
简要病史
患者男性,54岁,外伤后双侧眼突伴视物模糊21天。既往体健。

术前影像资料
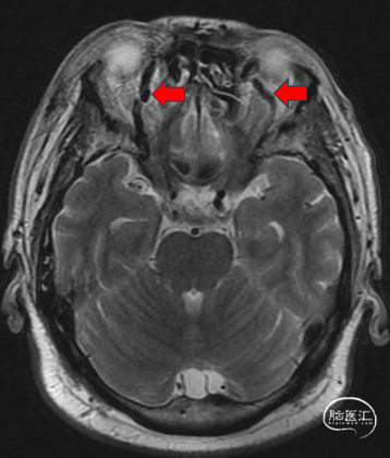
眼科检查提示双眼眼上静脉增粗。


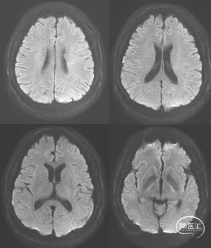
头颅核磁DWI未见急性梗死,T2加权像见双侧增粗眼静脉。


右侧颈内动脉海绵窦瘘(Brrow A型)。


前交通开放,左侧大脑前动脉通过前交通动脉向右侧前循环供血。


右侧后交通开放,后循环通过后交通动脉向右侧前循环供血。


术前手术预案:
1、使用弹簧圈栓塞海绵窦,有一定占位效应,且花费较高。
2、使用Onyx胶栓塞海绵窦,有栓塞剂外溢风险,且花费中等。
3、使用覆膜支架覆盖瘘口,因无法准确判断瘘口及远端血管情况,覆膜支架型号和放置位置选择困难,且花费较高,后期需长期口服抗血小板药物。
4、使用可解脱金球囊闭塞瘘口,经济效益高,操作方便快捷,必要时弹簧圈栓塞或覆膜支架补救。
手术方案:
右侧颈内动脉海绵窦瘘栓塞术。
术中涉及介入器械选择:
6F Neuron MAX 长鞘
MABDPE 标准 MAGIC 导管
可分离栓塞金球囊
金球囊安装准备:








治疗过程
栓塞金球囊到位。

栓塞金球囊半充盈堵塞瘘口,ICA海绵窦段以远显影。


栓塞金球囊全充盈堵塞瘘口,ICA海绵窦段以远显影良好,但瘘口有少量侧漏。


10min后显示瘘口侧漏消失。


术后第1天,双侧球结膜充血明显减轻。

术后第3天,双侧球结膜充血消失。

术者思考
颈内动脉海绵窦瘘(Brrow A型)为直接高流量分流;血管内治疗的目的是封闭瘘口,尽可能保持颈内动脉及其分支血流通畅。
可分离栓塞金球囊作为封堵瘘口较大的、直接高流量型CCF的经典方法,其花费少、操作安全简便。
CCF经过成功栓塞后,患者的颅内杂音立即消退,眼内压恢复正常。眼球突出及球结膜水肿等症状可在数小时至数天内消退。
术者简介
李宏
天津医科大学第二医院
神经外科科主任,主任医师,卒中中心副主任、创伤中心副主任
从事重型颅脑创伤,神经重症,神经肿瘤、脑血管病的手术及介入治疗
中国研究型医院学会神经外科专业委员会委员
中国中医药信息学会中西医结合介入分会委员
天津市医学会神经重症分会常委
天津市整合医学学会第一届脑卒中综合治疗委员会主任委员
天津市医疗健康学会第二届脑病专业委员会副主任委员
天津市医疗健康学会第二届神经外科专业委员常务委员
天津市医学会神经外科分会委员
天津市医疗健康学会第一届移植与健康专业委员会常委
天津市医学会神经外科分会颅底学组常委
朱勋
天津医科大学第二医院
主治医师,硕士
天津市整合医学学会第一届脑卒中综合治疗委员会委员兼秘书
天津市医疗健康学会第二届脑病专业委员会委员
以第一或通讯作者发表SCI 5篇,中华等核心期刊3篇。获国家授权专利4项。参与国自然及省级课题2项
专业方向:脑血管病微创介入及手术治疗;严重多发伤及神经危重症的综合治疗;颅脑外伤手术治疗。获中华医学会重症医学专科资质培训5C证书,国家卫健委颅内动脉瘤介入治疗专项培训证书
孟凡磊
天津医科大学第二医院
住院医师,硕士
天津市整合医学学会第一届脑卒中综合治疗委员会委员
天津市医疗健康学会第二届脑病专业委员会委员
专业方向:脑血管病微创介入及手术治疗
![]()
点击或扫描上方二维码
查看更多“介入”内容











