
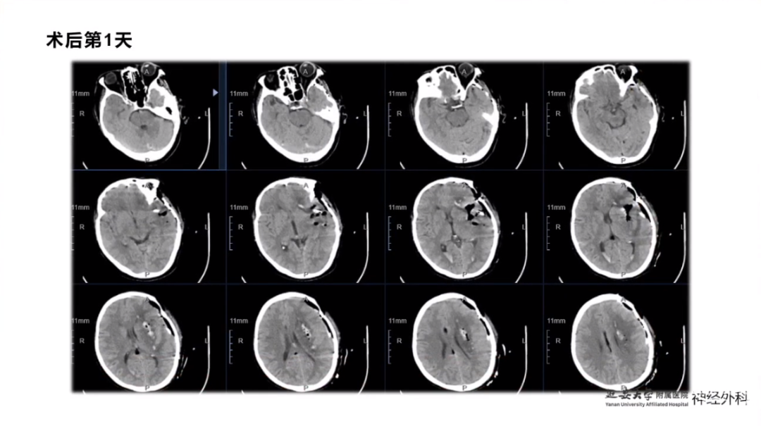
今天为大家分享的是《监测有道丨颅脑创伤-神经重症周刊》第337期,由延安大学附属医院神经外科贾云峰主任医师带来的:神经内镜为主导的多术式组合在重症脑出血中的应用,欢迎阅读、分享。
病例分享



















































































专家简介
贾云峰 主任医师
延安大学附属医院
延安大学附属医院神经外科主任医师、神经外科党支部书记、副主任
延安医疗集团神经外科专科联盟秘书长
中国研究型医院学会脊髓脊柱专业委员会青年学组委员
中国医师协会神经修复委员会多模态影像技术神经修复委员
中国医师协会急诊分会神经急诊委员会委员
中国医药教育协会神经内镜与微创医学专业委员
陕西省保健学会急诊创伤委员会副主任委员
陕西省保健学会神外专业委员会常委、脊髓脊柱委员会常委
陕西省医师协会院前急救专业委员会委员
陕西省科普宣讲团专家
长期从事神经外科疾病的基础与临床研究。专长于神经急危重症综合治疗、神经内镜脑出血微创手术、脊髓脊柱疾病显微外科微创治疗、颅内及脊髓肿瘤、脑血管病、脑、脊髓先天畸形的微创治疗。参与主持完成科研项目《尼莫地平对脊髓损伤的作用研究》等,获陕西省自然科学优秀论文奖。参与国家卫健委牵头的《自发性脑出血的多中心登记研究》等项目研究及《脑出血患者颅内压监测》《脑出血后脑水肿的治疗》专家共识的制定。以第一作者在国内外发表核心期刊20余篇,SCI收录文章1篇,多次应邀在中华医学会、中国医师协会全国神经外科学年会交流发言。主编及参编著作3部,国家发明专利2项
折刚刚 主治医师
延安大学附属医院

声明:脑医汇旗下神外资讯、神介资讯、神内资讯、脑医咨询、AiBrain 所发表内容之知识产权为脑医汇及主办方、原作者等相关权利人所有。







