


病历简介
患者:男,76岁
主诉:右侧肢体无力,问话不答5小时。
患者入院5小时前无明显诱因出现右侧肢体无力,上肢不能抬起,不能自行站立及行走,双眼向左凝视,问话不答,继之尿失禁,无肢体抖动,急来我院急诊,在急诊就诊过程中,意识不清,呕吐1次,为非咖啡色水样物。
既往史:脑梗塞病史2年多。未规律服药,冠心病、不稳定心绞痛病史10多年,高血压病史10多年。
入院查体:T36.5 ℃;P66次/分;R17次/分 ;BP130/70mmHg(双侧对称)。神经系统查体:嗜睡,问话不答,双眼向左凝视。右侧鼻唇沟浅,伸舌不配合。右侧肢体肌力0级,左侧肢体可见自主活动。双侧Babinski阳性。NIHSS评分:15分(意识水平1+意识水平提问2+意识水平指令1+凝视1+视野1+面瘫1+右上肢4+右下肢4)。
入院后头颅MRI评估提示:左侧额顶叶及侧脑室旁近期梗塞,见下图1。

图1.头颅DWI检查
头MRA评估提示:左侧颈内动脉及大脑中动脉闭塞,见下图2。

图2.头颅MRA检查
入院其他辅助检查:血常规、肝肾功能、凝血四项大致正常。
心电图:窦性心律 ST-T改变。
诊断:
定位诊断:左侧颈内动脉系统
定性诊断:急性脑梗塞、左侧颈内动脉闭塞、左侧大脑中动脉闭塞
责任血管:左侧大脑中动脉
入院DSA:III型主动脉弓,后循环代偿不足,见图3,前交通动脉开放,左侧大脑前动脉通过软脑膜枝向左侧大脑中动脉供血区部分代偿,左侧颈内动脉起始部闭塞,左侧颈外动脉通过眼动脉向颈内动脉部分代偿,左侧大脑中动脉血栓形成,TICI分级0级,见图4。

图3.DSA造影:主动脉弓及左侧左侧椎动脉造影

图4.DSA造影:右侧颈内动脉正位及左侧颈内动脉侧位造影

病变分析及手术预案
根据患者磁共振及DSA判断为左侧颈内动脉起始部重度狭窄基础上血栓形成,原位血栓脱落至左侧大脑中动脉。患者DSA结果提示存在二级侧支代偿,考虑代偿不足,患者目前症状与磁共振梗死灶存在错配,开通后可获益,术后需严格控制血压,防止颅内出血及高灌注风险。
手术操作
0.014微导丝通过颈动脉闭塞处,采用3.0*20mm心玮披荆颈动脉球囊扩张导管预扩张。

心玮通堑远端通路导管通过颈动脉起始病变处,反复抽吸后造影,大脑中动脉M1段闭塞,微导管及微导丝通过病变后撤出微导丝,通过微导管造影明确闭塞远端。

释放6*30mm心玮捕星颅内取栓支架,采用SWIM技术进行取栓,大脑中动脉再通良好,大脑前动脉A3段存在血栓逃逸(红色箭头),动脉团注替罗非班注射液10ml。


释放心玮灵笼栓塞保护器,采用5*30mm心玮披荆颈动脉球囊扩张导管再次进行扩张,随后释放6-8*40mm颈动脉支架,再次通过导引导管造影,血管再通良好。

手术结果
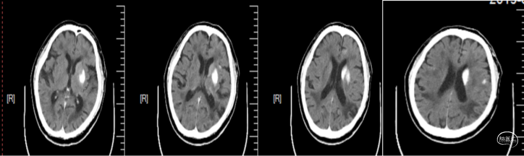
术后即刻头CT提示:梗死灶内少量造影剂强化。见图5。

图5.术后即刻头CT
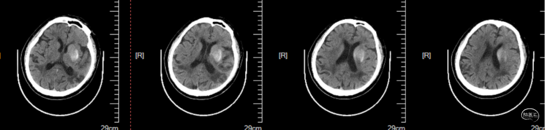
术后4小时复查头CT:梗死灶内造影剂较前略吸收。见图6。

图6.术后4小时头CT
术后查体:
神清,问话不答,双眼位居中,右侧侧鼻唇沟浅。右侧肢体肌力2级,左侧肢体可见自主活动,双侧Babinski阳性。NIHSS评分:10分。
出院前查体:
神志清楚,运动性失语,查体欠合作。眼位居中,眼球各向可动,右侧鼻唇沟略浅,伸舌右偏。右侧肢体肌力4+级,左侧肢体肌力5级,肌张力正常,双侧Babinski阳性。NIHSS评分:5分。目前仍在长期随访中。

心玮医疗
HEART CARE
上海心玮医疗科技股份有限公司(股票代码:06609.HK)成立于 2016 年,公司致力于提高创新医疗技术的可及性,守护生命健康。六年时间,心玮医疗在神经介入领域开拓性地打造了国内首个卒中治疗及预防一站式解决方案,拥有从急性缺血性卒中和神经血管狭窄治疗、缺血性卒中预防、出血性卒中治疗到介入通路器械的全产品管线,申请专利超过 200 项,销售渠道覆盖了国内除香港、澳门和台湾地区以外的全部省份。

点击上方二维码
查看更多“介入”内容
声明:脑医汇旗下神外资讯、神介资讯、脑医咨询、Ai Brain 所发表内容之知识产权为脑医汇及主办方、原作者等相关权利人所有。
投稿邮箱:NAOYIHUI@163.com
未经许可,禁止进行转载、摘编、复制、裁切、录制等。经许可授权使用,亦须注明来源。欢迎转发、分享。
投稿/会议发布,请联系400-888-2526转3。







