导语
血流导向密网支架的出现
对于一些难治动脉瘤、复发动脉瘤
是最好的治疗方案
Surpass Evolve
使用简单、导流卓越、极致贴壁
为医生提供FDS有力武器
史赛克与中国医生一起
提供全面微创卒中解决方案
致力改善患者的临床预后
术者简介
赵开军
同济大学附属东方医院
博士,博士后,副主任医师,研究生导师
同济大学附属东方医院神经外科副主任、主诊医师(原为长海医院脑血管病中心主诊医师)、血管组组长、东方医院南院神外执行主任、东方医院国家神经介入建设中心负责人
上海市神经介入医师专委会委员
上海市浦东新区医学会神经外科专委会常委兼秘书
上海市浦东新区神经外科专委会脑血管病介入治疗学组组长
OCIN高级讲师,OCIN CASES执行主编
专业方向:脑血管病。博士师从上海交通大学附属瑞金医院神经外科沈建康教授,博士后师从海军军医大学附属长海医院脑血管病中心刘建民教授
上海市和国家科技库专家、国家执业医师考试主考官,通过国家专科医师规范化培训师资考核(中国医师协会)
担任Stroke、European Journal of Radiology、Neuroradiology、Journal of neurology and Neurosurgery、Interventional Neuroradiology、Journal of clinical neuroscience、Emergency Medicine、Journal of Oncology等多家国外杂志审稿人
多次在国内外学术大会上进行学术交流和参加手术演示
以长海医院介入团队参与人身份先后获上海市科学技术成果奖、科学技术进步一等奖和上海市科学技术奖个人证书
主持/参加军队和地方各类课题10余项,在研临床课题3项
参编脑防委介入治疗适宜技术、脑血管病介入治疗操作规范、颅内动脉瘤介入治疗学等专著。以第一/共同第一作者、通讯作者发表SCI论文16篇,在投SCI 2篇
专业特长:擅长各种复杂颅内外动脉瘤、夹层动脉瘤、椎基底动脉冗扩、脑血管畸形、颈动脉海绵窦瘘、硬脑膜和硬脊膜动静脉瘘、颅内外血管狭窄、颅内静脉和静脉窦血栓、烟雾病、急性脑血管卒中、蛛网膜下腔出血、脑梗塞、颅内外血管慢性闭塞(开通术)等脑血管病的治疗
马继强
同济大学附属东方医院
上海市东方医院神经外科
主治医师,在职博士
发表SCI及中文核心期刊4篇
擅长脑血管病、脑肿瘤,脑出血及脑外伤等神经重症患者的救治
前言
血流导向装置的出现提高了治疗颅内复杂病变的能力,诸如多发串联动脉瘤、大型/巨大型动脉瘤、血泡样动脉瘤、夹层动脉瘤等。在这里,我们采用新型血流导向装置Surpass Evolve成功治疗了两例复杂动脉瘤,一例为多发串联动脉瘤合并大圆锥,一例为复发大动脉瘤。现报道病例介绍如下。
病例一 颅内多发动脉瘤合并后交通动脉大圆锥
患者基本信息
患者:女性,62岁。
主诉:发现颅内动脉瘤1月余。
现病史:患者1月前查出颅内多发动脉瘤。先行右侧眼动脉段动脉瘤(不规则)支架辅助栓塞,术后恢复良好。为进一步处理左侧颈内动脉颅内段多发动脉瘤(眼动脉段、床突旁),再次住院。
既往史:无高血压和糖尿病病史。
手术器械:
6F 股鞘
180cm 泥鳅导丝
5F 125cm MPA
6F 105cm DA
XT-27
Surpass Evolve 4.0*25
手术过程:
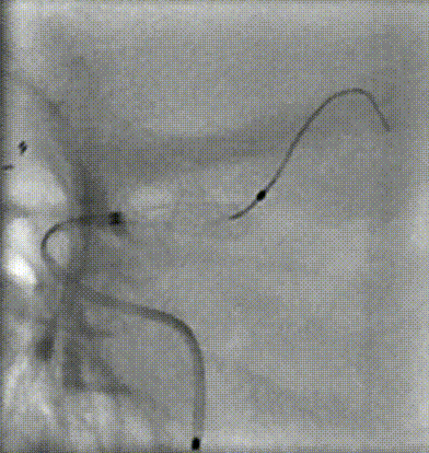
1、造影所见
左侧颈内动脉颅内段多发动脉瘤,一个位于眼动脉段的侧壁,一个位于床突旁,另外可见后交通动脉起始部大圆锥。载瘤动脉远近端直径分别为3.31mm和4.55mm。
2、具体步骤
全麻成功,6F Envoy DA预置到左侧颈内动脉海绵窦段,XT-27预置到左侧M1段,采用pull-push技术释放Surpass Evolve 4/25mm血流导向装置,保证迂曲部位充分打开,远端覆盖后交通动脉大圆锥,近端跨过眼动脉的近端,J型导丝给与按摩,支架全程贴壁良好。
数据测量



支架的形态以及与血管的关系

病例二 复发的胚胎型大脑后动脉瘤
患者基本信息
患者:女性,57岁。
主诉:颅内动脉瘤血管内栓塞术后1年。
现病史:患者2022.01.02因"突发头痛3小时"至我院就诊,急诊行全脑血管造影术+颅内动脉瘤血管内栓塞术+右侧脑室外引流术,诊断:左侧胚胎型大脑后动脉瘤(破裂);脑室积血。术后予以对症支持治疗,两个月后给与Enterprise支架植入,支架植入术后一年造影复查发现动脉瘤复发,决定进一步治疗。
既往史:高血脂病史。否认高血压、糖尿病、冠心病、消化性溃疡、慢性支气管炎、哮喘、痛风、慢性肾炎等其他慢性疾病。
手术器械:
6F 股鞘
180cm 泥鳅导丝
5F 125cm MPA
6F 105cm DA
XT-27
Surpass Evolve 4.0*25
手术步骤:
1、造影所见
术中造影证实左侧胚胎型大脑后动脉复发,复发范围大约3.42mm*4.77mm。
2、具体步骤
Envoy DA 预置到左侧颈内动脉海绵窦段,支架微导管到位后,将大小合适的Surpass Evolve释放,全程基本覆盖原支架全长,贴壁良好。
释放支架前段
释放支架后段
Evolve支架完全释放和按摩

导丝按摩
术后即刻
小结
颅内串联多发动脉瘤和复发动脉瘤的治疗是有挑战性的。血流导向装置的出现为治疗这类复杂的颅内病变提供了一个好的选择。在这,采用Surpass Evolve血流导向装置成功治疗了两例复杂的颅内动脉瘤。在治疗的过程中,血流导向装置输送到位容易、全程透视显影清晰、打开贴壁良好。
在第一例患者中,由于血管弯曲迂回明显,Evolve释放过程中,在弯曲的部位我们仍然采用了Pull-Push技术来保证支架的充分打开,血流导向装置完全释放后,仍然采用J型导丝进行支架内按摩,促进血流导向装置良好贴壁。
在第二例患者中,为了防治Evolve释放过程中头段导丝的移位,导丝头端体外我们提前进行了预塑型,这对于减少术中小血管的意外损伤是有帮助的。
点击或扫描上方二维码
查看更多“介入”内容