
患者,男,94岁
既往:无特殊
入院CT

头颅CTA
DSA:后交通动脉瘤


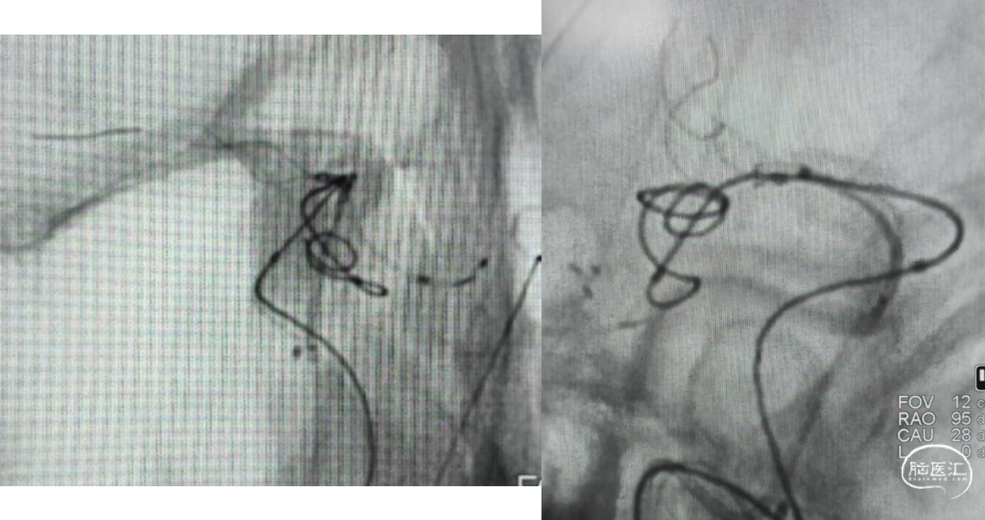
手术预案:后交通动脉瘤T支架辅助栓塞

微导管塑形
echelon10(45)J-7(90右偏90)-15(90);echelon10(90)J-5(45右偏90)-15(90)


支架选择
LEO3.5x25 Atlas 3.0x15


工作位

echelon10(45)J-7(90右偏90)-15(90);echelon10(90)J-5(45右偏90)-15(90)


Axium3d620;axium3d15


管2:target3d24



术后第一天CT

术后一周

钟书
广西自治区人民医院
脑血管、脊髓神经外科副主任医师,广西右江民族医学院外科副教授
中国卒中专科联盟委员
中国医师协会神经介入专委会委员
国家卫健委脑防委出血介入专委会委员
中国生命关怀协会理事
中国生命关怀协会脑卒中救治及康复照护专业委员会常务委员
中国老年医学会神经医学分会常委兼副总干事
中国老年医学会脑血管病分会委员
中国老年保健医学研究会脑卒中防治分会委员
海峡两岸医药学会神经外科专委会脑血管病学组委员
中国人体健康科技促进会临床神经科学技术转化专委会委员
中国神经外科重症管理协作组委员
中国神经科学转化与循证医学协作组委员
广西脑血管病专科联盟副主席兼秘书长
美国神经介入(JNIS)杂志中文版编委
脑医汇-神介资讯编委
获国家卫健委脑防委优秀中青年专家、国家卫健委脑卒中防治工程十周年菁英先锋奖、中国志愿医生脱贫攻坚功勋奖、广西区直机关青年岗位能手、广西优秀青年志愿者等荣誉称号
点击或扫描上方二维码,
前往 钟书 学术主页
查看更多精彩内容
点击或扫描上方二维码
查看更多“介入”内容







