
病例展示
病史简介
患者基本信息
患者男性,59岁,民族汉,因“右上肢无力1周”于2023-08-01 14:29入院。
简要病史
患者1周前无明显诱因下突发右上肢无力,伴不自主手抖,发作时不能握笔写字、提重物,持续数分钟至半小时后,可自行缓解,当时未予重视,未治疗。4天前患者再次出现上述症状,发作时持续时间延长至2小时,遂至当地医院就诊,查头颅MRI:左侧额顶叶多发急性脑梗塞灶。头颅MRA:“左侧大脑中动脉M1段狭窄”,诊断为“急性脑梗死,左侧大脑中动脉M1段狭窄”,予阿司匹林、氯吡格雷抗血小板聚集,阿托伐他汀钙调脂,营养神经、改善循环等治疗。现为求进一步诊治至我院门诊就诊,门诊拟“急性脑梗死”收入我科。
既往史
既往高血压病史10余年,现非洛地平5mg qd口服治疗,自诉血压控制尚可。
入院查体
耳温:36.9℃、呼吸:16次/分、脉搏:72次/分、血压:148/81mmHg。
神经科专科查体:神清合作,言语清晰,颈软无抵抗,克氏征阴性,双瞳等圆等大,直径3mm,光反射存在,眼球活动自如,未见眼震,双耳听力基本对称,双侧面纹对称,伸舌居中,四肢肌力5级,四肢腱反射对称(++),四肢肌张力正常,双侧巴氏征阴性;双侧面部和肢体针刺觉对称,四肢振动觉对称;双侧指鼻、轮替、跟膝胫试验稳准,闭目难立征(-)。NIHSS评分0分,mRS评分1分;洼田饮水试验:吞咽功能1级。
系统查体:心律齐,心脏听诊未闻及杂音,双肺呼吸音清,未闻及干湿性啰音,腹平软,无压痛和反跳痛。
初步诊断
左侧脑梗死(Toast分型:大动脉粥样硬化)
左侧大脑中动脉狭窄
高血压(3级、很高危)
术前影像


未见微出血病灶。

换拜阿司匹林100mg qd+西洛他唑100mg bid,术前双抗5天。

1、左侧大脑中动脉重度狭窄。
2、左侧椎动脉先天发育不良或严重狭窄。

I型弓,左侧颈总动脉和头臂干角度呈锐角。





左侧半球灌注稍降低。

左右滑动切换图片
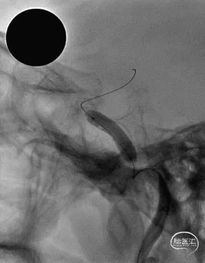
寻找病变切线位角度,测量发现左侧颈内动脉C7段局部重度狭窄,约75%。





治疗经过
手术指征



手术预案
1、全麻术前准备,导尿;准备右侧近端桡动脉穿刺,置6F桡动脉薄壁鞘,同时备股动脉。
2、3路滴注,TRUST技术,5F 125cm Simmons 2+6F 105cm Tethys®中间导引导管+260cm软泥鳅导丝,到位后,撤泥鳅导丝,保留Simmons 2,其内放置V18导丝作为内支撑,扭控器固定,稳定通路,术前正侧位造影,贴球测量。
3、选取工作位角度,在路图下使用200cm 0.014 Synchro-2微导丝,微导丝提前塑型,先超选通过狭窄病变,取消路图,平板转为正位,再次路图超选大脑中动脉上干提高远端支撑。
4、送预扩球囊,注意导丝稳定,造影确定位置,缓慢起球囊,15秒半个大气压,缓慢撤压,张力改变后,注意导丝前窜,交换出球囊。
5、准备Apollo颅内动脉支架,输送支架时图像缩小,注意Tethys®中间导引导管主动脉弓近端张力,同时注意远端导丝。
6、交换出Apollo支架,完成局部造影,退Tethys®中间导引导管到颈总,正侧位造影,结束,血管鞘内回抽,压迫止血。
手术材料
6F 桡动脉薄壁鞘
5F 125cm Simmons 2
6F 105cm Tethys®中间导引导管
260cm 0.035软泥鳅导丝
200cm 0.014 Synchro-2微导丝
300cm Connect 0.014 V18微导丝
SacSpeed®球囊扩张导管
4.0*10mm Apollo支架
手术过程
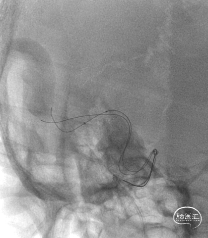
TRUST技术,6F 105cm Tethys®中间导引导管+5F 125cm Simmons 2+260cm软泥鳅导丝建立通路。
Tethys®中间导引导管内衬5F 125cm Simmons 2+260cm软泥鳅导丝,利用Tethys头端柔软特点同轴沿桡动脉方向裸奔至锁骨下。

Simmons 2至降主动脉,回撤导丝,弓上成袢。

Simmons 2勾选目标动脉,跟进导管,建立通路。应用TRUST技术经桡建立通路,无需交换,简便快捷,导管到位后,弓部支撑稳定,未出现打折现象。






上connect V18 300cm导丝做内支撑,保证后续通路稳定性。



3.0*12mm SacSpeed®球囊 6atm预扩1次后,造影发现狭窄处距离脉络膜前动脉很近,担心“雪犁效应”。



双V18导丝支撑,器械输送,将支架输送到位,精准定位下,避开脉络膜前动脉。



支架后多角度造影确认脉络膜前动脉未闭塞。



术前与术后。




应用TRUST技术经桡建立通路行支架植入术治疗症状性左侧C5段重度狭窄
病史简介
患者基本信息
患者男性,73岁,民族汉,因“一过性口角歪斜6天”于2023-07-31 13:16入院。
简要病史
患者6天前发现口角向左歪斜,无黑矇晕厥,无肢体活动不利,持续约3分钟后自行缓解,至当地医院就诊,查颈部CTA示:颈动脉粥样硬化伴多发狭窄,其中左侧椎动脉开口局限性狭窄,左颈内动脉C4段可疑重度狭窄。头颅MR示未见新发脑梗死。当地医院诊断为:1.短暂性脑缺血发作 2.椎动脉重度狭窄;3.左侧颈内动脉狭窄。予阿司匹林、氯吡格雷抗血小板,阿托伐他汀调脂等对症治疗。
既往史
患者高血压病史15年,现服用苯磺酸氨氯地平片5mg qd降压,自诉血压控制可。
糖尿病病史15年,现服用二甲双胍0.5g bid、格列美脲2mg qd降糖,自诉血糖控制可。
前列腺增生,目前服用非那雄胺 5mg qn、盐酸坦索罗辛 0.2mg qn改善症状。
入院查体
耳温:36.8℃,呼吸:20次/分,脉搏:75次/分,血压:145/75mmHg,神清合作,言语清晰,颈软无抵抗,克氏征阴性,双瞳等圆等大,直径3mm,光反射存在,眼球活动自如,未见眼震,双耳听力基本对称,双侧面纹对称,伸舌居中,四肢肌力5级,四肢腱反射对称(++),四肢肌张力正常,双侧巴氏征阴性;双侧面部和肢体针刺觉对称,四肢振动觉对称;双侧指鼻、轮替、跟膝胫试验稳准,闭目难立征(-)。
ABCD2评分2分,mRS评分0分,NIHSS评分0分,饮水试验1级。
初步诊断
短暂性大脑缺血性发作(左侧颈内动脉系统)
左侧颈内动脉狭窄(C4段)
左侧椎动脉狭窄
高血压3级(极高危)
2型糖尿病
前列腺增生
术前影像








左右滑动切换图片






根据3D造影,选取最佳工作位角度。


治疗经过
治疗过程
TRUST技术,6F 105cm Tethys®中间导引导管+5F 125cm Simmons 2+260cm软泥鳅导丝建立通路。
泥鳅导丝超选降主动脉。

Tethys®中间导引导管沿着泥鳅导丝超选降主动脉。

Simmons 2至降主动脉,回撤导丝,弓上成袢,准备超选。

Simmons 2勾选目标动脉,跟进Tethys®中间导引导管,建立通路。应用TRUST技术经桡建立通路,无需交换,简便快捷,导管到位后,弓部支撑稳定,未出现打折现象。



V18导丝内支撑稳定通路, Tethys®中间导引导管高到位,synchro-2微导丝超选过病变。



使用3.0*15mm SacSpeed®球囊预扩。



Apollo 4.5*15mm支架定位后+球扩。



斑块很硬,Apollo支架第一次球扩撑不开,局部仍然残余狭窄。



第二次球扩,支架完全打开。



术前与术后。


应用TRUST技术经桡建立通路行球囊扩张成形术治疗右侧大脑中动脉重度狭窄-双导丝边支保护技术
病史简介
患者基本信息
患者男性,58岁,民族汉,因“反复发作性行走偏斜1周,加重1天”于2023-07-29 19:07入院。
简要病史
患者1周前无明显诱因下出现行走偏斜,自诉为不自觉行走向左偏斜,自行意识到异常后可纠正正常行走,未重视,2天前患者操作手机时突发双眼视物不清,右眼为主,表现为视物模糊感,无视物成双,无头晕,持续约2小时缓解。1天前夜间睡眠时患者从床上滚落在地,自觉四肢无力,无法自行起身,但双上肢可持物,下肢无法抬举,伴小便失禁1次,上述症状持续十余分钟后好转,可起身活动。今晨8点再发行走不稳,当时为左侧肢体无力,持续十余分钟完全恢复。今为求进一步诊治,来我院急诊,拟“短暂性大脑缺血性发作”收住入院。
既往史
高血压病史10余年,替米沙坦40mg qd,奥美沙坦氨氯地平 1#qd降压。
入院查体
耳温:36.5℃,呼吸:18次/分,脉搏:68次/分,血压:196/108mmHg,神清合作,言语清晰,颈软无抵抗,克氏征阴性,双瞳等圆等大,直径3mm,光反射存在,眼球活动自如,未见眼震,双耳听力基本对称,双侧面纹对称,伸舌居中,左侧上肢肌力5级,左侧下肢肌力5级,右侧上肢肌力5级,右侧下肢肌力5级,四肢腱反射对称(++),四肢肌张力正常,双侧巴氏征阴性;双侧面部和肢体针刺觉对称,四肢振动觉对称;双侧指鼻、轮替、跟膝胫试验稳准,闭目难立征(-)。
NIHSS评分0分,mRS评分0分,ABCD2评分5分;洼田饮水试验:吞咽功能1级。
初步诊断
短暂性大脑缺血性发作
高血压急症(3级、很高危)
术前影像



报告描述:
1、双侧颈总动脉、颈内动脉、颈外动脉及锁骨下动脉血流速度及频谱形态大致正常。
2、右侧大脑中动脉血流速度增快、流速达219cm/s、有涡流杂音,左侧大脑中动脉、双侧大脑前动脉、大脑后动脉血流速度及频谱形态大致正常。
3、双侧颈内动脉虹吸部血流速度增快、流速达(L175cm/s,R124cm/s)、有涡流杂音,双侧眼动脉血流速度及频谱形态大致正常。
4、双侧椎动脉及基底动脉血流速度及频谱形态大致正常。
5、双侧桡动脉血流速度及频谱形态大致正常。
6、分别压同侧颈外动脉分支,双侧滑车上动脉血流速度均增快。
提示:
1、右侧大脑中动脉狭窄。
2、双侧颈内动脉虹吸部中度狭窄。






左右滑动切换图片
右侧大脑中动脉M1分叉处局部重度狭窄,约80%。


治疗经过
治疗过程
TRUST技术,6F 105cm Tethys®中间导引导管+5F 125cm Simmons 2+260cm 软泥鳅导丝建立通路。
Tethys®中间导引导管内衬5F 125cm Simmons 2+260cm软泥鳅经锁骨下动脉,Simmons 2至降主动脉,回撤导丝,弓上成袢后,先超选至右侧颈总动脉,解袢充分释放张力。

Simmons 2勾选目标动脉,跟进导管,开始建立通路,Tethys®中间导引导管稳定在通路中。

Connect 300cm V18导丝内支撑,2根200cm snychro-2微导丝分别超选至M2上下干。




1.5*10mm 球囊先扩下干,并造影,可见局部狭窄明显改善。








术后影像
术后CTA。


术后CTP。

病例小结
颅内段的治疗,造影时建议超选,避免遗漏小的穿支动脉;影响术前手术预案。
TRUST技术,125cm Simmons 2导管搭配105cm的Tethys®中间导引导管更合适,可以出头;中间导管高到位是关键。
使用V18内支撑技术,搭配TRUST技术,可以应对绝大部分的治疗。
Connect V18导丝前段相对较软,支撑性主要由后端提供,如果支撑性实在不够,前段导丝可以适当“探头”,增加支撑性,注意抓紧导丝,防止导丝前窜。
颈动脉路径行颅内动脉支架时,远端支撑法存在一定风险,而内支撑法可能是更合适、更安全的一种选择。当远端血管路径更好时,远端支撑法可能更合适。
撤球囊时,导丝会前窜(因为张力的释放),需要边释放张力,边撤球囊。
TRUST经桡中间导管同轴技术(Trans-Radial coaxial catheter technique Using a short sheath,Simmons catheter and Tethys intermediate catheter),使用短鞘+Simmons导管+Tethys®中间导引导管的组合。使用短鞘配合中间导管,降低使用长鞘的高闭塞率;中间导管内衬Simmons造影导管同轴操作,提供内支撑及超选,并简化操作步骤,降低器械交换造成的并发症风险;利用Tethys®中间导引导管远端柔软导管先行优势,弓部支撑不易折,远端高到位的特点进行通路搭建。
球囊血管成形术发展以来,SB狭窄已被报道为SB损害的主要原因。支架时代,据报道严重SB开口病变也是MV支架术后SB阻塞的主要原因。此外在分叉周围存在大的动脉粥样斑块的情况下,MV支架与斑块向SB移位(雪犁效应,Snowplowing Effect)有关,有时会导致其闭塞。
冠脉分叉病变大多数分类都基于主血管和侧支的斑块分布,斑块移位被认为是SB损害的主要机制。真正分叉病变在主血管和SB中都有明显斑块负荷,并且存在SB受损高风险。当近端主血管或分叉隆起(嵴)处斑块移位并添加到SB开口斑块中时,SB可能会受损。


边支(Side branch,SB)闭塞是主血管(main vessel,MV)支架置入术最严重并发症之一。
斑块移位是SB损害的主要原因。
韩国冠脉分叉支架术登记2期(COBIS II)亚组分析2,227例患者中SB闭塞的预测因素。MV支架置入后,187例(8.4%)出现SB闭塞(TIMI血流< 3)。自发恢复26例(13.9%),SB干预恢复103例(55.1%),58例没有恢复(31.0%)。SB中的导丝保护是SB闭塞的独立预测因子,但也与血流恢复相关(p=0.02)。


欧洲分叉俱乐部共识建议以下步骤优化临时单支架技术而不损害SB。
1)首先在MV和大型SB中置入导丝。
2)如有指征,预扩MV和合并严重开口狭窄的大型SB。
3)MV支架置入时,其尺寸应相对于远端主血管最佳,同时避免支架过度扩张(远端优化)。
4)执行近端优化技术,有助于SB导丝置入和支架并置在近端MV中。

Lassen JF, Holm NR, Stankovic G, Lefèvre T, Chieffo A, Hildick-Smith D, Pan M, Darremont O, Albiero R, Ferenc M, Louvard Y. Percutaneous coronary intervention for coronary bifur- cation disease: consensus from the first 10 years of the European Bifurcation Club meetings. EuroIntervention. 2014;10:545-60.
1、拘禁导丝技术
(jailed wire technique,JWT)

2、拘禁球囊技术
(jailed balloon technique,JBT)
3、球囊-支架对吻技术
(balloon-stent kissing technique,BSKT)

4、补救JBT
(bailout jailed balloon technique,BJBT)



术者简介
王鹏
浙江省人民医院
神经内科副主任医师
中国卒中学会第一届、第二届青年理事
中国老年医学学会院校教育分会脑血管病专业委员会委员
浙江省卒中学会预防与控制分会常务委员
浙江省医师协会神经介入专委会委员
浙江省医学会神经病学分会神经介入学组委员
中国研究型医院学会介入神经病学专业委员会经桡动脉介入协作组副组长
中国卒中学会讲师
Captain中国卒中中心联盟领航者工程讲师
中国卒中学会BI卒中综合培训中心讲师
2017年“介入之音”全国病例比赛总决赛冠军,2019年中国卒中学会天海论坛辩论赛最佳辩手。
主攻方向:急性缺血性卒中再灌注诊疗,尤其擅长急性缺血性卒中血管内治疗
徐超
浙江省人民医院
神经内科主治医师
浙江大学医学院神经病学博士
介入神经病学专业委员会经桡动脉介入协作组委员
专业方向:急性缺血性卒中的再灌注治疗
共发表SCI论文11篇。第一作者(含通讯及共同第一作者)SCI论文7篇,发表在Translational Stroke Research、American Journal of Neuroradiology、Journal of NeuroInterventional Surgery等杂志
主持浙江省医药卫生科技项目1项,参与国家自然科学基金项目1项
![]()
点击或扫描上方二维码
查看更多“介入”内容


























