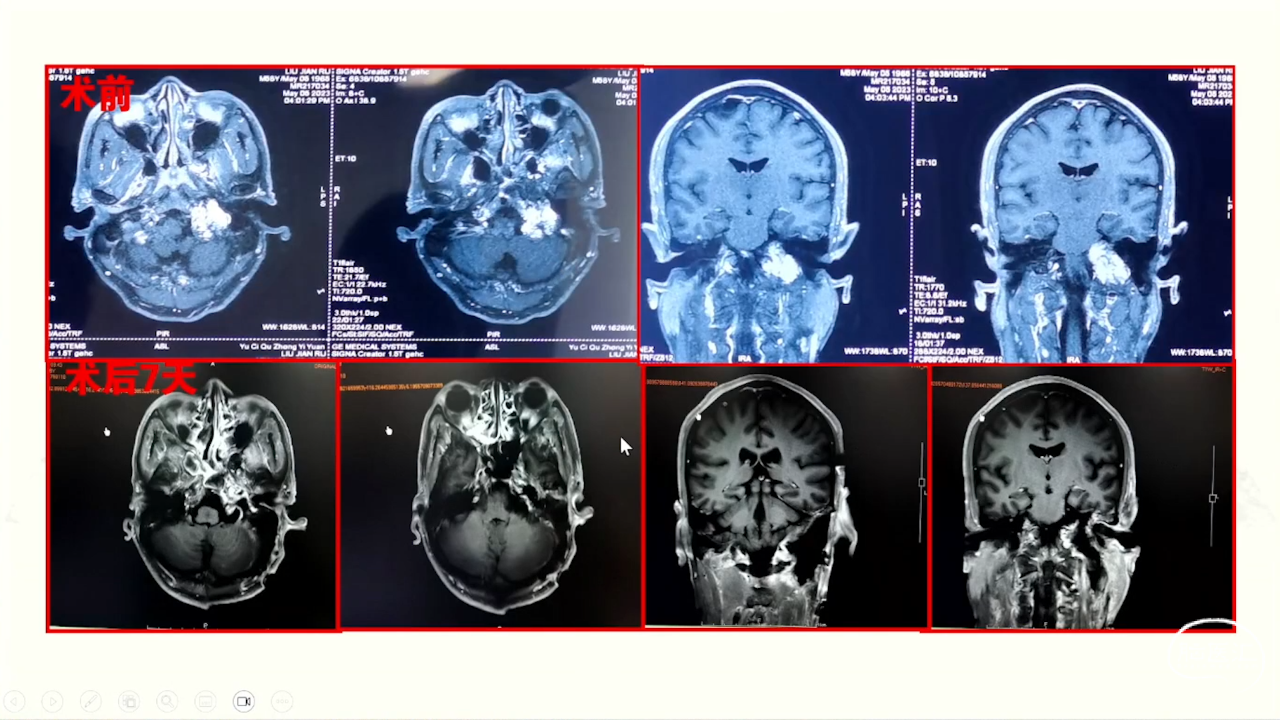
颈静脉孔区肿瘤充分显露是硬道理。肿瘤越大,工作通道越宽。颈静脉孔扩大越明显,开放颈静脉孔越容易。
本期脑医汇为大家分享:解放军总医院【卜博】教授的精彩会议内容,欢迎阅读和分享!
![]()
会议内容截图
































手术视频





术中视频



![]()
详细内容请观看下方视频

点击图片观看会议视频
讲者:卜博
卜博教授:颈静脉孔区肿瘤:解剖及156例经验
颈静脉孔区肿瘤充分显露是硬道理。肿瘤越大,工作通道越宽。颈静脉孔扩大越明显,开放颈静脉孔越容易。
本期脑医汇为大家分享:解放军总医院【卜博】教授的精彩会议内容,欢迎阅读和分享!
![]()
会议内容截图
































手术视频





术中视频



![]()
详细内容请观看下方视频

点击图片观看会议视频
讲者:卜博