《Advances in Experimental Medicine and Biology》杂志 2023年7月刊载[1405:457-476.]美国 Johns Hopkins University School of Medicine的Abhishek Gami , Andrew Schilling , Jeff Ehresman , Daniel M Sciubba 撰写的《源自骨或软骨的脑和脊柱良性肿瘤。Benign Brain and Spinal Tumors Originating from Bone or Cartilage》(doi: 10.1007/978-3-031-23705-8_17.)。

脊柱的良性骨软骨性肿瘤总体上并不常见,占所有原发性骨肿瘤的1 - 13%,占所有脊柱肿瘤的不到10%。这类肿瘤包括成骨细胞病变(osteoblastic lesions ),如相关的类骨骨瘤和成骨细胞瘤(the related osteoid osteoma and osteoblastoma,),以及软骨形成病变(cartilage-forming lesions),包括骨软骨瘤、软骨瘤和软骨母细胞瘤(osteochondroma, chondroma, and chondroblastoma. )。动脉瘤性骨囊肿、骨巨细胞瘤和嗜酸性肉芽肿(Aneurysmal bone cysts, giant cell tumors of bone, and eosinophilic granulomas)也包括由骨产生的脊柱良性肿瘤。在流行病学、分子生物学、影像学特征和这些病变的最佳治疗方面存在显著的异质性。例如,类骨骨瘤的特点是环氧化酶( the cyclooxygenase enzymes)的高表达,使得它最初可以用抗炎药物治疗,而其他病变如成骨细胞瘤可能需要更早的局部刮除或整体切除。一般来说,如果可能的话,整体切除是最好的,以减少复发的风险。此外,一些肿瘤可能在综合征的情况下出现,如脂肪肝病或Maffucci综合征引起的多发性软骨瘤,或作为遗传性疾病的一部分,如遗传性多发性外生骨性软骨瘤。这些病变可能表现为局部疼痛,引起神经系统损伤或在常规影像学检查中意外偶然发现。Enneking分类和Weinstein-Boriani-Biagini系统通常用于病灶分类和辅助手术计划。射频消融和激光光凝等新技术已被应用于类骨骨瘤的治疗,并可能在其他类型病变的治疗中发挥作用。多学科方法在脊柱良性病变的治疗中至关重要,化疗和手术方法都是常规方法。
17.1背景和流行病学
脊柱的良性骨软骨性肿瘤总体上并不常见,占所有原发性骨肿瘤的1 - 13%,占所有脊柱肿瘤的不到10% 。脊柱良性肿瘤包括成骨细胞病变,如类骨骨瘤和成骨细胞瘤,包括骨软骨瘤、软骨瘤和成软骨细胞瘤的软骨形成病变,,此外还有动脉瘤性骨囊肿、骨巨细胞瘤和嗜酸性肉芽肿。这些良性病变可能是意外偶然发现的,但通常会引起疼痛、神经根病和脊柱不稳定,治疗包括观察、消融或手术切除。由于这些病变的异质性,了解其流行病学、分子生物学和影像学特征对指导治疗方法很重要。
骨样骨瘤(osteoid osteoma )和成骨细胞瘤( osteoblastoma )在组织学上相似,但在骨骼中有不同的临床表现和分布。两者都是良性的骨形成肿瘤,其特征是产生类骨或成熟骨(osteoid or mature bone.)。10-12%的良性骨肿瘤为骨样骨瘤,10%的骨样骨瘤发生在脊柱。成骨细胞瘤占所有良性骨肿瘤的3%,40%的成骨细胞瘤发生在脊柱。骨样骨瘤和成骨细胞瘤(osteoid osteoma and osteoblastoma)通常出现在生命的前30年,并且具有决定性的男性优势。
骨软骨瘤或骨软骨外生性骨疣(Osteochondroma, or osteocartilaginous exostosis,)是最常见的骨良性肿瘤,占所有良性骨肿瘤的40%,可有散发性或遗传性起源。1 - 4%的孤立性骨软骨瘤和3-9%的遗传性骨软骨瘤发生在脊柱。骨软骨瘤通常直到成年后才被发现,诊断时的平均年龄为31-39岁。软骨瘤占所有原发性骨肿瘤的5%,很少影响脊柱,只有不到4%的软骨瘤起源于脊柱。这些病变表现出强烈的男性优势,通常出现在生命的第三和第五十年之间。然而,多发性软骨瘤可在儿童期出现在多发性软骨瘤综合征患者中,如Olliver病或Maffucci综合征。
动脉瘤性骨囊肿(Aneurysmal bone cysts ,ABCs)是一种溶骨性肿瘤,其特征是充满血液的腔体并伴有分隔,占所有原发性骨肿瘤的1%,其中10-30%的ABCs见于脊柱。ABC以女性为主,更常见于儿童,60-90%的病例发生在20岁以下的人群中。骨巨细胞瘤(Giant cell tumor,GCT)约占所有原发性骨肿瘤的5%,占脊柱中所有GCT的2-8%。GCT通常出现在20-45岁之间,女性发病率更高。
2.5%的患者纤维发育不良累及脊柱。这种疾病可能影响单根或多根骨头,通常影响年幼的儿童。约10%的患脊柱发生者骨血管瘤在,轻微的女性优势;然而,这些血管瘤大多是意外偶然发现的。嗜酸性肉芽肿(Eosinophilic granulomas)是朗格汉斯细胞组织细胞增多症的表现,是一种罕见的骨病变,主要影响幼儿。
17.2遗传学、免疫学和分子生物学
17.2.1骨样骨瘤
骨样骨瘤由被硬化的骨组织包围的病灶组成。高水平的前列腺素合成已被报道在骨样骨瘤的病灶。一些研究表明,环氧化酶-1和环氧化酶-2酶在肿瘤组织中高水平表达,这两种酶都是前列腺素合成的酶。局部疼痛作为骨样骨瘤的初始症状可能与这些炎症介质有关。研究还表明,在骨样骨瘤中存在高血管性和神经纤维,这也可能介导疼痛。虽然成骨细胞瘤类似于骨样骨瘤,但这种实体不表达高水平的前列腺素,这可能解释了其对口服水杨酸盐的不良反应。
17.2.2骨软骨瘤
骨软骨瘤可以作为孤立的自发病变发生,但大约15%的骨软骨瘤发生在遗传性多发性骨软骨瘤/外生性骨疣(hereditary multiple osteochondroma/exostosis,HME)的背景下,这是一种常染色体显性遗传模式的疾病。HMEs是由位于8号染色体上的肿瘤抑制基因exostosis-1 (EXT1)或位于11号染色体上的exostosis-2 (EXT2)突变引起的。EXT1基因双等位基因失活也与孤立性非遗传性骨软骨瘤有关。EXT1和EXT2蛋白在硫酸肝素蛋白聚糖(HSPG)合成中起作用。HSPGs对骨骺生长板的正常信号传导至关重要,异常处理HSPGs可能会阻止调节软骨细胞分化和软骨内成骨的Hedgehog因子的扩散。
17.2.3软骨瘤
软骨瘤根据其起源部位分类:内生软骨瘤(enchondromas)起源于髓腔,而骨膜或近皮质软骨瘤起源于皮质表面。虽然软骨瘤通常是孤立的病变,但在脂肪肝疾病或Maffucci综合征中,它们可以表现为多发性病变。编码异柠檬酸脱氢酶(IDH)的基因突变已在孤立性和综合征性内生软骨瘤中发现。IDH1和IDH2突变导致2-羟戊二酸过量产生,导致DNA甲基化改变。在87%的Ollier病患者内软骨瘤和77%的Maffucci综合征患者肿瘤中发现了IDH突变。在这些疾病中,功能突变的获得导致体细胞嵌合体和多个内生纤维瘤的发展。c-Myc扩增和多体8(c-Myc amplification and polysomy 8)与软骨瘤向软骨肉瘤的转化有关。
17.2.4动脉瘤性骨囊肿(ABC)
动脉瘤性骨囊肿(ABCs)的发病机制存在争议。ABC 被假设为在损伤改变骨间血流后发生的反应性病变。然而,遗传也与ABC的发病机制有关,最近的研究表明ABC可能含有TRE17/USP6的17p13易位,导致转录因子NF-kB的激活,从而激活基质金属蛋白酶。异种移植研究也表明TRE17可以诱导形成具有ABC特征的肿瘤,如富血管性。
17.2.5骨巨细胞瘤(GCT)
骨巨细胞瘤(GCT)含有成骨细胞前体的肿瘤细胞,由巨噬细胞来源的单核细胞产生。肿瘤由表达核因子κ b受体激活因子(RANK)的破骨细胞和表达RANK配体(RANKL)的肿瘤细胞组成。RANKL导致多核破骨细胞形成和随后的骨吸收,这是典型的GCT。
17.2.6纤维发育不良
纤维发育不良可能与 McCune-Albright综合征有关,其特征是纤维发育不良、cafe-au-lait斑和性早熟等内分泌疾病。这种综合征的潜在缺陷涉及GNAS基因和Gs α cAMP调节蛋白的体细胞突变。
17.2.7朗格汉斯细胞组织细胞增多症
朗格汉斯细胞组织细胞增多症以Hand-Schuller-Christian病、Letter- Siew病和嗜酸性肉芽肿的形式出现,是由于朗格汉斯组织细胞(皮肤的抗原呈递细胞)的增殖而发生的。BRAF致癌基因突变已被确定发生在朗格汉斯细胞组织细胞增多症的病例中,然而,明确的遗传模式尚未确定。
17.3组织病理学和形态学
17.3.1骨样骨瘤
骨样骨瘤最常见于下肢,尤其是股骨和胫骨,但也可累及脊柱,常发生在脊柱后部。大体而言,骨样骨瘤直径小于1.5 cm,由中心红色病灶组成,病灶由骨样组织或矿化的未成熟骨组成,周围是致密的硬化骨组织。病灶周围有丰富的间质,具有显著的成骨细胞和破骨细胞活性,负责局部骨重塑。骨样骨瘤是一种良性病变,没有恶性肿瘤的可能。成骨细胞瘤常见于中轴骨骼,34%的病例累及脊柱,最常见于椎骨后部和骶骨。成骨细胞瘤在组织学上与骨样骨瘤相似;然而,成骨细胞瘤明显较大,平均直径为4cm。成骨细胞瘤中的类骨质(Osteoid )通常比骨样骨瘤中产生更多的类骨质,并且成骨细胞瘤也表现出较无组织的生长模式。此外,成骨细胞瘤可能具有局部侵袭性,可能与较大的上皮样成骨细胞有关,与类骨骨瘤和进袭性较低的成骨细胞瘤相比,上皮样成骨细胞有丝分裂活性更高。成骨细胞瘤没有恶性或转移的可能。类骨骨瘤和成骨细胞瘤均可发生在髓内、皮质内和骨膜部位(图17.1)。

17.3.2骨软骨瘤
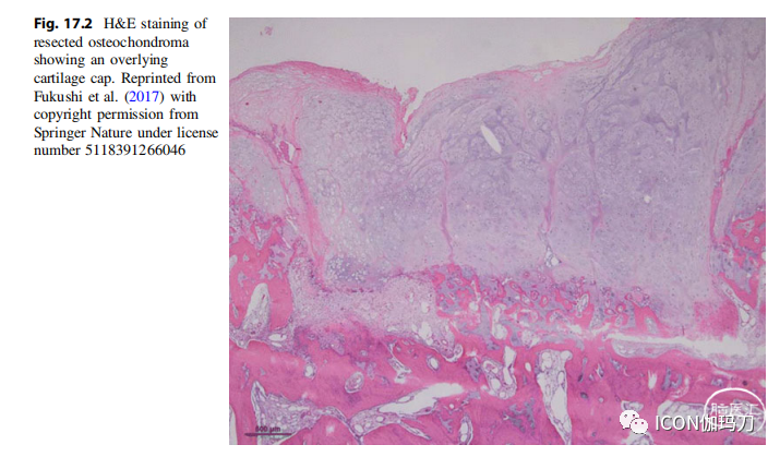
骨软骨瘤(Osteochondromas)被认为是骨骺生长板或软骨的碎片突出穿过骨并发生骨化和成熟时形成的病变。骨软骨瘤常发生在长骨,但也可发生在脊柱,最常见于颈椎和胸椎的后部。大体而言,骨软骨瘤的直径通常为1-2厘米。透明软骨呈带蒂或无根生长。病变包括中央生长的透明软骨,其周围由软骨膜划分,软骨膜与底层骨的骨膜连续。骨软骨瘤的恶性转化率在孤立病例中不到1%,在遗传性病例中不到3-5%,软骨帽厚且不规则可能提示恶性转化。其他可能提示恶性转化的特征包括不规则矿化、软组织带、软骨结构丧失、坏死或其他异型软骨细胞。

17.3.3软骨瘤
软骨瘤(Chondromas)可分为内生软骨瘤和骨膜软骨瘤( enchondromas and periosteal chondromas.)。软骨瘤主要发生在小骨( the small bones)上,但也可以在脊柱上发现。椎骨的所有部分都可能受到影响,据报道,胸椎区域有较高的软骨瘤发病率。软骨瘤是典型的小肿瘤,直径大于7厘米提示有恶性转化。肉眼可见,软骨瘤表现为坚硬、成熟的软骨小叶,与邻近的骨头界限分明。内软骨瘤通常呈扩张性生长,而骨膜软骨瘤是外生性生长。组织学上,软骨瘤细胞小而均匀,细胞核暗而圆,在粘液样或透明背景下形成由血管间隔隔开的小叶。
17.3.4动脉瘤性骨囊肿(ABC)
动脉瘤性骨囊肿通常发生在膝关节周围,但也可发生在脊柱,70%的囊肿发生在胸腰椎,25%发生在颈椎,通常发生在椎弓根、椎板和棘突。肉眼可见,ABC表现为直径小于2mm的血管性肿瘤,组织学显示由梭形细胞、炎症细胞、成纤维细胞和多核破骨细胞样巨细胞组成的间隔隔开的出血间隙。类骨和新骨形成的背景也可以被理解(图17.3)。

17.3.5巨细胞瘤(GCT)
巨细胞瘤通常发生在长骨末端,但也可发生在骶骨和脊柱,最常见于椎体。肉眼可见,GCT呈黄色、柔软、易碎的病变,伴有出血。组织学上,GCT显示多核破骨巨细胞的细胞核与单核细胞相似(图17.4)。

17.3.6纤维发育不良
纤维发育不良病变与成纤维细胞背景下的编织骨一致。其他特征包括出血和泡沫状巨噬细胞(图17.5)。

17.3.7血管瘤
血管瘤表现为骨间编织的多根小血管,可分为毛细血管瘤或海绵状血管瘤。
17.3.8朗格汉斯细胞组织细胞增多症
嗜酸性肉芽肿表现为朗格汉斯细胞组织细胞增生的特征,包括伯贝克颗粒(Birbeck granules),在细胞质中被描述为网球拍状的实体。免疫组化也显示CD1a阳性。

17.4影像学和影像组学特征
计算机断层扫描(CT)是评估骨样骨瘤和成骨细胞瘤的首选研究,尽管x线平片、骨显像和MRI也有用处。CT上,骨样骨瘤表现为被硬化区包围的透光病灶(图17.7)。成骨细胞瘤往往是形状不规则的放射性病变,在完整的骨周围外壳中显示矿化和骨重塑的扩张。骨显像对类骨骨瘤和成骨细胞瘤都高度敏感,在病灶病灶处都有很强的摄取(图17.8)。

图17.7 23岁患者的骨样骨瘤显示C4弓内病变。a, b显示C4弓的低信号病变。c-f骨扫描显示颈椎摄取。g, j CT显示颈椎病变。h, i, k SPECT/CT成像显示颈椎摄取。

图17.8 42岁男性成骨细胞瘤患者。骨扫描显示T7有摄取。b x线片显示T7病变。c、d CT显示病变伴骨小梁置换。e, f T2和T1加权MR成像。
骨软骨瘤在影像学上的特征性表现是病变与骨皮质和髓腔的连续性。多种成像技术被用于诊断,包括CT和MRI。CT是脊柱骨软骨瘤的首选技术,可显示皮质-髓质与下层骨以及软骨帽的连续性(cortical-medullary continuity with underlying bone as well as a cartilage cap.)。T2加权MRI可显示富水软骨帽的高信号,而T1加权MRI可显示低信号。由于软骨帽上覆盖有纤维血管组织,钆对比剂MRI也可以显示外周强化,这有助于解决肿瘤引起的血管并发症,并有助于区分恶性软骨肉瘤和骨软骨瘤(图17.9)。骨软骨瘤向软骨肉瘤的恶性转变是一种严重的并发症,影像学检查应关注先前稳定的肿瘤的变化、局部进袭性和透明软骨帽,CT和MRI上软骨帽厚度>1.5 - 2厘米是软骨肉瘤的敏感指标。

图17.9显示颈椎骨软骨瘤的x线片。b CT显示肿瘤起源于C3。c T2加权磁共振成像显示肿瘤延伸至椎管并压迫颈髓。d T2加权MR轴位成像
软骨瘤的x线平片显示界限清楚的溶骨性病变,无反应性硬化,但也可能显示畸形,如椎间孔扩大。软骨瘤的CT表现为可透射线的性侵蚀性(radiolucent, erosive lesion)病变,软骨呈低衰减区(cartilage appearing as regions of low attenuation)。点状钙化也可见。MRI在鉴别良性软骨瘤和恶性软骨肉瘤方面具有实用价值,MRI增强可能与软骨肉瘤一致(图17.10)。

图17.10软骨瘤a T1加权MR成像和b T2加权MR成像显示病灶边界清晰。c Gd-DTPA给药后均质增强。
ABC可通过x线平片进行初步评估,可表现为透光的囊性病变。CT可进一步显示“肥皂泡”外观,或病变呈囊状溶解性。病变可伴有椎体病理性骨折或部分或完全塌陷。MRI可以帮助阐明ABC病变内部的分隔,T2加权成像上的特征性液体-液体线代表血液积聚(图17.11)。GCT平片表现为偏心、溶骨性病变,边界清晰,通常是诊断GCT的第一步。CT可用于进一步评估GCT的解剖结构,并在发现病变后进行CT引导下的核心活检。GCT MRI显示脊髓低至中等信号,根据椎管旁或硬膜外受累程度,不均匀对比增强(图17.12)。

图17.11动脉瘤性骨囊肿a、b CT示L4动脉瘤性骨囊肿,c、d MR示T2加权高信号。

图17.12。来自斜坡的巨细胞瘤,侵袭C1。
x平片上纤维发育不良表现为磨砂样,边缘硬化。CT可显示与病理性骨折相关的溶骨性病变。纤维结构不良的MRI可能在T1成像上显示低信号,在T2成像上显示可变信号(图17.13)。血管瘤在x线上呈“蜂窝(honeycomb)”状,CT显示增厚的小梁(thickened trabeculae),被称为“波尔卡点(polka dot)”状。MRI显示T1和T2加权成像的高信号,血管造影显示这些肿瘤的富血管密度。
嗜酸性肉芽肿在颅骨中的发病率较高,影像显示具有“斜面边缘”和“孔中孔”特征的溶骨性病变( lytic lesions with signature “beveled edges” and “hole within a hole” signs.)。MRI显示T2信号病变,周围可能有水肿(图17.14)。

图17.13纤维发育不良。a颅面纤维发育不良,b, c股骨和颅骨近端纤维发育不良。影像学可显示混合性硬化/溶骨性病变。

图17.14。4岁男童嗜酸性肉芽肿。显示溶骨性病变的x线片。b, c CT显示病变伴软组织浸润。
17.5临床表现
疼痛是骨样骨瘤和成骨细胞瘤患者最常见的症状。在骨样骨瘤中,患者表现为局部疼痛,通常在夜间更为明显和严重,可以通过使用非甾体抗炎药(NSAIDs)来缓解。据报道,非甾体抗炎药在超过75%的骨样骨瘤患者中明显缓解疼痛。疼痛可持续数周至数月,患者可描述为钝痛。在儿童患者中,当涉及脊柱时,骨样骨瘤可能会出现快速进展的脊柱侧凸。另一方面,与成骨细胞瘤相关的疼痛很少影响睡眠,并且通常不能通过使用非甾体抗炎药来缓解。此外,成骨细胞瘤也可能表现为局部肿胀和压痛。患有脊柱成骨细胞瘤的,脊柱侧凸(scoliosis )是常见的表现,脊柱病变可引起神经功能障碍,包括肌肉无力、麻木、刺痛、神经根痛和截瘫。
骨软骨瘤通常无症状,因为它们通常起源于脊柱后部。他们可能被意外偶然发现,表现为非机械性脊柱疼痛或与肿瘤相关性疼痛,或在脊髓侵袭的情况下,表现为压迫性脊髓病和坐骨神经痛。通常,由骨软骨瘤引起的神经功能障碍很少见,仅占所有患者的0.5-1% 。然而,多发性骨软骨瘤可出现在10岁以下的遗传性外生性骨疣综合征(hereditary exostosis syndrome),或出现在肢体生长不足、踝关节外翻、膝外翻和脊柱压迫综合征(limb undergrowth, ankle valgus, genu valgum, and spinal compression syndrome)的新生儿中。孤立性骨软骨瘤也可发生脊髓压迫,并可出现上运动神经元征象。其他不常见的表现包括吞咽困难、霍纳综合征和血管畸形。
脊柱软骨瘤患者通常在病变部位表现出局部压痛,伴有或不伴有可触及的肿块。由于软骨瘤生长缓慢,神经系统症状可能在不知不觉中发展。在直接压迫的情况下,软骨瘤可伴有神经根病或脊髓病。在某些情况下,也可能出现病理性骨折。软骨瘤也可能与多发性软骨瘤病综合征相关,包括儿童期的Ollier病、Maffuci综合征。这些综合征与骨骼畸形、肢体长度差异和病理性骨折有关。Maffucci综合征可以通过存在的皮肤血管瘤与Olliver病区分开来。这些综合征与软骨瘤肉瘤转变的高风险相关。动脉瘤性骨囊肿是一种生长迅速的病变,症状平均持续时间约为4个月。它们可能表现为症状迅速恶化,也可能隐匿地表现为静止状态。ABC的主要症状是脊柱疼痛、触痛、可触及肿块,脊髓受压。疼痛可随着病变的扩大而进展和加重,脊髓受压引起的神经系统症状可从感觉异常到完全截瘫。
脊柱GCT最常见的表现是背部疼痛,在肿瘤生长的情况下,由于脊髓或神经根受到压迫而虚弱。在24例脊柱巨细胞瘤患者中,所有患者均表现出平均5个月的疼痛。在McCune-Albright综合征的背景下可能发生纤维结构不良,应研究潜在的内分泌病变以评估钙障碍。然而,在许多情况下,经常在脊柱成像中偶然发现血管瘤,可能导致继发于骨扩张的神经功能障碍。许多病例可观察到脊柱血管瘤;然而,在神经系统症状加重的情况下,可能需要治疗(treatment may be pursued)。
嗜酸性肉芽肿的病例通常表现为疼痛,取决于病理的位置。
表17.1脊柱和软骨肿瘤的特征

17.6治疗方法
对于由软骨或骨骼产生的脊柱良性肿瘤,适当的治疗包括观察、药物治疗、放射治疗、化疗和手术切除。适当的治疗应基于病变的自然病史、患者特征和患者症状(包括疼痛和神经功能障碍)。原发性脊柱肿瘤通常需要活检,需要进行针/芯活检、切口活检和切除活检。生物分级和肿瘤扩展可用于肿瘤分期。良性脊柱肿瘤可以使用Enneking系统进行分类,该系统是为原发性肌肉骨骼肿瘤的手术分期而开发的。
Enneking分类法将良性肿瘤分为潜伏性(S1)、活动性(S2)和侵袭性(S3)肿瘤。S1期病变通常不需要治疗,除非进行减压或稳定,而S2期病变可采用局内切除治疗,S3期病变可采用整体切除治疗。然而,Enneking分类没有考虑脊柱的复杂性,例如是否累及硬膜外间隙。Weinstein-Boriani-Biagini (WBB)系统已被提议用于脊柱肿瘤分期并推荐适当的手术程序。该系统将椎骨分成12个放射区(顺时针方向)和5个组织层(从椎旁到硬脑膜延伸),以协助手术计划。
(开颅入路)病灶内切除,也称为刮除( curettage),是指在没有宽切除边缘的情况下,对肿瘤进行分段切除。整体切除是指试图将整个肿瘤与周围的健康组织一块切除。整体切除根据组织学研究进一步分为病灶内、边缘或广泛切除;其中病灶内指肿瘤肿块内部的剥离,边缘指沿肿瘤假包膜剥离,广泛地假包膜外分离并进入健康周围组织。整体切除通常需要全椎体切除或脊柱切除术。
脊柱原发性肿瘤的手术通常伴随着药物治疗和局部辅助治疗,包括冷冻治疗、栓塞和放射治疗,以减少复发。当药物治疗不充分,放射治疗是禁忌的,不推荐手术干预时,例如,在没有脊柱不稳定或神经功能障碍的患者中,也可以进行微创经皮介入治疗。使用这种方式的技术包括射频消融、冷冻消融和激光凝固。
17.6.1手术干预
在没有脊柱畸形或神经功障碍的情况下,微创经皮技术如射频热消融(RFA)和激光凝固被用于治疗骨样骨瘤。在射频消融术中,射频发生器通过射频探头提供高频交流电,在消融区产生摩擦热,导致肿瘤坏死。激光消融利用光纤使肿瘤内部的温度迅速升高,从而导致肿瘤坏死。RFA和激光凝固治疗骨样骨瘤的疗效和安全性相似。在这两种技术中,必须在图像引导下消融整个骨样骨瘤病灶,这是通过CT和3D重建实现的。如果骨样骨瘤引起神经根压迫和神经系统损害,或者病灶靠近重要的脊髓结构时,开颅手术是首选的治疗方法。在这种情况下,尽管与病灶内切除相比,病灶内切除的复发率更高,首选病灶内刮除和完全切除。
由于其潜在的进袭性和局部骨破坏,成骨细胞瘤通常采用手术治疗,大多数人认为切除成骨细胞瘤的总体效果最好。当不需要开放性手术干预时,RFA和激光消融均可用于治疗成骨细胞瘤。用于治疗成骨细胞瘤的外科手术方法从瘤内切除和刮除到整块切除并重建脊柱。病灶内刮除在大多数情况下,但可能留下显微镜下的肿瘤和导致复发。整体切除是局部侵袭性大肿瘤的首选。一些人建议,对于大多数非进袭性成骨细胞瘤,瘤内切除是可以接受的,而进袭性成骨细胞瘤应在可能的情况下进行整体切除。
手术也是治疗骨软骨瘤的首选方法,对于有症状的病变,或者注意到软骨帽厚度增大或肿瘤大小增大,建议切除(Kitsoulis et al. 2008)。对于骨软骨瘤,病灶内切除和整体切除都是可行的。软骨瘤的治疗方法与完全手术切除相似。除选择性动脉栓塞(SAE)外,通过病灶内刮除或整体切除的手术切除可用于治疗ABC。侵袭性肿瘤建议整体切除,以达到阴性切缘和低复发风险的目的。整体切除可能增加的发病率必须与大多数肿瘤的病灶内切除的较高复发风险进行权衡。在病灶内切除时,通常建议术前栓塞。SAE可与开放切除联合使用,也可单独使用。然而,研究表明,如果选择单独的SAE,通常需要进行多次栓塞手术,导致更高的辐射暴露和密切的连续观察。
脊柱GCT通常具有进袭性,局部复发风险高,因此最佳治疗方法是大切缘整体切除。然而,GCT可能存在较大的体积或累及脊髓的关键血管结构,导致整体切除比病灶内切除有潜在更高的并发症发生率。因此,放射治疗,术前栓塞或治疗性栓塞通常与病灶内次全切除相结合,以降低发病率。由于GCT的高度血管性,手术切除时出血是一个风险,术前血管造影和栓塞术用于减少出血。选定的系列研究也表明,在不能完全切除的情况下,治疗性栓塞与症状改善和显著的生存率相关。
17.6.2化疗和放疗
大多数脊柱良性骨肿瘤的首选治疗方法是手术,放疗通常用于复发。保守治疗最初可用于骨样骨瘤的治疗,而较新的治疗方法如地诺单抗)(denosumab)可作为GCT的辅助治疗。骨样骨瘤可以保守地使用非甾体抗炎药治疗,因为骨样骨瘤引起典型的局部夜间疼痛,用水杨酸盐即可缓解。然而,疼痛可能对非甾体抗炎药变得难治性,长期使用非甾体抗炎药与显著的副作用相关,导致最终推荐手术治疗。成骨细胞瘤通常更具侵袭性,最初更常推荐手术治疗。当由于解剖学限制而不能进一步切除时,在骨软骨瘤的治疗中,病灶内切除可与辅助放疗相结合。ABC单独使用放射治疗有良好的结果报道;然而,这并不经常用于脊髓ABC的一线治疗。在ABC的治疗中,放射治疗主要用于无法手术的病变、复发或不适合手术的患者的辅助治疗。在这些情况下,由于放射的风险,栓塞治疗也可能被认为比放射治疗有。放疗可用于治疗复发的GCT或不能手术的GCT。地诺单抗(denosumab)的全身治疗用于骨GCT的治疗,既可以作为术前缩小肿瘤的新辅助治疗,也可以作为不可切除或复发肿瘤的新辅助治疗。地诺单抗(Denosumab)是一种针对RANKL的单克隆抗体,作为辅助治疗,已被证明可产生临床有益的影像学和组织学反应。
17.6.3新的治疗方式
在脊柱良性肿瘤的治疗中影像学、化疗和介入放射学取得了进展。辅助治疗在GCT、ABC和骨样骨瘤的治疗中得到了特别的发展。一项研究这些良性肿瘤的系统综述确定了GCT和ABC术前辅助干预的药物治疗,以及GCT、ABC和OO的介入放射学进展。虽然GCT的主要治疗包括病灶内刮除,但地诺单抗(denosumab)适用于不能手术的GCT,并作为一种新辅助治疗。在证据较弱的脊髓GCT病例中也有使用干扰素- 2b和双膦酸盐的报道。其他证据较弱的治疗方法包括联合使用地诺单抗(denosumab)、强力霉素和骨髓抽液注射治疗ABC和GCT,但很少有脊髓肿瘤的病例报道。
17.7随访与预后
脊柱骨样骨瘤最初可采用非甾体抗炎药保守治疗,可在30 - 40个月后症状消退。然而,疼痛可能对非甾体抗炎药(NSAIDs)变得难治性,并且有报道称骨样骨瘤转变为成骨细胞瘤,这可能导致最终的手术治疗。骨样骨瘤的手术治疗预后良好,如果病变在发病15个月内切除,脊柱畸形的功能可能完全恢复。
成骨细胞瘤被认为更具进袭性,通常采用切除治疗,预后良好。然而,据报道,成骨细胞瘤表现出广泛的不可控复发和恶性转变,在切除后9年的复发率高达10%。成骨细胞瘤的早期治疗通常会导致障碍的完全解决。
切除骨软骨瘤是典型的治愈方法。骨软骨瘤的恶性转变是一种罕见但严重的并发症:在单发骨软骨瘤的情况下,转化为软骨肉瘤的发生率为1%,在遗传性多发性外生性骨软骨瘤的情况下,转化为软骨肉瘤的发生率高达3-5%,需要进行续影像学随访。同样,尽管高达10%的患者可能会复发,但通过手术切除治疗软骨瘤的预后良好。软骨瘤可发生肉瘤变性,而Ollier病或Maffucci综合征患者发生肉瘤变性的风险明显更高,其恶性转变的风险可高达25% 。
ABC对治疗反应良好,但据报道病灶内切除后复发率高达30% 。建议对所有ABC病例随访5年,对仅接受放射治疗的患者终身随访。经整体切除治疗的GCT复发率为11-50%,瘤内切除的复发率更高。据报道,高达13.7%的脊柱GCT可能与肺转移有关。
17.8结论
脊柱的良性原发性肿瘤包括一组异质性的病理,占所有脊柱肿瘤的不到10%。这些肿瘤包括骨样骨瘤、成骨细胞瘤、骨软骨瘤、软骨瘤、动脉瘤性骨囊肿、巨细胞瘤、嗜酸性肉芽肿、纤维结构不良和骨血管瘤。在流行病学、分子生物学、影像学特征和这些病变的最佳治疗方面存在显著的异质性。然而,了解这些肿瘤的影像学和组织学表现对于优化诊断和治疗方法至关重要。这些病理的治疗包括手术切除,但由于一些病理对非甾体抗炎药和地诺单抗(denosumab)等药物有反应,因此需要多学科方法。包括激光凝固和射频消融在内的新技术也可以应用于某些病变。
声明:脑医汇旗下神外资讯、神介资讯、神内资讯、脑医咨询、AiBrain 所发表内容之知识产权为脑医汇及主办方、原作者等相关权利人所有。




