脑医汇,由外而内,融“汇”贯通
今天带来的是南京医科大学附属逸夫医院文立利教授在<第八届金陵脑血管病多学科高峰论坛暨长三角医院协调发展神经内科联盟会议·缺血疾病分会场>分享的《青年卒中的病因及治疗》内容,欢迎大家阅读。
·青年卒中一般是指18~45岁之间青年人发生的急性脑血管病,包括急性缺血性脑血管病和急性出血性脑血管病。
·随着生活方式、饮食结构和疾病谱的变化,我国青年卒中发病率有逐年上升,发病年龄越来越年轻化的趋势。
流行病学
·青年卒中在我国及发展中国家约占全部脑血管病人的10%左右。
·欧美发达国家的青年卒中约占全部脑血管病人的5-8%。
·过去十年,青年卒中的发病率上升了近10%。


全球范围的青年卒中

传统危险因素

新的危险因素:吸烟、偏头痛、妊娠、口服避孕药、酒精和违禁药品

青年卒中的亚型


病因学分类
颅颈动脉夹层
·中青年卒中最常见的病因之一
·约占总体人群卒中原因2.5%,青年人卒中原因的20%以上
·颈动脉夹层患者卒中:血栓栓塞性卒中(80%);重度狭窄或闭塞所致低灌注(15%);混合机制(5%)

病例示例 · 两例颈动脉夹层栓塞
01
患者男,36岁,左侧肢体麻木无力6小时
发病前明确颈部按摩史


术前CTA+CTP

右侧颈内动脉串联样病变取栓+支架植入

术后10月随访
02
患者男,33岁,左侧肢体无力伴言语含糊不清1.5小时。NHISS评分14分(言语1分,运动7分,感觉2分,面瘫2分,凝视2分)

取栓+颈内动脉支架经皮置入术

术后9月随访
颈动脉夹层原因
·遗传性结缔组织病:肌纤维发育不良(最常见)、埃莱尔-当洛综合征、马凡综合征等
·常见诱因:外伤、颈部按摩、不当锻炼;感染
·多因素作用:先天性血管壁薄弱---轻微创伤、炎症、血栓形成、其他环境性触发因素---发生夹层
肌纤维发育不良
·特发性,节段性,非炎症性和非动脉粥样硬化性血管病变
·多见于中年女性,主要累及肾动脉,其次为颈内颅外段和椎动脉
·病理:内膜、中膜或外膜平滑肌细胞发生成纤维化,导致动脉狭窄、闭塞,动脉夹层或动脉瘤形成
·临床表现
-头痛,耳鸣
-眩晕,头晕和晕厥
- TIA,黑曚症,中风,Horner's综合征和颅神经麻痹

·血管造影表现:典型的“串珠征”
·Ⅰ型,受累血管管腔狭窄与扩张交替出现,形成典型的“串珠”样改变,此为肌纤维发育不良中膜受损的特征性改变,该型最为常见,占80%~85%;
·Ⅱ型,为长段管状狭窄,多见于肌纤维发育不良内膜受损,占6%~12%;
·Ⅲ型,囊状动脉瘤,损害发生在血管壁外侧,为外膜受损表现,占4%~6%。
心源性栓塞
·青年卒中最常见的卒中亚型
·患先天性心脏病的年轻成人(18-55岁),发生缺血性脑卒中的风险是一般人群的9-12倍
·栓塞机制:
-脓毒性:感染性心内膜炎;风湿性心脏病
-非脓毒性:右向左分流(房间隔缺损,卵圆孔未闭);心房粘液瘤;心律失常;心肌病
-其他(空气栓塞;脂肪栓塞)
卵圆孔未闭
·成人中最常见的先天性心脏异常(人群患病率25%)
·出生后,约75%的人卵圆孔自动关闭,而25%的人发生卵圆孔未闭(PFO)。
·导致卒中的诱因
·导致偏头痛的部分原因
病例示例
患者男,20岁,因“头晕伴恶心呕吐半小时余”入院。既往体健。查体NIHSS评分1分(面舌瘫1分)。

右侧小脑半球及背侧丘脑异常信号,考虑急性脑梗死

右心声学造影描述:自右肘中静脉注射生理盐水,右房、右室顺序显影,随呼吸左房、左室内可见造影微泡,微泡数量>30个/帧;嘱患者Valsalva动作后,左心房造影微泡明显增多。
诊断:右心声学造影提示房水平存在右向左分流(Ⅲ级)
感染性心内膜炎
·发病率:每年3-9/100,000
·最常见病原体:葡萄球菌、链球菌、肠球菌
·20%-40%的IE会发生神经系统并发症,主要为卒中。
·IE导致的卒中:
-70%为脑梗死和TIA: 70%-90%的颅内栓塞都位于大脑中动脉区域
-30%为脑出血:梗死后出血转化、细菌性动脉瘤破裂、动脉炎血管壁破裂,皮层微出血
·治疗:
-IE所致的脑栓塞非常容易发生出血,静脉溶栓后的出血风险高达20%,因此目前普遍认为IE并发脑栓塞的患者不应积极溶栓。
-对于大血管闭塞的患者,可以选择血管内治疗

动脉硬化性脑血管病
·动脉粥样硬化,常见于老年人群的传统危险因素在青年人群中普遍提前。
-动脉粥样硬化、高血压、糖尿病、心脏病、烟酒、肥胖、活动减少等
-约占青年卒中的20%左右,是青年卒中的最主要病因。
·老年人和青年的颅内动脉粥样硬化的差异,是否治疗方式也有差异?
·斑块面积,斑块负荷,血管重构指数,斑块特点
病例示例 · 两例颈动脉夹层栓塞
01
患者男,38岁,主因突发言语不清伴右侧肢体无力20小时入院。既往史(-)。NIHSS评分13分(意识1分,面瘫2分,运动6分,感觉2分,言语2分)神志嗜睡,右侧上下肢肌力4级,腱反射亢进,右侧巴氏征(+)

CTA:左侧大脑中动脉闭塞

机械取栓+球囊扩张+支架置入

术后1年复查DSA
02
患者女,43岁,主因突发意识不清伴言语混乱2天,头晕1天入院。肥胖,BMI 31.25。既往糖尿病、高血压、高脂血症病史。NIHSS评分6分(言语2分,面舌瘫2分,运动2分)。

MRI&MRA:左侧颞顶枕叶及侧脑室旁多发急性脑梗塞
左侧大脑中动脉M1段分叉下干闭塞

DSA:左侧大脑中动脉M1下干中段闭塞,同侧大脑中动脉M1段上干向M1下干远端代偿供血

高清磁共振血管壁成像:左侧大脑中动脉M1段下干动脉粥样硬化伴斑块内出血

03 动脉粥样硬化性脑血管病
·患者女,43岁
·主诉:“左侧肢体无力伴言语不清2周”入院
·右侧大脑中动脉单纯球囊扩张+前交通动脉瘤栓塞术


04
·男,43岁
·主诉:左侧肢体活动不利1月余
·既往病史: 糖尿病10余年


DSA:右侧MCA闭塞

3m DSA再狭窄 球囊扩张+支架植入术

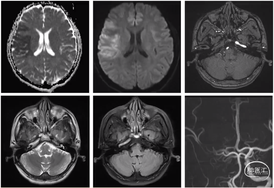
05 血液高凝状态
·女,31岁,突发头晕2天入院
·既往“缺铁性贫血、溃疡性结肠炎”病史


CT

MRI

双联抗血小板治疗后复查DSA
Moyamoya病(MMD)
·ICA末端进展性对称性的狭窄或闭塞,伴有代偿性“烟雾病”血管形成
·诊断标准:
-DSA
-MR
-高分辨血管壁成像(HR-VWI),提示血管壁环形增厚,血管成负性重构,增强扫描可见
·临床表现:
-儿童(缺血性卒中)
-成人(缺血/出血性卒中)

环形增厚的大脑中动脉起始段
病例示例
患者女,40岁,反复头痛


烟雾病与烟雾综合征


颈动脉蹼
·颈动脉蹼是一种薄的,板状的结缔组织突出,最典型的位于颈动脉球后壁。
·目前认为是局灶性结缔组织增生,而不是动脉粥样硬化性的
·动脉栓寨性卒中的一个原因:颈动脉蹼的后方血流缓慢,导致血栓形成继而引发栓塞
·抗凝而非抗血小板治疗


脑血管炎
·主要病理改变是动脉壁炎症浸润和坏死,临床表现复杂多样,病因繁复,可视为一组疾病的总称。
-免疫性:内皮细胞免疫复合物沉积致使血管损伤有关
-感染性:病原体直接侵犯血管导致管壁炎症细胞浸润、坏死
脑血管炎分类
1、原发性中枢神经系统血管炎
2、继发性中枢神经系统血管炎:
(1)感染性疾病所致脑血管炎(梅毒、结核、钩端螺旋体病、获得性免疫缺陷综合征、莱姆病等)。
(2)免疫相关性脑血管炎:
①多发性大动脉炎;
②巨细胞动脉炎(颞动脉炎):
③结节性多动脉炎:
④系统性红斑狼疮性脑血管炎;
⑤其他(抗磷脂抗体综合征、干燥综合征、白塞病等)。
(3)其他(药物、肿瘤、放射性损伤等)。
Takayasu's 动脉炎
·大动脉炎(Takayasu arteritis)是指主动脉及其主要分支的慢性进行性非特异性炎症,导致节段性动脉管腔狭窄和闭塞,并可继发血栓形成
·东方人和女性常见,国人发病率高
·病理改变:全层动脉炎,常呈节段性内膜增厚,动脉壁有慢性炎症伴淋巴细胞浸润,最终导致管腔狭窄、闭塞
·临床可表现为TIA、脑梗塞、腔隙梗塞、分水岭梗塞。

大动脉炎诊断标准

确诊需要满足上述的3项,3项以上的诊断标准敏感度达到90.5%,特异性97.8%。
病例示例
患者女性,22岁,因左眼视力进行性下降,右侧肢体无力进行性加重1个月入院。患者仅能平卧,左眼无光感,右侧肢体肌力四级(宣武医院病例)


术中可以看到动脉中膜和内膜长到了一起,外膜也明显增厚,整个动脉管壁均匀增厚变白,管腔还在,但很细,腔内还有白色质韧的结缔组织,连有少许陈旧血栓。
青年卒中病因复杂繁多
可粗略分为两大类。
·第一大类:动脉硬化性脑血管病
-随年龄增长发病率增加
-传统的危险因素在青年人群中普遍提前
-青年卒中的首位原因
·第二大类:非动脉硬化性血管病,可细分为以下几类:
一 夹层或血管损伤
二 心源性栓塞
三 脑血管畸形或先天发育异常
四 凝血机能亢进或出现异常成分
五 血管炎(感染性或炎症性)
六 血管炎(非感染性或炎症性)
七 遗传性血管病
八 其他原因:偏头痛/避孕药等
青年卒中病因诊断
·首先找常见病因
-动脉粥样硬化(大血管、小血管)
-心源性栓塞
-夹层
-血管炎
·有无相关危险因素?
-代谢综合征:空腹血糖、糖耐量实验;血脂;血压;血液流变:凝血;肥胖、BMI、阳性家族史、不良饮食习惯;
-吸烟、饮酒
-滥用药物
·根据患者发病症状,开阔思路,大胆思维,找非常见的原因:
-波动进展主干病,频繁刻板穿支病,一枪撂倒是心栓,千变万化是动栓
青年卒中的预后

·15527例青年卒中患者(1998-2010),随访至2017
·累计死亡3540人,其中1776人中风后30天内死亡
·1年累积死亡率3.1%,5年7%,10年11.50%,15年17%

-30天的幸存者中,共有1764名(13.1%)患者在随访期间死亡
-267名(15.1%)死于复发性卒中或与卒中相关
-302名(17.1%)死于心血管疾病
-577名(32.7%)死于恶性肿瘤
-其余患者(n=617,34.9%)死于感染、创伤和其他原因

讲者简介
文立利 教授
南京医科大学附属逸夫医院
·副主任医师,医学博士,博士后
·南京医科大学附属逸夫医院神经外科副主任,卒中中心执行主任,卒中中心病区主任
·江苏省医学会脑卒中分会青年委员
·江苏省医学会介入医学分会青年委员
·江苏省医学会神经外科学分会神经介入学组秘书
·江苏省卒中学会出血性脑血管病专委会委员等职务
·擅长脑血管病的介入以及手术治疗和神经重症管理
·多次在国内大型会议上进行手术教学直播
·获江苏省医学科技进步奖一项,军队科学技术进步奖一项
·在国内外期刊发表论文十余篇,主持及参与国家级和省级课题四项,参编专著多部
声明:脑医汇旗下神外资讯、神介资讯、神内资讯、脑医咨询、Ai Brain 所发表内容之知识产权为脑医汇及主办方、原作者等相关权利人所有。




