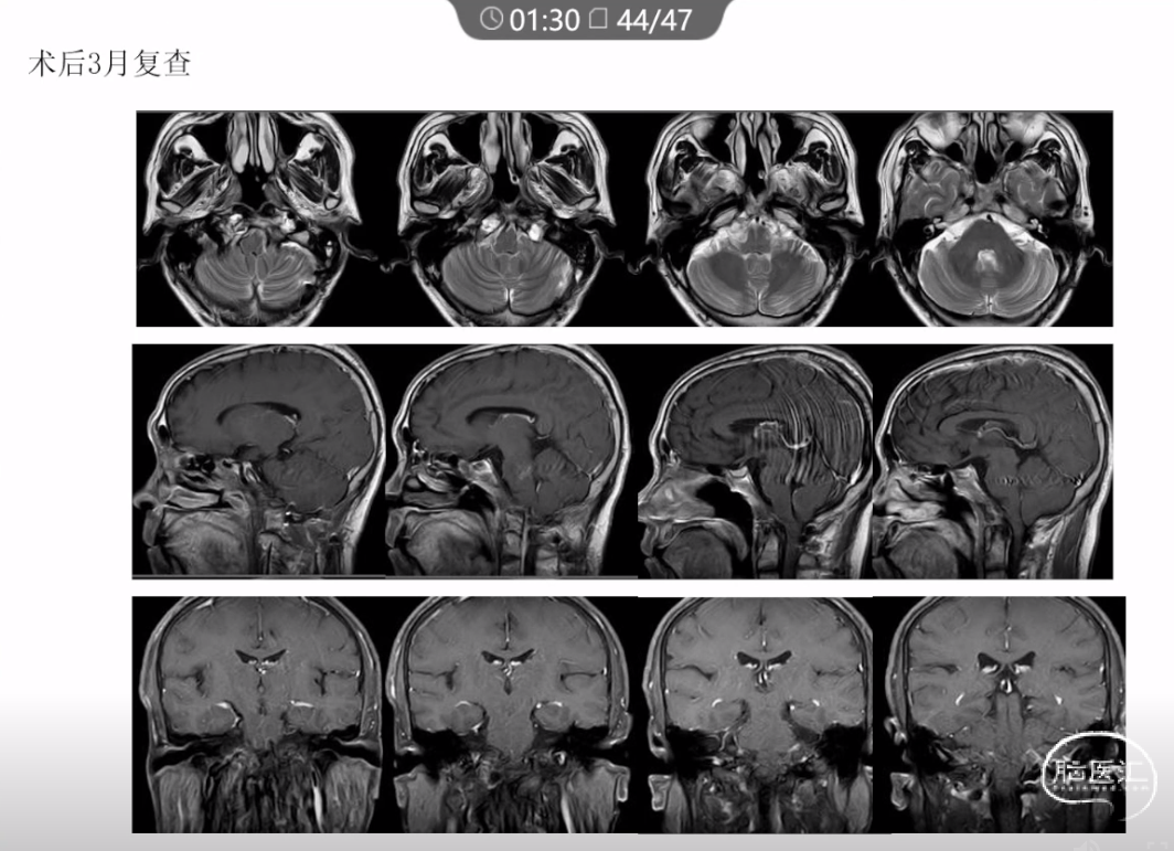
本文主要内容为:脊索瘤临床特点、治疗选择,以及多个手术病例。
本期脑医汇为大家分享:
首都医科大学三博脑科医院【张宏伟教授】的精彩会议内容,欢迎阅读和分享!
会议内容








































小结
一、显微神经外科技术是内镜手术的基础
二、在客观评价所掌握的技术前提下,个体化评估实施不同的手术技术
三、力争达到正常骨质、膜状结构、肌层的全切除
四、团队合作:电生理监测、神经介入、麻醉、重症监护
更多详情内容观看下方视频
点击图片观看会议视频
张宏伟教授:内镜下经鼻经口联合入路切除斜坡及颅颈交界区肿瘤
本文主要内容为:脊索瘤临床特点、治疗选择,以及多个手术病例。
本期脑医汇为大家分享:
首都医科大学三博脑科医院【张宏伟教授】的精彩会议内容,欢迎阅读和分享!
会议内容








































小结
一、显微神经外科技术是内镜手术的基础
二、在客观评价所掌握的技术前提下,个体化评估实施不同的手术技术
三、力争达到正常骨质、膜状结构、肌层的全切除
四、团队合作:电生理监测、神经介入、麻醉、重症监护
更多详情内容观看下方视频
点击图片观看会议视频