今天为大家分享的是,由中南大学湘雅医院刘庆、张弛、秦超影、刘春波带来的纵裂经胼胝体入路切除三脑室脑膜瘤2例,欢迎阅读、分享!
![]()
![]()
病 例 一
![]()
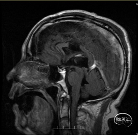
术前影像












术前诊断
手术入路

右额前纵裂经胼胝体入路。
手术视频
术后复查影像



术后MRI提示原肿瘤已全切除,脑室系统形态大小正常,术区无积血,增强术区无明显强化,中线结构居中,余颅内情况基本同前。
术后神经功能
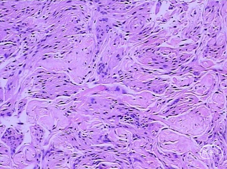
术后病理


![]()
病 例 二
![]()
术前影像

术前诊断
术中所见



肿瘤全切后见大脑内静脉,三脑室脉络丛保留完好,脑脊液循环通畅。
术后复查影像



术后神经功能
术后病理


讨
论
手术入路的选择
总结
![]()
作者简介
![]()
刘庆 教授
中南大学湘雅医院
中南大学湘雅医院颅底神经外科主任,主任医师,中南大学升华学者特聘教授,博士研究生导师
湖南省颅底外科与神经肿瘤研究中心主任,中南大学神经外科研究所副所长
欧美同学会医师协会颅底外科分会副主任委员
中国非公立医疗机构协会神经外科专委会副主任委员
湖南省医学会神经外科专业委员会副主任委员
中华医学会神经外科分会神经肿瘤学组委员
中国医师协会神经外科分会颅底外科专委会专家
中国医药教育协会神经外科专委会副主任委员
湖南省抗癌协会神经肿瘤委员会副主任委员
第八届中华医学会神经外科分会青年委员会秘书长
《中国耳鼻咽喉颅底外科杂志》副主编
国家自然科学基金项目评审专家
入选湖南省高层次卫生人才“225”工程学科骨干人才,“湖南省青年岗位能手”
每年完成各类复杂颅脑肿瘤显微手术或内镜手术600余例,疗效达国内领先水平
主持完成国家“十二五”科技支撑计划项目、国家自然科学基金项目、湖南省科技厅重点项目等课题10余项。获湖南省科技成果奖2项
以第一或通讯作者身份在Advanced science、Neuro-oncology、 Clinicaland Translational Medicine、 Journal of Neurosurgery、 Neurosurgery、 Frontiers inOncology等国内外核心期刊发表基础或临床研究学术论著 60 余篇,主译专著《神经外科医师手册》《脊索瘤》《荧光引导神经外科学》等
声明:脑医汇旗下神外资讯、神介资讯、神内资讯、脑医咨询、AiBrain 所发表内容之知识产权为脑医汇及主办方、原作者等相关权利人所有。








