
病例介绍
年龄:63岁。
主诉:言语不能伴右侧肢体活动障碍3小时。
既往史:既往强制性脊柱炎病史40年,脊柱严重弯曲,身体呈90度。脑梗死病史5年,未遗留后遗症; 心房颤动病史3年,平时应用华法林治疗。
查体:浅昏迷状态,言语不能,双侧瞳孔圆形,光反射存在,右侧鼻唇沟浅。刺痛,左侧肢体可屈曲,右侧肢体未见活动,肌张力正常,腿反射 (++),右侧病理征阳性。
心电图示:心房颤动。NIHSS评分:28分。
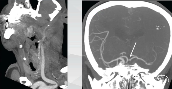
CTA:左侧颈内动脉-大脑中动脉串联闭塞,前交通开放右向左代偿供血。

入路?
· 股动脉穿刺: 患者无法平躺,髋关节无法伸直,穿刺拔鞘止血困难,胸主腹主动脉走行迂曲。
· 桡动脉穿刺: 牛角弓,左侧颈总动脉重度的扭曲。
· 颈动脉穿刺: 颈内动脉自起始处闭塞、血栓负荷量大,单纯介入不一定能取出。
· 复合手术: 切开颈动脉,直视下暴露管腔,先行颈动脉颈段动脉取栓,然后颅内支架取栓。
治疗过程
15分钟,颈动脉切开,可见大量血栓涌出。

Fogarty导管拉栓。



拉出长段血栓。

颈动脉球部管腔通畅,管壁光滑。颈内动脉远端返流血丰富,颈内动脉再通。

颈内动脉切口送入8F 导引导管,5F Navien重新建立取栓通路。手推见颈部血流通畅,无明显血栓。(从切皮开始,30分钟)

第一把 大脑中下干取栓 solitaire 4-20支架,

取栓后造影 TICI分级 2b。

缝合血管,全程造影。

复合手术 (不得以的选择)
适用病人:
· 股动脉、骼动脉、主动脉弓、颈动脉严重迂曲,入路困难。
· 颈内动脉开口重度狭窄且钙化严重,导丝导管无法通过。
· 栓子巨大,坚硬,堵塞颈内动脉开口,单纯介入无法取出。
· 栓子大,卡在导管口,无法吸出,担心回撤导管,栓子脱落在股动脉。



点击下方观看郝继恒教授精彩手术讲解视频:
郝继恒
聊城市人民医院
主任医师,医学博土,聊城市脑科医院血管神经外科主任;
中国老年医学会脑血管病分会青年委员会委员;
国家卫健委脑防委缺血性卒中介入治疗专业委员会委员;
山东省老年医学学会神经外科分会副主任委员;
山东省医学会神经外科分会脑血管病学组委员;
擅长各种脑血管病的外科手术和介入治疗,尤其对脑动脉瘤的介入栓塞和外科治疗、烟雾病颅内外血管搭桥术、颈动脉内膜切除术、急性大动脉闭塞的机械取栓术有较深入的研究。

点击或扫描上方二维码
查看更多“介入”内容
声明:脑医汇旗下神外资讯、神介资讯、脑医咨询、Ai Brain 所发表内容之知识产权为脑医汇及主办方、原作者等相关权利人所有。
投稿邮箱:NAOYIHUI@163.com
未经许可,禁止进行转载、摘编、复制、裁切、录制等。经许可授权使用,亦须注明来源。欢迎转发、分享。
投稿/会议发布,请联系400-888-2526转3。





