
JNS发表
半坐位内镜辅助显微镜巨大听神经瘤切除术
术者:梁建涛 / 宋刚
病史资料
术前检查
听力检查
颈椎前屈后伸位X线
X线显示无颈椎不稳定,为半坐位必需的检查。
颅底CT骨窗位
CT骨窗位显示左侧内听道扩大,同时了解乙状窦、乳突导静脉位置及岩骨气化情况。
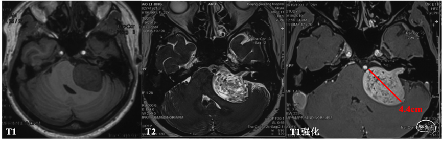
头颅MRI
诊断
术者说
“
听神经瘤的手术治疗经过100多年的发展,随着医疗技术的进步,术后严重并发症率越来越低,面听神经保留率也越来越高。当前医生和患者更加注重术后生活质量,也就是术后面神经功能和听力保留情况。
术前评估
House-Brackmann分级1级
治疗策略
内镜辅助显微镜乙状窦后入路听神经瘤切除术。
辅助手段:电生理监测,包括SEP和MEP;面神经FMEP;术中面神经刺激判断面神经位置、走行。
手术体位:半坐位。
术者说
“
相对于传统侧卧位,半坐位有以下优势:颅压低,小脑完全松弛,牵拉损伤轻;术者可对瘤脑界面双手操作,更加精准,有利于保护神经血管;术野清晰,术野出血及脑脊液可随重力自行引流,减少使用双极电凝止血。
手术过程
术者说
“
本例面神经绕行于肿瘤的上极,相对于肿瘤腹侧的常态走行,该患者面神经走行距离更长,移位、变形、粘连更重,尤其在内听道口的上方,分离更为困难。经过手术团队近6个小时的努力,实现了全切肿瘤及面神经功能完好保留的目标。
病理诊断
(左侧听神经瘤)神经鞘瘤。

术后复查
术后复查头颅MRI显示肿瘤全切,小脑无明显牵拉损伤。

术后面神经功能正常,H-B1级。

术者说
“
国际上,听神经瘤手术主要采用两种体位:侧卧位和半坐位。侧卧位在美国、日本及中国比较通用。侧卧位的优点是摆放简单,对麻醉要求较低,便于在基层医院开展,其缺点是颅压比较高,对小脑牵拉较重,主刀医生难以采用双手分离操作界面,对助手的要求较高;半坐位在欧洲比较流行,因存在静脉气栓等风险,需要有术中静脉气栓的监测装置及静脉气栓发生后的处置经验,对麻醉团队要求比较高。其优点是颅压低、术野清晰、可双手分离瘤脑界面。
宣武医院神经外科同时熟练两种体位,可以根据肿瘤的大小,个体化选择手术体位,实现患者利益最大化。对这位患者,鉴于肿瘤大,颅压高,为实现肿瘤全切和神经保护的目标,选择了挑战较大的半坐位。
听神经瘤手术的目标是肿瘤全切和神经功能保留,尤其是面神经功能保留。但对于大型肿瘤而言,肿瘤全切和面神经功能的保留又是一对矛盾,有时甚至是不可调和的矛盾。过分追求肿瘤全切,有时会以面瘫为代价;过分追求面神经功能,有时会以肿瘤残留的代价。
“爱美之心,人皆有之,男女老少,概莫能外”,面神经功能非常重要。但如果肿瘤残留,日后复发再生长,再次手术更加困难,所以肿瘤残留也是后患无穷。“进也难,退也难”。手术台上,医生并没有掌控患者命运的上帝之手,只能在手术团队力量的基础上,结合肿瘤的大小、质地、血供、粘连程度、面神经与肿瘤的位置关系等个体因素,如履薄冰,如临深渊,一点一点向前推进。
宣武医院神经外科(CHINA-INI)自“大脑袋”楼启用的3年半以来,共完成572台听神经瘤手术,无一例不是如此。
求医路上,患者“一把辛酸泪,谁知其中味?”
为医路上,医护“为你欢喜为你忧”。
医患同心,医患同行,吴越同舟,攻坚克难。
该例手术,取得患者知情同意后,在神经外科知名期刊Neurosurgical focus 以视频形式发表,其手术理念、操作技术及治疗结果获得国际同行的认可。
感谢麻醉科、手术室、电生理监测团队的大力支持。
感谢孙力泳副主任医师为该手术视频地道而流畅的英文配音。
感谢患者及家属对宣武医院神经外科性命相托的信任。
手术医生介绍
梁建涛
首都医科大学宣武医院神经外科
颅底和脑肿瘤中心
主任医师,硕士生导师
宣武医院神经外科行政副主任
硕士、博士分别毕业于山西医科大学、首都医科大学。奥地利、德国访问学者。师从鲍遇海教授、凌锋教授及德国Samii.M教授学习显微外科技术,能熟练采用侧卧位、半坐位完成听神经瘤及其它脑肿瘤手术。北京市医学会神经外科分会颅底专业委员会委员、中国医师协会神经修复专业委员会委员。承担十四五、北京市首都特色、北京市扬帆计划等课题。2018年北京神经外科学术年会“青年医生手术视频大赛”二等奖,2019年CHINA-INI第2届手术视频大赛一等奖。
【擅长】听神经瘤、脑膜瘤、颈静脉孔区肿瘤、脑干海绵状血管瘤、三叉神经痛、面肌痉挛及面瘫等疾病的显微外科治疗。
【出诊时间】
周一上午(专家门诊)
周三上午(特需门诊)
宋刚
首都医科大学宣武医院神经外科
颅底和脑肿瘤中心
副主任医师,讲师
首都医科大学医学博士毕业,师从神经外科著名专家凌锋教授,主要擅长面肌痉挛、三叉神经痛、垂体瘤、颅咽管瘤、听神经瘤、脑膜瘤以及其他颅底肿瘤的外科治疗。参编著作2本,发表国内核心期刊和SCI共30余篇。
【出诊时间】
周四下午(专家门诊)
声明:脑医汇旗下神外资讯、神介资讯、神内资讯、脑医咨询、AiBrain 所发表内容之知识产权为脑医汇及主办方、原作者等相关权利人所有。












