74岁,女性。
急性左侧偏瘫和忽视(NIHSS=12),无近期创伤史。
发病2小时CT显示右额凸面蛛网膜下腔出血(图1A)。CTA显示右侧大脑中动脉主干闭塞。随后,机械血栓切除术的治疗成功(图1B和1C)。
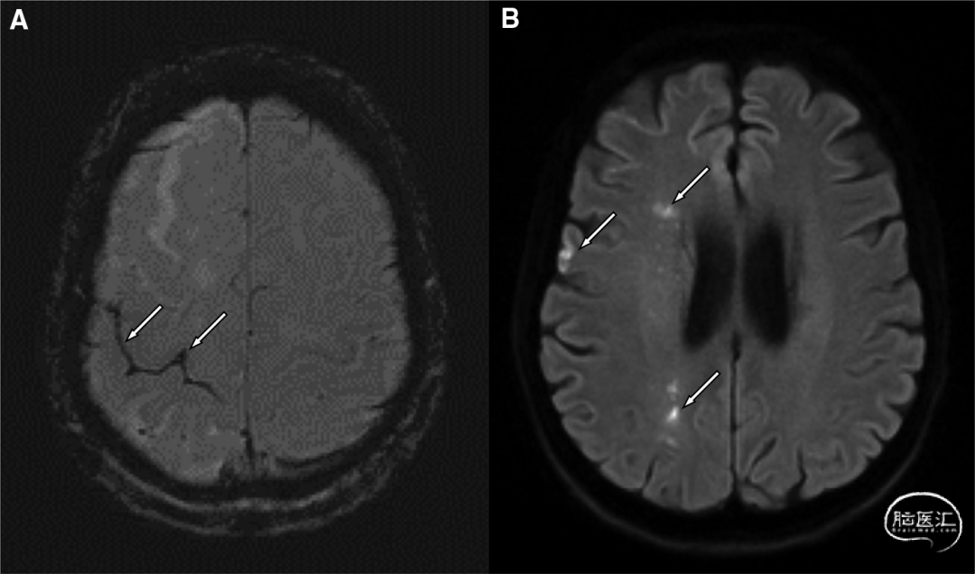
术后磁共振成像显示边缘带梗死,并证实蛛网膜下腔出血无进展(图2)。临床结局非常好(3个月改良Rankin量表=1)。
凸面蛛网膜下腔出血的病因有很多,如脑淀粉样血管病、血管收缩综合征和皮质静脉血栓形成,同侧颈内动脉高度狭窄/闭塞也是凸面蛛网膜下腔出血的病因。在这种情况下,代偿性扩张的脆弱软脑膜侧支血管破裂是导致脑沟内出血的主要机制。大动脉闭塞的再通治疗可减轻侧支血管的血流动力学压力。本病例证明了这一点,即大脑中动脉闭塞伴蛛网膜下腔出血的血栓切除术是安全和有益的。

文献出处:
Stroke
. 2023 Jul;54(7):e299-e300. doi: 10.1161/STROKEAHA.123.043548. Epub 2023 Jun 2.
Convexal Subarachnoid Hemorrhage Caused by Acute Middle Cerebral Artery Occlusion
点击或扫描上方二维码
查看更多“介入”内容