
前 言
随着神经介入领域新材料、新技术的不断创新,谱高医疗利用现代化管理、科技手段,通过永无止境的创新、精益求精的完善和国内一流临床专家的合作,研发出了更加适合中国患者的微创医疗器械,赋能医者快速精准让患者获益,提高病患生存质量。
作为谱高医疗学术交流专栏,专注急性大动脉缺血、动脉粥样硬化、颅内动脉狭窄、动静脉畸形、动脉瘤等介入治疗的临床经验分享。
吉林大学中日联谊医院南光贤教授团队带来一例颈动脉支架植入病例分享,以下为您精彩呈现。
病史
简介
患者基本信息
现病史:男性,82岁,入院前20天出现头晕,头部昏沉感。于当地医院行相关检查发现“颈动脉狭窄”,为进一步诊治就诊于我院。病程中无意识障碍,无言语及肢体活动障碍,无饮水呛咳、吞咽困难,无抽搐等。
既往病史:高血压病史5年。
查体:140/90mmHg,神经系统查体无阳性体征。
自带头颈部CTA:左侧颈内动脉起始处重度狭窄。
术前影像资料




头部CT








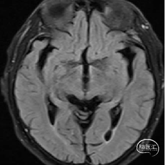
头部DWI、Flair




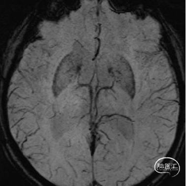
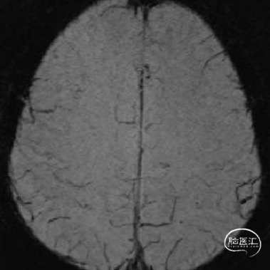
头部SWI



弓上CTA


头部CTP



DSA
治疗
经过
01
术前诊断
左侧颈内动脉起始处重度狭窄。
02
发病机制
动脉粥样硬化。
03
手术方案
脑保护伞下左侧颈内动脉起始处球囊扩张、颈内动脉起始处支架置入。
04
术中器械
8F导引导管
谱高PathGuard®保护伞
微导丝
外周球囊扩张导管
颈动脉支架
治疗
过程
手术过程
手术过程
病例
总结
1、一次性使用栓塞保护伞是在颈动脉介入手术中,为患者提供血管远端栓塞的保护。谱高PathGuard®保护伞,是镍钛合金编织,使用过程中收放自如、贴壁良好,多段显影,全方位显影定位导航,有独立导丝设计,推送顺畅。
2、该病例为颈内动脉起始处重度狭窄,有颈动脉支架置入指征;术前评估左侧颈内动脉起始处呈多节段、溃疡性斑块,病变相对较长,术中避免输送器材过程中出现斑块脱落;头颅灌注提示左侧颞叶、放射冠区域缺血代偿期改变,头SWI未见微出血灶,提示发生高灌注风险相对较低,可充分抗板治疗,但术后仍需严格控制血压。术前置入临时起搏器,避免术中出现心率下降甚至骤停风险。

术者
简介
南光贤
教授,主任医师,博士生导师,吉林大学中日联谊医院神经内科主任,高级卒中中心主任,脑卒中急救指挥中心主任,国家科技进步奖评审专家,国家级专家
国家卫健委脑卒中防治工程委员会卒中中心
管理指导委员会常委
中国卒中中心管理指导委员会督查专家
国家卫健委神经系统疾病质控中心神经介入质控吉林省负责人
中国医师协会神经病学分会常委
中国医师协会神经介入分会常委
中国卒中学会理事会常委
吉林省医师协会神经介入专委会主任委员
![]()
点击或扫描上方二维码
查看更多“介入”内容















