《Advances in Experimental and Medicine Biology》 2023年7月刊载(1405:175-223.)意大利Santobono-Pausilipon Children's Hospital的Pietro Spennato , Lucia De Martino , Carmela Russo , 等撰写的《脉络膜丛肿瘤和其他脑室肿瘤。Tumors of Choroid Plexus and Other Ventricular Tumors》(doi: 10.1007/978-3-031-23705-8_7.)。

脑室系统内肿瘤罕见,但诊断和治疗困难。它们通常在体积较大时被诊断出来,并往往影响幼儿。在解剖学方面和肿瘤类型方面有显著的变异性,有广泛的鉴别诊断。肿瘤类型的鉴别诊断包括脉络膜丛肿瘤(乳头状瘤和癌)、室管膜瘤、室管膜下瘤、室管膜下巨细胞星形细胞瘤(SEGAs)、中枢神经细胞瘤、脑膜瘤和转移瘤[choroid plexus tumors (papillomas and carcinomas), ependymomas, subependymomas, subependymal giant cell astrocytomas (SEGAs), central neurocytomas, meningiomas, and metastases. ]。
脉络膜丛肿瘤、后颅窝室管膜瘤和室管膜下巨细胞星形细胞瘤(SEGAs)多见于儿童,而室管膜下瘤、中枢神经细胞瘤、脑室内脑膜瘤和转移瘤则多见于成人。这一章主要集中在脉络膜丛肿瘤和影像学和组织学鉴别诊断。根据脑肿瘤的遗传学和表观遗传学的现代习得( the modern acquisition)来讨论治疗。
7.1背景与流行病学
脑室系统内肿瘤罕见,但诊断和治疗困难。它们通常在体积较大时被诊断出来,并往往影响幼儿。在解剖学方面和肿瘤类型方面有显著的变异性,有广泛的鉴别诊断。它们可以起源于形成脑室壁的所有结构,特别是室管膜、脉络膜丛和透明隔(the ependyma, choroid plexus, and septum pellucidum.)。此外,一些起源于脑室周围结构(如丘脑或视路)的肿瘤可能膨出进入脑室系统。鉴别诊断的肿瘤类型包括脉络膜丛肿瘤(乳头状瘤和癌)、室管膜瘤、室管膜下瘤、室管膜下巨细胞星形细胞瘤(SEGAs)、中枢神经细胞瘤、脑膜瘤和转移瘤[ choroid plexus tumors (papillomas and carcinomas), ependymomas, subependymomas, subependymal giant cell astrocytomas (SEGAs), central neurocytomas, meningiomas, and metastases]。脉络膜丛肿瘤、后颅窝室管膜瘤和SEGAs更可能在儿童中出现,而室管膜下瘤、中枢神经细胞瘤、脑室内脑膜瘤和转移瘤在成人中更常见
脉络膜丛肿瘤(Choroid plexus tumors ,CPTs))是一种罕见的起源于脉络膜丛的高度血管化肿瘤。脉络膜丛位于脑室系统内部并与脑室壁相连。典型的呈分叶状“菜花状”结构[lobulated, “cauliflower-like” structure](图7.1),中央高度血管化的基质被神经外胚层来源的细胞包围(with a central highly vascularized stroma surrounded by neuroectodermderived cells)。脉络膜丛具有产生脑脊液(CSF)、维持血- CSF屏障、分泌生长因子等多种功能。与具有紧密连接的相邻脉络膜丛上皮细胞相反,有孔的脉络膜丛毛细血管内皮细胞允许小分子通过窗孔自由运动(the fenestrated endothelial cell of the choroid plexus capillaries allows free movement of small molecules through the fenestration)。

图7.1室间孔水平脉络膜丛的内镜视图,a(见第三脑室肿瘤患者),以及b三角区水平脉络膜丛的典型菜花状外观和红色。
脉络膜丛分布于所有的脑室腔(图7.2)。脑室壁和脉络膜丛之间有紧密的连接,通过这种连接,血管袢进入脉络膜丛的上皮。脉络膜丛附着于脑室壁形成脉络膜丛带绦虫,呈线状分布于脑室壁。脉络膜丛的其他部分在脑脊液内自由活动(Morota等人2015年)(图7.1)。

图7.2在脑室系统内的脉络膜丛位置(t1加权对比增强磁共振图像)。它围绕着侧脑室的丘脑(a);附着于第三脑室顶部,在室间孔后方(b-c);它附着于第四脑室顶部的下半部(d),并向第四脑室的侧隐窝(e)横向延伸。
CPT包括脉络膜丛癌(choroid plexus carcinoma,CPC,WHO 3级),脉络膜丛乳头状瘤(CPP, WHO 1级)占CPTs的65-75%,以及一种名为不典型脉络膜丛乳头状瘤(choroid plexus carcinoma,aCPP, WHO 2级)的中间形式。CPT罕见:其患病率为0.3 / 100万。它们仅占所有CNS肿瘤的0.2%,但在儿童年龄中相对更常见(高达2%的CNS肿瘤),在5岁以下的儿童(占所有CNS肿瘤的5%)和1岁以内的儿童中甚至更多(占所有肿瘤的12-20%)。CPT占产前诊断的致死性脑瘤的7.9% 。中位发病年龄为3.5岁,20%的患者出现在出生后的第一年中,几乎50% 出现在出生后的头十年。CPPs在所有儿童年龄组中分布较均匀,但绝大多数CPPs发生于非常年幼的儿童(通常为3岁以下儿童)。在最近的一项研究中,Dudley等人分析了SEER数据库(国家癌症研究所的监测、流行病学和最终结果[National Cancer Institute’s Surveillance, Epidemiology and End Results)]),该数据库包含了超过四分之一的美国人口的数据。他们在0 - 19岁的患者中发现了202例CPTs: 107例CPPs(2004-2010)和95例CPCs(1978-2010)。在5岁之前诊断出的肿瘤百分比中,癌(75%)高于乳头状瘤(48%)。两种组织学类型均多见于男性(65%的CPC和57%的CPP)。肿瘤的位置与患者的年龄相关:最常见的是在幼儿的侧脑室和在成人的第四脑室。当将恶性肿瘤与部位联系起来时,侧脑室的CPCs更常见。超过10%的患者表现为转移性疾病。转移主要发生在脑脊液途径,即使已经报道了其他部位,原发部位包括腹部、骨和肺。脉络膜丛肿瘤,尤其是癌症,在癌症易感综合征(cancer-predisposing syndrome)(如Li-Fraumeni综合征)患者中更为常见【译者注:李-佛美尼综合症,LFS,是一种常染色体显性的,非常罕见,可变外显性的癌症易感性综合征。也被称为肉瘤、乳腺癌、白血病和肾上腺(Sarcoma, Breast, Leukemia, and Adrenal Gland, SBLA)癌综合征。该综合征患者从儿童时期开始就具有非常高的癌症风险,一生具有患多种原发性恶性肿瘤的风险。该综合征主要与TP53胚系突变相关,尤其是TP53的LOF(Loss of function)和DNE(Dominant-negative effects)突变。)】。
7.2遗传学、免疫学和分子生物学
7.2.1脉络膜丛肿瘤的遗传学
大多数CPTs是散发性,然而,CPCs与LiFraumeni综合征(LFS)强相关,LFS是一种由TP53肿瘤抑制基因的种系突变引起的经典癌症易感性疾病。
在CPC患者中,TP53种系突变的频率从26% 到44% 不等。很少见的有原发性嵌合的病例(constitutional mosaicism)也被记录到。
作为起始效应的结果(As a consequence of the founder effect),巴西南部多达63%的CPC患者显示P53种系突变(p.R337H)。
对包含64个CPTs的队列进行的Sanger测序显示,50%的CPCs有体细胞TP53突变,但只有5%的CPPs有体细胞TP53突变,而其他研究报告的CPC体细胞TP53突变率略低(36%)或较高(60%)。在总体生存期(OS)和无事件生存期(EFS)方面,伴体细胞TP53突变的CPC患者表现出更严重的结局。此外,结合TP53测序结果和17号染色体的等位基因特异性拷贝数状态,较高的突变TP53拷贝数与较差的结局相关。因此,在临床环境中,TP53突变状态可能支持对CPCs进行风险分层,并且应获取准确的家族史,以排除LiFraumeni综合征。与CPTs相关的其他罕见遗传病包括Aicardi综合征【译者注;Aicardi综合征是一种与遗传有关的疾病,仅见于女性.迄今已有近200例报道.该综合征有三大特征:婴儿痉挛症,特异性的视网膜脉络膜丛病和胼胝体发育不全.此外,常伴有其他的先天畸形,如椎骨肋骨的异常.该患儿严重影响生长发育,智力低下,运动障碍,予后不良。】;以胼胝体发育不全、视网膜脉络膜丛缺损、婴儿痉挛症和高风险发展(有时多灶性)CPPs为特征的x连锁遗传病[X-linked genetic disorder characterized by agenesis of the corpus callosum, chorioretinal lacunae, infantile spasms, and high risk of developing (sometimes multifocal) CPPs.]。CPP病例也见于有易位的Ito色素减少症(X;17) 和有MSH6突变的Lynch综合征(遗传性非息肉性结直肠癌)一家系的CPC 。也有其他关于CPPs家族聚集性的报道。克隆染色体22q11.2断裂区域发现SNF5 (INI/SMARCB1)基因缺失,SNF5基因是SWI/SNF([switch/sucrose nonfermentable])ATP依赖的染色质重塑复合物的成员。当发生在中枢神经系统时,这些患者易发生恶性横纹肌样瘤(malignant rhabdoid tumors)。然而,hSNF5/INI1突变也与CPCs相关。最近,全外显子组测序(whole exome sequencing,WES)发现了两例CPC患者的同源重组缺陷(homologous recombination deficiency,HRD)、间充质上皮转化(MET)扩增[amplification of mesenchymal–epithelial transition]和视网膜母细胞瘤易感基因缺失(loss of retinoblastoma susceptibility gene)。最近,Taher等对aCPP进行了二代测序(NGS)分析,在以下基因中发现了12种新的错义突变:NOTCH1、ATM、STK36、MAGI1、DST、RECQL4、NUMA1、THBS1、MYH11、MALT1、SMARCA4和CDH20 。Oliveira等研究了包括CPT在内的一个儿童肿瘤队列中H3F3A K27M和G34R/V突变的发生情况,未检测到H3F3A/ K27M突变。
在结构层面,CPT以染色体不平衡程度升高为特征。早期细胞遗传学分析显示CPPs有超二倍体染色体组,主要是CPCs中的亚二倍体基因组。通过比较基因组杂交(loss of retinoblastoma susceptibility gene,CGH)阵列, Rickert等通过临床随访证实了34例CPPs和15例CPPs的染色体不平衡,观察到染色体9p获得和染色体10q丢失的患者生存时间更长。在最近一项包括26个CPCs的研究中,多变量分析显示,染色体12q缺失与较短的生存期显著相关。涉及更大队列的其他研究证实,CPPs和aCPPs主要以全染色体获得为特征,而CPCs主要显示染色体丢失。最近,对所有先天性CNS肿瘤(1990—2019年的手术和尸检标本)(包括8例CPT )进行的一项机构综述发现,在1例NGS检测出的CPP患者中,染色体1p部分缺失,而染色体2、7、12、13全染色体获得:。
有趣的是,Merino等将CPCs分为两个不同的亚二倍体和超二倍体CPCs(f hypo- and hyperdiploid CPCs),等位基因特异性分析指出,大多数超二倍体CPCs的特征是数条染色体的获得性单亲二倍体(aUPD),其中17号染色体(17p13.1上包含TP53)最受这种修饰的影响。总之,在CPT中经常发生染色体不平衡,但仍有待研究的是,所有这些改变是否都是肿瘤驱动事件,或者更确切地说,代表了肿瘤生长和进展期间的乘客效应(a passenger effect)。
在基因表达水平上,无监督聚类(unsupervised clustering)肯定会将CPC从CPP和aCPP中分离出来。在婴儿中,基于拷贝数分析、DNA甲基化和基因表达标签,CPP和aCPP具有分子相似性,但aCPP在新生儿中出现的频率和增殖活性更高,提示在这个年龄,aCPP可能代表CPP的未成熟变异型,而不是一个独立的实体。鉴于aCPP仅与年长儿童(≥3岁)和成人的复发相关,解释aCPP中这种年龄依赖性预后差异的潜在生物学因素仍有待确定。
7.2.2脉络膜丛肿瘤的表观遗传学特征
包括DNA甲基化变异在内的表观遗传失调是肿瘤发生和维持的重要因素。此外,小基因组区域DNA甲基化的特异性变化可以被认为是强大的预后和预测生物标志物。
不同的是,整体DNA甲基化改变是由于广泛的体细胞获得性变化,同时保留反映细胞起源的特征。在这种情况下,基于DNA甲基化的肿瘤分类对诊断准确性有重大影响,并有助于确定有临床意义的亚组。Merino等人证明,儿童CPPs和aCPPs在DNA甲基化特征上与大多数CPCs不同。
Thomas等利用92例儿童和成人CPT(29例CPPs、32例aCPPs和31例CPCs)的甲基化谱分析结果确定了三个表观遗传学不同且具有临床意义的亚组:甲基化簇1(儿童CPP和主要位于幕上的aCPP)和甲基化簇2(成人CPP和主要位于幕下的aCPP),肿瘤进展风险低,预后良好;甲基化簇3(儿童CPP、aCPP和位于幕上的CPC),肿瘤进展风险高,预后较差。
重要的是,44%(14/32)和17%(5/29)的CPPs与CPCs具有表观遗传相似性,并与甲基化簇3聚在一起。在将WHO分级、年龄、肿瘤位置、拷贝数改变和p53状态作为辅助因素的多变量分析中,WHO分级(而不是甲基化聚集)被检测出是OS的唯一独立预测因素,而WHO分级和p53状态是PFS的唯一预测因素。根据WHO分级对甲基化聚类的预后性能进行研究发现,所有aCPPs均出现在甲基化聚类3,而低危聚类1和低危聚类2的aCPPs均未复发。DNA甲基化分析正在成为常规神经肿瘤诊断的一部分,并且可以作为一个基于网络的平台(www。molecularneuropathology.org)。
在脉络膜丛肿瘤的CNS肿瘤甲基化分类中,儿童亚类A和B分别代表甲基化簇1和甲基化簇3,而神经丛肿瘤的亚类成人代表甲基化簇2。此外,CPP和aCPP可以在所有三个甲基化组中检测到,而CPC病例与甲基化亚类儿科(pediatric) B相关,这表明这种分类缺乏CPCs的额外分子层。最近,Pienkowska等在CPTs中生成了全基因组DNA图谱,以确定表观遗传改变和特定表型之间的相关性。他们发现与CPPs或aCPPs相比,cps中有显著的全基因组高甲基化,但在CPPs和aCPPs之间没有发现差异。他们得出结论,DNA分析可以区分严重和进袭性CPTs与良性CPTs。然而,在将该结果应用于临床之前,还需要更大的队列研究进行更多的研究。
大量研究表明,微小RNA(miRNA)可能在调节癌症的发生和发展中发挥重要作用。Redshaw等发现miR-449是脉络膜丛发育和功能的重要调节因子,提示其失调可能与肿瘤发生相关,但其对肿瘤发生的贡献需要更好的探索。最近,伴CPT的Li-Fraumeni综合征患者接受了CPT的全基因组DNA甲基化分析,显示高甲基化的miR-34a与癌症易感性相关。
最近,Granberg等在1 / 3的研究CPT中检测到成纤维细胞生长因子受体(FGFR)1或FGFR3中度表达。对FGFR3中度至强表达的CPC和aCPP进行的靶向测序显示,FGFR1或FGFR3均缺乏可改变蛋白质的突变或融合,但两种肿瘤的TP53均发生改变。FGFR信号通路异常与多种人类良恶性肿瘤密切相关。对更大患者队列的进一步研究对于确定FGFR1和FGFR3表达在CPTs中的临床意义至关重要。
7.2.3环境暴露
CPTs代表了病毒诱发脑肿瘤的模型。猕猴病毒40 (simian virus 40,SV40)是自然感染亚洲猕猴的病毒,多项证据表明SV40可促进脉络膜丛肿瘤的发生。该病毒能够在体外使人脉络膜丛细胞发生突变,并在仓鼠和小鼠(hamsters and mice)中产生CPT。携带SV40大T抗原基因的转基因小鼠在80 - 90天内出现CPPs 。这些转基因小鼠的肿瘤是局部发展的,但如果T抗原在不同病毒的控制下,增殖将是一致的。
在SV40病毒中,T抗原足以诱发肿瘤,而SV40增强子(72-碱基对重复区)在将肿瘤定向至脉络膜丛方面具有重要作用。病毒的T抗原结合肿瘤抑制基因,例如视网膜母细胞瘤蛋白(pRB) 和p53 。然而,随后的流行病学研究表明,SV40序列仅在接种了被病毒污染的脊髓灰质炎疫苗的人群中检出,这提示这一观察结果只是有利于病毒复制的肿瘤微环境的结果。此外,在暴露于受污染疫苗的人群中,脑肿瘤的发病率相似,进一步驳斥了任何因果关系。
7.2.4临床前研究
TP53的基因突变使人类易于发生CPC,而PTEN和Rb功能的丧失可诱导小鼠发生CPC 。Tong等改良了CPC小鼠模型中TP53、RB和PTEN的表达,外显率为38%。这显著支持了肿瘤的致瘤性,并且该小鼠CPC模型再现了人类CPC的形态。CPCs常获得1号染色体。Tong等人发现了小鼠CPC生长早期获得的染色体1p片段增加,该片段包含三个癌基因——taf12、NFYC和RAD54L,这些癌基因代表了DNA代谢的关键调节因子。促进增殖和未分化状态的TAF12、NFYC和RAD54L的获得可能代表了人类的治疗靶点。具有Notch和Sonic Hedgehog (Shh)信号的单纤毛CP上皮似乎是CPTs的祖细胞。使用动物模型,Li等证明持续的Notch1信号传导会导致CPT的发展。祖细胞的多纤毛和上皮分化被Notch通路抑制,从而保持基于纤毛生成的Shh信号。明确Notch-Shh通路在CPTs生长中的作用对于确定治疗性抑制Notch-Shh通路至关重要。Krzyzankova等和Prasad等表明,包括多柔比星、卡铂、长春新碱、替莫唑胺(doxorubicin, carboplatin, vincristine, temozolomide,)和依托泊苷(etoposide),在内的多种化疗药物的生长抑制活性显著削弱了TP53的静默,但甲氨蝶呤(methotrexate)则没有。CPC治疗是基于这些药物的相关性;然而,TP53突变的CPC患者预后较差,预后不良。p53异常引起化疗耐药的机制可能与凋亡的失调有关,伴随促凋亡基因的减少和抗凋亡基因的增加。血小板源性生长因子(Platelet-derived growth factor,PDGF)信号通路在不同类型肿瘤的肿瘤生长、血管生成和间质募集中起关键作用。PDGF受体(PDGFR)亚型ɑ和β在所有CPTs中都有表达,但在CPCs中受体磷酸化的增加仅限于PDGFR-β。在永生化CP上皮细胞系(Z310)中,PDGFR-β和PDGF-BB的表达表现出时间和剂量依赖性增殖反应,这被伊马替尼(PDGFR抑制剂)抑制。PDGFR-β在CPC的发生发展中发挥重要作用,有望成为治疗的潜在分子靶点。
7.3组织病理学和形态学
在组织学上,CPT代表了从高分化肿瘤到高进袭性癌的一系列肿瘤。根据现行世界卫生组织(WHO)将其分为乳头状瘤(I级)、不典型乳头状瘤(II级)和癌(III级);分类是基于结构(保留乳头模式)、细胞密度、细胞学(核多形性程度)、有丝分裂和坏死。
7.3.1大体病理
脉络膜丛乳头状瘤是边界清楚的菜花状肿块,通常与下层脑实质界限清楚;肿瘤通常柔软、脆弱,呈红棕色或粉红色( red-brown or pink),表面有圆点(stippled surfaces),与乳头状微观结构相关;可见钙化、囊肿和壁内出血。
脉络膜丛癌是侵袭脑室周围脑实质的实性肿块。出血和坏死常见。
7.3.2组织学
7.3.2.1脉络膜丛乳头状瘤(Choroid Plexus Papilloma)
大多数CPPs的显微镜下特征与正常脉络膜丛相似,但细胞更浓集(more cellular crowding)(图7.3);它们的特征是乳头状纤维血管投射,内衬立方到柱状上皮,不同程度的假复层(图7.3b);细胞核单调、淡色,胞质丰富、嗜酸性、空泡化或透明。有丝分裂不常见,很少发现坏死或丧失乳头状结构。部分病例出现黑色素和钙化(Melanin pigment and calcifications)(图7.3c)。


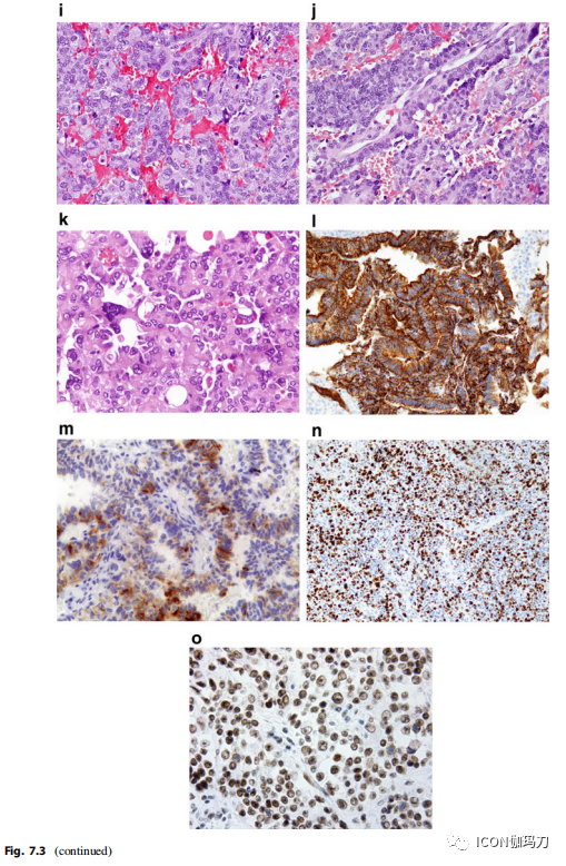
图7.3脉络膜丛肿瘤的组织学特征。a-c脉络膜丛乳头状瘤(HE染色)。乳头状结构是脉络膜丛乳头状瘤的特征,比正常脉络膜丛的乳头状瘤更不规则和复杂(a)。指状乳头结构由单层立方或柱状上皮(b)组成。细胞保持极性,具有基底的、圆形的细胞核和顶端嗜酸性的细胞质。钙化性结石并不少见(c)。d - f:不典型脉络膜丛乳头状瘤(HE染色):细胞聚集,假复层,核分裂象(箭头)(d);结构更加复杂,乳头结构局部模糊(e);除核拥挤外,可见局灶性坏死(f)。g-k:脉络膜丛癌(HE染色)。一些脉络膜丛癌以乳头状和实性排列为特征(g);以及具有高细胞密度的实性片层(h),不同程度的细胞多形性(i),几个有丝分裂象(j),在多形性的、细胞质丰富的区域(k)可观察到透明球。l-n:脉络膜丛癌的免疫组织化学。免疫组织化学染色CKAE1/AE3 (l),局灶性突触素反应性(m),活跃增殖指数Ki67 (n). o: INI1的细胞核表达有助于鉴别CPC和ATTR。
有时,乳头状瘤可能表现为嗜酸细胞改变、类似印戒细胞的细胞质空泡化、管状腺结构、局灶性室管膜分化或神经毡样岛(Melanin pigment and calcififications )。也有报道黄色瘤和黏液特征,还有退行性血管瘤样血管增加和骨性、软骨性或脂肪化生(Xanthomatous and mucinous features have also been reported, as well as degenerative angioma-like vascular increase and osseous, cartilaginous, or adipose metaplasia)。
7.3.2.2不典型乳头状瘤( Atypical Papilloma)
这些肿瘤具有与乳头状瘤相同的特征,但存在核分裂象(≥2个/ 10高倍视野);此外,可以看到更多的聚集、细胞增生和中度的核多形性(图7.3d)。有时可以观察到乳头模式模糊(图7.3e),以及复杂的结构变化,包括筛状和吻合的乳头结构(图7.3f)。
7.3.2.3脉络膜丛癌(Choroid Plexus Carcinoma)
CPCs明显是恶性肿瘤,具有不同的乳头形态和实性排列(图7.3g);根据2016年WHO标准,它们必须至少具有以下五种特征中的四种:有丝分裂活性升高(通常每10个高倍视野中有>5个)、细胞增生、核多形性、有片状肿瘤细胞的实性生长和坏死(图7.3h-j)。常发现邻近脑实质受到侵袭。
这些肿瘤具有明显的形态学异质性。肿瘤细胞在大小、外观和间变程度上可能有明显差异。我们可以检测到核质比高的小细胞,以及偶发横纹肌样特征(如偏心、囊泡和有核)的大多形性成分和丰富的嗜酸性细胞质(图7.3j)。在显著的多形性区域可发现嗜酸性小球(图7.3k)。
7.3.3免疫组织化学
几乎所有脉络膜丛肿瘤都表达细胞角蛋白(图7.31)(pank和CK7)和波形蛋白,而S100蛋白、胶质纤维酸性蛋白(GFAP)和甲状腺素转运蛋白的染色变化较大,CPP的阳性染色较一致。在某些情况下,突触素可能呈阳性(图7.3m)。EMA和CEA通常为阴性。MIB-1 (Ki67)增殖指数在脉络膜丛癌中通常是活跃的(10 - 15%)(图7.2 n),而在CPP中约为1-2%,在ACPP中约为5-10% ;大多数癌细胞核P53阳性。
7.3.4鉴别诊断
7.3.4.1绒毛肥大的脉络膜丛(Choroid Plexus with Villous Hypertrophy)
CPPs与正常脉络膜丛和绒毛肥大(normal choroid plexus and villous hypertrophy)难以区分。Ki67标志物极低,结合细胞形态学特征(具有鹅卵石样外观的规则、不聚集的细胞[regular, uncrowded cells with cobblestone appearance])应识别非肿瘤性病变。
7.3.4.2室管膜瘤
乳头状室管膜瘤在结构上与CPP相似,但有血管周围的无核突和假菊形团;免疫组织化学染色EMA呈特征性点状阳性。CPC可能类似于间变性室管膜瘤;室管膜菊形团和血管周围假菊形团缺乏、微血管增生缺失、CK染色强有利于脉络膜丛肿瘤的诊断。
7.3.4.3生殖细胞肿瘤
胚胎癌和卵黄囊瘤等肿瘤与CPC相似(特别是有透明球的肿瘤),但它们的特征性免疫反应为胎盘碱性磷酸酶(PLAP)和SALL4。
7.3.4.4 AT/ TR(不典型畸胎样/横纹肌样瘤)
不典型畸胎样/横纹肌样瘤(Atypical teratoid/rhabdoid tumors)与具有横纹肌样形态的低分化CPCs的鉴别可能具有一定的挑战性;然而,INI1 (BAF-47)核染色的缺失(AT/TR的典型特征)可靠地鉴别了这些肿瘤(图7.3o)。
7.3.4.5脑室内脑膜瘤
螺旋形、囊泡状核、合胞质以及EMA阳性有助于鉴别脑室内脑膜瘤和CPP。
7.3.4.6转移瘤
CPP必须与乳头状或实性转移癌相鉴别;虽然CKs在这种情况下没有帮助,但甲状腺素运载蛋白、S100、GFAP和/或突触素阳性的显示可能有助于识别脉络膜丛肿瘤。在某些情况下可能需要额外的免疫组织化学染色,如TTF1+(肺腺癌)、PAX8、CAIX+(肾透明细胞癌)等。
7.4影像学和影像组学特征
典型的CPT表现为脑室内分叶状肿块,呈密集海藻样模式(frond-like pattern),增强后呈菜花样外观(图1)。7.4和7.5)。CPPs通常是轮廓清晰的肿块,而CPPs多次通过脑室室管膜侵袭邻近的大脑。然而,三种原发性脉络膜丛肿瘤的影像学特征可能重叠,因此根据传统的影像学表现常常无法鉴别CPCs与ACPPs和CPP。脑实质内存在坏死、不均匀强化、囊性成分及大面积脑水肿更提示CPC;脑脊液种植在脉络膜丛癌中也更为常见。

图7.4。1岁女婴巨大脉络膜丛癌。轴位平扫CT图像a-c显示侧脑室内不均匀肿块,病灶高密度与钙化相一致,病灶低密度与囊变相符。存在脑积水。

图7.5。图7.3中同一患者的颅脑MRI检查。轴位T1加权像(a)和T2加权像(b)证实了一个来自左侧脑室的巨大不均匀肿块,包含囊性和实性成分,周围有血管源性水肿和脑积水。实性成分在ADC图上表现为细胞增生(c),在3D TFE序列上表现为明显强化(d),中央无强化,符合坏死(黑色箭头)。BFFE图像(e)较好地显示了肿瘤的囊性成分,在3D TFE序列上有周边强化(f)。SWI序列(最小密度投影重建,MinIP)显示了肿瘤内的多发微出血,以及左深静脉系统的肥大(g, h)。MRA (3D TOF技术)(最大密度投影,MIP)和容积再现(VR) (i-l)显示了扩张的脉络膜前动脉(白色箭头)。
7.4.1计算机断层扫描表现
在儿童CPPs、ACPPs和CPCs的临床症状中,常与颅内压增高有关。尽管计算机断层扫描(CT)评估必须与儿童年龄组的辐射防护问题进行权衡,但在这种紧急情况下,平扫CT (NECT)对于快速定位至关重要。CT可以识别肿瘤肿块及其可能的并发症,包括脑积水和出血,以评估患者是否需要紧急神经外科手术(图7.4)。
在NECT CPPs中,ACPPs和CPCs通常是不均匀的,Kornienko和Pronin报告约25%的患者有钙化灶,并且很容易在CT扫描中显示。而CPP是典型的等高密度分叶状病变边缘规则,而CPCs边缘不规则,周围脑水肿,钙化、坏死和囊肿的异质性强。所有肿瘤增强后,有时可见扩张的脉络膜动脉进入肿瘤肿块。
7.4.2磁共振成像表现
MRI是诊断和随访CPTs的最先进的放射成像技术。MRI不使用电离辐射,在手术规划中有重要作用。多平面成像用于精确定位和确定肿瘤的范围,并容易描绘局部实质侵袭,这种情况偶尔出现。此外,MRI不仅可以明确CPTs的确切位置,而且可以更好地辨别肿瘤的实质侵袭和血管分布。弥漫性脑脊液(CSF)播散不常见,但确实发生于组织学良性CPPs,而ACPPs和大多数CPPs的转移频率较高。因此,建议术前对整个神经轴进行影像学检查(图7.6)。

图7.6脊柱MRI矢状位(a)和轴位(b)增强T1加权图像显示沿脊髓和马尾根软膜表面的线状和微结节状强化,包括脉络膜丛癌的转移(c)。
儿童MRI的一个重要问题是儿童患者是否能够长期良好地配合以获得高质量的影像检查。鉴于脉络膜丛肿瘤的MRI检查应包括使用对比剂的脑和脊髓成像,年幼或病情严重的儿童通常需要镇静。建议的MRI研究方案见表7.1。
表7.1 CPTs患儿的颅脑和脊柱常规MRI检查。
颅脑MRI应包括3D T1加权全脑各向同性序列的采集,空间分辨率≤1 - 2 mm(图7.5)。后续的多平面重组(MPR)可以准确识别细微的结构异常。我们也推荐轴向T1加权自旋回波(SE)序列,评估肿瘤特征,以及脑解剖和髓鞘化程度。轴位和冠状位T2加权快速自旋回波(TSE/FSE)和液体衰减反转恢复(FLAIR)序列可用于进一步评估肿瘤特征和肿瘤水肿,以及任何脑白质异常。值得注意的是,由于髓鞘发育不完全,FLAIR在2岁以下儿童中的价值有限。弥散加权成像(diffusion weighted imaging, DWI)结合表观弥散系数(apparent diffusion coefficient, ADC)图是探测肿瘤细胞密度的必要手段,肿瘤细胞密度随恶性程度的增加而增加。
在评估肿瘤出血、钙化和血管结构方面,推荐使用三维磁敏感加权成像(SWI)、2D梯度回波成像(GRE)和磁共振血管成像(MRA)。SWI可以帮助鉴别肿瘤钙化和肿瘤微出血。
弹丸式注射(Bolus injection)在评估影像学肿瘤及其相关血管异常的灌注动力学方面是必不可少的。增强后脑部检查应包括3D T1加权序列和至少轴位SE T1序列,以增加实质性增强病变的对比分辨率,并有助于排除3D T1加权序列上的伪影。FLAIR增强序列可用于证实柔脑膜转移瘤。
脊髓MRI应包括矢状位T2加权TSE和对比增强T1加权TSE序列,并根据需要补充轴位图像。圆锥和马尾神经的矢状位稳态结构扰相(CISS)序列有助于研究马尾神经和远端硬膜囊的微小转移性疾病。
在需要聚焦脑室和肿瘤形态细节的情况下,应在小视野范围内进行3D平衡稳态自由进动序列或3D CISS和增强后T1加权序列。
此外,由于鉴别诊断可能困难,因此更先进的MRI技术,如动态磁敏感对比增强灌注加权成像(DSCPWI)、MR波谱(MRS)和弥散张量成像(DTI),可以提供关于肿瘤血管化、代谢和微观结构的更多信息,从而更好地指导诊断和治疗(图7.7)。动脉自旋标记(ASL)是一种完全无创、可重复的技术,无需对比剂,在儿科人群中很有帮助。

图7.7两个巨大肿瘤的ADC图。脉络膜丛癌(a)比间变性室管膜瘤表现出更多的弥散受限,反映了肿瘤细胞的过度增生。
7.4.2.1形态学和功能MRI表现
CPT在MRI上通常被描述为分叶状或菜花状病变,通常位于侧脑室体(located in the atrium of the lateral ventricle)(图7.5)。最近,Lin等(2019)根据CPT的实性部分在MRI上的表现,将其分为乳头状、分叶状和不规则状,提示分支减少和实性部分增加。分类方法与组织学一致。然而,具有实性区域的肿瘤也可以根据其内部形态进行分类。单纯囊性CPT是一种非常罕见的病理实体
无论病理分级,CPTs在T1WI上一般表现为稍低信号或等信号,在T2WI上一般表现为稍高信号或等信号,增强后一般表现为中等的或强的强化。轴位图像通常显示侧脑室呈扇形扩大。它们会导致侧脑室呈典型的扇形扩大,在轴位图像上表现最好。部分病例可见血管蒂与脉络膜丛相连,血管蒂可扭曲引起实质缺血。
CPPs可表现为脑室内分叶状肿块,如果肿块进袭性,偶尔可引起脑水肿。T1WI呈均匀低或等信号。与脑灰质相比,乳头状瘤中央部在T2WI上呈低信号。如果同时显示瘤内血管对应的钙化、出血和血流空洞,则CPPs在T2WI上可能存在异质性。
较大的肿瘤、不规则或模糊的内部形态、坏死的表现以及广泛的瘤周脑水肿可能会增加恶性的可能性。在T1WI和T2WI上以及对比剂使用后,CPCs均表现为明显的不均匀。通常,实性部分在T1W和T2WI上与灰质等信号。T1WI上的高信号区域可能反映出血,而T2W上的低信号区域可能反映细胞增生。出血、坏死和瘤内囊变可能导致信号强度和肿瘤强化的更大异质性。
在肿瘤中心区可以看到斑点状、圆点状或迂曲的流空区(Speckled, stippled, or tortuous areas of flow voids in the central areas of tumors),被解释为血管增生和扩张(ectasia)。在这种情况下,SWI序列是必需的,可能有助于显示因钙化或出血引起的开花灶。
散在的囊性坏死区,在所有序列上信号均匀,与脑脊液信号强度相当,更容易发生在肿瘤的周边区。Barkovich (1992)报告了大多数不典型CPP或CPC病例的这一发现,以及脑室系统内作为炎症反应形成分隔(septa formation)。当常规MRI序列不能提供所需信息时,3D CISS序列可以评估囊肿和分隔。
瘤周显著的血管源性脑水肿提示穿透脑室壁和实质浸润(Significant peritumoral vasogenic edema, which suggests penetration of the ventricular wall and parenchymal infiltration),已被认为是CPC的特征,但也可见于CPP 。
显著强化被认为是CPT的特征。钆剂增强可以是均匀的或不均匀的,通常由于中央坏死,但也由于相关的囊肿和出血,可能有大量的非增强成分。肿瘤一般与邻近的脉络膜丛相连。同侧脉络膜丛可因血管化增加而扩大,增强明显。先进的MRI技术有助于鉴别脑肿瘤的良恶性。DWI可以用于这一目的,因为高级别肿瘤的表观弥散系数(ADC)值通常低于低级别肿瘤(的(图7.7)。虽然DWI可能受肿瘤血钙信号的不均匀影响,但在不同类型脉络膜肿瘤中,实性部分表现为轻中度弥散受限。Sasaki等报道脉络膜丛肿瘤的WHO分级与ADC呈负相关,与肿瘤体积呈正相关。因此,更低的ADC值和更大的肿瘤体积可能是更差的预后指标。
CPPs和CPCs的MRS表现为胆碱(Cho)峰升高和天冬氨酸乙酰基(NAA)缺失。在恶性肿瘤的生化特征中,由于细胞增殖增加,以及由于无氧糖酵解导致的乳酸信号升高,Cho峰已被识别有更高的峰值。据报道,肌醇(mI)水平升高提示乳头状瘤,而不是其他脉络膜丛肿瘤。
先进的MRI技术,如DSC-MRI,可以提供关于这些肿瘤血管的额外信息,有助于鉴别诊断。CPPs具有较高的相对脑血容量(rCBV),是一种高度血管化的肿瘤。这些进一步的发现可能有助于确定CPPs、中间血管化肿瘤(如神经细胞瘤)和血管化不良肿瘤(如室管膜下瘤)之间的鉴别诊断。
ASL能够鉴别脉络膜丛癌和乳头状瘤,据报道CPCs的相对脑血流量(rCBF)值显著高于CPPs 。与组织病理学底物有关,癌组织中微血管数量较多,内皮毛细血管增生和血管坏死多见。
DTI有助于手术规划,更好地确定肿瘤病灶与锥体束等白质束的关系。这可以通过部分各向异性(FA)的定量和定性评估,并可以通过纤维追踪重建可视化。
7.4.2.2 MRI分期、鉴别诊断和随访
颅脑和脊髓MRI在CPC分期、诊断残留病灶、判断化疗疗效等方面具有重要作用。CPT转移为脑实质内或脑室内结节,尤其是蛛网膜下腔结节,或较少转移为弥漫性软脑膜播散。MRI可提供转移灶的良好细节和解剖定位。增强后图像和CISS序列对于检测小转移灶至关重要,包括室管膜播散和柔脑膜播散。已经有病例报告在手术切除aCPPs和CPPs原发肿瘤后柔脑膜对比增强逐渐和完全消失,但也可能发生在CPC上。柔脑膜增强被认为是由肿瘤分泌的激素因子触发的蛛网膜血管通透性异常的结果,或者是由肿瘤细胞衬里真正的蛛网膜浸润的结果(图7.8)。很可能,切除原发肿瘤和因此缺乏触发因素可以解释柔脑膜增强消退的原因,这反映了与肿瘤相关的效应,而不是真实的肿瘤播散。

图7.8基底池的病理增强,沿脑干(白色箭头,a)和脊髓(黑色箭头,a)的柔脑膜表面。术后两周(部分切除)的脑和脊髓b对比增强T1加权图像显示软脑膜的增强几乎完全消退。
如果肿瘤位于脑室内,鉴别诊断的范围就可以缩小。提示这一点的特征包括脑室扩张,特别是肿瘤局部,肿瘤符合脑室形状,脑室内脑脊液勾勒出的至少一部分肿瘤。诊断可以缩小到脉络膜丛肿瘤或可能的脑膜瘤,这是这个年龄组最不常见的肿瘤之一。脉络膜丛癌通常在发病时体积较大,并伴有邻近实质的侵犯和水肿。这可能使其难以与向脑室外生的侵袭性实质肿瘤,如间变性室管膜瘤或不典型畸胎样横纹肌样瘤(ATRT)相鉴别。建议仔细评估侧脑室形态,如经典的扇形侧脑室扩张、与脉络膜丛的关系以及ADC图。CPC通常比间变性室管膜瘤细胞更多。
术后MRI对于发现并发症(如出血和梗死)以及在需要时进行早期“二次探查”手术至关重要(图7.9)。无论是在手术时(尤其是对于经常受限暴露的CPCs)还是在术后早期MRI上,都难以评估切除的完整性。在术后MRI上,难以区分肿瘤残留、出血和术后对比增强。与血管性和有时出血性CPC相关的高T1信号高铁血红蛋白可以掩盖术后成像中微小残留肿瘤成分的增强。术后早期可能干扰残留肿瘤勾画的混杂增强模式包括:对比剂从手术开放的血管渗漏导致的切缘线性增强、一过性血脑屏障破坏导致的邻近手术瘤腔的脑实质内增强以及脑室手术继发的脉络膜丛和室管膜增强。儿童神经肿瘤疗效评估(Response Assessment in Pediatric NeuroOncology, RAPNO)工作组最近提出了在儿童脑肿瘤(包括CPTs)中评估柔脑膜种植的指南。RAPNO标准可用于CPTs的随访,通过MRI(脑和脊柱)、脑脊液细胞学和神经系统检查来评估其治疗反应。Warren等将客观缓解(OR)定义为所有可测量病灶的体积缩小≥50%并持续至少4周,无强化病灶无进展,脑脊液细胞学和中枢神经系统(CNS)外转移阴性;而疾病进展定义为所有可测量病灶的体积增大≥25%,不可测量病灶的非归因于之前治疗的显著进展,或任何新肿瘤。所有疑似与治疗相关的病变均经活检证实。

图7.9一名患脉络膜丛癌的1岁女婴获得全切除的手术和化疗的效果。入院时(a)和首次切除肿瘤后(b)的增强T1加权像。因术中出血而终止手术。她接受了4个周期的化疗,肿块缩小,左侧深静脉系统扩大(c)。在第二次手术(d)和第三次手术(e),分别切除了颞部和顶部部分。左侧侧脑室后壁和侧壁仅残留不规则强化(白色箭头)(f)。通过内镜下Cavitron辅助下的微创入路将其切除。患者接受了辅助大剂量化疗(图7.7同一病例)。
7.5临床表现
大多数病例的主要症状是脑积水。在Ellenbogen和Humphreys 的病例中,脑积水的发生率分别为78%和95%。它可能由CSF产生过多引起,也可能由CSF阻塞引起(特别是在IV脑室肿瘤的情况下)。在Zhou等(2018)的病例中,头痛伴恶心或呕吐是最常见的首发症状(57.3%),其次是下肢无力(46.9%)和共济失调(21.9%)。其他常见表现包括视力损害和视乳头水肿。在2岁以下的儿童中,导致诊断的最常见主诉是巨颅症、前囟膨出、易激惹、癫痫发作和意识水平下降。少数患者出现偏瘫或其他偏侧体征,通常是不对称脑室扩张的结果。在相当大比例的病例(在Zhou等人的系列中为20%)中,CPT是偶然检出的。确诊前症状持续时间通常为2 -6个月。然而,据报告,表现为木僵或昏迷的患者比例高达25%,提示急性失代偿。可继发于大量脑积水或瘤内出血。与幕上肿瘤患者相比,第四脑室肿瘤患者更易发生急性脑积水。Zhou等(2018)也注意到第四脑室肿瘤患者在脑积水早期出现头痛,而侧脑室肿瘤患者在脑积水晚期出现头痛的比例更高。
7.6治疗方法
对于脉络膜丛乳头状瘤,根治性手术切除被认为是最理想的治疗方法。对于其他两种组织类型的CPTs,由于其罕见性,难以实现最佳治疗。完全切除肿瘤可显著改善CPC和不典型CPP的预后,但是,由于它们在诊断时通常体积很大;由于其出血性质,以及患者年龄小,在第一次手术时并不总是可以实现。辅助化疗治疗CPC和aCPP有助于提高总生存率和成功控制疾病:它可以减少肿瘤体积,增加第二次手术完全切除的可能性。后一种效应也被提出用于支持CPC患者的术前化疗。另一个复杂的因素是,由于梗阻性脑积水引起的急性肿瘤出血或急性颅内高压,特别是在幼儿和高级别肿瘤中,通常在出现时需要紧急手术干预以降低颅内高压。因此,在第一次手术中,只有不到50%的患者能够完全切除肿瘤(图7.9)。
7.6.1脑积水的处理
传统上认为脑脊液的过量产生是CPT脑积水发病的最重要因素。在脑室外引流患者中观察到,脉络膜丛肿瘤在24小时内产生的脑脊液量超过450毫升的平均水平。脑积水的发病机制可能被认为是多因素的。由于脑积水时间延长,脑脊液蛋白以及蛛网膜下腔的压缩可能会阻塞蛛网膜颗粒,从而阻碍脑脊液的正常吸收。此外,肿瘤肿块可能阻塞脑室系统,引起梗阻性脑积水。由于大多数患者表现为继发于脑积水的颅内高压症状,第一步是决定是否需要脑脊液引流。如果CPT伴有较大的囊性成分,在紧急情况下,囊肿引流可以降低rICP(图7.10)。


图7.10。11个月女婴左侧脑室三角区巨大脉络膜丛癌(受Li-Fraumeni综合征影响),伴实性和囊性成分(a)。患者在紧急情况下对囊肿进行引流(b),箭头表示引流导管)。通过顶叶入路将肿瘤完全切除(c)。肿瘤在化疗下复发,并再次切除(d)。不幸的是,疾病进展为多发颅脑和脊柱转移(e,黑色箭头)。患者最终在最初诊断2年后死亡。
幕上肿瘤患者,脑室扩张的存在可能有助于显微手术切除CPT(尤其是乳头状瘤):肿瘤漂浮在扩张的脑室内。相反,对于幕下肿瘤患者,颅内高压的存在对外科医生是不利的。因此,如果患有幕上肿瘤的患者病情稳定,最好尽快安排直接显微手术切除肿瘤。然而,如果神经系统正在迅速恶化,或者患者患有第四脑室肿瘤并伴有明显的脑积水,则需要紧急治疗脑积水。
外科医生有三种选择:脑室外引流(EVD)、脑室-腹膜(VP)分流术和内镜下第三脑室造口术(ETV)。与其他选择相比,EVD的定位有几个优点:它可以立即解决颅内高压,在术中和术后监测颅内高压,并有助于保持心室系统更大(提升引流袋)。在大多数情况下,脑积水在肿瘤切除后消退,因此,EVD可以被切除。放置VP分流器不允许体外CSF引流和ICP监测。此外,需要注意的是,术后脑室内的血液和碎片可能引起分流阻塞。如果有必要将最终手术治疗推迟几天以上,VP分流术可以为选择性地进行手术留出时间。然而,应谨慎使用VP分流术,因为在脑室-腹膜分流患者中有转移性播散的报道。对于有第四脑室肿瘤和急性脑积水的患者,当输水管道或第四脑室出口梗阻明显时,应保留行ETV。事实上,对于第四脑室肿瘤患者,颅内压应在后颅窝手术前恢复正常。这可以通过在后颅窝手术前立即定位EVD,或在入院时进行ETV,并在接下来的几天内安排后颅窝手术来实现。颅内高压的解决有利于后续后颅窝手术,减少小脑肿胀和静脉压,从而减少硬脑膜打开和肿瘤减容过程中的出血量。
即使成功切除CPT后,脑积水仍可能持续存在。在Pancalet等的研究中,9名患者(24%)在手术后需要放置脑室-腹膜分流器(6/25乳头状瘤患儿和3/13癌患儿)。持续性脑积水可能继发于蛛网膜颗粒水平的阻塞。肿瘤释放的蛋白物质,尤其是纤维蛋白,可沿正常脑脊液途径循环,最终到达蛛网膜颗粒,蛋白质在蛛网膜颗粒的慢性沉积会造成阻塞,增加脑脊液流出阻力。类似的梗阻也可能继发于肿瘤(癌)的转移性扩散或手术中血液扩散。在Ellenbogen等的研究中,37%的存活患者需要分流术。
7.6.2手术干预
GTR与脉络膜丛肿瘤患者的最佳预后相关:在乳头状瘤病例中可治愈,在癌病例中可显著改善预后。有时可能需要多步手术。外科医生应该记住,特别是在高级别肿瘤中,辅助化疗可能会使二次手术更容易。此外,第一次手术通常是在紧急情况下进行的,患者的状况不是最佳的。(后面内容部分省略)。

图7.11巨大侧脑室部典型脉络魔丛乳头状瘤,经前部胼胝体入路切除。术前(a)和术后(b)冠状位T1加权磁共振增强图像;术前(c)和术后(d)正中矢状面T2加权图像(黑色箭头表示胼胝体切口)

图7.12第三脑室脉络膜丛乳头状瘤延伸至Sylvius导水管并伴有脑积水。矢状面中线重T2加权MR图像(a)和冠状面T1加权MR对比增强图像。经前经胼胝体入路根治性切除肿瘤。术后早期冠状面和矢状面T1加权增强图像(c和d)

图7.13右侧颞外侧角脉络丛乳头状瘤,经颞第二回入路。术前(a)和术后(b)轴位3D t1加权TFE对比增强MR图像

图7.14第四脑室脉络膜丛乳头状瘤。中线矢状位T2加权(a)和t1加权对比增强(b) MR图像。肿瘤经远侧入路根治性切除。术后早期同平面T1加权对比增强图像(c)

图7.15第三脑室脉络膜丛乳头状瘤,经微创内镜入路完全切除。术前(a)和术后(b)正中线矢状位T1加权磁共振增强图像;术前(c)和术后冠状位T2加权MR图像.
7.6.3化疗和放疗
鉴于CPT的罕见性,前瞻性随机临床试验难以进行,治疗仅基于专家意见和小病例系列。治疗方法相当多样化,包括手术、放疗和化疗,如骨髓抑制性大剂量化疗(HDCTx)和自体造血细胞抢救(autologous hematopoietic cell rescue,AuHCR) 。根据目前累积的文献和病例研究,应该尝试最大限度的安全切除和辅助治疗。如果不能完全切除,新辅助化疗可以使延迟手术切除更可行。未完全切除的aCPP的处理是值得怀疑的,考虑到aCPP的婴儿通常比aCPP的大龄儿童独立于辅助治疗具有更高的无事件生存率,因此,在低风险亚组中可能需要降低治疗升级。由于神经认知预后和二次肿瘤风险方面的长期影响,应不鼓励将颅脑脊髓照射作为幼儿(3岁)CPC的初始治疗。对于LFS中存在种系TP53突变的儿童,应避免放射治疗(局灶性或颅脊髓性)。对于CPC的LFS队列,需要进一步的研究来评估强化诱导化疗后骨髓抑制HDCTx和AuHCR与传统无照射和不使用烷基化剂治疗的作用。
7.6.3.1化疗
由于CPC婴儿方案纳入的患者数量较少,使用化疗的优势需要研究和规范;然而,有人认为化疗可能对部分切除的CPC患者有益。采用不同的化疗方案,包括长春新碱、依托泊苷、卡铂、环磷酰胺、阿霉素和大剂量甲氨蝶呤( vincristine, etoposide, carboplatin, cyclophosphamide, doxorubicin, and high-dose methotrexate)。在对104例CPC患者的文献回顾中,未接受化疗的组的生存率明显低于接受化疗的组,即使在未放疗的肿瘤中也是如此。Fitzpatrick等的研究显示,对于接受小于GTR治疗的CPC患者,辅助治疗(放疗加化疗或不化疗)也有类似的显著益处。儿童癌症组研究,CCG9921,随机儿童;受恶性脑肿瘤影响的3岁儿童,手术后两种化疗方案之间试图延迟放疗。9例CPC患者入组,其中7例患有PD;1年内5例,3年PFS为33%±16%,3年OS为63±17%。UKCCSG/SIOP CNS 9204试验采用强化常规剂量化疗方案,纳入15例CPC患者。15例患者接受化疗后,11例患者的健康状况得到改善,生存率提高。只有2例患者有GTR。5年OS率为26.7% (CI 8.3 - 49.6)。加拿大儿童脑肿瘤联盟还研究了16名被诊断为CPC的儿童,他们年龄小于3岁。其中14例辅助常规剂量化疗。他们报告了14例患者中有10例在中位10个月时发展为PD, 5年OS率为31%±13.2%。同一组检查17例CPC患儿。其中12例接受异环磷酰胺、卡铂和依托泊苷(ICE)辅助化疗,然后进行二次手术。接受GTR治疗的患者数量从2例增加到9例。
Passariello等对7例CPC或aCPP患者进行了回顾性研究。在本研究中,手术联合甲氨蝶呤和阿霉素序贯化疗使4/4的aCPP患者和2/3的CPC患者获得长期生存,这表明该治疗方案作为CPC和aCPP的辅助治疗是可行和有效的。
CPT-SIOP-2000研究,作为首个洲际CPT前瞻性临床试验,包括对CPP或完全切除的aCPP患者进行最大手术切除后观察,对CPC、转移或未完全切除的aCPP患者进行辅助化疗(依托泊苷和长春新碱联合卡铂或环磷酰胺6个周期)。孩子>3岁,在第二周期化疗后接受放疗。CPT患者的主要预后(OS和EFS)受5年OS和EFS的显著影响,分别占CPP患者的100%和96% (n = 84), aCPP患者的97%和79% (n = 88), CPC患者的58%和35% (n = 76)。值得注意的是,患有aCPP的婴儿(n = 22)预后较好(5年OS为100%,EFS为92%)。术后随访观察到CPT患者播散无局部进展。以卡铂为基础的化疗组疗效较好,而无LFS的CPC放疗组5年生存率较长。颅脑脊柱治疗局限性CPC与优势无关。CPC婴儿(n = 8)化疗进展后接受放射治疗,表现出有意义的反应。
使用新辅助化疗治疗CPCs可能有助于缩小肿瘤的大小和血管,如果存在不完全切除或肿瘤播散,可能有助于延迟GTR 。Schneider等研究了新辅助化疗对小儿CPC患者手术结果的影响,如手术切除程度和术中出血量。生存率较高(38 vs. 6个月,P = 0.01), GTR率增加(83% vs. 30%, P = 0.03),围手术期出血量减少(22% vs. 96%, P <0.001),在接受新辅助化疗的患者中有报道。总之,CPC患者使用新辅助化疗可减少术中出血量,增加切除范围,对OS有潜在的积极影响。
7.6.3.2骨髓消融大剂量化疗联合自体造血细胞抢救(Marrow-Ablative High-Dose Chemotherapy with Autologous Hematopoietic Cell Rescue)
利用化疗、骨髓消融HDCTx和AuHCR的强化方案已成为婴儿和幼儿中枢神经系统肿瘤治疗的标准方法,以延迟和可能避免辐射,其已知的严重不良晚期效应。Finlay等人评估CPCs患者接受5个周期化疗后,再接受单疗程的骨髓消融HDCTx和AuHCR的骨髓消融与化疗的效果。他们发现42%的患者没有疾病进展。
一项对36例CPC患者的回顾性研究表明,与未放疗的患者相比,半数TP53突变的CPC患者的OS更差。这一结果证实了肿瘤生物学可能影响长期生存而不是治疗强度的观点。Gozali等人展示了伴有和不伴有LFS的CPC患者的结果。三名患者有TP53种系突变,并接受了骨髓消融HDCTx和AuHCR,在诊断后12至84个月的最后一次随访中,所有患者均无进展。
7.6.3.3放射治疗
据报道,在各种回顾性分析中,放射治疗是有益的,但其主要限制是CPTs患者的年龄小。Wolff等人的研究表明,接受放射治疗的患者的5年生存率为68%,而未接受放射治疗的患者的5年生存率为16% 。总的来说,在部分切除的肿瘤中,放疗的益处更为明显。该分析的一个主要缺陷是没有考虑到治疗的意图,因为未放疗组的一些儿童接受了姑息性化疗,但没有在术后进行先期治疗。此外,Dudley等人没有显示使用放疗与生存之间有统计学意义的相关性。值得注意的是,对小儿CPC患者的临床研究表明放射治疗在OS和EFS方面具有优势,但由于纳入的相对较高的儿童比例,可能存在偏差。此外,Mazloom等人观察到接受颅脑脊髓照射的患者比接受有限野照射的患者生存率更高)。对于播散性肿瘤或化疗反应较差的患者采用这种方法,而对于化疗反应良好的非转移性肿瘤则建议采用局灶照射。
关于在这一人群中辅助放疗的各自的利弊,特别是在种系TP53突变和第二肿瘤高风险的患者中,许多问题仍然不确定。由于对化疗和放疗的耐药性增加,TP53突变也会对CPC患者的生存产生负面影响。Bahar等研究了28例CPC和LFS患者放疗的影响。未接受放射治疗的患者的生存率比接受放射治疗的患者更有利(2年OS为58%对18%),这表明对CPC和LFS患者使用放射治疗可能存在生存劣势。
该研究存在主要的局限性,包括患者数量少,治疗的异质性,当分析集中在先期放疗时,没有统计学意义。考虑到该人群的晚期毒性,包括第二肿瘤的累积风险增加,不应继续对LFS进行放疗。CPT-SIOP-2000研究结果显示,没有LFS的CPC患者在头5年的随访中生存获益,而颅脑脊髓照射并没有改善局限性CPC的生存。在婴儿中,化疗期间首次进展后延迟放疗可能会产生有意义的反应。
7.6.4新的治疗方式
通过识别Shh、Notch、PDGFR、磷脂酰肌醇- 4,5 -二磷酸3激酶(PI3K) - mtor和ATR抑制剂等多个潜在靶点,揭示CPT的分子格局,有望为未来的治疗干预带来更好的风险分层。Tong等人提出,PI3K信号的抑制剂(受PTEN抑制)以及PI3K和mTO抑制剂也可能被用作新的CPC疗法。此外,Tong等发现3个癌基因控制CPC的表观基因组和DNA修复。使用ATR抑制剂作为体外DNA修复途径抑制剂,CPC细胞对这些药物表现出显著的敏感性,表明在CPC中的治疗潜力。此外,PDGFR-β在功能上参与了CPC的肿瘤发生,可能是酪氨酸激酶抑制剂(如伊马替尼或达沙替尼[imatinib or dasatinib])治疗的分子靶点。最近,有报道称,在标准治疗无效的进行性弥散性aCPP的小病例系列中,给予贝伐单抗(一种人源抗血管生成单克隆抗体)可导致疾病改善。
在未来,表观遗传谱分析有助于发现复发的高危患者,因此可能成为这些患者治疗分层和临床管理的未来临床试验的主题。
7.7随访与预后
最大限度的安全切除仍然是治疗这些肿瘤的主要方法,由于其位置、周围解剖、大小和脑积水的存在,这些肿瘤更具挑战性。GTR(全切除)被推荐用于CPC,在全切除和部分切除的情况下,五年生存率分别为58%和20%。然而,术中检测脑侵袭是复发的预测因素。事实上,aCPP中发现的浸润性生长模式与CPC相似,导致OS和PFS较差。切除的范围也很重要,对于WHO I级CPTs来说,病理证实和症状缓解与单纯次全切除术或活检相比,OS增加。无论如何,对次全切除术和复发性CPPs和aCPPs的处理仍然存在争议。术后8年观察到肿瘤复发。强烈建议神经影像学随访并对整个神经轴进行MRI检查。对于CPC,应注意转移性播散;相反,转移性播散在CPP和aCPP中非常罕见。
7.8其他脑室内肿瘤
各种各样的肿瘤可能起源于或扩展到脑室腔。肿块在脑室内的位置、出现时的年龄、临床体征和相关情况以及影像学特征可能有助于鉴别诊断。
当考虑脑室壁和透明隔肿瘤时,最常见的病变包括:
。室管膜瘤
。室管膜下瘤(Subependymoma)
。中枢神经细胞瘤
。室管膜下巨细胞星形细胞瘤(SEGA)
室管膜瘤、室管膜下瘤和中枢神经细胞瘤是神经上皮性肿瘤,占颅内肿瘤的2-7%,而SEGAs起源于胶质神经元。
室管膜瘤和其他组织学在其他章节中有广泛的描述。
7.8.1 室管膜下瘤(Subependymoma)
室管膜下瘤是良性肿瘤(WHO I级),占颅内肿瘤的0.2-0.7% 。绝大多数室管膜下瘤发生于成年患者,尤其是中年患者和老年人,以男性为主。它们通常偶然发现于第四脑室(66-70%)或侧脑室(30-40%)。Monro(室间)孔和脊髓也可能受到影响。很少有脑室外部位的报道。它们的生长速度往往较慢,临床表现可能因肿瘤的位置和大小而异,大多(80%)表现为脑脊液阻塞引起的颅内高压征象。不太常见的有局灶性神经功能障碍、癫痫发作和蛛网膜下腔出血的报道。很少见的有,进袭脑肿瘤侵袭脑实质或伴有脑脊液播散被发现。
影像学提示非特异性特征;在CT和MRI上,室管膜下瘤通常是界限清楚的肿块。在CT扫描上,与相邻脑区相比,室管膜下瘤的脑室内肿块表现为等密度到低密度。在较大的尺寸中,可以检测到囊性或钙化成分;钙化在大约30%的病变中可见。通常,不存在周围血管源性脑水肿。在MRI上,它们对脑白质表现为T1w等低信号和T2w高信号,均质且通常不增强的肿块。缺乏对比增强可能有助于区分室管膜下瘤和中枢神经细胞瘤或SEGAs。此外,MR波谱成像(MRS)可以帮助鉴别诊断室管膜下瘤和室管膜瘤。由于化疗和放疗在治疗室管膜下瘤中似乎没有作用,手术仍然是唯一的选择,目的是最大限度地安全切除。
7.8.2中枢神经细胞瘤
中枢神经细胞瘤(CN)是一种罕见的肿瘤,仅占所有脑肿瘤的0.25-0.5% 。它影响的年龄范围很广,但大多数患者(70%)的年龄在20至40岁之间,性别分布相似。在WHO的分类中,CN是一种II级肿瘤,主要发生在透明隔,或者很少发生在侧脑室壁。侧脑室前部是最常见的部位(77%),其次是第三脑室(21%)。双侧侧脑室受累并不常见。罕见的有第四脑室的病例报道。临床上,由于室间孔阻塞,患者可能出现颅内压升高和脑积水。
中枢神经细胞瘤是界限分明的分叶状肿块,瘤内囊肿呈典型的“发泡状(bubbly)”外观。计算机断层扫描(CT)通常显示一个等密度或稍高密度的肿块。低密度区可能代表囊性变性。大约51%的中枢神经细胞瘤在CT上表现为钙化。磁共振成像(MRI)通常在T1和t2加权成像上显示等信号的肿块,静脉注射钆剂后出现中度不均匀强化。可见明显的流空。在三维稳态构造干涉(CISS)序列中,通常可以检测到肿瘤内的囊性改变和与脑室壁或室间隔的附着增加。弥散加权成像(DWI)显示固体成分的有限扩散与增殖潜能无关,但可能与随后有限的细胞外空间的细胞密度增加有关。在这些细胞中可以发现高核质比。在波谱(MRS)上,CN具有典型的外观,在3.55 ppm处有甘氨酸峰。动态磁敏感性对比增强MR灌注成像(DSC-MRI)可以提供肿瘤血管化的额外信息,可能有助于将CN这种中间血管化肿瘤与其他脑室内肿瘤(相对脑血容量,rCBV >2 . 但<3) 。手术是治疗这些肿瘤的首选方法,其目的不同:获取组织样本以进行准确诊断,恢复脑脊液循环,并实现最大限度的安全切除。大体全切除(GTR)与疾病的长期控制有关。由于大多数患者的肿瘤得到长期控制,对GTR术后的放疗存在争议。
7.8.3室管膜下巨细胞星形细胞瘤(Subependymal Giant Cell Astrocytoma,SEGA)
SEGAs与结节性硬化症密切相关,结节性硬化症是一种常染色体显性综合征,其特征是癫痫发作、智力迟钝和常见的面部病变。在中枢神经系统,结节硬化症患者可表现为皮质结节、室管膜下结节、SEGAs和白质异常。结节性硬化症在普通人群中的发病率约为1:10 000。这些患者中约有6%发展为SEGAs 。在没有结节性硬化症其他临床特征的患者中,很少有孤立性SEGAs的病例报道。SEGAs主要发生在25岁以下的患者中。它们通常发育在靠近室间孔的尾侧丘脑沟(the caudothalamic groove)。在过去的几年中,许多此类肿瘤在出现阻塞性脑积水引起的颅内高压症状时被急性诊断。
通过使用MRI作为结节性硬化症患者筛查过程的一部分,这些肿瘤可以在早期被发现。建议TSC2突变患者每2年随访一次影像学检查,TSC1突变患者每3年随访一次影像学检查。SEGAs的典型脑室内位置可能会出现例外,并且已经描述了脑室外病变。
在CT扫描上,SEGAs通常表现为靠近Monro(室间)孔的脑室内肿块,可能是脑室扩张的原因,通常直径超过1cm,灰质等密度或轻微低密度,常出现钙化,有时出现出血(图7.16)。

图7.16结节性硬化症患者Monro(室间)孔水平的双侧SEGAs。右侧较大的肿瘤通过微创内镜入路切除。术前(a-b)和术后(c-d)轴位和冠状位T1加权对比增强MR图像。
MRI显示非均匀肿块,T1w呈灰质低至等信号,T2w呈高信号,钆剂后明显增强强化。磁敏感性加权成像(SWI)可以显示与钙和/或出血有关的开花信号(signal blooming)。根据信号和对比特征不可能区分室管膜下结节和SEGA。
对于SEGAs,可根据其随时间的增长、大小和Monro孔的位置进行鉴别诊断(The differential diagnosis can be made according to the growth over time, the size, and the location at the foramen of Monro in the case of SEGAs)。一旦确定SEGA,建议每年进行一次监测成像检查。
在使用mTOR抑制剂(依维莫司和西罗莫司)之前,SEGAs的治疗一直是单纯的手术治疗(化疗或放疗后没有发现有效的反应,同时与继发性恶性肿瘤的风险增加有关)。
2013年2月初,欧洲发布了监测和治疗室管膜下巨细胞星形细胞瘤的临床建议。专家小组提出了监测室管膜下巨细胞星形细胞瘤的建议,包括每2年对<20岁的患者及每6个月对室管膜下巨细胞星形细胞瘤>1厘米的患者进行神经影像学检查。
除手术外,建议将哺乳动物靶向雷帕霉素抑制剂用于成人和3岁以上需要治疗干预但不适合手术切除或有手术禁忌证的儿童。然而,对于有症状的病变,有明显生长的无症状病变,或甚至引起脑室扩张的无症状病变,都需要手术治疗。

图7.17 .1岁女婴巨大脑室内肿瘤(胚胎性肿瘤)。平扫的轴位T1加权图像(a)显示肿瘤内出血灶。轴位T1加权对比增强图像显示脑室内侧壁残留对比增强(b)。患者接受了腔镜检查并切除了小的残留肿瘤(c)。
7.8.4罕见的组织学类型
虽然很少发生在脑室内,但所有的脑内肿瘤都有可能在脑室内生长或扩展到脑室系统。因此,在脑室内肿块的鉴别诊断中,必须考虑所有脑肿瘤,特别是:髓母细胞瘤、毛细胞星形细胞瘤、脑膜瘤、转移瘤、少突胶质细胞瘤、胶质母细胞瘤、中枢神经系统淋巴瘤,以及其他罕见的组织类型,如肉瘤、畸胎瘤、脊索样胶质瘤、菊形团形成性胶质神经元肿瘤(medulloblastoma, pilocytic astrocytoma, meningioma, metastasis, oligodendroglioma, glioblastoma, CNS lymphoma, and other rare histotypes such as sarcoma, teratoma, chordoid glioma, rosette-forming glioneuronal tumor)。
此外,在观察脑室内肿块时,还需要考虑其他非肿瘤性病变:胶质囊肿、脑囊虫病、包虫病和颅内结核瘤(colloid cysts, neurocysticercosis, hydatid cysts, and intracranial tuberculomas.)。
7.9结论
即使很难做到,特别是在幼儿、大肿瘤和高级别浸润性肿瘤中,最大限度的安全切除是治疗所有类型脑室肿瘤的主要方法。图7.18、7.19、7.20总结了脉络膜丛肿瘤的治疗策略。最有力的OS预测因子是组织学分级;然而,在目前,肿瘤的分子模式已经允许更有针对性的治疗策略,增加了进袭性更强的肿瘤的生存率,并避免对进袭性较弱的肿瘤的不必要的并发症致病率。在未来,更广泛地使用分子靶向治疗和新的微创手术策略,如磁共振引导的激光间质热疗(LASER interstitial thermal therapy)可能会进一步改善脑肿瘤的预后。

图7.18脉络膜丛乳头状瘤治疗算法图。

图7.19不典型脉络膜丛乳头状瘤治疗算法图。
图7.20脉络膜丛癌治疗算法图。
点击或扫描上方二维码,查看更多“脑肿瘤”内容





