本期脑医汇为大家分享:复旦大学附属华山医院【张荣】教授的精彩会议内容,欢迎阅读和分享!
![]()
会议内容截图














小脑星形细胞肿瘤










大脑半球儿童低级别胶质瘤
·致痫性肿瘤局限性肿瘤:节细胞胶质瘤、胚胎发育不良性神经上皮肿瘤(DNT)等
·弥漫性肿瘤








丘脑










视路











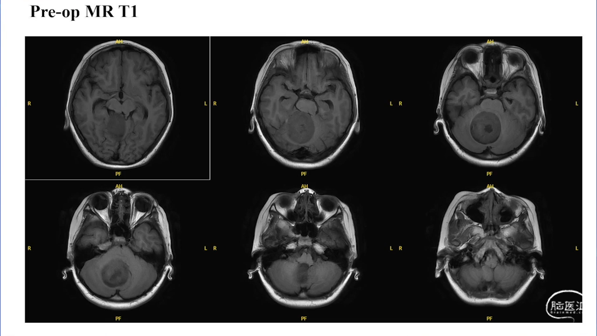
脑干:桥脑、中脑背盖、延髓














![]()
详细内容请观看下方视频

点击图片观看会议视频
讲者:张荣
讲题:儿童胶质瘤的精准治疗
张荣教授:儿童胶质瘤的精准治疗
本期脑医汇为大家分享:复旦大学附属华山医院【张荣】教授的精彩会议内容,欢迎阅读和分享!
![]()
会议内容截图














小脑星形细胞肿瘤










大脑半球儿童低级别胶质瘤
·致痫性肿瘤局限性肿瘤:节细胞胶质瘤、胚胎发育不良性神经上皮肿瘤(DNT)等
·弥漫性肿瘤








丘脑










视路











脑干:桥脑、中脑背盖、延髓














![]()
详细内容请观看下方视频

点击图片观看会议视频
讲者:张荣
讲题:儿童胶质瘤的精准治疗