
病例分享
01、患者基本情况
男,60岁。
主诉:因“反复头晕3月余”入院。外院超声提示左锁骨下动脉盗血。
既往史:既往有高血压病史。
入院查体:神清,精神可,两侧瞳孔等大等圆,直径3mm,对光反射灵敏,口齿无歪斜,伸舌居中,四肢肌力及肌张力正常,两侧巴氏征-。左侧桡动脉搏动较右侧明显减弱,左上肢肱动脉血压80/40mmHg,右上肢肱动脉血压130/86mmHg。
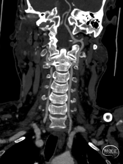
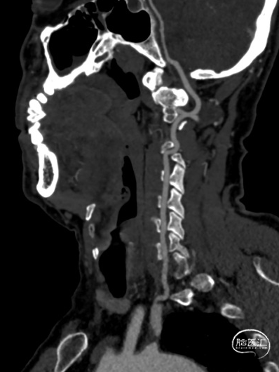
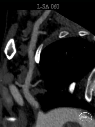
02、术前影像



头颅MR未见明显病灶。

1. 锁骨下动脉闭塞(左侧,伴盗血)
2. 高血压1级(很高危组)
03、治疗方案
患者左上肢乏力、酸胀,活动耐量下降,伴有头晕,双侧血压压差大于30mmHg,辅助检查提示左侧锁骨下动脉闭塞,向家属交待病情后行脑血管造影以明确诊断,必要时介入开通治疗。
04、术前准备
病人准备:血化验无殊,家属知情同意。
药物准备:阿司匹林100mg qd+氯吡格雷75mg qd*7d,阿托伐他汀20mg qn*7d。
05、手术预案
开通入路策略
因左侧肱动脉搏动脉微弱,左侧锁骨下动脉闭塞近端有残端,先行股动脉入路正向开通,必要时桡动脉入路逆向开通。
手术难点及风险
1. 左侧锁骨下动脉闭塞段圆钝,导丝不能通过闭塞段纤维帽;
2. 容易引起动脉夹层,导丝通过闭塞段后不能进入真腔;
3. 可能出现动脉夹层向上撕裂后引起椎动脉、内乳动脉等闭塞;
4. 血管破裂;
5. 患者左侧桡动脉未触及、左侧肱动脉搏动脉微弱,如需要逆向开通时有可能穿刺置管困难。
06、手术器械
8F 动脉鞘
8F Guiding
5F MPA
Rebar-18 微导管
雅培 Command及Command ES导丝、Connect导丝、Supracore导丝
雅培 Armada 35 球囊
雅培Omnilink支架、Herculink支架
07、手术过程
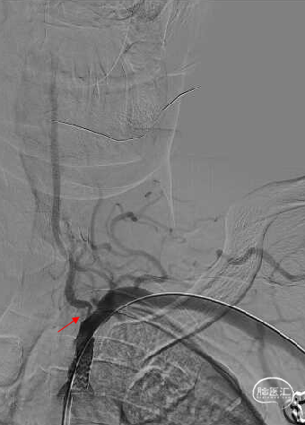
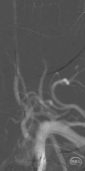
右侧椎动脉造影提示左侧锁骨下动脉盗血,左侧锁骨下动脉闭塞,近端残端较圆钝。



8F Guiding+5F MPA同轴置于左侧锁骨下动脉残端处,反复尝试Command 190cm及Command ES 190cm导丝配合Rebar-18微导管,导丝无法进入真腔,更换Connect 195cm导丝尝试后顺利进入真腔,使用小球囊预扩, Guiding跟到病变远端。


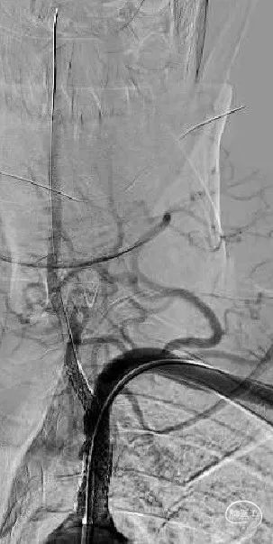
更换Supracore导丝,使用雅培 5*40mm Armada35 球囊扩张后在闭塞起始部植入8*29mm Omnilink支架。



使用雅培 Command导丝顺利超选进入左椎V2段,冠脉3.0*12mm球囊进行扩张,在V18导丝的支撑下,在左侧椎动脉起始部植入一枚雅培4.5*15mm Herculink支架。支架植入后,造影提示椎动脉狭窄得到明显改善。



08、术后情况
术后患者继续双抗+他汀治疗。
两侧桡动脉搏动基本对称,两侧肱动脉血压基本对称。
09、总结
锁骨下动脉闭塞时,由于同侧椎动脉呈反向血流(盗血),患者往往出现后循环缺血的症状和表现。
常规搭桥手术创伤较大,而介入开通手术创伤小、局部麻醉下即可进行,具有较为明显的优势。
影响开通手术的因素包括血管闭塞的时间、闭塞长度、闭塞段钙化情况、开通方式及术者经验等等。
总体来说,闭塞时间小于1年、闭塞长度较短、闭塞起始端有血管残腔、斑块钙化不明显等均为开通成功的有利因素。
锁骨下动脉闭塞手术策略
外科手术:包括腋-腋动脉搭桥术、锁骨下动脉-锁骨下动脉搭桥术、颈动脉-锁骨下动脉搭桥术及锁骨下动脉剥脱术等,传统手术存在需全身麻醉、创伤较大,并发症发生率较高且术后恢复时间长等不足。
介入开通:包括经股动脉入路正向开通,经桡动脉入路反向开通,以及正向及反向结合,具有创伤小、成功率高及风险低等优点,可作为大多数患者首选方式。
本例患者为症状性左侧锁骨下动脉闭塞,左侧椎动脉起始部重度狭窄。因左侧肱动脉搏动微弱,锁骨下动脉闭塞近端有残端,导引导管有着陆点,考虑可先行正向开通。术中选用了雅培Omnilink及Herculink两款球扩支架放置于左侧锁骨下与椎动脉起始处,两款支架定位精准,钴铬合金的材质既保证了高径向支撑力也提供了足够的可视性,支架薄壁的设计能够最大化管腔面积,很好地顺应血管解剖,有着极佳的血管成型效果。
本例难点是导丝如何安全、顺利通过锁骨下闭塞段,术中首先尝试采用0.014系统的Command及Command ES导丝进行正向开通,尝试后发现14系统很难突破闭塞部位,遂在逐渐调整微导管方向后更换0.018系统Connect导丝进行开通,顺利通过病变,Connect导丝头端克数为4g,其为高强度不锈钢的核芯材质,支撑性强,头端耐用,同时具有良好的操控性和扭控性。其亲水涂层及聚合物护套的设计为开通狭窄和闭塞病变带来便利,通过捻/转技巧操作使导丝钻入微通道,从而顺滑的通过闭塞段,在开通过程中可以减少夹层的风险以及血管的损伤。
团队介绍
徐子奇
浙江大学医学院附属第一医院
副主任医师,神经病学博士
中国卒中学会青年理事
浙江省医师协会神经介入专委会委员
浙江省生物医学工程学会脑血管学组常委
浙江省神经病学分会神经介入学组秘书
浙江省卒中学会神经内科分会秘书
主要从事缺血性卒中介入治疗及卒中影像研究,目前可进行各类缺血性卒中介入治疗手术,包括急性缺血性卒中机械性取栓术,颅内外动脉狭窄支架植入术,颅内外动脉闭塞介入再通及颅内静脉窦血栓形成和狭窄的介入治疗术
主持省级课题3项,以第一作者发表SCI论文6篇,国内核心期刊论文2篇
计仁杰
浙江大学医学院附属第一医院
神经内科主治医师
主要方向为脑血管病及神经介入方向
浙江省医师协会神经介入专委会青委会委员
曾参与国家科技部十二五子课题项目研究,以第一作者发表SCI论文2篇及多篇国内核心期刊杂志论文
陈涵丰
浙江大学医学院附属第一医院
神经内科主治医师
专注于缺血性卒中介入治疗及卒中影像研究,近年在国内外期刊发表学术论文4篇
付源
浙江大学医学院附属第一医院
神经内科主任医师,博士生导师
美国梅奥诊所博士后,访问学者,日本名古屋大学医学博士
浙江大学 临床“百人计划”
中国医师协会神经内科分会脑与脊髓损害专委委员
中国老年学会神经分会委员
美国神经科学学会会员
美国阿尔茨海默病协会会员
国家自然科学基金函评专家,以第一及通讯作者在发表多篇SCI收录文章,其中IF最高28.8,主持国家级、省部级课题5项,获得省级医药卫生科学技术奖及省级医疗新技术奖等奖励

扫描左侧二维码
进入雅培品牌专区
![]()
点击或扫描上方二维码
查看更多“介入”内容













