前言
嗅沟脑膜瘤是前颅底较常见的肿瘤,起源于前颅窝底筛板部位及其后方的硬脑膜。前至鸡冠,后可达鞍结节,多呈球形生长,分为单侧或者双侧,以单侧较常见。主要由筛前动脉和脑膜前动脉分支供血,周围可累及嗅神经、大脑镰等部位,部分可侵犯颅底骨质破入筛窦和鼻腔,肿瘤向上方生长压迫额叶,向后方生长扩展可压迫颈内动脉和视神经。由于肿瘤生长缓慢,早期症状多不明显。压迫嗅神经导致患者嗅觉丧失,但症状不明显,易被患者忽略。当肿瘤生长巨大致颅内压增高时,病人可有头痛头晕等症状;向前上生长压迫额叶可导致神经精神症状,如精神淡漠、亢奋、记忆减退等;若肿瘤侵犯同侧视神经,可导致原发性视神经萎缩,造成视力障碍和视野缺损。出现上述症状,需就诊神经外科行头颅CT及MRI检查明确是否存在嗅沟脑膜瘤。
病例介绍
患者因“头痛头晕不适1周”入院。患者入院前1周因工作时碰到头部,感轻度头痛头晕,无视物旋转,无明显恶心呕吐,持续未见缓解,遂于当地医院检查,提示右侧额叶占位可能,伴局部水肿。为求进一步治疗,来我院门诊就诊,2022-10-12查头颅CT提示:右侧额叶血肿可能,占位待排。查体:神志清醒,对答准确,遵嘱活动,双侧瞳孔等大等圆,光反应灵敏,鼻唇沟对称,伸舌居中,颈软无抵抗,克氏征阴性,气管居中,双肺未闻及明显干湿啰音,心律齐,各瓣膜未及病理性杂音,腹软,移动性浊音阴性,脊柱四肢无畸形,四肢肌力肌张力正常,生理反射存在,病理反射阴性。辅助检查:2022-10-12头颅CT:右侧额叶血肿可能,占位待排。
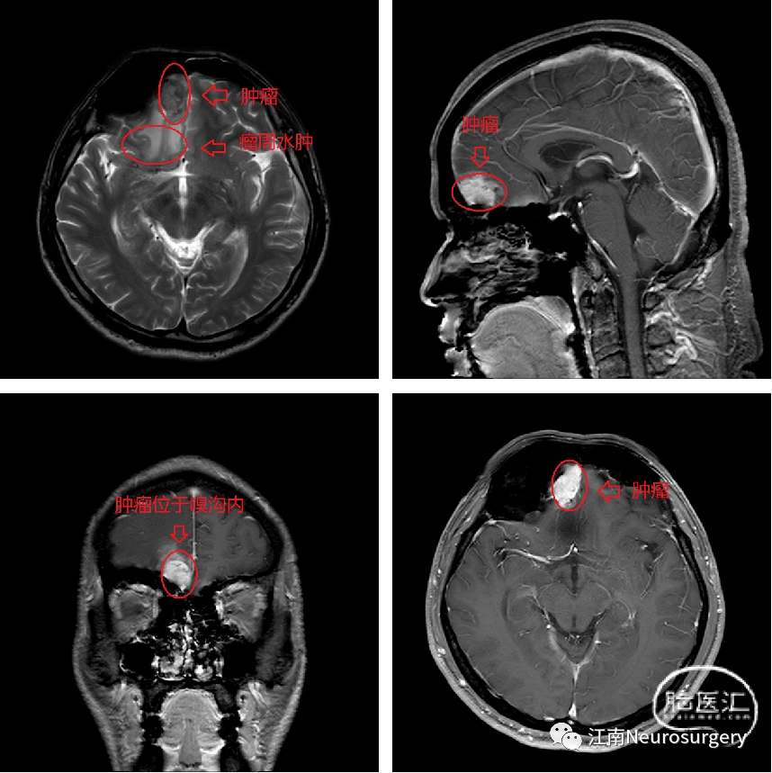
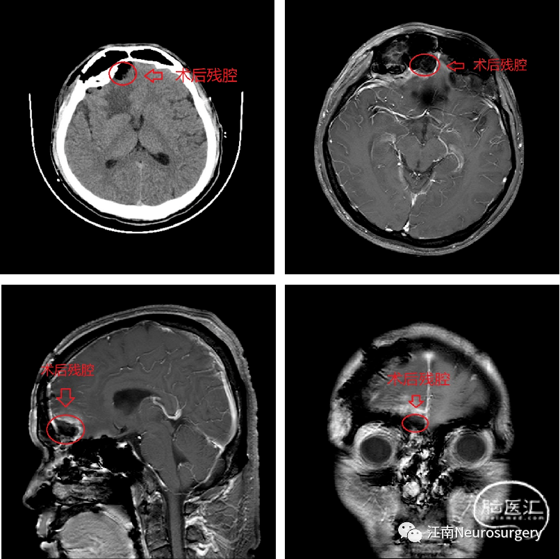
入院后完善检查,查颅脑平扫+颅脑增强+头MRA(TOF)+头CE-MRA(3.0T)提示(图1):右侧额叶占位伴水肿,邻近白质纤维束受压中断,考虑:不典型脑膜瘤。患者颅内占位诊断明确,周围占位压迫所致水肿效应明显,于2022-10-24日全麻下行“额下入路脑病损切除术”。患者气管插管全身麻醉后,仰卧位,头抬高,常规消毒铺巾单。切开皮肤,皮下组织,帽状腱膜,游离皮瓣。剥离骨膜。钻孔,铣刀切开骨瓣,悬吊硬膜,见右侧额窦开放,予碘伏交替双氧水冲洗两次,去除额窦黏膜,予骨蜡封闭窦腔,四周悬吊硬膜止血,人字型剪开硬膜,见额部皮层张力较高,予右侧经外侧裂打开蛛网膜下腔释放脑脊液,见额叶明显塌陷,上抬额叶,中线旁右侧嗅沟区见质韧灰白色肿块,肿瘤大小约4*3.5*4.5cm,分离肿瘤和周围脑组织的界面,保护好周围的动脉和静脉。电凝肿瘤表面,使肿瘤缩小(图2A);沿肿瘤与正常脑组织界面分离(图2B);分块切除肿瘤,使肿瘤体积缩小(图2C);进一步释放脑脊液,使脑组织塌陷,创造更大的手术空间(图2D);在分离的肿瘤-脑组织界面填入明胶分隔(图2E);电凝肿瘤表面使其进一步缩小(图2F);铲除肿瘤基底(图2G);肿瘤切除后所剩残腔,无出血(图2H)。瘤腔充分止血后,止血纱覆盖瘤腔,流体明胶填塞,采用部分肌肉筋膜代替硬膜,水密缝合硬膜,骨瓣回纳,采用bioplate连接片3套固定。皮下仔细止血,逐层缝合肌肉及帽状腱膜,予倒刺线皮内缝合头皮。术后复查MRI见肿瘤切除满意,未见明显残留(图3)。术后病理结果提示:右侧额叶脑膜瘤,肿瘤组织呈侵袭性生长,部分区域细胞丰富,有异型,核分裂像可见(图4)。患者手术恢复良好,顺利出院。

图1. 头颅MRI示嗅沟肿瘤强化。

图2. A:电凝肿瘤表面,使肿瘤缩小;B:沿肿瘤与正常脑组织界面分离;C:分块切除肿瘤,使肿瘤体积缩小;D:进一步释放脑脊液,使脑组织塌陷,创造更大的手术空间;E:在分离的肿瘤-脑组织界面填入明胶分隔;F:电凝肿瘤表面使其进一步缩小;G:铲除肿瘤基底;H:肿瘤切除后所剩残腔,无出血。

图3. 术后复查头颅CT及MRI,未见明显残留。

图4. 病理诊断报告:脑膜瘤,肿瘤组织呈侵袭性生长。
讨论
术前充分了解包括肿瘤大小及浸润范围、病程的长短、肿瘤切除范围,术中对神经、血管和脑组织的保护等,是手术成功的关键。熟悉前颅底解剖和熟练的外科操作技术是手术成功的重要因素[3]。嗅沟脑膜瘤约占所有脑膜瘤的4%-10%,好发年龄20-76岁,平均52岁,女:男=2:1[1-2]。嗅沟脑膜瘤的诊断主要依靠CT和MRI扫描,CT扫描可见密度均匀的团状高或稍高密度影,增强后均一强化。同时,CT骨窗像可观察颅底骨质的变化,对术后颅底重建提供指导。MRI检查显示T1像呈稍低信号,T2像呈等或高信号,增强后显著强化,可见典型脑膜尾征。通过三维立体成像可明确肿瘤供血动脉以及与周边重要血管的毗邻关系,清楚显示肿瘤和血管的依存关系,防止术中损伤重要动脉导致大出血。此外,T2像可反映肿瘤质地,等信号瘤体质地硬,较难剥离,手术全切难度较大;高信号肿瘤质地软,较易分离,全切可能性高[4]。由于嗅沟脑膜瘤生长缓慢,病程较长,因此早期可不出现症状。肿瘤常早期侵犯嗅神经,患者多以嗅觉障碍为首发症状,但由于肿瘤常常单侧生长,单侧的嗅觉丧失易被对侧补偿,常被病人所忽略。由于早期症状不明显,肿瘤不易被发现,发现时已生长巨大,压迫大脑前动脉,引起颅内压增高,半数以上病人出现头晕头痛,常为就医的首发症状。
临床上可有多种手术入路供术者选择。经额下入路是嗅沟脑膜瘤最经典的手术入路。可分为双侧以及单侧额下入路。优点是额下入路在各种入路中暴露肿瘤最充分,手术视野开阔,术中操作空间大,对血管和神经暴露较理想,手术难度相对较低,肿瘤切除程度较大。另外,较为广阔的视野为术中颅底修补提供便利。缺点是大冠状切口对于患者头皮损伤较大,美观较差。双侧额下入路需结扎上失状窦可能会造成脑组织肿胀。术中过度牵拉额叶会导致术后出现神经精神症状可能,脑组织的损伤常常有引起癫痫发生的风险。额窦及颅底的暴露易引起术后脑脊液漏,从而引发严重的感染等。经纵裂入路是额下入路的一种演变入路,类似于单侧额下入路。优点主要是骨瓣较小,打开前纵裂,手术视野较大,对颅底及其后方血管神经结构暴露较好,能早期阻断供血动脉(筛动脉)。同时额叶牵拉程度较小,对于向后方鞍区生长的肿瘤,纵裂入路在分离视神经、垂体等具有明显优势。缺点是对于向侧方生长的肿瘤切除困难,尤其是向对侧生长的,手术暴露较困难;经纵裂向下切除过程中可能会遇到额叶引流静脉,切除会导致术后脑水肿,保留则会严重影响肿瘤暴露;术中失状窦破裂往往会加重脑组织肿胀。该入路适合向上方和后方生长的肿瘤。经翼点入路是一种较经典入路。适用于体积小,向单侧生长的嗅沟脑膜瘤,该入路路径较短,额叶损伤较小;早期打开外侧裂池释放脑脊液,有利于肿瘤暴露;同时显露鞍区重要结构,防止颈内动脉和视神经损伤;避免失状窦破裂;与额下入路相比可减少术后脑脊液漏的发生。经眶上锁孔入路是经颅下颅底的一种微创手术入路。该手术入路源自于由 Lindert等提出的“Keyhole”微侵袭手术概念,主要技术点是通过微创的手术切口准确到达颅内深部位置,又不过多损伤肿瘤周围的血管及神经结构,使手术创伤降至最低,并达到良好的手术治疗效果[5,6]。“锁孔”入路是指精确定位病变,通过有限手术切口进入颅内病变位置,使创伤降至最低[7]。锁孔入路可精确到达和暴露下面结构: 外侧裂内侧部分、蝶骨嵴、视神经管、双侧视神经、视束、前床突、海绵窦、垂体柄、颈内动脉内侧壁等。该入路切口位于眉间,术后美容效果较好;切口小,脑暴露少,创伤较小;骨窗平筛板,手术操作在颅下,可避免额叶牵拉;与额下入路相比对额叶无需过多暴露,避免上矢状窦破坏;缺点是手术视野有限,操作空间小,易造成肿瘤残留;打开了额窦中央区,窦内粘膜切除困难,容易感染,也容易并发迟发性粘液囊肿[8]。我们认为该术式切口小,损伤小,符合现代微侵袭理念,但对术者技术要求高,在狭小通道内操作也对术者提出极大要求。
综上所述,对于嗅沟脑膜瘤的手术治疗,我们的体会是术者应根据患者自身情况、肿瘤部位和大小、自己的经验、熟悉的手术方式以及周围毗邻关系制定个体化的手术策略,选取合适的手术入路。
参考文献
专家简介
朱学峰 主治医师
江南大学附属中心医院(无锡市第二人民医院)神经外科,主治医师,医学硕士
主攻颅内肿瘤,对颅内肿瘤的诊断、治疗、预后研究有较为丰富的经验
科室简介

江南大学附属中心医院(无锡市第二人民医院)神经外科始建于1976年,是江苏省医学重点学科、临床重点专科,北京王忠诚脑科中心和院士工作站,国家博士后科研工作站,无锡市重点学科,“太湖人才计划”顶尖医学专家团队。科室目前设南北两院区,有独立NSICU,床位共110张。年收治5000多人次,手术量1200余台,微创手术率大于60%。现有专科医生30人,其中高级职称15人,博士研究生导师2人,硕士研究生导师4人,教授3人,副教授5人,博士13人。科室目前设有 7 大亚专科:神经内镜及垂体瘤微创中心、脑血管病及介入治疗中心、颅底外科中心、脑胶质瘤中心、神经创伤及重症治疗中心、功能神经疾病诊疗中心、脊柱脊髓疾病中心。在国内、省内领先开展神经内镜下微创手术、脑血管介入手术、神经导航引导下微创手术等,手术成功率和肿瘤全切除率高。
经过多年的发展,神经外科建立了无锡市神经外科研究所、中国神经内镜培训基地(首批)、国家高级脑卒中中心、无锡市神经疾病诊疗中心。与澳大利亚威尔士医院、美国纽约长老会医院、德国格赖夫施瓦德大学附属医院和加拿大麦吉尔大学神经研究所等国外著名神经外科中心建立密切联系和合作。在2021年科室与首都医科大学附属北京天坛医院神经外科王硕教授团队合作,成功创建为“太湖人才计划”顶尖医学专家团队,为科室进一步发展提供了新的动力和平台。
声明:脑医汇旗下神外资讯、神介资讯、神内资讯、脑医咨询、AiBrain 所发表内容之知识产权为脑医汇及主办方、原作者等相关权利人所有。





