
前 言
病例展播
1
病例信息
患者:男,64岁。
主诉:因“突发意识不清,右侧肢体活动不利3.5小时”,急诊入院。
既往史:2月前有“脑梗死”病史,药物治疗,恢复尚可,平素服用阿司匹林、阿托伐他汀片维持治疗,有“高血压”病史7-8年,有“慢性肾炎”病史20年余,遗留有“蛋白尿、肾功能不全”。
入院查体:T 36.9℃,P 95次/分,R 20次/分,BP 147/81mmHg。意识不清,精神软,自主睁眼,无言语,右侧肢体无活动,双瞳等大等圆,直径约2.0mm,对光反射迟钝,额纹对称,鼻唇沟对称,刺痛左上肢有躲避动作,右侧巴氏征阳性。NIHSS评分16分。
辅助检查:头颅CTA:左侧颈内动脉闭塞;基底动脉、左侧椎动脉、两侧大脑后动脉及右侧大脑中动脉局部轻-重度狭窄;右侧颈内动脉颅内段局部粥样硬化伴管腔轻度狭窄。
2
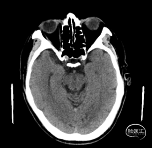
影像资料




排除出血。

血管闭塞。

CTA重建。
3
治疗策略
左侧颈内动脉闭塞,拟行急诊取栓。
4
术中器械
长鞘 6F 90cm
125 MPA
泥鳅导丝
通桥银蛇®颅内支持导管 6F 125cm
200cm 微导丝
0.021" 微导管
通桥白驹®颅内球囊 2.0*15mm
5
治疗过程
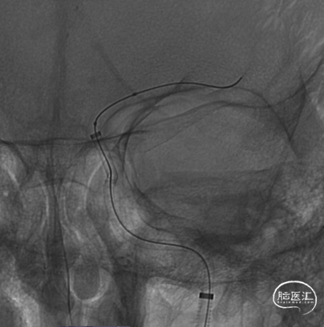
患者仰卧位躺在DSA手术床上,全身麻醉后消毒、铺巾,常规选择股动脉入路,Seldinger法穿刺置入6F 长鞘。用泥鳅导丝及5F 125cm MPA1带领下将长鞘置入左侧颈内动脉起始部,置入通桥银蛇®颅内支持导管 6F 125cm。

右侧颈内动脉无代偿血流。


造影提示:左侧颈内动脉交通段闭塞。

通过微导丝带入微导管,微导丝成袢通过血栓段,然后将微导管往远端输送,跨过血栓段,回撤微导管。


造影确认,闭塞段血流恢复,提示微导管首过效应阳性,残留颈内动脉交通段重度狭窄,串珠样改变,考虑原位狭窄,予替罗非班针微泵维持。

球扩前造影。


白驹®颅内球囊导管 2.0*15mm到位,造影确认。


球囊扩张1次,狭窄较前改善,停留10分钟观察,狭窄段血管未见明显回缩,最终造影提示闭塞段血流恢复,mTICI 3级。

残余狭窄,考虑到手术风险,拟二期支架置入。
6
术后情况

术后4小时麻醉复苏,肢体功能恢复良好。




术后CT,未见明显出血或梗死。
手术总结
1、微导管首过效应是指在血管内治疗过程中,当微导管向前通过闭塞段血管,然后把微导管收回到闭塞部位的近端时可以看到闭塞部位血管管腔内有缓慢和暂时的血流,本例在微导管通过闭塞段即出现了前向血流,管腔内滞留的造影剂迅速消散。
2、术中对大血管闭塞原因鉴别特别关键,指导手术策略。CTA显示颈内动脉急性闭塞常提示高负荷血栓或串联病变,但本例微导管首过效应阳性,结合近期脑梗病史及血管串珠样改变,因此考虑原位狭窄基础上急性闭塞,未行支架取栓,减少内膜损伤可能。
3、残余狭窄待二期支架置入,避免高灌注的发生。
4、通桥白驹®颅内扩张球囊导管涵盖各种不同型号球囊,通过性优良,也是一款不错的选择。
术者简介
李赵
嵊州市中医院
医学硕士,副主任医师,神经外科负责人
科室简介
嵊州市中医院神经外科是新兴特色科室,嵊州市重点学科,技术力量雄厚。拥有医护人员20余人,其中医生9人,高级职称3人,中级职称3人,住院医师3人,开放床位41张;科室与浙二医院神经外科开展长期深入合作,同质化管理,可开展各类神经外科手术。
科室特色
擅长在中医扶正祛邪及无创化治疗理念指导下,积极运用现代医学技术,开展各类神经外科微创手术及血管内介入治疗。年介入治疗手术量100-200例,在省内同类医院处于领先地位。

本内容仅供医学专业人士作线上专业交流
本内容不向非医学专业人士开放,敬请理解
讲课内容仅代表专家个人观点,非通桥医疗推广产品
点击上方二维码
查看更多“介入”内容
声明:脑医汇旗下神外资讯、神介资讯、脑医咨询、Ai Brain 所发表内容之知识产权为脑医汇及主办方、原作者等相关权利人所有。
投稿邮箱:NAOYIHUI@163.com
未经许可,禁止进行转载、摘编、复制、裁切、录制等。经许可授权使用,亦须注明来源。欢迎转发、分享。
投稿/会议发布,请联系400-888-2526转3。







