今天为大家分享的是,由山东省肿瘤医院李峰教授、周士振医师、孙鹏医师带来的:左颞开颅经颞下-小脑幕入路雕刻式切除儿童脑干胶质瘤,欢迎阅读、分享!

患者情况

患者,女,10岁。
因“反复头痛半年余,加重伴右下肢乏力10天”入院。
现病史:患者半年前无明显诱因下自觉头痛,主要为双颞侧,性质胀痛,不剧可忍,偶有恶心呕吐,呕吐物为胃内容物,当时未予重视及治疗。10天前,患者自觉头痛加重,每次持续约1-2分钟,每日约有3-4次,伴恶心呕吐,伴右下肢乏力感。2023-09-12家属急送至曹县人民医院就诊,行头颅CT提示:疑左侧桥脑旁肿瘤。患者家属为求进一步诊治,至我院门诊,(2023-09-14 08:50)行头颅平扫加增强扫描(3.0T)检查提示:桥脑、左侧桥臂占位,高级别胶质瘤可能大。门诊拟“脑干肿瘤”收住入院。
查体:右侧下肢肌力4+,右下肢浅感觉减退,右侧巴彬斯基征阳性。
既往史:无。
目前诊断:脑肿瘤(左侧桥脑)。

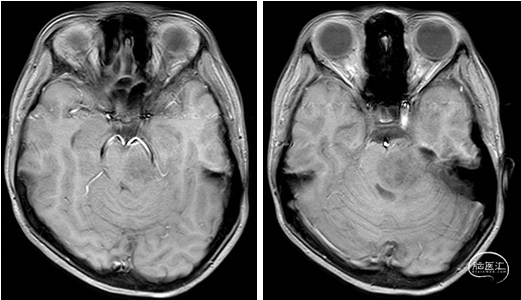
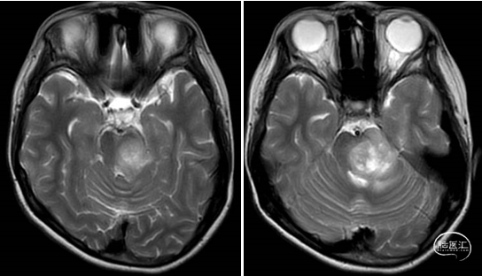
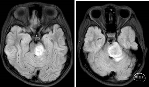
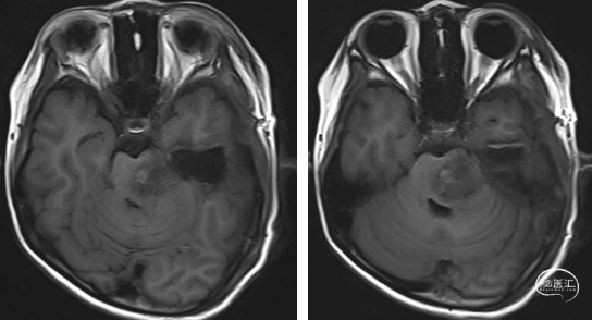
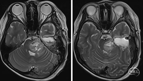
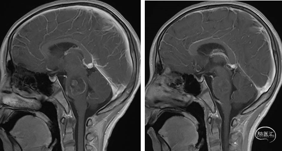
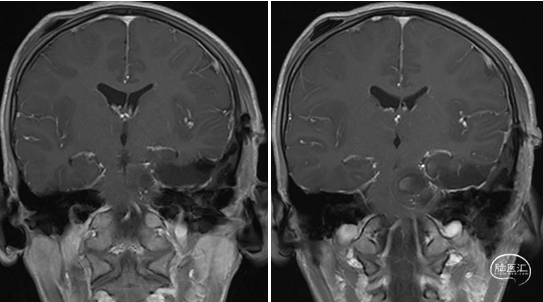
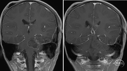
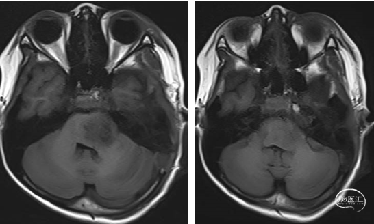
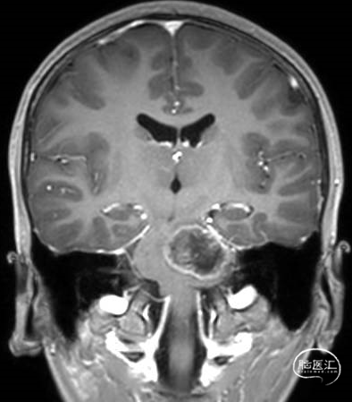
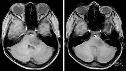
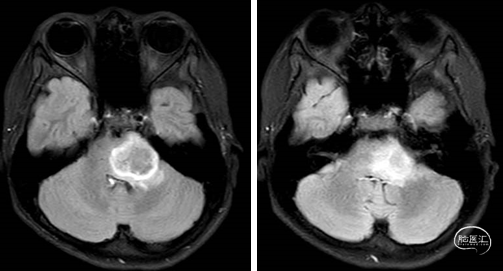
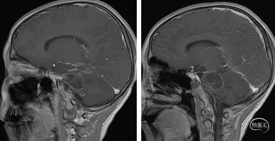
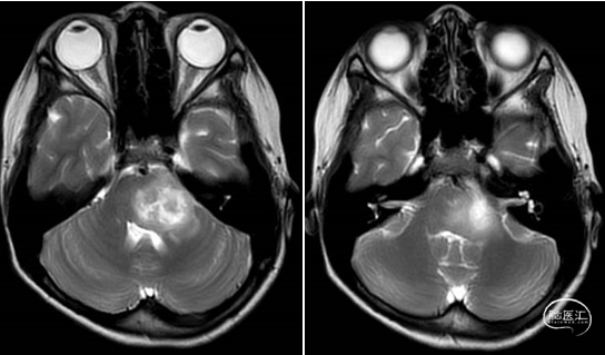
术前MRI



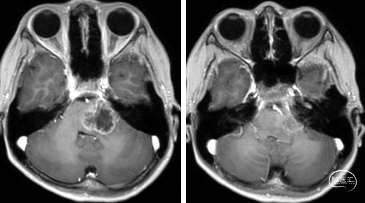
2023年9月13日 MRI T2






2023年9月13日 MRI+C

术前诊断


手术方式

左颞开颅经颞下-小脑幕入路脑干胶质瘤切除术。

术后病理


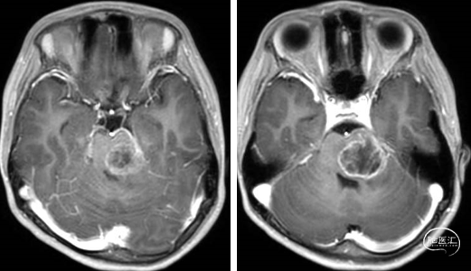
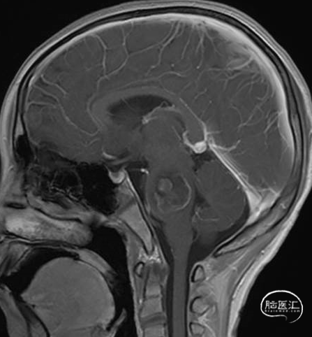
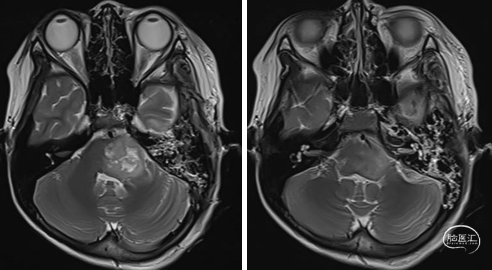
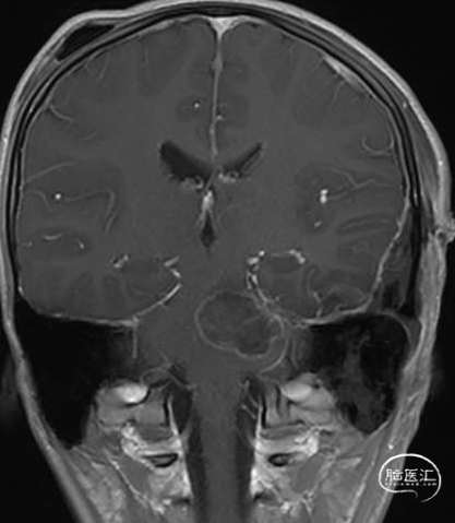
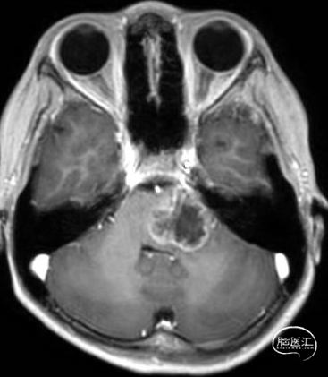
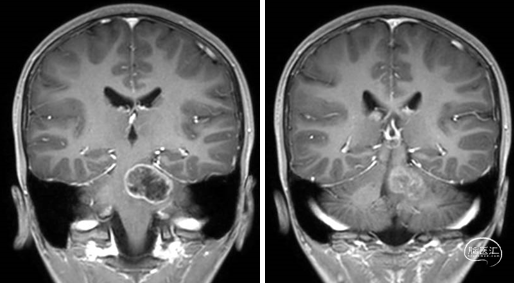
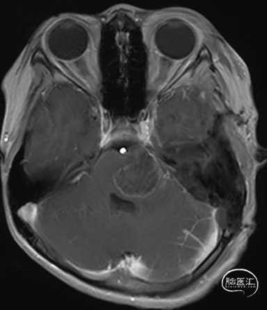
术后MRI








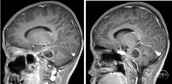
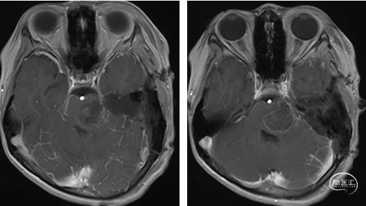
术前MRI

术后MRI
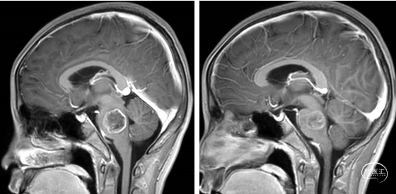
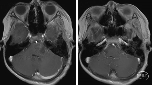
术前MRI

术后MRI
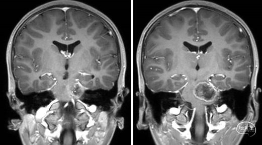
术前MRI

术后MRI

专家简介

李峰 教授
山东第一医科大学附属肿瘤医院
山东第一医科大学附属肿瘤医院(山东省肿瘤医院)神经外科主任,大外科副主任。主任医师,硕士研究生导师
2015年评聘为山东大学齐鲁医院第三届十大杰出青年人才,2016年评聘为山东大学齐鲁医学院齐鲁名医体系杰出青年医师。2021年人才引进至山东省肿瘤医院,2022年评聘为山东省肿瘤医院十大知名专家
学术兼职:山东省临床肿瘤学会神经肿瘤专家委员会主任委员,山东省疼痛医学会副会长、神经外科青年专业委员会主任委员,山东省医学会神经外科学分会委员,中国抗癌协会神经肿瘤专委会委员,中国医师协会小儿脑胶质瘤专业委员会委员,山东省胶质瘤协作组委员,山东省脑血管病防治协会微创诊疗专业委员会委员,山东省神经肿瘤质控学组组长,山东省突发事件卫生应急专家咨询委员会委员
课题研究主要进行脑肿瘤的发生、发展机制以及精准诊疗的基础与临床研究,脑组织再生与修复的基础与临床研究。主持研究课题包括:山东省重点研发计划二项,国家自然科学基金、山东省自然科学基金、中国博士后科学基金特别资助项目、中国博士后科学基金面上项目一等资助、以及山东大学自主创新基金各一项。研究成果获山东省科技进步二等奖,山东省心功能研究会科技创新二等奖。发表SCI收录英文论文29篇,中文论文19篇。编著著作《临床神经外科学》、《颅脑巨微解剖学》等
擅长对高难度、高风险疑难复杂颅底、松果体区以及脑干肿瘤的显微及内镜微创手术治疗,垂体腺瘤、颅咽管瘤、脊索瘤、脑膜瘤、神经鞘瘤等中央及侧颅底肿瘤的内镜经鼻腔微创手术治疗,脑胶质瘤、转移瘤、淋巴瘤、黑色素瘤、儿童胚胎性肿瘤等恶性肿瘤的手术、放化疗、靶向和免疫治疗的综合多学科、序贯一站式、个体化精准诊疗,以及面肌痉挛、三叉神经痛、舌咽神经痛等的内镜微创手术治疗
孙鹏 医师
山东第一医科大学附属肿瘤医院
周士振 博士
山东省肿瘤医院
声明:脑医汇旗下神外资讯、神介资讯、神内资讯、脑医咨询、AiBrain 所发表内容之知识产权为脑医汇及主办方、原作者等相关权利人所有。