2023年08月17日发布 | 377阅读

全麻下机器人辅助STN—DBS治疗高龄帕金森病的经验分享

孙卫进

首都医科大学三博脑科医院

王澍

首都医科大学三博脑科医院、首都医科大学附属北京天坛医院

关宇光

首都医科大学三博脑科医院

赵萌

首都医科大学三博脑科医院

王雄飞

首都医科大学三博脑科医院

潘军红

首都医科大学三博脑科医院

唐重阳

首都医科大学三博脑科医院

马皓伟

首都医科大学三博脑科医院

程子章

首都医科大学三博脑科医院

张小英

首都医科大学三博脑科医院

滕鹏飞

首都医科大学三博脑科医院

栾国明

首都医科大学三博脑科医院

达人收藏、周刊收录2项荣誉

【摘要】 目的 分析探讨高龄(>80岁)帕金森病(PD)患者全麻下机器人辅助双侧丘脑底核脑深部刺激植入术(STN—DBS)的安全性及有效性。方法 纳入2020年6月—2021年6月于首都医科大学三博脑科医院接受全麻下机器人辅助双侧STN—DBS 治疗的3例高龄PD患者,回顾性分析其临床资料、手术过程并随访评估术后6、12个月的临床症状(UPDRS—III开、关期评估运动症状、LEDD评估用药情况、H—Y分期评估症状严重程度)、神经心理预后(HAMA评估焦虑情绪、HAMD评估抑郁情绪)、认知预后(WAIS评估智力认知)及生活质量(ADL评估生活质量)。结果 3例高龄PD患者STN—DBS手术顺利,无严重术中或术后并发症,术后靶点验证植入误差均在0.7mm以内。术后6个月及12个月评估时,运动症状、症状严重程度、焦虑抑郁情绪、生活质量均较前有显著改善,术后用药量显著减少,神经认知功能无显著变化;6个月随访数据与12个月数据基本无显著差异。结论 全麻下机器人辅助STN—DBS对高龄PD患者有较好的临床疗效,手术安全性基本可控,术后患者运动症状、药物减量、神经心理、生活质量均有显著改善且神经认知功能总体无影响。但应同时注意高龄患者一般状况,根据患者个体状况,对高龄PD患者选择进行STN—DBS治疗。

【关键词】 帕金森病;高龄;脑深部电刺激术;安全性;疗效

帕金森病(Parkinson’s disease,PD)是危害中老年人常见的神经系统退行性疾病,随着人均寿命的延长,PD发病率和患病人群逐年升高。PD发病后,早期药物治疗可在一定程度上控制症状,但一般5~8年后(中晚期)会出现药物作用减退、开关现象、异动症等并发症,药物逐步无法有效控制症状。脑深部电刺激(deep brain stimulation,DBS)已经成为治疗PD的公认有效治疗方法。目前多采取双侧丘脑底核脑深部刺激植入术(deep brain stimulation of the subthalamic nucleus,STN—DBS)开展针对PD的治疗。但是手术的适应年龄仍然具有争议.目前大部分研究及功能神经外科中心认为手术适应年龄在75岁以下,部分研究认为也可对80岁以下PD患者进行STN—DBS治疗。但目前对于高龄(>80岁)PD患者是否应采用STN—DBS治疗,以及手术疗效的利弊仍存在争议。既往研究十分有限.尚缺乏进一步研究分析其安全性和有效性。本研究回顾性分析2020年6月-2021年6月就诊于首都医科大学三博脑科医院的3例高龄PD患者的临床资料,以期为高龄PD患者STN—DBS治疗的疗效及安全性提供参考。此外。本研究进一步探讨了全麻下使用机器人辅助开展STN—DBS电极植人的新技术方法特点,为该技术的进一步推广应用提供临床经验。现报告如下。

1资料与方法

1.1一般资料 共纳入3例接受全麻下机器人辅助STN-DBS治疗的高龄(手术时年龄>80岁)PD患者。3例患者均具有PD的典型症状,符合2016年中国PD诊断标准。目前患者症状使用多种药物均难以有效控制且出现药物副作用,经首都医科大学三博脑科医院运动障碍病中心多学科讨论评估后均具有DBS手术指征,并排除了手术禁忌证,一般情况满足全身麻醉标准及手术标准。患者一般情况及术前基线资料见表1。

表1 患者一般临床资料

注:改善率=(术前评分-术后评分)/术前评分%

1.2 植入靶点 选择丘脑底核(subthalamicnucleus,STN)经验坐标参考区间,AC—PC中点旁开12~16mm。AC—PC中点后2~3mm,AC—PC平面下4~6 mm。根据MR可见靶点位置,结合经验坐标,确定手术靶点。

1.3 手术方法 常规行头部核磁共振(矢状位T1WI平扫和增强扫描、T2WI平扫,层厚1mm、层间距为零)检查;术前局麻下将5个骨性标记固定于颅骨,行薄层增强CT(层厚1mm、层间隔为零)扫描;将磁共振和增强CT融合,设计手术计划,确定植入靶点及路径;全麻下行机器人(ROSA ONE,法国MedTech公司)辅助STN—DBS电极植入,首先进行ROSA机器人引导注册;随后引导下切开头皮颅骨钻孔,模拟靶点验证:按照计划植入双侧STN—DBS电极(L301,北京PINS公司)至预定靶点位置。3例患者均未进行术中电生理监测,随后缝合头皮;行薄层头部CT(层厚1 mm、层间隔为零)检查,将手术计划与CT融合以复查确认靶点,并排除术后出血;重新消毒铺单,行锁骨下脉冲发生器植入;术后1周左右出院,继续原有抗帕金森药物:术后4周开机,并根据患者症状调整抗帕金森药物使用。3例患者的影像资料、手术计划和融合后电极位置见图1-3。

1.4 术后程控 术后程控原则以改善患者运动症状为主,并尽可能减少刺激引起的不良反应。每次随访时,根据患者症状调整药物用法用量。术后1个月左右开机,开机频率为130Hz,脉宽为60μs,电压1.0V;根据患者症状主要先以调整电压为主,脉宽频率调整为辅。若出现不良反应,则根据病因、症状调整参数和药物,以对其进行处理。

1.5 评价指标 术后6个月、术后12个月进行相关量表评分,记录不良反应及处理,并对抗帕金森药物使用情况进行记录分析。主要随访评估量表包括临床症状(UPDRS—III开、关期评分评估运动症状、LEDD评估用药情况、H-Y分期评估症状严重程度)、神经心理预后(HAMA评估焦虑情绪、HAMD评估抑郁情绪)、认知预后(WAIS评估智力认知)及生活质量(ADL评估生活质量)。

1.6 统计学方法 本研究受限于样本量有限,主要采取描述性分析方式,对患者术前术后量表评分进行评估及比较分析。患者基线数据及随访数据使用IBM SPSS 28.0软件存储。

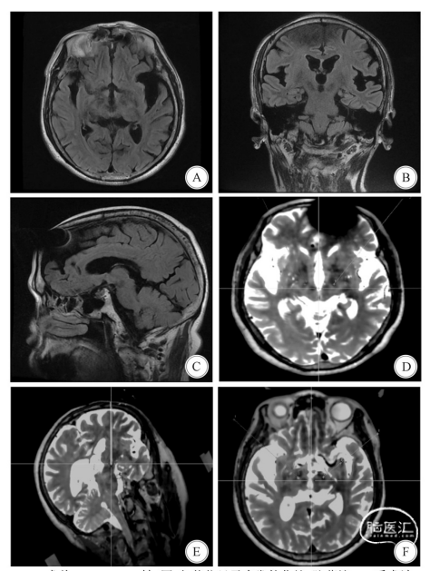
A—C:术前MR,FLAIR轴、冠、矢状位显示多发软化灶,脑萎缩;D:手术计划,靶点左(x:-14.5,Y:-3.5,z:-4.0),右(x:13.5,Y:-3.0,z:3.8);E:术后融合靶点,显示电极的针道路径;F:术后融合显示左侧偏差0.5mm,右侧偏差0.7mm

图1 病例1患者的影像资料、手术计划和融合后电极位置

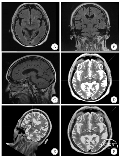
A—C:术前MR,FLAIR轴、冠、矢状位显示多发软化灶,脑萎缩;D:手术计划,靶点左(x:-12.0,Y:-2.0,z:-5.0),右(x:12.0,Y:-2.0,z:-5.0);F:术后融合靶点,显示电极的针道路径;F:术后融合显示左侧偏差0.3mm,11侧偏差0.6mm

图2 病例2患者的影像资料、手术计划和融合后电极位置

A—C:术前MR,FLAIR轴、冠、欠状位显示多发软化灶;D:手术计划,靶点左(x:-14.0,Y:-20,z:-4.0),有(x:14.O,Y:-2.0,z:-4);E:术后融合靶点,显示电极的针道路径;F:术后融合显示左侧偏差0.1mm。右侧偏差0.4mm

图3 病例3患者的影像资料、手术计划和融合后电极位置

2 结果

2.1 手术情况 患者术前通过ROSA 0NE系统设计植入靶点坐标,并进行术中注册,STN—DBS植人手术过程中,患者一般情况均稳定良好,无术中出血,术后靶点验证植入误差均在0.7mm以内,病例3左侧STN—DBS电极植入误差仅为0.1mm,手术用时在70min以内,所有患者在术中均一次植入成功,未二次调整植人靶点。患者靶点位置、电极植入误差及手术时间见表2。

表2 患者靶点位置、

电极植入误差及手术用时

2.2 手术并发症 本研究未出现出血、梗死、切口愈合不良、感染、排斥反应等手术相关并发症;术后病例2出现阵发性房颤,给予药物对症治疗后自动复律.考虑与麻醉相关。其余患者无严重未缓解的手术相关并发症。

2.3 术后程控 本研究经过术后1个月、6个月及12个月的随访程控三次,3例患者脉宽及频率均保持60’s及130Hz,仅对电压进行了相应调整。在程控过程中,无严重持续性程控相关不良反应发生。患者术后随访程控参数见表3。

表3 患者术后随访程控参数

2.4 术后随访及预后 3例患者术后6个月及12个月评估时,运动症状、症状严重程度、焦虑抑郁情绪、生活质量均较前有显著改善,术后用药量显著减少,神经认知功能无显著变化;6个月随访数据与12个月数据基本无显著差异。3例患者术后随访预后及改善率见表4。

表4 患者术后随访预后(分数/改善率)

3讨论

随着生活水平的改善和医疗技术的进步,年龄不再是选择DBS手术的决定因素,越来越多的高龄PD患者接受并选择DBS手术6。DBS对于一些药物难治性PD病例,凭借其安全、微创、可调控等优势,成为重要的治疗方式。虽然DBS的手术靶点有很多,但目前常用的手术靶点主要有两个,STN和苍白球内侧部(globus pallidus interior,GPI)。STN通常是年轻患者最常见的靶点,术后有显著减少用药量的可能性。STN靶点的刺激相对于GPI需要更小幅度的电压,有效减少电池耗电量。也有研究表明,一些高龄患者选择了STN改善了临床症状。由于临床试验通常招募一些相对年轻的患者.所以在文献中缺乏证据支持高龄患者在STN或GPI之间的选择。本研究中,为了改善患者运动症状及减少药物使用,经过多学科术前讨论结合患者及家属意愿,3例高龄患者选择进行了STN—DBS治疗,术后患者运动症状改善,生活质量提高,且安全性良好:术后12个月随访时运动症状UPDRS一Ⅲ(开期)改善率为41.7%~48.1%、UPDRS.Ⅲ(关期)评分改善率为46.1%~55.0%;症状严重程度H—Y分期改善率37.5%~50.0%;用药情况LEDD改善率23.5%~40.9%;神经心理HAMA改善率57.9%~71.4%、HAMD改善率50.0%~67.4%;生活质量方面ADL改善率:42.9%~60.0%;认知功能WALS无明显变化,提示对于高龄PD患者,STN—DBS术后运动症状、症状严重程度、焦虑抑郁情绪、生活质量均较前有显著改善,术后用药量显著减少,神经认知功能无显著变化,这一结论与此前针对一般人群的相关研究类似,并且患者6个月随访与12个月随访时的运动症状、症状严重程度、用药情况、生活质量进行对比均无显著变化,均较术前有显著改善,提示STN—DBS疗效稳定。患者的症状及生活质量有显著且稳定的改善。在患者症状明显改善、用药明显减少。生活质量明显提升之后。焦虑抑郁情绪评分也有显著下降,这与患者症状改善后情绪的改善有关,且既往研究提示DBS治疗本身也可改善PD相关隋绪症状,体现出DBS治疗独特的优势。

既往传统STN—DBS手术多在局部麻醉下进行,并结合术中微电极电生理记录用于指导电极植入的位置,结合术中的刺激实验最终确定电极的位置。电生理监测在局麻下采集信号更为明显,但由于麻醉深度影响。在全麻下信号采集有限,目前多数中心全麻STN—DBS手术应用术中CT验证电极植入位置的准确性,不进行术中电生理监测。此外,术中电生理监测用时较长,患者耐受程度及术中体验不佳,并延长手术用时,有进一步增加脑脊液流失从而导致电极偏倚等其他术中风险。既往研究根据刺激靶点验证和开机测试效果评估。认为全麻手术下单纯依靠解剖靶点植入电极的精度和效果与局部麻醉下术中电生理监测无显著差异。相关研究表明两种麻醉方式下电极位置的准确性均是可靠的,其临床结果和并发症没有显著差异。高龄患者更容易接受全麻手术,减轻患者的焦虑疲劳和疼痛刺激,提高了患者手术的舒适感和体验感。根据本研究3例高龄患者进行全麻下STN—DBS手术,术中无神经电生理监测。手术过程及术后麻醉恢复顺利,提示全麻下STN—DBS对高龄PD患者安全性良好。但同时也应注意到,高龄患者的一般状况及基础疾病的相关问题是否满足全麻手术条件以及耐受手术,应根据不同患者的个体情况选择是否进行手术:还应发挥多学科优势,关注神经外科、神经内科、神经影像、麻醉科等相关专家的术前多学科讨论,也有助于协助判断不同状况的PD患者是否应接受STN—DBS手术治疗。

本研究中采取了机器人辅助STN—DBS植入的方式。机器人的机械臂稳固性高,植入过程避免人为因素导致的晃动。相关文献显示机械臂的动作幅度小于0.1mm。电极植入误差平均约0.5mm。如有必要,术中可在多维平面上轻松调整靶点的位置(幅度在0.5~2mm)。影响电极植入准确性的另一个因素是颅内积气,脑脊液的丢失和气体进入颅骨会导致不同程度的脑组织位移,从而影响电极植入的准确性。机器人引导的手术可以减少重复操作和植入时间,从而减少脑脊液丢失和颅内积气,保证了电极植入的准确性。本研究中,3例高龄患者应用ROSA ONE机器人辅助电极植入,电极误差在0.1~0.7mm之间,误差范围低于相关文献报道的基于框架定位STN—DBS的平均误差。

关于手术并发症问题,DBS治疗的总体并发症发生较少且较轻微,研究发现16%的患者可能会出现术中并发症,例如气道管理困难、精神错乱、高血压、肺栓塞,而通常这些并发症是可控的。不良预后很少见;最严重的并发症是中风、颅内出血、癫痫发作。然而一项对1757例DBS患者的回顾性分析研究表明。75岁以上的PD患者施行DBS手术后的并发症发生率并不高于其他患者。国内多项研究报道,75岁以上的PD患者进行DBS治疗未见上述并发症。本研究3例80岁以上的高龄PD手术患者的研究中,发现其中1例患者出现了阵发性房颤。进行药物对症治疗后迅速好转,其余患者未见其他严重未缓解的手术相关并发症。总体来说,高龄PD患者行DBS治疗后可取得良好的临床疗效,手术安全性高,并发症发生率并未有显著上升。

全麻机器人辅助STN—DBS对高龄PD患者仍有较好的临床疗效。手术安全性基本可控,术后患者运动症状、药物减量、神经心理、生活质量均有显著改善且神经认知功能总体无影响。但应同时注意高龄患者一般状况,根据患者个体状况,对高龄PD患者进行STN—DBS治疗。

利益冲突:所有作者均声明不存在利益冲突。

[参考文献]:略



栾国明

主任医师、教授、博士生导师

首都医科大学 第十一临床医学院(三博脑科医院) 院长

首都医大神经外科学院 执行院长

北京脑重大疾病研究院癫痫所所长

三十余年的神经外科生涯中,成功实施了1万余例神经外科手术,其中仅癫痫手术就达6500余例,实施癫痫手术数量在国内位居前茅。他开创的“双极电凝热灼脑浅表皮层治疗功能区顽固性癫痫”的手术方法,被《健康报》等媒体誉为“栾氏手术”,在2002年悉尼世界功能神经外科大会上获得时任世界神经外科主席的首肯。目前,该方法在国内外被广泛应用于临床。2012年5月其研究室被北京市科委批准为“癫痫病临床医学研究北京市重点实验室”。栾国明教授也是我国开创性应用脑深部微电极刺激术(DBS)治疗帕金森病的专家,于1998年在天坛医院开展首例(中国)PD患者的DBS手术,2012年率先开展ROSA立体定向脑电定位,应用该设备开展了先进的立体定向颅内电极手术,微创进行癫痫灶的精确定位。同年将DBS治疗开创地应用到了舞蹈病的新领域,获得良好效果。2017年5月获得世界神经调控重要贡献奖。兼任中国医师协会神经调控专业委员会主任委员、中国抗癫痫协会1-3届副会长、国际抗癫痫联盟(ILAE)外科治疗委员会委员等学术组织职务。此外,就功能神经外科常见疾病的治疗,如三叉神经痛、面肌痉挛、顽固性疼痛、脑瘫及脑干型高血压、脑功能区肿瘤等疾病,栾国明教授也有很深的造诣。

专业特长:癫痫、帕金森、神经性疼痛、三叉神经痛、面肌痉挛、脑瘫、精神病等脑功能性疾病、功能区肿瘤和病灶的定位及手术。




关宇光

主任医师、教授、博士生导师

首都医科大学三博脑科医院神经外科副主任

首都医科大学三博脑科医院功能神经外科主任

首都医科大学三博脑科医院神经外科一病区主任

首都医科大学三博脑科医院癫痫中心外科主任

首都医科大学三博脑科医院帕金森病诊疗中心副主任

专业特长:癫痫、儿童癫痫、面肌痉挛、三叉神经痛、帕金森、特发性震颤、梅杰综合征、肌张力障碍、舞蹈症、抽动秽语综合征、顽固性疼痛、脑瘫、植物状态促醒等功能神经疾病的诊断与治疗;功能区脑肿瘤、颞叶、海马区脑肿瘤的手术切除;脑面血管瘤病、结节硬化、海绵状血管瘤、Rasmussen脑炎、皮质发育不良等导致癫痫的外科手术治疗。




孙卫进

主治医师、硕士研究生

首都医科大学三博脑科医院功能神经外科

专业特长:癫痫、帕金森、面肌痉挛、三叉神经痛、丘脑痛等功能神经外科疾病的治疗


声明:脑医汇旗下神外资讯、神介资讯、神内资讯、脑医咨询、Ai Brain 所发表内容之知识产权为脑医汇及主办方、原作者等相关权利人所有。

投稿邮箱:NAOYIHUI@163.com 

未经许可,禁止进行转载、摘编、复制、裁切、录制等。经许可授权使用,亦须注明来源。欢迎转发、分享

最新评论
发表你的评论
发表你的评论