

扫描左侧二维码
进入微创神通品牌专区

前言
后循环缺血性产中占卒中的25%~40%,70%的后循环缺血性卒中是动脉-动脉栓塞所致。由于血流动力学紊乱等原因,椎动脉起始部(vertebral artery origin,VAO)是最容易形成动脉粥样硬化的部位,因而成为了后循环缺血最重要的原因。研究表明,9%~33%的后循环缺血性的患者有椎动脉起始部狭窄(vertebral artery origin stenosis,VAOS)或闭塞。对于VAOS的治疗,药物洗脱支架将抗增殖药物雷帕霉素及其衍生物等集中于支架表面,通过局部释放的方法抑制病变处平滑肌增生,逐渐成为VAOS治疗安全、有效的选择。
本期由单县中心医院的丰涛教授带来Bridge椎动脉雷帕霉素靶向洗脱支架治疗椎动脉起始段狭窄病例分享。

01
01
男性患者,74岁。因发作性右侧肢体无力2天入院。
现病史:患者于2天前无明显诱因地出现右侧肢体无力,不能站立,伴言语不清,持续约5分钟自行恢复正常,以“短暂性脑缺血”收入院。
既往史:冠心病史5年。高血压病10年,脑梗死病史5-6年,无明显后遗症。
02
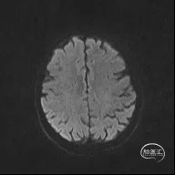
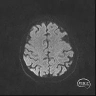
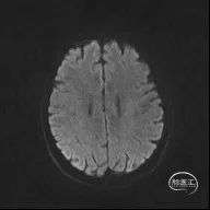
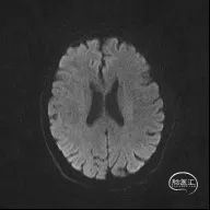
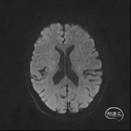
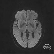
颅脑MR:脑内多发缺血灶、软化灶。







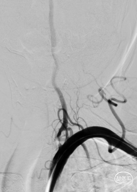
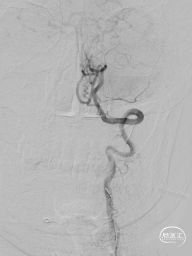
全脑血管造影DSA:双侧椎动脉起始段狭窄。远端供血不足。






03
患者双侧椎动脉均狭窄,左侧重度狭窄。左侧椎动脉充盈延迟、血流瘀滞,为闭塞前表现。所以权衡双侧椎动脉狭窄血管成型术的指征,优先处理左侧椎动脉起始段狭窄。为预防急性后循环缺血性卒中,在家属知情同意前提下行支架成形术。
术前行阿司匹林及氯吡格雷双联抗血小板准备。术中拟先行球囊扩张,后行Bridge椎动脉雷帕霉素靶向洗脱支架植入。
术中涉及器械
8F 导引导管
2.5mm*15mm 球囊
0.014inch 200cm 微导丝
3.0mm*16mm Bridge椎动脉雷帕霉素靶向洗脱支架
04
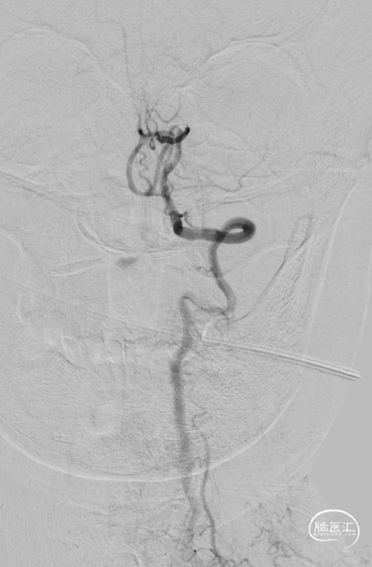
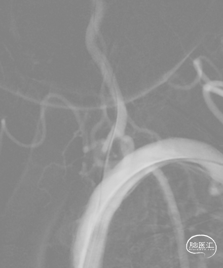
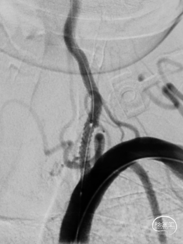
1
8F导引导管到达锁骨下动脉。

2
微导丝通过椎动脉起始处狭窄段,到达椎动脉V3段。

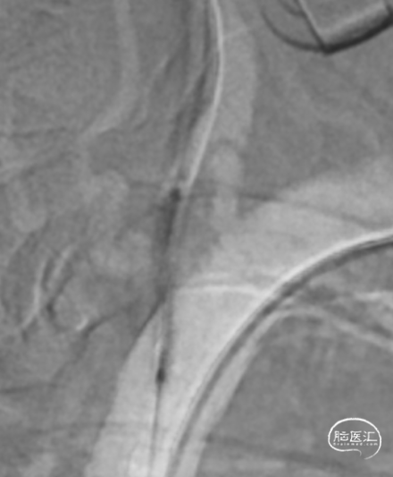
3
沿微导丝送入2.5mm*15mm球囊预扩张狭窄处。

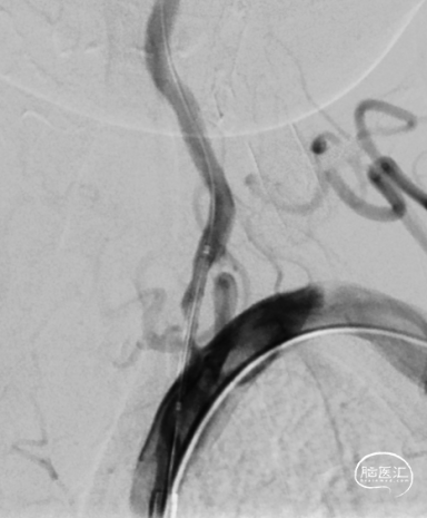
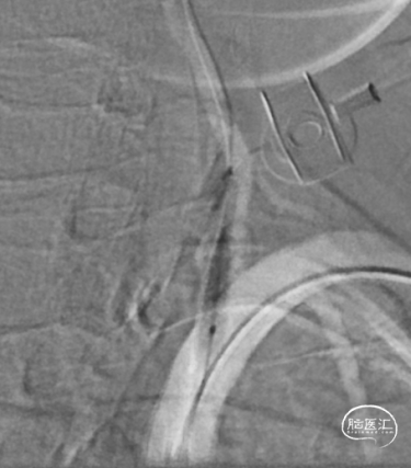
4
沿微导丝送入3.0mm*16mm Bridge椎动脉雷帕霉素靶向洗脱支架到达目标位置。经手推造影确认定位后,缓慢加压释放支架。





药物治疗
氯吡格雷 75mg qd
阿司匹林 100mg qd
阿托伐他汀 20mg qn
随访:患者术后一般情况好,无TIA再次发作。神经系统查体无明显异常,血压控制良好。
小结
该患者双侧椎动脉起始段均狭窄,左侧更为严重,为闭塞前病变。为预防致死致残性脑卒中,行左侧椎动脉起始段支架植入术。选择Bridge椎动脉雷帕霉素靶向洗脱支架。该支架的雷帕霉素涂层可向血管内膜靶向释放药物,有效抑制支架植入术后的内膜增生,减少远期支架内再狭窄几率。同时也能有效改善后循环的血供,减少后循环脑卒中发生机会。该支架是治疗椎动脉狭窄的良好选择。
术者简介
丰涛
单县中心医院
神经介入中心副主任,硕士研究生
山东省医学会神经外科分会青年委员
山东省卒中学会介入与手术分会委员
山东省疼痛医学会神经介入专业委员会委员
2017年在海军军医大学长海医院进修学习脑血管介入治疗,擅长急慢性脑血管病的介入与手术治疗、急性大血管闭塞性缺血性脑卒中的急诊开通治疗、颈动脉椎动脉狭窄的介入治疗以及神经外科多发病的临床诊治
-END-
![]()
点击或扫描上方二维码
查看更多“介入”内容







