
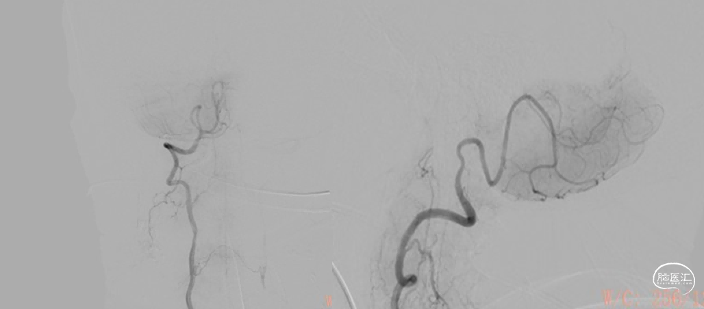
图4. 右侧颈内动脉造影提示胚胎型后交通动脉

图5. 术前左椎正位:左椎起始部闭塞

图6. 右侧椎动脉正位造影:右椎V4段发育不良

图7. 尝试开通左侧椎动脉

图8. 开通失败后造影
综合术前辅助检查,(Core+pen)/Core=3.58;Pen>15ml;Core<70ml(图3);发病时间小于24小时,存在取栓指征,但是当地医院手术经验告诉我们左侧椎动脉慢性闭塞,且开通异常困难,常规手术方案很难成行,术前制定合理且可行的手术方案至关重要。方案1:仍采用左侧椎动脉+基底动脉取栓的正向开通方案,可能会继续浪费大量时间,甚至最后以失败告终。方案2:采用右侧椎动脉入路,由于右侧椎动脉V4段发育不良,当地医院已尝试过超选,证实无法通过V4段至基底动脉建立取栓通路。方案3:既往有文献报道开颅椎动脉直视下穿刺取栓,虽然方案可行,但我院无类似手术经验,贸然尝试风险难以把控。方案4:回顾当地医院取栓影像资料,发现双侧颈内动脉后交通呈胚胎型,是否可能通过后交通跨循环逆向超选至基底动脉取栓。患者平卧DSA床,全麻插管成功后,用碘伏常规消毒手术区皮肤,铺无菌巾单。取双侧股动脉为穿刺点,于14时00分seldinger法穿刺成功后分别置入8F穿刺鞘和5F 短鞘。行全脑血管造影显示左侧椎动脉起始部闭塞,颈升动脉通过肌支代偿V2及以远的椎动脉血流,右侧椎动脉V4段发育不良,单纯供应右侧PICA,双侧后交通动脉胚胎型。(图9,图10)首先我们仍尝试传统入路进行超选左侧椎动脉,发现左侧椎动脉开口闭塞,斑块质地坚硬,微导丝微导管无法通过。短暂尝试无果后,迅速改为右侧椎动脉入路,发现将微导丝塑型成“J”型或成袢,均无法到达右侧椎动脉V4段,遂果断决定采用跨循环取栓方案。将5F VERT造影导管超选至左侧锁骨下动脉,进行正向血流监测。6F 90cm长鞘(cook)及5F 125cm Navien导管在泥鳅导丝带领下超选进入右侧颈内动脉岩骨段。随后将Rebar18微导管在Synchro2微导丝带领下超选至大脑中动脉,并将Navien带领至右侧颈内动脉交通段。微导丝微导管回撤至颈内动脉,路图下Synchro2微导丝带领Rebar18逐步通过右侧后交通动脉,再在透视下经右侧大脑后动脉P1段盲超选至基底动脉下段。(图11-13)手推造影确认Rebar18微导管已突破血栓段,并在基底动脉真腔内。(图14)经Rebar18释放一枚solitaire FR支架(4mm×20mm)覆盖血栓段。SWIM技术负压下抽拉支架1次,抽拉过程中时刻注意系统张力,逐步回撤支架同时适度回撤Navien释放张力,以保证Navien贴近后交通开口而不向后交通动脉内继续深入。撤出支架后,Navien原位保持负压约30秒。(图15)造影复查见基底动脉及其分支再通,支架取出少量血栓(图18)。于14时45分达到远端血流mTICI3级,10分钟后复查造影显示血管通畅,于14时55分末次造影见远端血流维持mTICI3级。(图16,17)术中Dynamic CT未见明显术区出血(图19)。遂缝合穿刺点,结束手术。手术顺利,术中病人情况稳定。术末血压115/58mmHg,脉搏70次/分,呼吸12次/分,氧饱和度100%。术毕送重症监护室。图9. 双侧椎动脉造影:左侧椎动脉起始部闭塞,左侧颈升动脉肌支和右侧椎动脉通过脊髓支代偿V2及以远的椎动脉血流;右侧椎动脉V4段发育不良,单纯供应右侧PICA

图10. 右侧颈总动脉造影:后交通动脉胚胎型
图11. Synchro2微导丝、Rebar18微导管逐步超选通过右侧后交通动脉至基底动脉
图12. Synchro2微导丝通过基底动脉进入左侧椎动脉
图13. Rebar18微导管通过血栓段进入基底动脉下段

图14. 微导管造影
图15. solitaire FR支架输送到位:经Rebar18释放一枚solitaire FR支架(4mm×20mm)覆盖血栓段。SWIM技术负压下抽拉支架1次,抽拉过程中时刻注意系统张力,逐步回撤支架同时适度回撤Navien释放张力,以保证Navien贴近后交通开口而不向后交通动脉内继续深入。撤出支架后,Navien原位保持负压约30秒

图16. 左侧锁骨下动脉造影见基底动脉正向血流恢复
图17. 10分钟后标准正侧位造影见血流维持TICI 3级

图18. 取出少量血栓

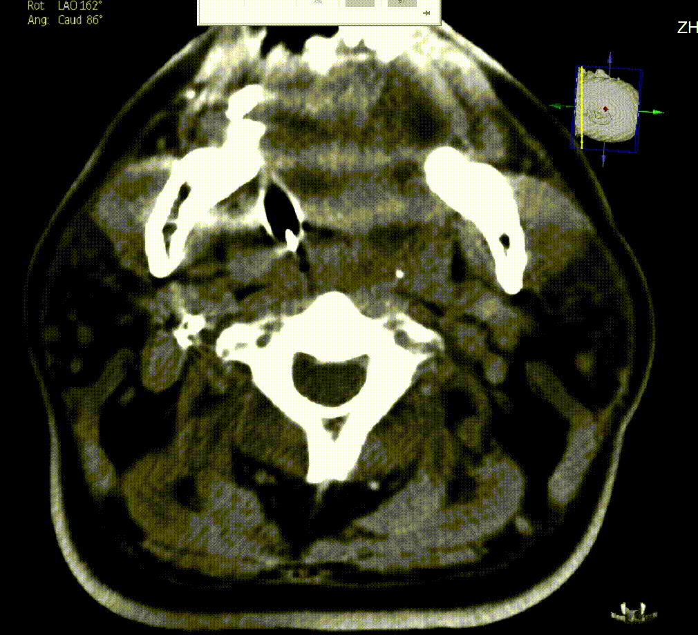
图19. 术中Dynamic CT未见明显术区出血
术后予以扩容等中性治疗,控制收缩压≤140mmHg。术后24小时CT见术区未出血(图20),术后24小时CTA+CTP显示基底动脉通畅,后循环灌注恢复(图21,22)。随即加用阿司匹林200mg QD。

图20. 术后24小时CT可见脑组织肿胀,术区未见出血

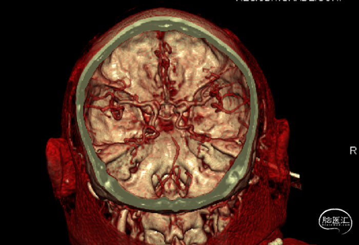
图21. 术后CTA提示基底动脉通畅

图22. 术后CTP见后循环灌注恢复

图23. 术后两周CT:脑组织水肿消退,脑干小脑多发梗塞灶
术后2周患者神志仍昏迷,GCS评分:1T3。气管插管机械通气。双侧瞳孔不等大,左:圆形,直径2.0mm;对光反应消失;右:圆形,直径4mm,对光反应消失,四肢轻度凹陷性水肿。四肢肌张力正常,肌力检查不配合,双侧巴氏征阳性。CT:脑组织水肿消退,脑干小脑多发梗塞灶(图23)。家属要求回当地医院继续康复治疗。
讨论
基底动脉闭塞是一种致死性卒中综合征,其死亡率可达80%以上[1]。相较于前循环机械取栓的可喜结果,以基底动脉闭塞为代表的后循环取栓即使再通,死亡率或致残率仍然很高[2]。在此前发表的针对后循环取栓的两项RCT研究(BEST研究和BASICS研究)中,均未能证实在急性基底动脉闭塞患者中进行血管内治疗(EVT)显著优于最佳药物治疗(BMM)。尽管被排除在具有里程碑意义的血管内缺血性卒中试验之外[3],目前AHA/ASA认为在症状发作后6小时内尝试基底动脉血栓取出仍然是“合理的”。同时基底动脉闭塞的治疗窗尚未明确,许多中心治疗基底动脉血栓形成的时间远远超过6小时。
这种不利于基底动脉闭塞机械开通的情况正在逐渐改写。基于创新者不断的探索,2022年NEJM背靠背发表了2项中国主导的多中心、随机对照临床研究——ATTENTION和BAOCHE,其结果表明对于中重度急性基底动脉闭塞性卒中患者,在90天功能状态良好方面,血管内取栓优于单纯最佳药物治疗,且治疗时间窗可延长至24小时。同时也要指出的是取栓治疗有可能导致更多的手术并发症,存在更高的脑出血风险,且相较于最佳药物治疗,90天时死亡率并无显著差异。
许多作者报告了他们的交叉循环治疗经验。Moret等人首次在颅内动脉瘤介入治疗的背景下描述了这一概念[4]。Moret报道了10例“逆行”动脉瘤栓塞。许多病例在球囊辅助下进行,从非顺行方向看,球囊保护角度最佳。在基底动脉血栓形成的治疗中,Liu等人描述了Penumbra抽吸系统经前-后循环方式即左PCOM动脉至基底动脉中的使用[5]。Sultan-Qurraie等人首次描述了使用Solitaire FR取栓支架从前-后基底动脉跨循环取栓[6],证明了使用支架从前-后循环至基底动脉机械取栓的可行性。
在我们的病例中,患者右侧椎动脉V4段发育不良,左侧椎动脉起始部闭塞并且尝试开通失败,因此正向取栓通路无法建立,这类由于“顺行”血管闭塞开通困难或其他解剖学限制,往往需要跨循环的通路建立。新型支架取栓器的可变径向力允许在明显不同尺寸的血管之间清除跨循环凝块,例如基底动脉(平均3.17mm)和PCOM动脉(平均1.5mm)[7,8]。较新的微导丝、微导管和取栓装置可能有助于减少与血管内卒中治疗相关的并发症[9]。血管损伤、远端栓塞和将血栓引入新的动脉区域是与跨循环血管内治疗相关的风险。需要更大规模的研究来确定跨循环基底动脉取栓方法的安全性。参考文献
[1] Nouh A, Remke J, Ruland S. Ischemic posterior circulation stroke: a review of anatomy, clinical presentations, diagnosis, and current management[J]. Front Neurol, 2014, 5: 30.[2] Lindsberg P J, Mattle H P. Therapy of basilar artery occlusion: a systematic analysis comparing intra-arterial and intravenous thrombolysis[J]. Stroke, 2006, 37(3): 922-8.[3] Goyal M, Menon B K, Van Zwam W H, et al. Endovascular thrombectomy after large-vessel ischaemic stroke: a meta-analysis of individual patient data from five randomised trials[J]. Lancet, 2016, 387(10029): 1723-31.[4] Moret J, Ross I B, Weill A, et al. The retrograde approach: a consideration for the endovascular treatment of aneurysms[J]. AJNR Am J Neuroradiol, 2000, 21(2): 262-8.[5] Liu W, Kung D K, Mahaney K B, et al. Anterior-to-posterior circulation approach for mechanical thrombectomy of an acutely occluded basilar artery using the penumbra aspiration system[J]. World Neurosurg, 2012, 77(2): 398 E17-20.[6] Sultan-Qurraie A, Rozansky G, Cox J A, et al. Cross-circulation thrombectomy with use of a stent retriever: A case report[J]. Interv Neuroradiol, 2017, 23(4): 422-426.[7] Pedroza A, Dujovny M, Artero J C, et al. Microanatomy of the posterior communicating artery[J]. Neurosurgery, 1987, 20(2): 228-35.[8] Smoker W R, Price M J, Keyes W D, et al. High-resolution computed tomography of the basilar artery: 1. Normal size and position[J]. AJNR Am J Neuroradiol, 1986, 7(1): 55-60.[9] Balami J S, White P M, Mcmeekin P J, et al. Complications of endovascular treatment for acute ischemic stroke: Prevention and management[J]. Int J Stroke, 2018, 13(4): 348-361.
(本文由浙二神外周刊原创,浙江大学医学院附属第二医院神经外科魏杰硕士研究生整理,徐丁主治医师及凌晨晗副主任医师修改,许璟主任医师审校,张建民主任终审)
声明:脑医汇旗下神外资讯、神介资讯、神内资讯、脑医咨询、AiBrain 所发表内容之知识产权为脑医汇及主办方、原作者等相关权利人所有。
投稿邮箱:NAOYIHUI@163.com
未经许可,禁止进行转载、摘编、复制、裁切、录制等。经许可授权使用,亦须注明来源。欢迎转发、分享。