今天为大家分享的是,由浙江大学医学院附属杭州市西溪医院神经外科崔亚辉副主任医师带来的:枕骨大孔区硬脊膜动静脉瘘切除,欢迎阅读、分享!
辅助检查


初步诊断
诊疗计划
脑血管造影(DSA)术中见

手术过程
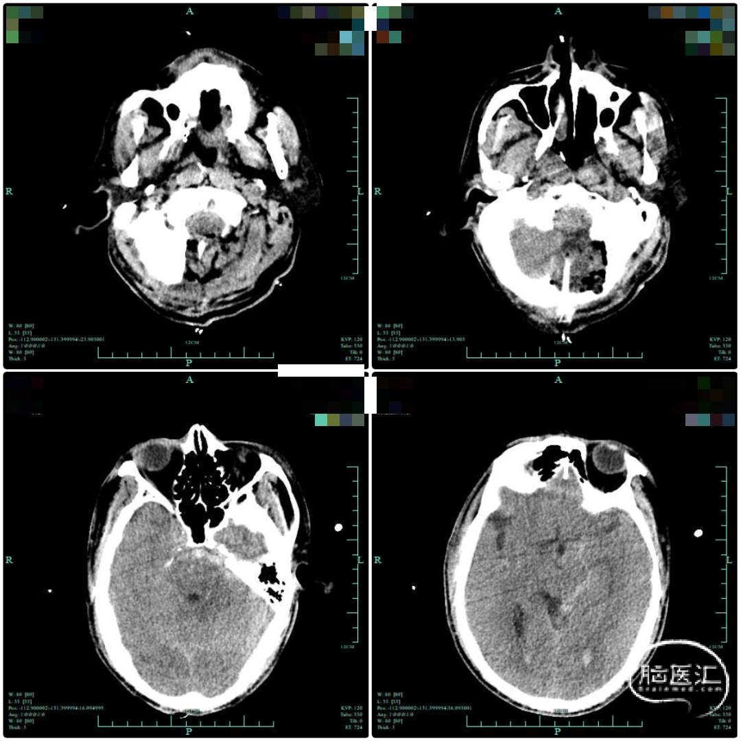
术后复查颅脑CT


术后查体
讨论
![]()
![]()
硬脊膜动静脉瘘(spinal dural arteriovenous fistulas,SDAVF)是硬膜窦及其附近动静脉间的异常交通,即脊髓动静脉未经过毛细血管网而形成的病理性通道[1]。1926年由Foix和Alajouanine 发现并报道;但真正的治疗方案在1974年被确定下来[1]。SDAVF发病以中胸段至上腰段多见,发生于颈段和寰枕交界区仅占2%[2]。SDAVF临床上表现无明显特异性,主要是自下而上不同程度的进行性肢体运动障碍、感觉障碍[3]。枕骨大孔区解剖较复杂:主要包括脑干、椎动脉、脊髓、寰枕关节及肌肉韧带等结构。枕骨大孔区硬脊膜动静脉瘘的临床表现多样,多以慢性进展性神经功能障碍为主,少数患者表现为急性发病,其中45%的患者出现蛛网膜下腔出血[4]。
对于硬脊膜动静脉瘘的检查首选MRI。脊髓MRI多表现为长节段脊髓病变,T2矢状位上见到“铅笔征”,提示脊髓淤血性水肿。此外,MRI 最具特征性的表现是在脊髓背侧蛛网膜下腔的髓周见到串珠样、虫蚀样或管样的多发血管流空影或扩张血管团,增强 MRI 表现为脊髓异常强化血管影;但诊断硬脊膜动静脉瘘的金标准仍是DSA造影检查[5]。造影检查既可以明确异常动静脉血流通道,又可以精准定位瘘口,为进一步诊疗提供有效的依据。
随着时代及检查进步目前治疗手段主要以血管介入及手术治疗为主。治疗目的主要是脊柱消除瘘管连接,恢复正常的顺行动脉血流和静脉引流。目前手术切除畸形血管是颅颈交界区SDAVF最有效的治疗方法,成功率达到98%,复发率低[6]。血管内介入治疗,即通过向血管内注射液体栓塞剂,如NBCA或Onyx;封闭瘘管和近端引流静脉[7]。但是,栓塞不彻底和瘘口再通,仍是血管内介入治疗SDAVF的局限[8]。随着医学科技不断发展,SDAVF的检出率及治疗会更高效及安全。
参考文献
[1]MAIMON S, LUCKMAN Y, STRAUSS I. Spinal Dural Arteriovenous Fistula: A Review [J]. Advances and technical standards in neurosurgery, 2016, (43): 111-37.
[2]GEIBPRASERT S, PONGPECH S, JIARAKONGMUN P, et al. Cervical spine dural arteriovenous fistula presenting with congestive myelopathy of the conus [J]. Journal of neurosurgery Spine, 2009, 11(4): 427-31.
[3]BROWN P A, ZOMORODI A R, GONZALEZ L F. Endovascular management of spinal dural arteriovenous fistulas [J]. Handbook of clinical neurology, 2017, 143: 199-213.
[4]PATSALIDES A, SANTILLAN A, KNOPMAN J, et al. Endovascular management of spinal dural arteriovenous fistulas [J]. Journal of neurointerventional surgery, 2011, 3(1): 80-4.
[5]SARAF-LAVI E, BOWEN B C, QUENCER R M, et al. Detection of spinal dural arteriovenous fistulae with MR imaging and contrast-enhanced MR angiography: sensitivity, specificity, and prediction of vertebral level [J]. AJNR American journal of neuroradiology, 2002, 23(5): 858-67.
[6]STEINMETZ M P, CHOW M M, KRISHNANEY A A, et al. Outcome after the treatment of spinal dural arteriovenous fistulae: a contemporary single-institution series and meta-analysis [J]. Neurosurgery, 2004, 55(1): 77-87; discussion -8.
[7]RANGEL-CASTILLA L, BARBER S M, KLUCZNIK R, et al. Mid and long term outcomes of dural arteriovenous fistula endovascular management with Onyx. Experience of a single tertiary center [J]. Journal of neurointerventional surgery, 2014, 6(8): 607-13.
[8]HIRAMATSU M, SUGIU K, HISHIKAWA T, et al. Results of 1940 embolizations for dural arteriovenous fistulas: Japanese Registry of Neuroendovascular Therapy (JR-NET3) [J]. Journal of neurosurgery, 2019: 1-8.
作者简介
崔亚辉 副主任医师
浙江大学医学院附属杭州市西溪医院
神经外科副主任医师,师从我国著名神经外科专家张建民教授
浙江大学神经外科学硕士
浙江省医师协会神经外科分会青年委员
杭州市医学会神经外科分会青年委员
杭州市中西医结合学会神经外科分会常务委员
擅长脑血管病显微外科手术及介入治疗,如颅内动脉瘤夹闭术、颅内肿瘤切除术、脑出血开颅及微创手术、脑积水V-P分流、颅内动脉瘤、动静脉畸形介入栓塞术、颈动脉狭窄内膜剥脱或支架植入术、椎管内病变切除术等
声明:脑医汇旗下神外资讯、神介资讯、神内资讯、脑医咨询、AiBrain 所发表内容之知识产权为脑医汇及主办方、原作者等相关权利人所有。





