2023年09月29日发布 | 291阅读

万锋教授:儿童高级别胶质瘤的诱导分化治疗探讨

万锋

广东省人民医院

达人收藏

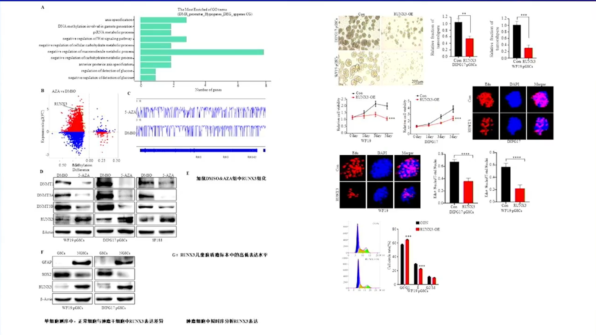
本期脑医汇为大家分享:广东省人民医院【万锋】教授的精彩会议内容,欢迎阅读和分享!

会议内容截图

详细内容请观看下方视频

点击图片观看会议视频

讲者万锋

讲题儿童高级别胶质瘤的诱导分化治疗探讨

声明:脑医汇旗下神外资讯、神介资讯、神内资讯、脑医咨询、Ai Brain 所发表内容之知识产权为脑医汇及主办方、原作者等相关权利人所有。

投稿邮箱:NAOYIHUI@163.com 

未经许可,禁止进行转载、摘编、复制、裁切、录制等。经许可授权使用,亦须注明来源。欢迎转发、分享。

最新评论
发表你的评论
发表你的评论
来自于专栏
关键词搜索