
52Y,F
CC:突发头痛头晕伴恶心、呕吐12天
PMH:(-)。
PE:神清,GCS评分=15分。眼球各向活动正常,双侧瞳孔等大等圆,直径约2.5mm,对光反射灵敏;颈部稍抵抗,脑膜刺激征阳性,余NS(-)。
2023-08-17
外院CT
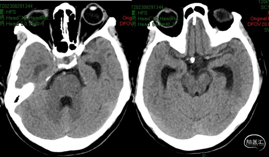
2023-08-29
我院CT

2023-08-30
DSA

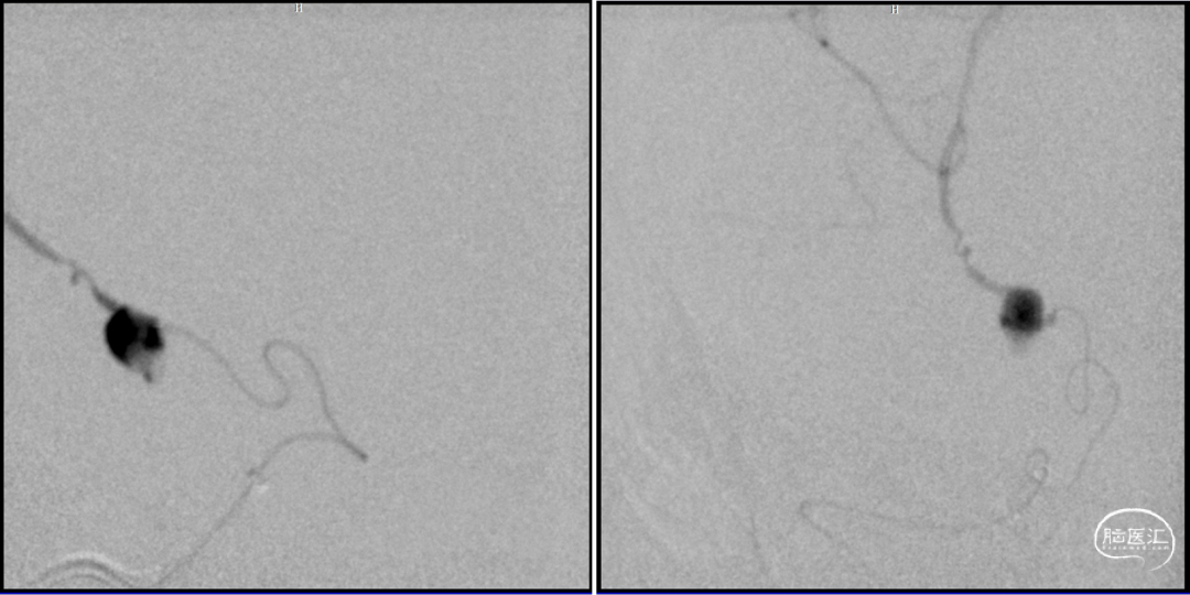
2023-08-30
DSA


前后循环3d融合寻找假性动脉瘤供血,
考虑为后交通动脉


手术预案
主要诊断:
1.右侧后交通动脉远端假性动脉瘤;
2.SAH (H-H II);
治疗方案:
后交通动脉瘤栓塞术。
策略:
1.球囊辅助;
2.外科胶栓塞 。
难点:
后交通动脉及同侧大脑后动脉保护。
手术器械
通路:
右股A 8F鞘+ 8F Neuron MAX +通桥颅内支持导管TGC055-05-125,左股A 6F鞘+强生6F Envoy DA 指引管;
微导丝:
Synchro-10、Mirage0.008微导丝。
微导管:
马拉松微导管;
液体栓塞材料:
Glubran2胶。
球囊:
HyperGlide 4mm*20mm封堵球囊。
封堵系统:
Cordis exoseal动脉封堵器。
微导管超选


球囊保护下微导管造影证实假性动脉瘤


球囊保护下25%gb栓塞


2023-08-30
术后造影:假性动脉瘤消失

2023-08-31
术后CT

2023-09-01
术后MR未见该中央新发支梗塞



后交通动脉在向后稍内行走的过程中发出两组约2 -8条(以4条为多见)细小的中央支(图1)。前组供应丘脑下部、丘脑腹侧部;视束前部和内囊后肢。后组主要供应丘脑底核。这些中央支之间虽然存在吻合,但其中一支阻塞后,因有效的侧支循环难以建立,故多产生相应供应区的梗死。该病例栓塞假性动脉瘤所在中央支没有症状,考虑为假性动脉瘤导致该中央支缺血耐受和血管代偿。
钟书
广西自治区人民医院
脑血管、脊髓神经外科副主任医师,广西右江民族医学院外科副教授
中国卒中专科联盟委员
中国医师协会神经介入专委会委员
国家卫健委脑防委出血介入专委会委员
中国生命关怀协会理事
中国生命关怀协会脑卒中救治及康复照护专业委员会常务委员
中国老年医学会神经医学分会常委兼副总干事
中国老年医学会脑血管病分会委员
中国老年保健医学研究会脑卒中防治分会委员
海峡两岸医药学会神经外科专委会脑血管病学组委员
中国人体健康科技促进会临床神经科学技术转化专委会委员
中国神经外科重症管理协作组委员
中国神经科学转化与循证医学协作组委员
广西脑血管病专科联盟副主席兼秘书长
美国神经介入(JNIS)杂志中文版编委
脑医汇-神介资讯编委
获国家卫健委脑防委优秀中青年专家、国家卫健委脑卒中防治工程十周年菁英先锋奖、中国志愿医生脱贫攻坚功勋奖、广西区直机关青年岗位能手、广西优秀青年志愿者等荣誉称号
点击或扫描上方二维码,
前往 钟书 学术主页
查看更多精彩内容
点击或扫描上方二维码
查看更多“介入”内容







