
创新技术
外翻剥脱+开口转位+支架植入再通主动脉弓起源的椎动脉闭塞
术者:焦力群 / 陆夏
获奖理由
基于对血管闭塞病变的准确评估和对局部解剖的深刻认识,将3种相对简单的技术组合应用,较为轻松地解决已有手段非常难解决的问题。
病史资料
男性,53岁,病史1年余。
主诉:症状为发作性头晕、四肢乏力,双抗治疗3个月仍间断发作。
既往史&危险因素:右侧桥脑腔隙性梗死病史。高血压、糖尿病、吸烟、饮酒。
术前影像检查
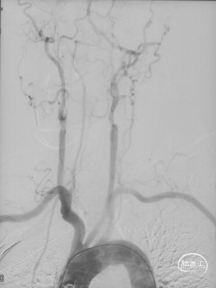
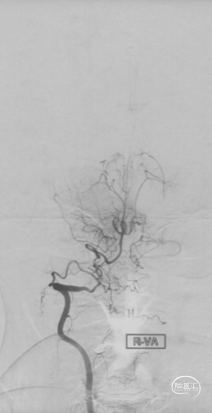
CTA和DSA
左右滑动查看更多
CTA和DSA所见:双侧颈内动脉闭塞,右侧椎动脉发出PICA后闭塞,左侧椎动脉V1-V2段闭塞。两条健壮的侧枝通过肌支吻合汇入左椎动脉V2段,构成了整个大脑大部分供血的主要来源。双侧颈外动脉亦有少量血流供应颅内。这样的颅内供血很容易发生失代偿,导致TIA甚至脑梗。
HR-MRI
HR-MRI所见:左椎动脉闭塞段最远到C6横突孔附近。闭塞段近段显示不清,疑似不均匀强化,考虑为斑块;远段信号均匀,平扫为等信号,增强后可见强化,考虑为机化的血栓。
诊断
左侧椎动脉V2段闭塞
右侧椎动脉V4段闭塞
双侧颈内动脉闭塞
术者说
“
椎动脉闭塞,如果没有症状,首选是药物治疗。该患者在最佳药物治疗下头晕和四肢无力仍反复发作,需考虑手术治疗。
”
治疗策略
左侧椎动脉复合再通术
术者说
“
一般来说,手术治疗椎动脉闭塞引起的后循环缺血,除了血管内再通椎动脉,还可以选择搭桥手术。血管内再通的问题是失败率高,而搭桥手术的问题是放弃了血流的生理通道,操作难度大,术后并发症率相对较高。复合手术是一种新的选择。
世界范围内,椎动脉闭塞的复合手术最早由我们团队在2017年首先报道,技术应用至今已积累了丰富的经验。由于左椎动脉闭塞段最远到C6椎体横突孔附近,先行左椎开口的内膜剥脱术,再在直视下将微导管送至远端血管真腔,通过血管内操作处理余下的闭塞段,我们还是很有信心将其开通的。
但是,该患者的情况和以往经历的椎动脉闭塞不太一样:术前查血管超声发现左侧椎动脉起自主动脉弓,这意味着我们无法暴露到椎动脉开口。与此同时,患者左侧颈总动脉状态很好,无明显粥样硬化改变,这样我们就可以把左侧椎动脉V1截断,做个外翻式内膜剥脱切除斑块后,做个端-侧吻合接到颈总,再经吻合口做椎动脉的血管内再通。
”
手术过程
术者说
“
进行和以往不同的手术,需要和血管超声、麻醉科、手术室护士、介入团队充分沟通好,再开始麻醉。其中超声术中监测左侧大脑后动脉和左侧大脑中动脉的血流。
”
术者说
“
椎动脉开口位置很深,尤其是左侧,暴露有一定难度。我们团队做椎动脉内膜剥脱术(VEA),常规做法是平锁骨上1.5cm-胸锁乳突肌前缘的“V”形切口,从胸锁乳突肌的胸骨头和锁骨头之间进入椎动脉三角。由于这台手术不需要暴露椎开口,我们决定做胸锁乳突肌前缘直切口,从胸锁乳突肌前内侧去显露椎动脉。
”

术者说
“
免去暴露锁骨下动脉和椎动脉开口,事情简单了很多。我们只用20min就找到了椎动脉。不熟悉解剖的术者,在这一步很可能会被其他纵向走行的动脉迷惑,主要是甲状腺下动脉和颈升动脉。
”



术者说
“
这时候术前查HR-MRI的重要性体现出来了:如果术前HR-MRI提示斑块很长,延续到了横突孔,则这一步很可能实现不了全切斑块,这样的手术策略能否成功也会成为疑问。
”
5. 行椎动脉-颈总动脉的端侧吻合:利用3.5mm动脉打孔器在颈总动脉上做侧口,修剪椎动脉开口,使二者匹配。


术者说
“
这里需要提醒读者:如果术前检查提示颈总动脉在这一段有明显的粥样硬化,则椎-颈动脉的端侧吻合会变得非常麻烦。
”

术者说
“
由于硬的斑块已经切除,只有软的机化血栓,这一步很轻松就完成了。
”
术后情况
术后复查



复查头颅MRI未见新发梗死

术者说
“
最后再次强调:这项新技术,在操作上并不难。但并不简单,其难点在于术前对脑血流状态和局部血管病变的准确评估。描述手术过程时,我们两次提及术前检查,也体现了这一点。
”
手术医生介绍
焦力群
博士生导师 教授
宣武医院神经外科 主任医师
脑血运重建中心主任
神经外科副主任
介入放射科主任
目前兼任《中国脑血管病杂志》主编、国家卫健委继续教育与能力建设中心神经介入专委会主任、国家卫健委脑防委缺血性卒中外科专业委员会主委,国家卫健委脑防委缺血性卒中介入专业委员会副主委,中央保健专家,中国医师协会神经介入委员会副主委,北京介入医学会副会长等职务。
出诊时间:
周一下午(特需门诊)
周三上午(介入放射科专家门诊)
陆夏
医学博士
宣武医院神经外科 主治医师
2014年7月毕业于北京协和医学院(清华大学医学部)。2014年8月开始到宣武医院神经外科工作至今。期间于2018年完成全部PLANET课程(Pierre Lasjaunias Neurovascular Education Team Conference)并通过结业考试。2021年开始专注于缺血性脑血管病的诊治和研究工作。以第一作者发表论文多篇,其中SCI收录4篇。主编书籍1部。
出诊时间:
周二上午(介入放射科专科门诊)
声明:脑医汇旗下神外资讯、神介资讯、神内资讯、脑医咨询、AiBrain 所发表内容之知识产权为脑医汇及主办方、原作者等相关权利人所有。