
创新技术
机器人辅助神经内镜下侧脑室肿瘤切除术
术者:肖新如 / 白杰 / 王亚明
获奖理由
本例脑膜瘤,经机器人辅助神经内镜下切除,实现了脑膜瘤精准微创治疗,同时也对神经功能起到了良好的保护。
病史资料
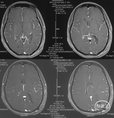
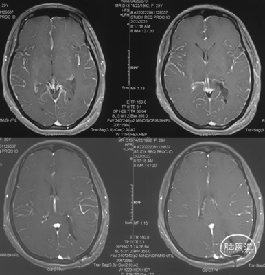
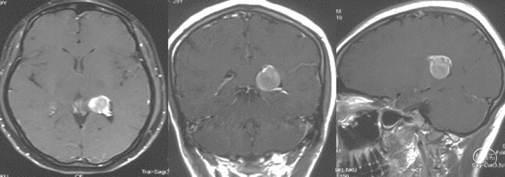
术前影像检查
头颅MRI
头颅MRI增强
诊断
左侧侧脑室三角区脑膜瘤。
术者说
“
脑膜瘤是原发中枢神经系统最常见的肿瘤,占整个中枢神经系统肿瘤的36.6%,占中枢神经系统良性肿瘤的53.2%。根据脑膜瘤病理特征将脑膜瘤分为3级,良性脑膜瘤(Ⅰ级)约占81.1%,非典型脑膜瘤(Ⅱ)占16.9%,恶性脑膜瘤(Ⅲ)占1.7%。目前脑膜瘤治疗是以手术为主,大多数肿瘤可以通过手术得到治愈,也有少部分需要辅助放疗及其他治疗。根据脑膜瘤的部位、大小、质地不同,我们采取切除脑膜瘤的方式也有所不同,手术难度也各异。
治疗策略
术者说
“
左侧侧脑室三角区占位,边界清楚,不均匀强化,术前诊断良性脑膜瘤相对比较明确;患者年轻女性,无明确阳性体征,对手术微创及功能保留要求比较高;肿瘤相对较小,完全位于侧脑室内,且有明确的脉络丛供血;肿瘤位于三角区且为左侧优势半球,三角区皮层造瘘较大时可能术后会出现语言障碍及视野缺损明显。
综合以上情况,考虑该患者适合机器人导航精准定位,在内镜微创下进行手术治疗。这样可以采用直切口,小骨窗,最小程度减少对脑皮层损伤,保护语言和视野,同时可以加快患者的恢复,减少发生皮下积液和延迟出院的几率。
术前准备

收集MRI及定位CT数据,用睿米机器人进行数据融合,靶路径设计,完成术前计划。


手术过程


术中:
【暴露肿瘤】
【观察肿瘤】
【切除肿瘤】
【切除后观察】
【复位缝合】




术者说
“
本例脑膜瘤患者,经机器人辅助神经内镜下,完成侧脑室肿瘤全切除,实现了脑膜瘤精准微创治疗,同时也对神经功能起到良好的保护。
就目前的治疗现状,大多数脑膜瘤采用开颅显微镜下切除,这与脑膜瘤生长特点有关。随着内镜技术的发展,少部分肿瘤,特别是生长于鞍区、脑室的脑膜瘤逐渐开始采用神经内镜下切除。
应用神经内镜的优势有:1、切口小/无切口:切口小,直切口和小骨窗即可进行手术或者经鼻腔、口腔无表面切口。2、正常组织损伤小:大脑皮层损伤小,手术通道相对固定,对周围脑组织牵拉更小,同时有效限制手术器械移动造成的脑组织损伤。3、视野更好:神经内镜更好的照明,视角开阔且显露清晰,神经内镜可提供近距离及多角度的视野观察,更有助于辨别肿瘤与周边解剖结构的关系,提高全切率,并有效避免神经损伤。切除脑膜瘤时病变定位也是关键的问题,特别是深部肿瘤,定位尤为重要。
病理诊断
砂砾型脑膜瘤,WHO 1级。
图片可能引起不适,请谨慎选择浏览
点击空白出现图片
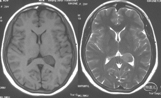
术后复查


术者说
“
近年神经外科机器人逐渐被应用到脑膜瘤切除中,它不仅可以融合多种影像、实施肿瘤精准定位、设计理想穿刺路径,同时还可以把持固定神经内镜,设定安全域,保证安全的情况下调整内镜深度及角度。该病例就是将这两种技术结合应用,最终使患者获得良好的治疗效果。
宣武医院神经外科对颅内各种脑膜瘤,包括凸面、颅底、脑室内、颅眶沟通性、颅内外沟性的脑膜瘤均有丰富的治疗经验。根据肿瘤的特点可采用显微镜、神经内镜或显微镜结合内镜等多种方式进行手术,同时应用神经外科机器人、导航、术中核磁等先进技术手段辅助,在尽可能保护神经功能前提下最大程度切除肿瘤。
宣武医院神经外科年脑膜瘤手术量近1000台,特别是对一些颅底、深部、巨大和反复复发的脑膜瘤,积累了大量的临床病例。我们会尽最大努力帮助每一位患者去除病痛,医患同心,医患同行,吴越同舟,攻坚克难。
手术医生介绍
肖新如
宣武医院神经外科
颅底和脑肿瘤中心 主任医师
硕士研究生导师
曾在首都医科大学附属北京天坛医院神经外科工作近20年,2018年调入首都医科大学宣武医院神经外科。在颅底肿瘤、脑干疾病的诊治方面有丰富的经验。曾在日本九州大学医学院做博士后研究,主要研究胶质母细胞瘤的基因治疗。曾先后前往美国圣路易斯大学医学院、美国Cleveland Clinic Foundation神经外科、美国凤凰城Barrow神经外科研究所参观学习。
【学术任职】中国解剖学会神经外科分会主任委员;欧美同学会医师协会颅底外科分会 副主委兼秘书长;中国医药教育协会神经内镜与微创医学专业委员会常委。
【擅长】各种复杂颅底肿瘤的显微外科治疗,包括岩斜区脑膜瘤,听神经瘤、颈静脉孔区肿瘤、枕大孔区肿瘤等。
【出诊时间】
周一上午(特需门诊),周一下午(专家门诊)
白杰
宣武医院神经外科
颅底和脑肿瘤中心 副主任医师
硕士生导师;副教授
美国克利夫兰医学中心访问学者。2012年毕业于首都医科大学附属北京天坛医院神经外科,获博士学位。国家自然科学基金获得者,发表本专业SCI文章及国内核心期刊10余篇。
【学术任职】现任欧美同学会医师协会颅底外科分会副秘书长、常委。中国解剖学会神经外科分会委员。
【擅长】脑膜瘤、胶质瘤、垂体瘤、听神经瘤、颅眶沟通性肿瘤及其他各种颅内肿瘤的显微外科手术治疗。
【出诊时间】周五下午(专家门诊)
王亚明
宣武医院神经外科
医学博士 主任医师
【学术任职】北京医学会神经外科学分会第八届委员会委员;中国人民解放军医学科学技术委员会第九届神经外科学专业委员会功能学组委员;中国医师协会神经肿瘤学分会委员;北京医师协会神经外科专科医师分会理事。
【获奖情况】获中国人民解放军医疗成果三等奖1项,二等奖2项,中华医学奖一等奖一项。
【擅长】神经外科立体定向机器人病变穿刺活检及颅内肿瘤显微外科治疗。
【出诊时间】周三上午(专家门诊)
声明:脑医汇旗下神外资讯、神介资讯、神内资讯、脑医咨询、AiBrain 所发表内容之知识产权为脑医汇及主办方、原作者等相关权利人所有。