
术者寄语
神经介入经桡诊疗,在颅内动脉瘤血管内治疗中的临床应用在不断增加。多项研究提示前循环、后循环动脉瘤、未破裂以及急性破裂动脉瘤,均可经桡建立通路并顺利实施不同术式的治疗,入路相关并发症和神经系统并发症的发生率均较低。
Tethys®中间导引导管在经桡入路中能够满足高到位的同时还能满足弓部的支撑性,为手术通路提供良好的稳定性,目前提出的TRUST经桡中间导管同轴技术(Trans-Radial coaxial catheter technique Using a short sheath, Simmons catheter and Tethys intermediate catheter),使用短鞘+Simmons导管+Tethys®中间导引导管的组合,充分利用短鞘相对于长鞘低闭塞率,使用短鞘配合中间导管,降低使用长鞘的高闭塞率;中间导管内衬Simmons造影导管同轴操作,提供内支撑及超选,并简化操作步骤,降低器械交换造成的并发症风险;利用Tethys®中间导引导管远端柔软导管先行优势,弓部支撑不易折,远端高到位的特点进行通路搭建。

01 / 病史简介
患者基本信息
患者男性,72岁,因“头痛伴右眼胀痛4周,加重1周”入院。
简要病史
患者4周前无明显诱因出现右额部疼痛,伴右眼球胀痛,稍感头晕,无视物模糊,无眼睑下垂,无恶心呕吐,无口齿含糊,无四肢无力,未予重视。1周前,自感右额部疼痛、右眼胀痛加重,右侧眼睑下垂,无法睁眼,休息后无缓解,遂我院就诊。
查体情况
神志清,精神可,右眼红肿,上睑下垂,右侧瞳孔散大固定,对光反射消失,右眼球内收障碍。左侧正常。四肢肌力5级。病理征阴性。

术前影像学检查
颅脑CT未见出血。
颅脑MRA提示双侧后交通动脉瘤。右侧后交通动脉瘤瘤体形态不规则。


初步诊断
右侧后交通动脉瘤。
右侧动眼神经麻痹。
02 / 治疗经过
术前讨论
术中涉及介入器械选择
6F 桡动脉鞘
5F Sim 2造影管
200cm 泥鳅导丝
5F 125cm 多功能造影管(MPA)
6F 105cm Tethys®中间导引导管
Prowler Select Plus微导管
Echelon 10微导管
200cm Synchro-2微导丝
弹簧圈若干
EP 4.5/22 支架
手术过程
01


02

蒸汽塑形15秒。

冷却后塑形理想。

03

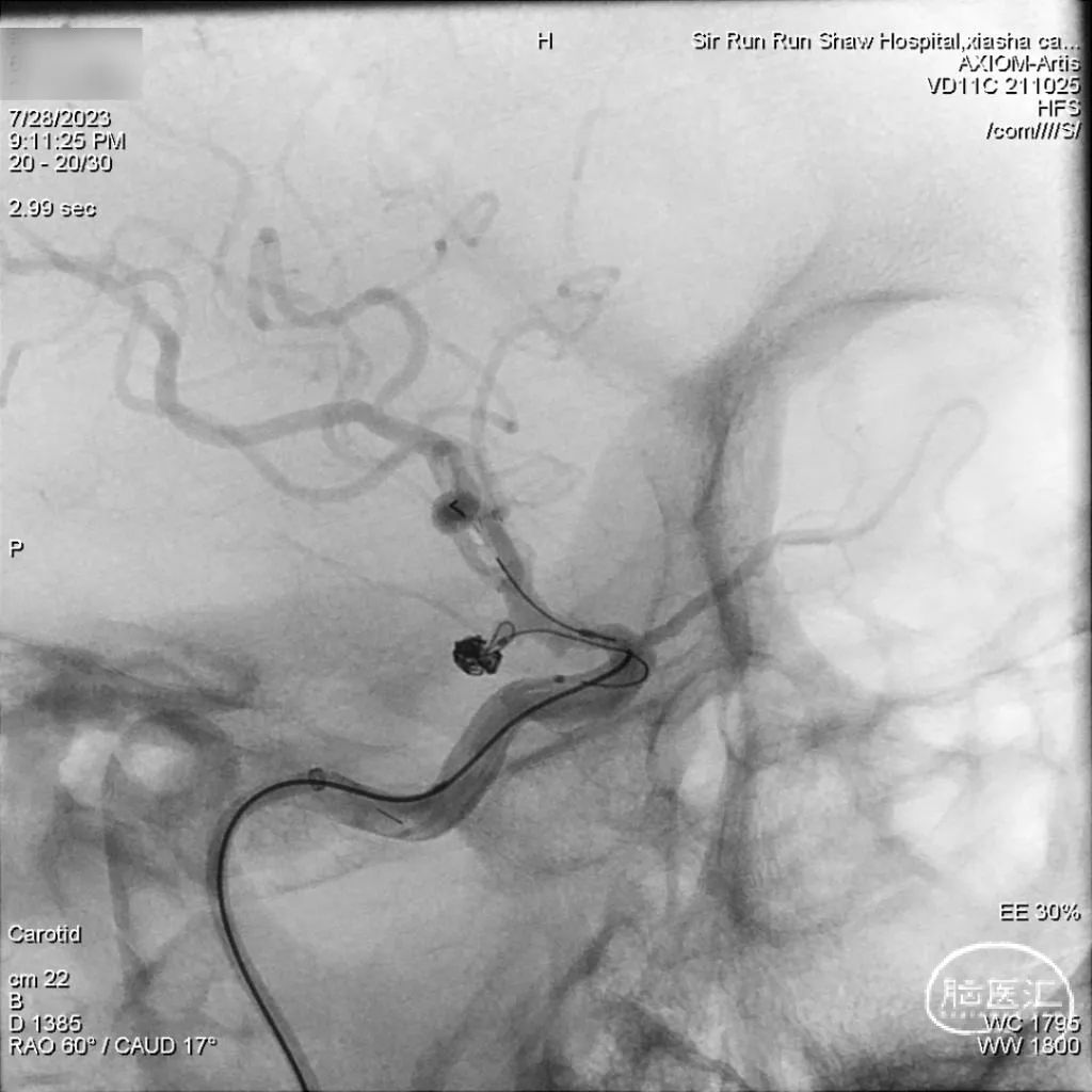
继而MPA反折成Sim 2形状,勾选右侧颈总动脉。





弹簧圈微导管Echelon 10到位。







术后桡动脉压迫器压迫穿刺口,术后CT未见出血、梗死。患者术后即清醒拔管,无新发阳性症状。术后第二天予口服双抗重叠6小时后停用替罗非班,术后患者未出现血栓事件。
03 / 病例小结
颅内动脉瘤是一种常见的疾病,在普通人群中的患病率为3.2%。颈动脉后交通段的动脉瘤破裂的风险很高;与无症状未破裂后交通动脉瘤(posterior commutating artery,PcomA)相比,未破裂的动脉瘤伴随动眼神经麻痹(oculomotor nerve palsy,ONP)时破裂的风险显著增加。据报道,大约20%至30%的后交通动脉瘤累及动眼神经,人们普遍认为ONP预示着动脉瘤的生长。动眼神经受累可能受几个因素的影响,例如动眼神经和动脉之间的解剖距离、动脉瘤囊直接压迫动眼神经、动脉搏动的传播(在大多数研究中被认为是主要原因)、以及由于静脉阻塞引起的神经水肿[1]。
据统计,血管内栓塞治疗ONP患者的PcomA动脉瘤可治愈或改善大多数患者的动眼神经功能障碍[2]。最初的不完全ONP和早期处理可能预示着血管内治疗后的ONP有更好的恢复[3]。特别是对中度和较短ONP病史的患者。年龄较小、发病时动眼神经麻痹的程度以及从发病到治疗的时间可能显著影响动眼神经麻痹的恢复[4]。对于18-60岁患者PcomA动脉瘤诱发的ONP,ONP完全恢复的最佳预后因素是及时治疗。ONP类型和治疗方法与ONP完全恢复相关[5]。
本次治疗的患者,因尚未出现动脉瘤破裂出血,一般情况良好,术后无需腰椎穿刺或腰大池引流,有早期下床活动的条件,所以手术初期计划经桡动脉建立通路。患者早期下床避免深静脉血栓的同时,也可以避免股动脉穿刺相关并发症。
经桡动脉入路建立通路,我们选择同轴的方式,相较交换,更加快捷、安全。使用Sim 2形状的MPA勾选目标血管,Tethys®中间导引导管实现高到位。因市面缺少125cm的Sim 2导管,我们使用125cm 5F的多功能造影管手动塑形,也可达到Sim 2反向勾选颈总动脉的效果。因Tethys®中间导引导管近端抗打折的属性,锁骨下动脉至颈总动脉的转折处,不易弯折而损失内腔,管腔通畅有保障。因Tethys®中间导引导管近端有良好的支撑力,故弯折处可承受较高的后座力,系统不易因上方张力过高而掉入主动脉弓或升主动脉,操作过程无后顾之忧。因Tethys®中间导引导管头端柔软,实现了通路高到位,为微导管、导丝及后续的操作提供稳定的平台。
患者动脉瘤形态不规则,远近2处囊泡,微导管塑形理想,先超入远端囊内,由远至近依次填塞,过程安全,也有机会达到致密栓塞的效果。考虑到动脉瘤大概率未出血,且宽颈,支架辅助栓塞可提高一期治愈的机率,遂行支架覆盖瘤颈,效果理想。因此例患者为近期急诊手术,住院期间头痛、眼球胀痛已明显缓解,团队也会关注后期复查的情况,期待有好的随访结果。
参 考 文 献
术者简介
陆鹏
浙江大学医学院附属邵逸夫医院
浙江大学医学院附属邵逸夫医院神经外科副主任医师,德清人民医院神经外科主任,博士
中国研究型医院学会介入神经病学专委会委员
中国颅神经疾患诊疗协作组委员
浙江省医师协会神经介入专委会青年委员
浙江省神经介入科学与技术委员会委员
浙江省卒中协会会员
擅长颅内动脉瘤、动静脉畸形、动静脉瘘等神经系统血管病的手术及介入治疗以及三叉神经痛微创治疗。对神经系统出血性疾病和三叉神经痛的诊治具备丰富的临床经验,并参与撰写相关专家共识
![]()
点击或扫描上方二维码
查看更多“介入”内容








